怎么上穿刺鞘攻克巨大左房伴转位穿刺难关!温医大附一院周浩教授团队创新应用“导丝定位+可调弯鞘”技术完成高难度TEER手术

新闻资讯2026-04-21 10:57:28
怎么上穿刺鞘攻克巨大左房伴转位穿刺难关!温医大附一院周浩教授团队创新应用“导丝定位+可调弯鞘”技术完成高难度TEER手术_https://www.jmylbn.com_新闻资讯_第1张


2026年1月13日,温州医科大学附属第一医院周浩教授带领心脏瓣膜介入团队,成功应用中国首个“中欧双认证”创新原研DragonFly™经导管二尖瓣夹系统,为一名房间隔通过困难的房性二尖瓣重度反流患者,完成高难度TEER手术。该患者双房巨大且心脏转位,房间隔穿刺极具挑战。周浩教授创新性采用“导丝定位”技术,结合可调弯穿刺系统,并辅以球囊预扩房间隔穿刺点,成功建立手术通路。最终团队精准植入2枚短宽二尖瓣夹,手术取得圆满成功。


本次手术不仅展现周浩教授团队在处理复杂高危心脏瓣膜病例方面的高超水平,手术团队在术中针对复杂房间隔穿刺通路所提出的创新性解决方案,更是为国内外同行在处理类似疑难病例时提供了极具参考价值的“温州方案”与技术参考。


患者病史


患者79岁男性,13年来反复出现透气费力,近2月自觉透气费力加重,夜间难以平卧,与利尿后水肿仍有反复,透气费力较前未见缓解,拟“二尖瓣关闭不全 心功能不全”收住入院。


既往50年余心房颤动病史。2016年曾接受房室结消融联合起搏器植入术。尽管长期接受规范的GDMT药物治疗,仍反复出现心力衰竭症状。冠脉造影提示存在三支病变。此外,患者合并高尿酸血症、前列腺增生,并有膀胱恶性肿瘤手术史。


术前TEE评估


术前瓣膜介入团队的心超医生陈星星医师王良国医师对患者的心脏结构和瓣膜解剖情况进行详细的评估:


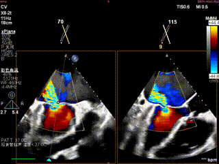
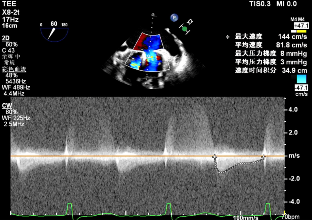
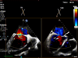
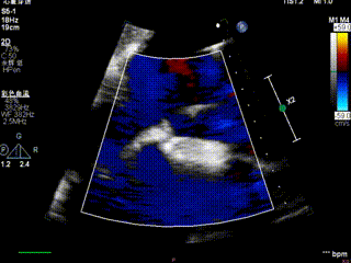
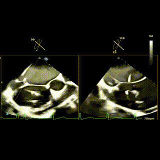
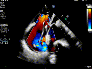
1.二尖瓣重度关闭不全(4+),瓣环明显扩大(AP径4.6cm,LM径3.9cm),扁平,关闭时瓣叶对合不佳(carpentier I),1-3区均可见反流束,返流宽度达26mm;肺静脉频谱呈收缩期反向。

2.画迹法测得二尖瓣瓣口面积约8.8cm²。

3.PISA法测得EROA=0.57cm²,Rvol=77ml,r=11mm。

4.二尖瓣前叶(A2)长度29mm,后叶(P2)长度11mm。

5.左房巨大(三径86*84*114mm),右房巨大(内径114*86mm),CFI提示极重度三尖瓣反流,Teich法测得EF为70.1%。


怎么上穿刺鞘攻克巨大左房伴转位穿刺难关!温医大附一院周浩教授团队创新应用“导丝定位+可调弯鞘”技术完成高难度TEER手术_https://www.jmylbn.com_新闻资讯_第2张

1区

怎么上穿刺鞘攻克巨大左房伴转位穿刺难关!温医大附一院周浩教授团队创新应用“导丝定位+可调弯鞘”技术完成高难度TEER手术_https://www.jmylbn.com_新闻资讯_第3张

1区带彩


怎么上穿刺鞘攻克巨大左房伴转位穿刺难关!温医大附一院周浩教授团队创新应用“导丝定位+可调弯鞘”技术完成高难度TEER手术_https://www.jmylbn.com_新闻资讯_第4张

2区

怎么上穿刺鞘攻克巨大左房伴转位穿刺难关!温医大附一院周浩教授团队创新应用“导丝定位+可调弯鞘”技术完成高难度TEER手术_https://www.jmylbn.com_新闻资讯_第5张

2区带彩


怎么上穿刺鞘攻克巨大左房伴转位穿刺难关!温医大附一院周浩教授团队创新应用“导丝定位+可调弯鞘”技术完成高难度TEER手术_https://www.jmylbn.com_新闻资讯_第6张

3区

怎么上穿刺鞘攻克巨大左房伴转位穿刺难关!温医大附一院周浩教授团队创新应用“导丝定位+可调弯鞘”技术完成高难度TEER手术_https://www.jmylbn.com_新闻资讯_第7张

3区带彩


怎么上穿刺鞘攻克巨大左房伴转位穿刺难关!温医大附一院周浩教授团队创新应用“导丝定位+可调弯鞘”技术完成高难度TEER手术_https://www.jmylbn.com_新闻资讯_第8张

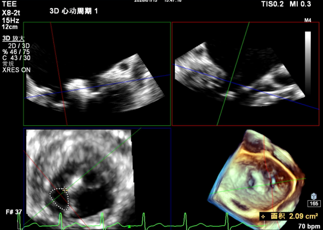
3D

怎么上穿刺鞘攻克巨大左房伴转位穿刺难关!温医大附一院周浩教授团队创新应用“导丝定位+可调弯鞘”技术完成高难度TEER手术_https://www.jmylbn.com_新闻资讯_第9张

3D带彩


怎么上穿刺鞘攻克巨大左房伴转位穿刺难关!温医大附一院周浩教授团队创新应用“导丝定位+可调弯鞘”技术完成高难度TEER手术_https://www.jmylbn.com_新闻资讯_第10张

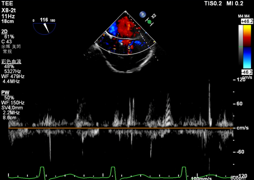
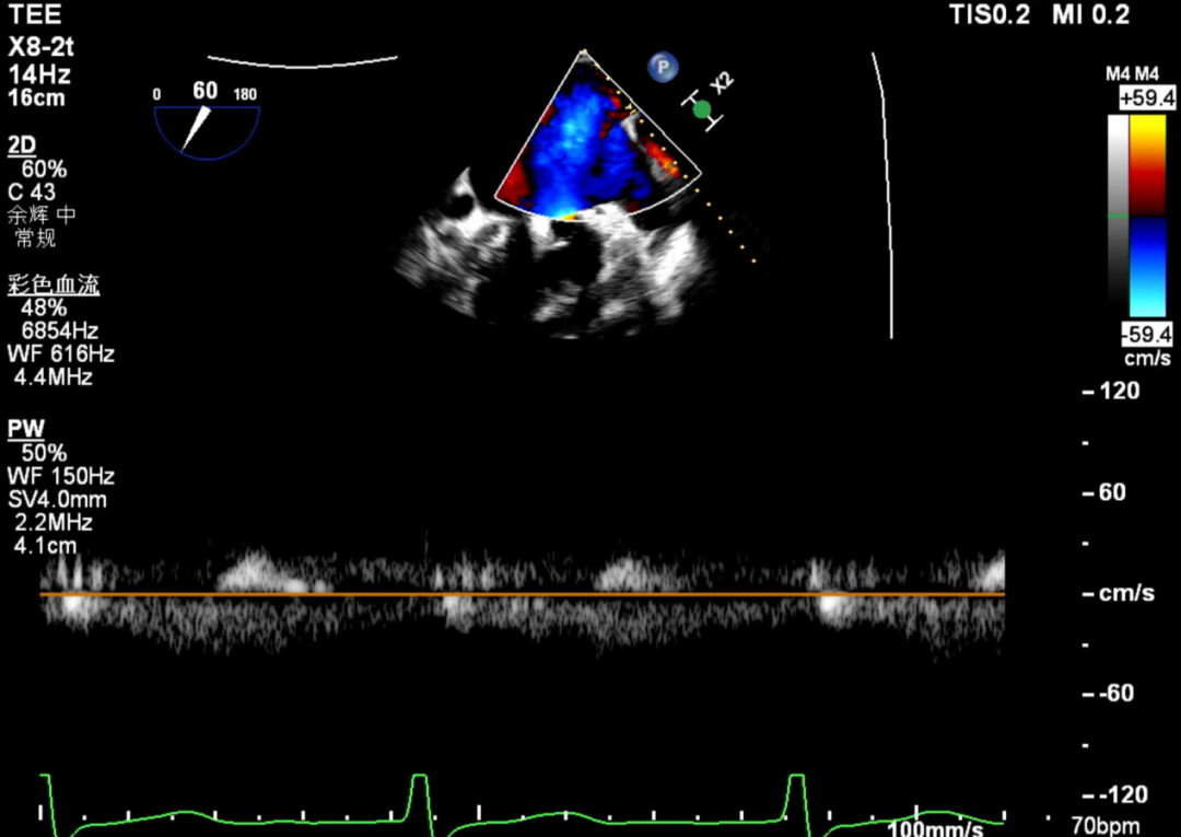
术前肺静脉频谱

怎么上穿刺鞘攻克巨大左房伴转位穿刺难关!温医大附一院周浩教授团队创新应用“导丝定位+可调弯鞘”技术完成高难度TEER手术_https://www.jmylbn.com_新闻资讯_第11张

术前肺静脉频谱


手术难点


该患者双房显著增大伴心脏明显转位,穿刺点选择困难,易因穿刺位置过高影响夹子操作;右心可见起搏电极导线,TEER操作需谨慎,避免损伤导线功能;患者为AFMR,瓣环扩张明显,反流束宽,前后瓣叶对合处存在至少3mm间隙,瓣叶张力高,撕裂风险大。建议穿刺点选择于上下腔中下段、主动脉短轴中后部,在2偏3区植入一枚SW0609(短宽型)瓣膜夹,术中根据残余反流及跨瓣压差决定是否追加植入。


术中操作


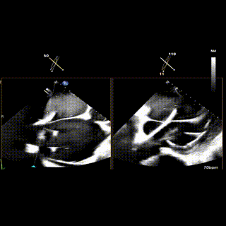
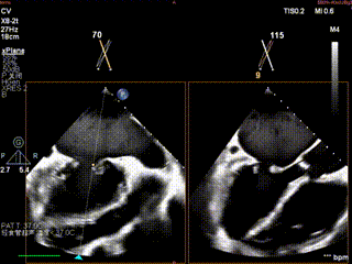
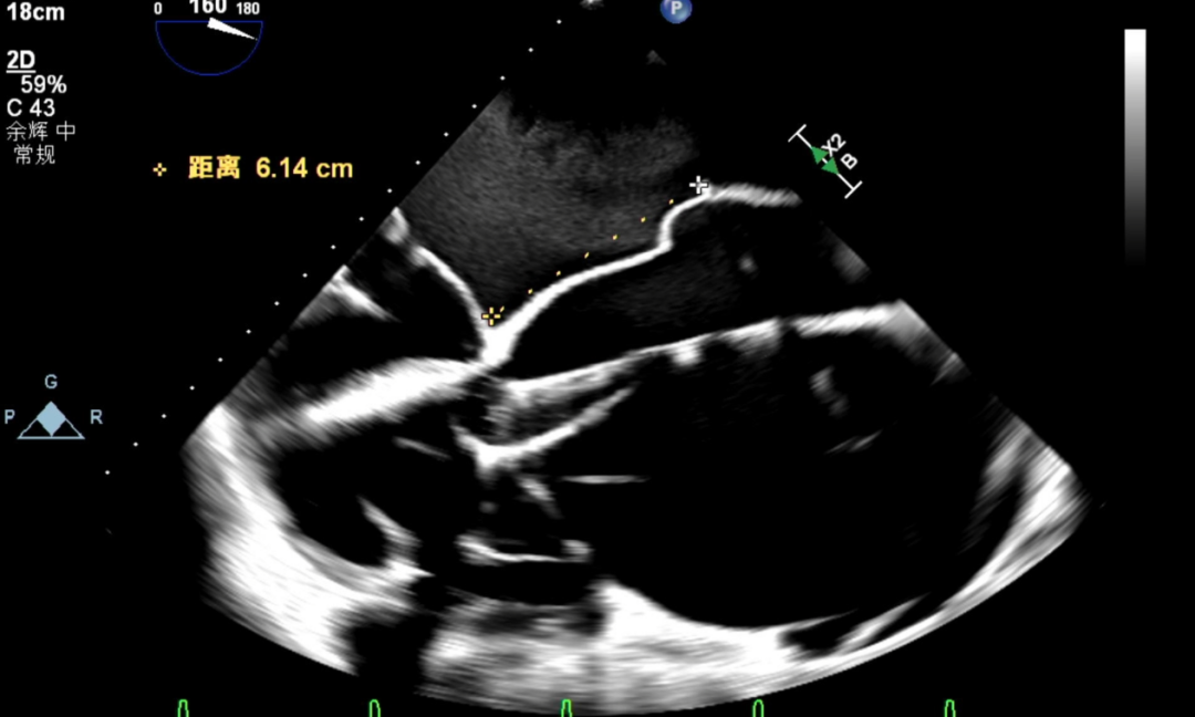
患者在全麻状态下,经超声引导建立右侧股静脉入路,送入房间隔穿刺系统。于上下腔连线中部偏下、主动脉短轴切面中部略偏后位置尝试穿刺,多次推送穿刺针均见帐篷样隆起,但穿刺点高度均偏高,调整穿刺针位置后仍未能获得合适的房间隔穿刺高度。遂决定先于较高位置行房间隔穿刺,首次穿刺高度为6.14cm,将房间隔导丝送至左上肺静脉作为定位参照。更换房间隔穿刺系统后再次尝试穿刺,仍难以达到理想高度。


怎么上穿刺鞘攻克巨大左房伴转位穿刺难关!温医大附一院周浩教授团队创新应用“导丝定位+可调弯鞘”技术完成高难度TEER手术_https://www.jmylbn.com_新闻资讯_第12张

首次房间隔穿刺

怎么上穿刺鞘攻克巨大左房伴转位穿刺难关!温医大附一院周浩教授团队创新应用“导丝定位+可调弯鞘”技术完成高难度TEER手术_https://www.jmylbn.com_新闻资讯_第13张

首次房穿高度


怎么上穿刺鞘攻克巨大左房伴转位穿刺难关!温医大附一院周浩教授团队创新应用“导丝定位+可调弯鞘”技术完成高难度TEER手术_https://www.jmylbn.com_新闻资讯_第14张

房间隔导丝送至左上肺静脉作为定位参照

怎么上穿刺鞘攻克巨大左房伴转位穿刺难关!温医大附一院周浩教授团队创新应用“导丝定位+可调弯鞘”技术完成高难度TEER手术_https://www.jmylbn.com_新闻资讯_第15张

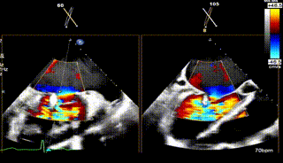
TEE 3D视角下房穿定位导丝


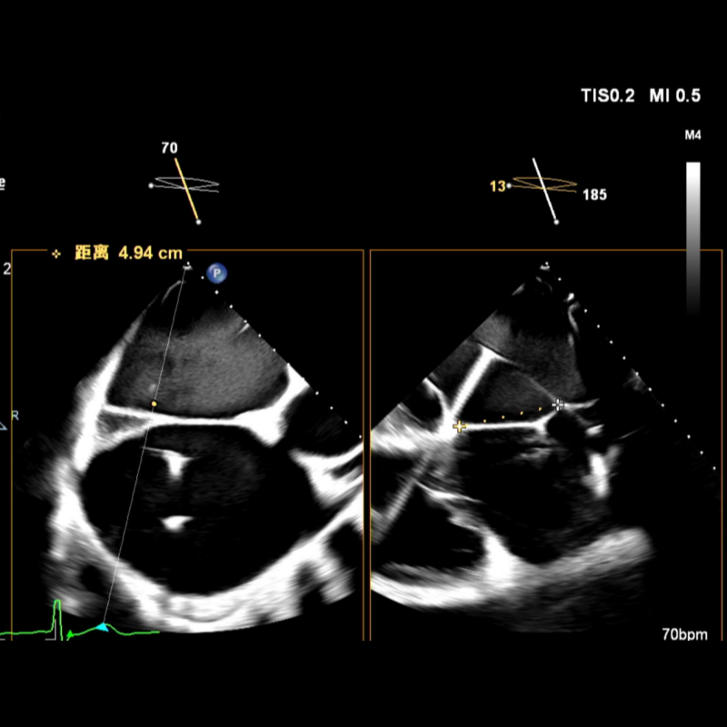
随后更换为可调弯房间隔穿刺鞘,在较定位导丝更靠前、靠下的位置进行穿刺,最终穿刺高度降至4.94cm。因患者房间隔组织异常坚韧,穿刺鞘多次尝试均未能通过,遂使用6mm外周球囊对穿刺部位进行扩张,撤处出原留置在左房内的定位导丝,随后顺利置入SGC。


怎么上穿刺鞘攻克巨大左房伴转位穿刺难关!温医大附一院周浩教授团队创新应用“导丝定位+可调弯鞘”技术完成高难度TEER手术_https://www.jmylbn.com_新闻资讯_第16张

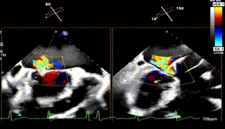
可调弯鞘行房间隔穿刺

怎么上穿刺鞘攻克巨大左房伴转位穿刺难关!温医大附一院周浩教授团队创新应用“导丝定位+可调弯鞘”技术完成高难度TEER手术_https://www.jmylbn.com_新闻资讯_第17张

可调弯鞘行房间隔穿刺


怎么上穿刺鞘攻克巨大左房伴转位穿刺难关!温医大附一院周浩教授团队创新应用“导丝定位+可调弯鞘”技术完成高难度TEER手术_https://www.jmylbn.com_新闻资讯_第18张

可调弯鞘输送房穿导丝进入肺静脉

怎么上穿刺鞘攻克巨大左房伴转位穿刺难关!温医大附一院周浩教授团队创新应用“导丝定位+可调弯鞘”技术完成高难度TEER手术_https://www.jmylbn.com_新闻资讯_第19张

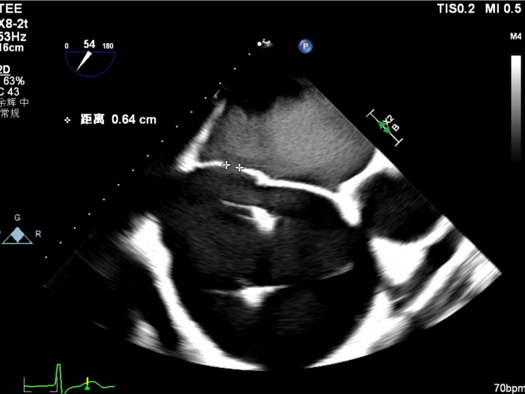
最终房间隔穿刺高度


怎么上穿刺鞘攻克巨大左房伴转位穿刺难关!温医大附一院周浩教授团队创新应用“导丝定位+可调弯鞘”技术完成高难度TEER手术_https://www.jmylbn.com_新闻资讯_第20张

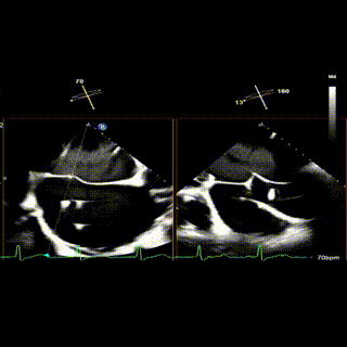
房间隔穿刺鞘无法通过房间隔

怎么上穿刺鞘攻克巨大左房伴转位穿刺难关!温医大附一院周浩教授团队创新应用“导丝定位+可调弯鞘”技术完成高难度TEER手术_https://www.jmylbn.com_新闻资讯_第21张

房间隔穿刺鞘无法通过房间隔


怎么上穿刺鞘攻克巨大左房伴转位穿刺难关!温医大附一院周浩教授团队创新应用“导丝定位+可调弯鞘”技术完成高难度TEER手术_https://www.jmylbn.com_新闻资讯_第22张

外周球囊扩张房间隔

怎么上穿刺鞘攻克巨大左房伴转位穿刺难关!温医大附一院周浩教授团队创新应用“导丝定位+可调弯鞘”技术完成高难度TEER手术_https://www.jmylbn.com_新闻资讯_第23张

外周球囊扩张房间隔


怎么上穿刺鞘攻克巨大左房伴转位穿刺难关!温医大附一院周浩教授团队创新应用“导丝定位+可调弯鞘”技术完成高难度TEER手术_https://www.jmylbn.com_新闻资讯_第24张

置入SGC

怎么上穿刺鞘攻克巨大左房伴转位穿刺难关!温医大附一院周浩教授团队创新应用“导丝定位+可调弯鞘”技术完成高难度TEER手术_https://www.jmylbn.com_新闻资讯_第25张

送入大鞘和夹子


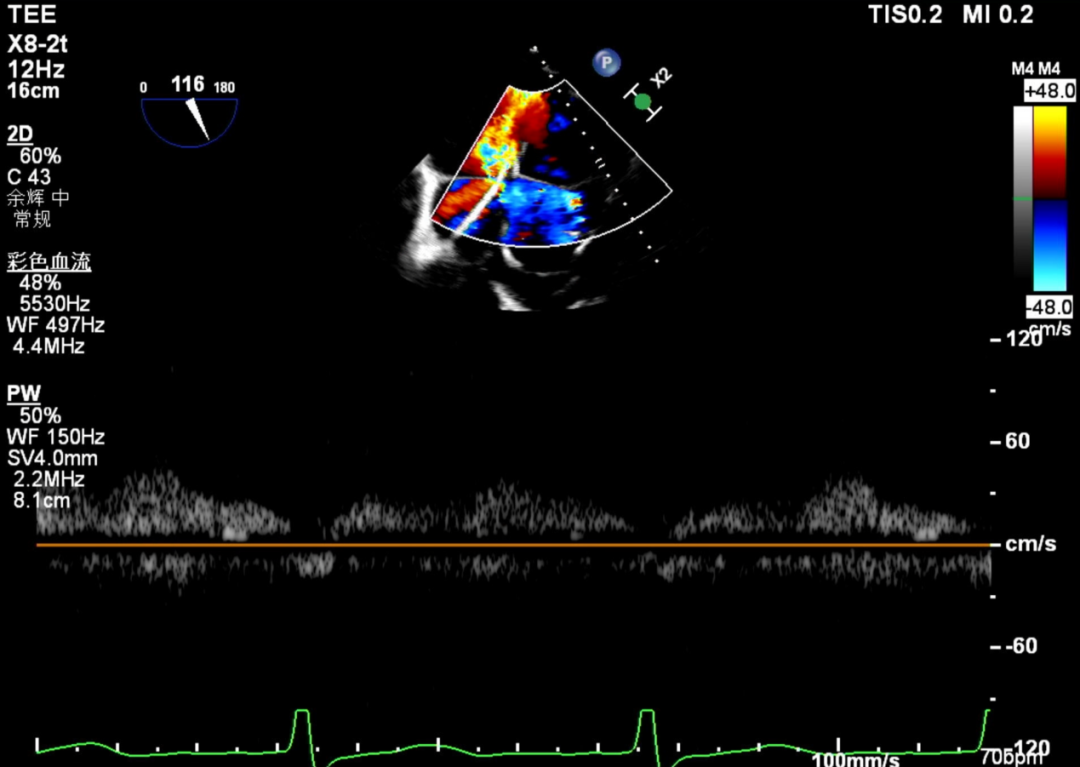
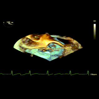
将SW0609型号二尖瓣夹(短宽型)送入左心房后,于2区进行轨迹测试与方向调整,使系统整体靠近病变区域,完成左心房定位,夹臂方向调整至12点钟方位。确认轨迹与方向满意后,充分释放系统张力。在3D-MPR引导下,将系统送入左心室,于2偏3区进行捕捞夹持,可见前后叶Bouncing明显。夹子关紧后,3D超声显示夹子方向良好,组织桥稳定,瓣叶活动受限显著,内侧反流明显减少,外侧仍残留中央型反流。平均跨瓣压差提示未造成瓣膜狭窄。为进一步减少反流,计划在外侧追加植入第二枚SW0609(短宽型)二尖瓣夹。


怎么上穿刺鞘攻克巨大左房伴转位穿刺难关!温医大附一院周浩教授团队创新应用“导丝定位+可调弯鞘”技术完成高难度TEER手术_https://www.jmylbn.com_新闻资讯_第26张

第一枚夹子跨瓣前定位

怎么上穿刺鞘攻克巨大左房伴转位穿刺难关!温医大附一院周浩教授团队创新应用“导丝定位+可调弯鞘”技术完成高难度TEER手术_https://www.jmylbn.com_新闻资讯_第27张

第一枚夹子捕捞


怎么上穿刺鞘攻克巨大左房伴转位穿刺难关!温医大附一院周浩教授团队创新应用“导丝定位+可调弯鞘”技术完成高难度TEER手术_https://www.jmylbn.com_新闻资讯_第28张

第一枚夹子释放前上彩

怎么上穿刺鞘攻克巨大左房伴转位穿刺难关!温医大附一院周浩教授团队创新应用“导丝定位+可调弯鞘”技术完成高难度TEER手术_https://www.jmylbn.com_新闻资讯_第29张

第一枚夹子释放后血流


怎么上穿刺鞘攻克巨大左房伴转位穿刺难关!温医大附一院周浩教授团队创新应用“导丝定位+可调弯鞘”技术完成高难度TEER手术_https://www.jmylbn.com_新闻资讯_第30张

第一枚夹子释放后组织桥稳定

怎么上穿刺鞘攻克巨大左房伴转位穿刺难关!温医大附一院周浩教授团队创新应用“导丝定位+可调弯鞘”技术完成高难度TEER手术_https://www.jmylbn.com_新闻资讯_第31张

第一枚夹子释放后血流3D


怎么上穿刺鞘攻克巨大左房伴转位穿刺难关!温医大附一院周浩教授团队创新应用“导丝定位+可调弯鞘”技术完成高难度TEER手术_https://www.jmylbn.com_新闻资讯_第32张

第1枚夹子释放后压差


送入第二枚SW0609(短宽型)二尖瓣夹,使其紧贴第一枚夹子。在食道心脏超声三维多平面重建(3D-MPR)引导下,将夹子跨瓣送入左心室。首次尝试捕捞并夹持瓣叶后关闭夹子,外侧反流量仍较多;随后反转夹子并重新捕捞夹持成功,此时前后叶活动均受限,外侧反流显著减少。释放夹子后,三维超声显示组织桥稳定,反流减轻至轻中度,平均跨瓣压差未见狭窄征象,肺静脉逆流亦有所改善。


怎么上穿刺鞘攻克巨大左房伴转位穿刺难关!温医大附一院周浩教授团队创新应用“导丝定位+可调弯鞘”技术完成高难度TEER手术_https://www.jmylbn.com_新闻资讯_第33张

第二枚夹子第2次捕捞

怎么上穿刺鞘攻克巨大左房伴转位穿刺难关!温医大附一院周浩教授团队创新应用“导丝定位+可调弯鞘”技术完成高难度TEER手术_https://www.jmylbn.com_新闻资讯_第34张

第二枚夹子释放后血流


怎么上穿刺鞘攻克巨大左房伴转位穿刺难关!温医大附一院周浩教授团队创新应用“导丝定位+可调弯鞘”技术完成高难度TEER手术_https://www.jmylbn.com_新闻资讯_第35张

第二枚夹子释放后组织桥稳定

怎么上穿刺鞘攻克巨大左房伴转位穿刺难关!温医大附一院周浩教授团队创新应用“导丝定位+可调弯鞘”技术完成高难度TEER手术_https://www.jmylbn.com_新闻资讯_第36张

第二枚夹子释放后血流3D


怎么上穿刺鞘攻克巨大左房伴转位穿刺难关!温医大附一院周浩教授团队创新应用“导丝定位+可调弯鞘”技术完成高难度TEER手术_https://www.jmylbn.com_新闻资讯_第37张

第2枚夹子释放后压差


怎么上穿刺鞘攻克巨大左房伴转位穿刺难关!温医大附一院周浩教授团队创新应用“导丝定位+可调弯鞘”技术完成高难度TEER手术_https://www.jmylbn.com_新闻资讯_第38张
怎么上穿刺鞘攻克巨大左房伴转位穿刺难关!温医大附一院周浩教授团队创新应用“导丝定位+可调弯鞘”技术完成高难度TEER手术_https://www.jmylbn.com_新闻资讯_第39张

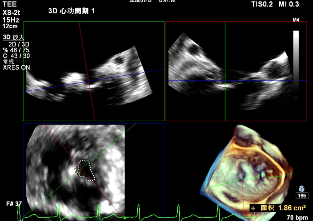
术后残留瓣口面积3.95cm²


怎么上穿刺鞘攻克巨大左房伴转位穿刺难关!温医大附一院周浩教授团队创新应用“导丝定位+可调弯鞘”技术完成高难度TEER手术_https://www.jmylbn.com_新闻资讯_第40张
怎么上穿刺鞘攻克巨大左房伴转位穿刺难关!温医大附一院周浩教授团队创新应用“导丝定位+可调弯鞘”技术完成高难度TEER手术_https://www.jmylbn.com_新闻资讯_第41张

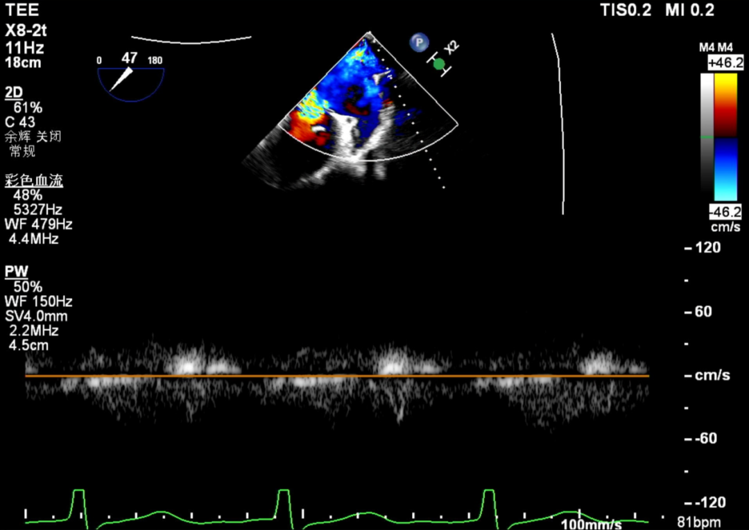
术后肺静脉频谱


撤出大鞘后,患者出现低氧血症。经食道超声上下腔切面可见房间隔穿刺处存在右向左分流。观察期间患者氧合难以维持,考虑与极重度三尖瓣反流和医源性房间隔缺损(宽度约6.4 mm)有关。遂于该房间隔缺损处植入上海记忆合金封堵器(ASD 24),术后患者低氧血症明显改善,手术顺利结束。


怎么上穿刺鞘攻克巨大左房伴转位穿刺难关!温医大附一院周浩教授团队创新应用“导丝定位+可调弯鞘”技术完成高难度TEER手术_https://www.jmylbn.com_新闻资讯_第42张

大鞘撤离后右向左分流

怎么上穿刺鞘攻克巨大左房伴转位穿刺难关!温医大附一院周浩教授团队创新应用“导丝定位+可调弯鞘”技术完成高难度TEER手术_https://www.jmylbn.com_新闻资讯_第43张

术后残留房缺宽度6.4mm


怎么上穿刺鞘攻克巨大左房伴转位穿刺难关!温医大附一院周浩教授团队创新应用“导丝定位+可调弯鞘”技术完成高难度TEER手术_https://www.jmylbn.com_新闻资讯_第44张

封堵器释放

怎么上穿刺鞘攻克巨大左房伴转位穿刺难关!温医大附一院周浩教授团队创新应用“导丝定位+可调弯鞘”技术完成高难度TEER手术_https://www.jmylbn.com_新闻资讯_第45张

封堵器释放后


怎么上穿刺鞘攻克巨大左房伴转位穿刺难关!温医大附一院周浩教授团队创新应用“导丝定位+可调弯鞘”技术完成高难度TEER手术_https://www.jmylbn.com_新闻资讯_第46张

封堵器释放后血流

怎么上穿刺鞘攻克巨大左房伴转位穿刺难关!温医大附一院周浩教授团队创新应用“导丝定位+可调弯鞘”技术完成高难度TEER手术_https://www.jmylbn.com_新闻资讯_第47张

封堵器释放后血流


温医大附一院心脏瓣膜介入中心自2020年成立以来,持续推动区域心脏瓣膜病介入诊疗水平发展,于2024年正式获评国家心脏瓣膜病介入中心,并在2025年荣获“NTCVR建设卓越单位”称号。作为国家级中心,在结构性心脏病介入领域积累了丰富经验。截至2025年11月,已独立完成各类结构心脏手术500余例,手术规模与技术水平均位居国内前列。中心在临床创新方面成果显著,相关成果先后在美国TCT大会等国际大会上进行交流,向国际学界展示在心脏瓣膜危重症综合干预方面的“温州经验”。


专家简介


怎么上穿刺鞘攻克巨大左房伴转位穿刺难关!温医大附一院周浩教授团队创新应用“导丝定位+可调弯鞘”技术完成高难度TEER手术_https://www.jmylbn.com_新闻资讯_第48张


周浩

温州医科大学附属第一医院(点击查看专家详细简历)


怎么上穿刺鞘攻克巨大左房伴转位穿刺难关!温医大附一院周浩教授团队创新应用“导丝定位+可调弯鞘”技术完成高难度TEER手术_https://www.jmylbn.com_新闻资讯_第49张


陈长曦

温州医科大学附属第一医院(点击查看专家详细简历)

怎么上穿刺鞘攻克巨大左房伴转位穿刺难关!温医大附一院周浩教授团队创新应用“导丝定位+可调弯鞘”技术完成高难度TEER手术_https://www.jmylbn.com_新闻资讯_第50张


怎么上穿刺鞘攻克巨大左房伴转位穿刺难关!温医大附一院周浩教授团队创新应用“导丝定位+可调弯鞘”技术完成高难度TEER手术_https://www.jmylbn.com_新闻资讯_第51张


毛志杰

温州医科大学附属第一医院(点击查看专家详细简历)


怎么上穿刺鞘攻克巨大左房伴转位穿刺难关!温医大附一院周浩教授团队创新应用“导丝定位+可调弯鞘”技术完成高难度TEER手术_https://www.jmylbn.com_新闻资讯_第52张


王良国

温州医科大学附属第一医院(点击查看专家详细简历)


怎么上穿刺鞘攻克巨大左房伴转位穿刺难关!温医大附一院周浩教授团队创新应用“导丝定位+可调弯鞘”技术完成高难度TEER手术_https://www.jmylbn.com_新闻资讯_第53张


陈星星

温州医科大学附属第一医院(点击查看专家详细简历)



怎么上穿刺鞘攻克巨大左房伴转位穿刺难关!温医大附一院周浩教授团队创新应用“导丝定位+可调弯鞘”技术完成高难度TEER手术_https://www.jmylbn.com_新闻资讯_第54张

扫码进入【德晋】DragonFly™经导管二尖瓣夹系统 学术专栏


· END ·


怎么上穿刺鞘攻克巨大左房伴转位穿刺难关!温医大附一院周浩教授团队创新应用“导丝定位+可调弯鞘”技术完成高难度TEER手术_https://www.jmylbn.com_新闻资讯_第55张

版权及免责声明:严道医声网旨在搭建学术传播及媒体发声平台,文内信息版权属于持有人,我们只提供传递信息之用。如有侵权,请联系我们删除。

点击 “阅读原文” 进入 “【德晋】DragonFly™经导管二尖瓣夹系统 学术专栏”