彩超logiq怎么读【为健康护航】进口高端彩超落户乐凯医院,诊疗再添利器

新闻资讯2026-04-21 09:59:53

彩超logiq怎么读【为健康护航】进口高端彩超落户乐凯医院,诊疗再添利器_https://www.jmylbn.com_新闻资讯_第1张



乐凯医院引进先进彩超设备,超声诊断能力显著提升


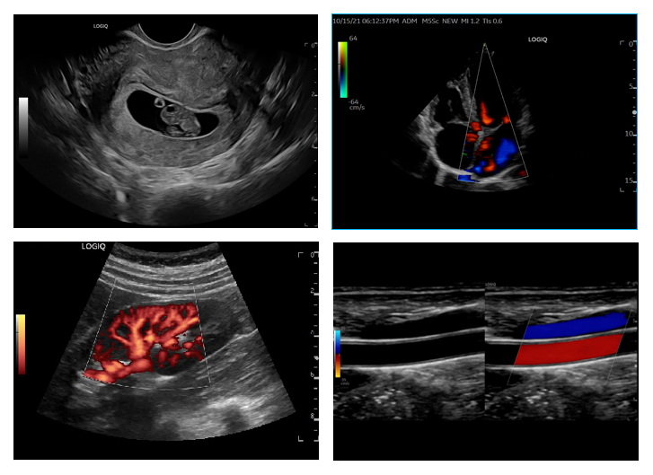
新年伊始,乐凯医院为进一步提升医疗服务水平,满足广大患者的就医需求,并促进医疗技术的更快发展,特引进了一台全新的GE LOGIQ Fortis 第5代彩超设备。经过紧张的安装与调试,该设备现已正式投入使用,并配备了全新的超声工作站和彩色打印机,标志着乐凯医院在超声诊断领域迈上了新的台阶。

彩超logiq怎么读【为健康护航】进口高端彩超落户乐凯医院,诊疗再添利器_https://www.jmylbn.com_新闻资讯_第2张

新彩超设备亮点纷呈

这款GE LOGIQ Fortis 第5代彩超设备在图像质量上实现了质的飞跃。其卓越的整场均匀性和空间分辨率,使得成像更加清晰、精确。此外,该设备还搭载了多项先进的血流成像技术,包括非多普勒原理的B-flow灰阶血流成像(类造影)、R-flow二维立体血流成像以及MVI超微细血流成像。
这些技术的运用,使得医生能够在二维图像上直观地观察到血流的动态情况,甚至能够精确显示出细小血管的结构,从而极大地提高了诊断的准确性和可靠性。
优秀的图像表现
彩超logiq怎么读【为健康护航】进口高端彩超落户乐凯医院,诊疗再添利器_https://www.jmylbn.com_新闻资讯_第3张


开展项目广泛,满足患者需求

借助这台先进的彩超设备,乐凯医院超声科能够开展多项检查项目,涵盖了腹部、浅表小器官以及心脏和血管等多个领域。具体包括:
腹部:肝、胆、胰、脾、双肾、输尿管、膀胱、前列腺、子宫、附件、阑尾。
浅表小器官:甲状腺、乳腺、颈部淋巴结及浅表软组织。
心脏及血管超声:心脏、颈部血管、上肢血管、下肢血管、肾血管、腹部大血管。


以患者为中心,提供优质诊疗服务


彩超logiq怎么读【为健康护航】进口高端彩超落户乐凯医院,诊疗再添利器_https://www.jmylbn.com_新闻资讯_第4张

乐凯医院超声科始终坚持以“一切为了大众健康”为使命,致力于为患者提供更加优质的诊疗服务。新设备的投入使用,不仅提高了医院的检查能力和诊断水平,更让患者在就医过程中感受到了更加便捷、高效和贴心的服务。未来,乐凯医院将继续引进更多先进的医疗设备和技术,不断提升医疗服务质量,为患者的健康保驾护航。

彩超logiq怎么读【为健康护航】进口高端彩超落户乐凯医院,诊疗再添利器_https://www.jmylbn.com_新闻资讯_第5张

彩超检查地点:乐凯医院二楼彩超室
检查流程:门诊--医生开单--缴费--二楼彩超室预约检查
检查时间:
周一、周五   8:00-12:00   14:00-17:00
周六、周日   8:00-12:00


彩超logiq怎么读【为健康护航】进口高端彩超落户乐凯医院,诊疗再添利器_https://www.jmylbn.com_新闻资讯_第6张



医院介绍


彩超logiq怎么读【为健康护航】进口高端彩超落户乐凯医院,诊疗再添利器_https://www.jmylbn.com_新闻资讯_第7张


彩超logiq怎么读【为健康护航】进口高端彩超落户乐凯医院,诊疗再添利器_https://www.jmylbn.com_新闻资讯_第8张


彩超logiq怎么读【为健康护航】进口高端彩超落户乐凯医院,诊疗再添利器_https://www.jmylbn.com_新闻资讯_第9张


彩超logiq怎么读【为健康护航】进口高端彩超落户乐凯医院,诊疗再添利器_https://www.jmylbn.com_新闻资讯_第10张



彩超logiq怎么读【为健康护航】进口高端彩超落户乐凯医院,诊疗再添利器_https://www.jmylbn.com_新闻资讯_第11张

彩超logiq怎么读【为健康护航】进口高端彩超落户乐凯医院,诊疗再添利器_https://www.jmylbn.com_新闻资讯_第12张