彩超探头怎么转换经食道心脏彩超(TEE)总看不懂?5 分钟掌握经典切面!(附动图)

新闻资讯2026-04-21 10:02:16
彩超探头怎么转换经食道心脏彩超(TEE)总看不懂?5 分钟掌握经典切面!(附动图)_https://www.jmylbn.com_新闻资讯_第1张

经食道心脏彩超(Transesophageal echocardiography,TEE)是将超声探头置入食管内,从心脏的后方向前近距离探查深部结构(图 1)。相较于常规经胸心脏彩超(TTE)而言,TEE 避免了胸壁、肺气等因素干扰,可以显示清晰的图像,提高了对心血管疾病诊断的敏感性、可靠性,也便于进行心脏手术中的超声监测与评价。

近年来愈加广泛运用在先天性心脏病、结构性心脏病等介入治疗(如经导管主动脉瓣置换 TAVR、二尖瓣缘对缘修复 TEER、左心耳封堵 LAAC)中。

本系列文章借助 AR 图像、真实 TEE 图像等,引导大家理解经食道心脏彩超基本原理、掌握部分常用的经典切面。

彩超探头怎么转换经食道心脏彩超(TEE)总看不懂?5 分钟掌握经典切面!(附动图)_https://www.jmylbn.com_新闻资讯_第2张
图 1:食道与心脏在体内毗邻关系(动图)

1

基本原理


TEE 的探头外形类似于电子纤维胃镜,探头顶端侧面是拥有多平面功能的换能器晶片。在操作柄及旋钮控制下,可实现探头前端的前进/后退、前后/左右屈曲以及左右旋转(图 2、3)。

彩超探头怎么转换经食道心脏彩超(TEE)总看不懂?5 分钟掌握经典切面!(附动图)_https://www.jmylbn.com_新闻资讯_第3张
图 2:TEE 探头示意图

彩超探头怎么转换经食道心脏彩超(TEE)总看不懂?5 分钟掌握经典切面!(附动图)_https://www.jmylbn.com_新闻资讯_第4张
图 3:TEE 探头的操作(前端侧面的灰色部分为换能器晶片)

理解超声图像:TEE 探头沿食管内壁前行,晶片直接贴近心脏由后往前扫查获取一扇形切面。可以想象为,沿超声平面「剖开」心脏及大血管结构(图 4),靠近探头晶片的结构呈现于图像的上方(近场)、远离探头晶片的结构呈现于图像的下方(远场)。经过旋转图像转换,最终呈现在屏幕上的图像为相对应的扇形视野。

与经胸心脏彩超相同,TEE 有相应的 Marker 来区分视野、图像的左右(本文图中以红绿线条标记)。

彩超探头怎么转换经食道心脏彩超(TEE)总看不懂?5 分钟掌握经典切面!(附动图)_https://www.jmylbn.com_新闻资讯_第5张

图 4:TEE 图像示意图(Bicaval view)

A:探头与心脏相对位置;B:「超声刀」剖开结构;C:旋转图像转换;D:真实 TEE 图像


根据 TEE 探头在食道内深度不同(图 5),总共分为 6 个探查深度水平(胃底水平、胃食管交界处水平、深食管水平、食管中段、食管上段、主动脉弓水平)、以及 20 个标准切面。

6 个深度为何会有 20 个切面?这是由于探头前端可以进行摆动、屈曲调整;可以想象为,这是「超声解剖刀」的不同「下刀位置」。同时,目前的多平面超声探头均可以通过调整其特有的按钮使得超声切面(即晶片的朝向)在 0°~180° 之间转换,这是「超声解剖刀」的不同「切割方向」(图 6)。

彩超探头怎么转换经食道心脏彩超(TEE)总看不懂?5 分钟掌握经典切面!(附动图)_https://www.jmylbn.com_新闻资讯_第6张
图 5:6 个探查深度水平(a 胃底水平、b 胃食管交界处水平、c 深食管水平、d 食管中段、e 食管上段、f 主动脉弓水平)

超声解剖刀的「切割方向」角度是根据后前位(即从后往前看)作为参考平面。以食管中段切面为例,0° 时的扫描切面即 TEE 探头的水平切面(横轴切面);30°~50° 时的扫描切面相当于心脏的短轴切面;90° 时的扫描切面相当于 TEE 探头的矢状切面;110°~130° 时的扫描切面相当于心脏的长轴切面;180° 时的扫描切面为 0° 时所得切面的镜像图。

探头从 0°~180° 连续旋转晶片,理论上可获得无数个连续性的诊断切面。

彩超探头怎么转换经食道心脏彩超(TEE)总看不懂?5 分钟掌握经典切面!(附动图)_https://www.jmylbn.com_新闻资讯_第7张
图 6:超声切面角度示意图(后前位、食管中段切面)

2

经典切面


下文先介绍 4 个食管中段水平经典切面。此时探头位于食管中段、深度约 30~40 cm。该深度的一系列切面是以主动脉瓣为中心,可显示左心及升主动脉近心段的结构,意义重大。


01

食管中段四腔心切面(4-chamber view)


超声探头位于左心房后部(「下刀位置」)、旋转晶片角度约 0~10°(「切割方向」)、显示 4 个腔室;通过轻微后屈探头、尽可能多显示左室心尖部。图像中包括左心房、部分右心房、二三尖瓣以及左右心室等结构。

该如何理解掌握此切面的构成?图像切面始于左心房,从后前位可见 0~10° 的晶片角度相当于身体的水平切面;因此切面会经过二尖瓣中心、止于左心室心尖部(图 7)。通常能看到二尖瓣前叶(AMVL)及后叶(PMVL),其中二尖瓣前叶更为居中。

彩超探头怎么转换经食道心脏彩超(TEE)总看不懂?5 分钟掌握经典切面!(附动图)_https://www.jmylbn.com_新闻资讯_第8张
彩超探头怎么转换经食道心脏彩超(TEE)总看不懂?5 分钟掌握经典切面!(附动图)_https://www.jmylbn.com_新闻资讯_第9张
图 7:TEE 切面示意图(4-chamber view)
A:前后位;B:后前位;C:顶头位;D:剖开结构;E:旋转图像转换

彩超探头怎么转换经食道心脏彩超(TEE)总看不懂?5 分钟掌握经典切面!(附动图)_https://www.jmylbn.com_新闻资讯_第10张
图 8:TEE 图像(4-chamber view,动图)

结合动图 8,便可更好理解该切面的构成。此切面主要用于诊断二三尖瓣疾病、房间隔缺损及判断心腔大小、心室功能等。

在此切面基础上回撤探头、稍微旋转晶片角度,可显示食管中段五腔心切面(5-chamber view),是观察主动脉瓣及左室的最佳切面、可显示主动脉瓣的三个瓣尖,也可通过彩色多普勒确定主动脉瓣 + 二三尖瓣的瓣膜返流情况等。


02

食管中段二尖瓣闭合缘切面(commissural view)


超声探头位置与前述四腔心切面时一致、位于左心房后部(「下刀位置」),区别在于旋转晶片角度约 45~60°(「切割方向」),此时右心房及右心室便从图像中消失。

相当于从左心房后侧观察左心房、二尖瓣以及左室心尖部,也可显示左心室前组 + 后组乳头肌。切面基本贴合于二尖瓣闭合缘方向。

彩超探头怎么转换经食道心脏彩超(TEE)总看不懂?5 分钟掌握经典切面!(附动图)_https://www.jmylbn.com_新闻资讯_第11张
图 9:TEE 切面示意图(commissural view)
A:后前位;B:前后位剖开结构;C:旋转图像转换

根据二尖瓣的解剖分区,前叶分为 A1、A2 及 A3 部分,相对应的后叶也分为 P1、P2、P3 部分(图 10)。1 区位于前外侧、3 区位于后内侧。该探查切面所经过的二尖瓣 P3、A2、P1 等部分形成一个经典的「波浪」图像(图 11)。此切面是二尖瓣缘对缘修复术(TEER)中的重要参考依据,也可以用于评估左心室功能、左心房病变等。

彩超探头怎么转换经食道心脏彩超(TEE)总看不懂?5 分钟掌握经典切面!(附动图)_https://www.jmylbn.com_新闻资讯_第12张
图 10:二尖瓣解剖分区示意图
从心房向心室方向观察,蓝线为 commissural view 超声切面大致方向

彩超探头怎么转换经食道心脏彩超(TEE)总看不懂?5 分钟掌握经典切面!(附动图)_https://www.jmylbn.com_新闻资讯_第13张

图 11:TEE 图像(commissural view,动图)


03

食管中段两腔心切面(2-chamber view)


超声探头位置与前述四腔心切面时一致、位于左心房后部,旋转晶片角度至 90° 左右,此时右心房及右心室便从图像中消失,左心耳出现。并同时后屈探头、加大超声视野深度,可显示整个心尖部。该切面与四腔心切面相垂直,左室前壁位于图像右侧、左室下壁位于图像左侧(图 12)。

彩超探头怎么转换经食道心脏彩超(TEE)总看不懂?5 分钟掌握经典切面!(附动图)_https://www.jmylbn.com_新闻资讯_第14张
图 12:TEE 切面示意图(2-chamber view)
A:后前位;B:前后位剖开结构;C:旋转图像转换

根据二尖瓣的解剖分区,该探查切面会经过二尖瓣 A1、A2、P3 等部分(图 13)。此切面主要用于评估二尖瓣病变、测量二尖瓣瓣环尺寸、诊断左心耳占位、测量左心室大小及功能等。

彩超探头怎么转换经食道心脏彩超(TEE)总看不懂?5 分钟掌握经典切面!(附动图)_https://www.jmylbn.com_新闻资讯_第15张

图 13:TEE 图像(2-chamber view,动图)


04

食管中段左室长轴切面(LAX view)


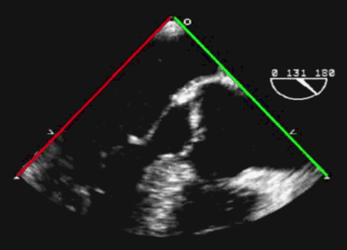
超声探头位置与前述两腔心切面时一致、位于左心房后部,旋转晶片角度至 130° 左右(图 14)。可在长轴方向显示主动脉瓣和左室流出道,调整超声探头深度使得整个左心室在图像中显示。左心室前间膈和下侧壁、二尖瓣 A2 及 P2 均能清晰显示(图 15)。

彩超探头怎么转换经食道心脏彩超(TEE)总看不懂?5 分钟掌握经典切面!(附动图)_https://www.jmylbn.com_新闻资讯_第16张
图 14:TEE 切面示意图(LAX view)
A:后前位;B:前后位剖开结构;C:旋转图像转换

彩超探头怎么转换经食道心脏彩超(TEE)总看不懂?5 分钟掌握经典切面!(附动图)_https://www.jmylbn.com_新闻资讯_第17张
图 15:TEE 图像(LAX view,动图)

该切面用于诊断二尖瓣、主动脉瓣、主动脉根部和室间隔病变,也可用于评估左室功能。此切面也是二尖瓣缘对缘修复术(TEER)中的重要参考依据。

另有两个基本切面与左室长轴切面存在联系:即左室流出道切面(LVOT view)以及主动脉瓣长轴切面(AV LAX view)。

前者与左室长轴切面基本相同。而后者相较于左室长轴切面,超声探查深度更浅,图像关注点主要在于流出道及主动脉根部,左室及二尖瓣仅显示部分(图 16)。

彩超探头怎么转换经食道心脏彩超(TEE)总看不懂?5 分钟掌握经典切面!(附动图)_https://www.jmylbn.com_新闻资讯_第18张
图 16:TEE 图像(AV LAX view,动图)


本文讲解了经食道心脏彩超基本原理,并介绍了中食管水平的 4 个经典切面,敬请关注后续文章讲解其余切面。

作者介绍:
方明程,福建省立医院心内科主治医师,郭延松教授团队成员,国内外期刊发表文章多篇、获批两项国家实用新型专利。
洪景宣,福建省立医院心内科主治医师,郭延松教授团队成员,擅长冠心病、心脏瓣膜病及先天性心脏病的介入诊疗工作。
图像及动图素材来源:《Visible Body》、《TEE standard views》
参考书籍:《经食道超声心动图学》
策划:ly
投稿:wangliya1@dxy.cn
题图来源:站酷海洛