心电监护怎么看图心电图有问题?别急,先看看导联位置放对了吗

新闻资讯2026-04-21 10:43:48
心电监护怎么看图心电图有问题?别急,先看看导联位置放对了吗_https://www.jmylbn.com_新闻资讯_第1张

心电图是临床上最常用的检查手段之一,对心内科医生来说可谓“一图在手,尽知天下”。各类异常的心电图表现,常常是心脏疾病的预警信号。但临床上也不乏这样的情况,心电图看似异常,却与临床表现极不符合,可能来自外界信号干扰,除此之外,还应警惕是不是导联位置错误。


作者:Myelin
本文为作者授权医脉通发布,未经授权请勿转载。


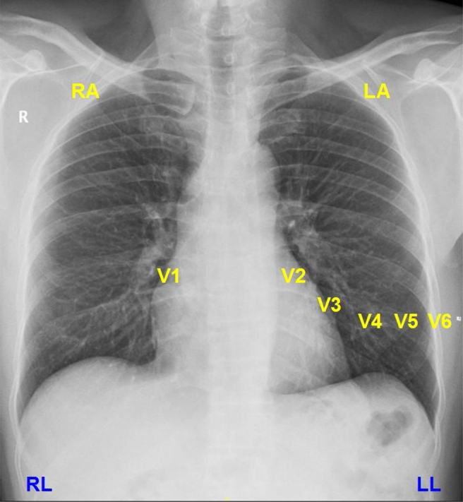
正常心电图导联怎么接?


要做一份合格的心电图,首先应熟悉正常导联的位置,肢体导联应注意左右、上下的区别,而胸导联应熟记每一个导联的位置,包括18导联心电图。

表1 胸导联位置
心电监护怎么看图心电图有问题?别急,先看看导联位置放对了吗_https://www.jmylbn.com_新闻资讯_第2张

心电监护怎么看图心电图有问题?别急,先看看导联位置放对了吗_https://www.jmylbn.com_新闻资讯_第3张
图1 常用导联位置示意图


“无意”放错位置的心电图导联


随着心脏病学,尤其是心律失常专业的迅速发展,对心电图质量的要求也越来越高。一份高质量的心电图有助于精确定位心律失常的起源和机制。然而,心电图导联位置错误,在临床工作中非常常见,尤其是初学者。肢体导联最常见的是左右手接反,胸导联主要为位置偏离正常位置。导联位置错误可引起心脏记录的电轴发生偏移,信号改变,进而引起P波、QRS波、ST段和T波等形态和振幅发生改变,容易导致误诊和漏诊。

1.左右手反接引起的心电图改变

正常情况下,左上肢导联颜色为黄色,右上肢导联颜色为红色,如下图所示。

心电监护怎么看图心电图有问题?别急,先看看导联位置放对了吗_https://www.jmylbn.com_新闻资讯_第4张
图2 正常肢体导联位置及心电图形态

左右手接反时:
  • I导联为右上肢与左上肢之间的电位差,心电图表现为正常I导联QRS波群的翻转;
  • II导联为左下肢与左上肢之间的电位差,相当于正常心电图的III导联;
  • III导联为左下肢与右上肢之间的电位差,相当于正常心电图的II导联;
  • VR导联相当于正常心电图的aVL导联;
  • aVL导联相当于正常心电图的aVR导联;
  • 肢体导联中只有aVF导联形态不变。

心电监护怎么看图心电图有问题?别急,先看看导联位置放对了吗_https://www.jmylbn.com_新闻资讯_第5张
图3 左右手反接的导联位置及心电图形态

2.V1和V2导联位置过高引起的心电图改变

V1和V2导联在心电图的诊断中具有重要的地位,其放置位置过高可能引起如下几种心电图改变。

心电监护怎么看图心电图有问题?别急,先看看导联位置放对了吗_https://www.jmylbn.com_新闻资讯_第6张
图4 V1-2导联位置过高,导致假性前间壁陈旧性心梗

心电监护怎么看图心电图有问题?别急,先看看导联位置放对了吗_https://www.jmylbn.com_新闻资讯_第7张
图5 V1-2导联位置过高,导致假性前壁STEMI

心电监护怎么看图心电图有问题?别急,先看看导联位置放对了吗_https://www.jmylbn.com_新闻资讯_第8张
图6 V1-2导联位置过高,导致假性不完全性右束支传导阻滞


“故意”放错位置的心电图导联


除了无意中放错导联位置之外,在某些疾病中,甚至需要“故意”把导联放错位置。原因是把导联放置在特定位置,引起心电图变化,对疾病的诊断具有重要的价值。

Brugada综合征是一种遗传性离子通道病,临床特征表现为患者可能发生多形性室速和室颤,引起晕厥,甚至心脏性猝死。其心电图特征为心电图右胸(V1~V3)导联J点抬高伴ST段穹窿样抬高。在一些患者中,Brugada特征性的心电图改变并不明显,此时将V1-V3导联的记录电极从第4肋间垂直提高到第3肋间、第2肋间可提高检出率。

心电监护怎么看图心电图有问题?别急,先看看导联位置放对了吗_https://www.jmylbn.com_新闻资讯_第9张
图7 提高胸前导联记录电极位置后可记录到更加典型的Brugada心电图

对于宽QRS波心动过速等心律失常的诊断,P波的识别非常重要,但遗憾的是,弱小的P波通常被强大的QRS波掩盖,难以辨别,而特殊的导联可放大P波,被形象地称为心电图的“照妖镜”,Lewis导联就是其中之一。

Lewis导联是双极胸导联,右上肢导联(红色)连接吸球放在胸骨右缘第二肋间,左上肢导联(黄色)连接吸球放在胸骨右缘第四肋间,下肢导联位置不变。

心电监护怎么看图心电图有问题?别急,先看看导联位置放对了吗_https://www.jmylbn.com_新闻资讯_第10张
图8 Lewis导联示意图

一名52岁女性患者,因晕厥入院,常规12导联心电图提示为宽QRS波心动过速(见图9)。

心电监护怎么看图心电图有问题?别急,先看看导联位置放对了吗_https://www.jmylbn.com_新闻资讯_第11张
图9 心电图为宽QRS波心动过速

但看不到明显的P波,因此,究竟是室速还是室上速伴差传等其他心律失常难以辨别。此时应用Lewis导联后可清晰记录到P波,且P波和QRS波之间呈1:1的关系,因此室速的诊断便被排除了。

心电监护怎么看图心电图有问题?别急,先看看导联位置放对了吗_https://www.jmylbn.com_新闻资讯_第12张

图10 应用Lewis导联后可记录到清晰的P波

如此看来,无意为之的导联位置错误可能干扰诊断,而有意为之的导联位置改变却可能有事半功倍之效。

心电图的乐趣和难点亦在于此!


参考文献:
[1] Francis J. ECG monitoring leads and special leads. Indian Pacing Electrophysiol J. 2016; 16(3): 92-95.
[2] Rodrigues de Holanda-Miranda W, Furtado FM, Luciano PM, Pazin-Filho A. Lewis lead enhances atrial activity detection in wide QRS tachycardia. J Emerg Med. 2012; 43(2): e97-9.
[3] Abobaker A, Rana RM. V1 and V2 pericordial leads misplacement and its negative impact on ECG interpretation and clinical care. Ann Noninvasive Electrocardiol. 2021 Apr 4: e12844.
[4] 郭继鸿. Brugada综合征的诊断与治疗. 临床心电学杂志, 2005; 14(3): 215-223.
[5] 孙海燕, 于小林, 孙迎春. 图解肢体导联电极错接的心电图表现. 江苏实用心电学杂志. 2013; 22(5): 827-829.

心电监护怎么看图心电图有问题?别急,先看看导联位置放对了吗_https://www.jmylbn.com_新闻资讯_第13张