彩超logiq怎么读来宾市第二人民医院引进进口GE彩超,影像更清晰

新闻资讯2026-04-21 10:00:11

来宾市第二人民医院引进全球最新一代的彩超:GE Logiq E10s。主要用于腹部、心脏、妇产、泌尿、浅表小器官与血管、儿科、肌骨神经等方面的检查。

一、彩超在心脏检查中的应用:

心脏彩超又称超声心动图,心脏彩超相当于是医生的透视眼,医生可以透过人体的皮肉和骨骼,看到心脏有哪些结构,心脏大小、心脏如何搏动、心内血液流动的速度和方向。它最大的特点在于能够清晰地动态显示心脏的形态结构及功能,具有无创、方便、无辐射、连续、应用范围广的特点,对很多疾病的诊断具有确诊的价值,最适合检查一些心脏形态结构发生改变的疾病,例如先天性心脏病等。


彩超logiq怎么读来宾市第二人民医院引进进口GE彩超,影像更清晰_https://www.jmylbn.com_新闻资讯_第1张


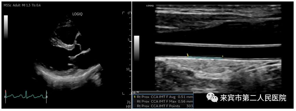
二、彩超在血管检查中的应用:

彩超可以对人体的颅内外动静脉,心血管以及四肢动静脉进行检查,应用彩色多普勒可以检测到颅内血管内血流速度,以此判断有无血管痉挛或者是血管狭窄。

通过对颈部血管的检测,可以清晰地显示出颈部动脉壁是否增厚、斑块、血栓、狭窄、闭塞等等,而通过对四肢血管检测,可以检查出动脉有无狭窄、闭塞以及血流的速度,可以排除四肢静脉有无血栓形成,以及有无瓣膜功能不全、反流等等情况。


彩超logiq怎么读来宾市第二人民医院引进进口GE彩超,影像更清晰_https://www.jmylbn.com_新闻资讯_第2张


三、彩超在腹部检查中的应用:

彩超在腹部器官检查中应用范围最广,在腹部中除胃肠道,几乎所有的器官都可以检查。首先上腹部有肝脏、胆囊、脾脏、胰腺、胆总管等等。其次下腹部的器官主要是泌尿和生殖系统,有肾脏、膀胱、输尿管、前列腺、子宫、卵巢、输卵管和睾丸。通过彩超检查可以诊断器官的炎性病变、良恶性肿瘤,胆囊、膀胱、输尿管以及肾脏的结石,肝脏、脾脏、肾脏和卵巢的囊肿等等。

四、彩超在浅表小器官检查中的应用:

浅表器官彩超检查是指对浅表器官的检查,常见的浅表器官有甲状腺、甲状旁腺、乳腺、眼部、浅表淋巴结、涎腺、阴囊、阴茎、浅表软组织及关节等。浅表器官彩超检查是判断器官大小、形态、结构及其是否异常的首选方法,可根据病变的超声影像图及血流信号特点来判断病变的性质、来源及与周围结构的关系。

如浅表皮下软组织,根据超声可判断病变所处的层次、大小、形态、有无包膜、边界是否清晰、与邻近结构关系;根据肿块不同回声表现,包括无回声、低回声、等回声及高回声等,判断肿物为囊性、实性或囊实性;根据彩色超声判断血流信号特点,最终做出良恶性诊断及相关的鉴别诊断。 

我院引进最新的第五代超声:美国GE-Logiq E10s型彩超,具有更高信息量、更高的分辨力、更高的帧频、更高清的图像,为疾病的早期诊断提供重要依据。

彩超logiq怎么读来宾市第二人民医院引进进口GE彩超,影像更清晰_https://www.jmylbn.com_新闻资讯_第3张


1.智能像素优化

彩超logiq怎么读来宾市第二人民医院引进进口GE彩超,影像更清晰_https://www.jmylbn.com_新闻资讯_第4张

 
2.从多个维度观察血管、组织的血流灌注,明确诊断,CDFI彩色及PDI能量多普勒。

彩超logiq怎么读来宾市第二人民医院引进进口GE彩超,影像更清晰_https://www.jmylbn.com_新闻资讯_第5张


彩超logiq怎么读来宾市第二人民医院引进进口GE彩超,影像更清晰_https://www.jmylbn.com_新闻资讯_第6张

 

3.自动心肌功能成像

彩超logiq怎么读来宾市第二人民医院引进进口GE彩超,影像更清晰_https://www.jmylbn.com_新闻资讯_第7张


4.动态血管减影

彩超logiq怎么读来宾市第二人民医院引进进口GE彩超,影像更清晰_https://www.jmylbn.com_新闻资讯_第8张

5.立体血流成像,呈现3D效果,有助于更清晰显示微小病灶,淋巴结等微细血流灌注,帮助临床精准诊断。

彩超logiq怎么读来宾市第二人民医院引进进口GE彩超,影像更清晰_https://www.jmylbn.com_新闻资讯_第9张