b膀胱镜为什么消毒泌尿外科迈向微创时代新“镜”界——膀胱镜

新闻资讯2026-04-17 12:18:27

盖州市中西医结合医院




博爱求精 厚德至善


“你是我的眼” 泌尿外科十八般兵器之----膀胱镜



你是我的眼
让我能轻易分辨出你的......
能准确在病灶处
找到你

b膀胱镜为什么消毒泌尿外科迈向微创时代新“镜”界——膀胱镜_https://www.jmylbn.com_新闻资讯_第1张

膀胱镜是泌尿外科必备的神器之一,它的主体由镜鞘、镜桥、内窥镜、闭孔器四部分组成。临床上膀胱镜需要与显像系统膀胱镜工作站共同配合,才能把功能发挥到极致。

下面,我就带大家一起看一看,这些小伙伴们都长什么样?

显像系统

包括显示器、冷光源和摄像系统,利用显像系统,可以把膀胱镜看到的图像放大25倍,然后传输到显示器和工作站,让误诊和漏诊的几率大大降低。

b膀胱镜为什么消毒泌尿外科迈向微创时代新“镜”界——膀胱镜_https://www.jmylbn.com_新闻资讯_第2张

膀胱镜工作站

膀胱镜工作站又叫“膀胱镜医学影像管理与传输系统”,它由计算机、打印机、图像采集卡和软件组成,主要对膀胱镜检查的影像进行数字化采集、存储、统计以及检查报告的书写和打印。

膀胱镜的组成介绍完了,那么膀胱镜到底有哪些用途呢?我们来仔细了解一下:

适应症
       ①无痛性血尿;
       ②突发尿流中断;
       ③排尿困难;
       ④尿线变细;
       ⑤尿频尿急尿痛,药物治疗无效。
b膀胱镜为什么消毒泌尿外科迈向微创时代新“镜”界——膀胱镜_https://www.jmylbn.com_新闻资讯_第3张
以上这些症状,借助其他辅助检查,往往不能得到最佳答案,需要借助膀胱镜检查才能最终确诊。

b膀胱镜为什么消毒泌尿外科迈向微创时代新“镜”界——膀胱镜_https://www.jmylbn.com_新闻资讯_第4张

就拿简单的“无痛性血尿”来说吧,有医学常识的朋友都知道,如果是无痛的,首先需要排除膀胱肿瘤。

b膀胱镜为什么消毒泌尿外科迈向微创时代新“镜”界——膀胱镜_https://www.jmylbn.com_新闻资讯_第5张

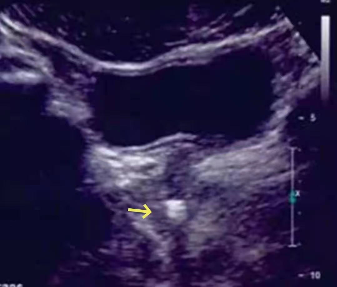
临床上遇到无痛性血尿,我们会怎么做呢?首先我们会通过彩超进行初步筛查,了解一下膀胱里有没有长肿瘤。

彩超结果往往是这样的↓

b膀胱镜为什么消毒泌尿外科迈向微创时代新“镜”界——膀胱镜_https://www.jmylbn.com_新闻资讯_第6张


 通过彩超我们可以看到膀胱里有一个小结节,但是结节的具体性质彩超还是无法确定。那有人会说了,能不能做个CT呀,CT不是更清楚吗?
是的,CT是这样的↓

b膀胱镜为什么消毒泌尿外科迈向微创时代新“镜”界——膀胱镜_https://www.jmylbn.com_新闻资讯_第7张


CT也能看到结节,还能看到膀胱周围组织的情况,但是还是不能确定结节的性质。

那应该咋办呢?这就要请出我们今天的主角----膀胱镜了!
  在麻醉下,我们的膀胱镜通过尿道进入膀胱,可以清楚的看到结节的真面目,而且我们可以利用活检钳,取出一小块肿瘤组织,送到病理科,通过病理检查我们可以准确的判断出结节的性质,这是最准确不过的了。
  膀胱镜下我们看到的结节是这个样子的↓,是不是非常清晰!

b膀胱镜为什么消毒泌尿外科迈向微创时代新“镜”界——膀胱镜_https://www.jmylbn.com_新闻资讯_第8张


下面,我们再来说一说另外一个特殊疾病。
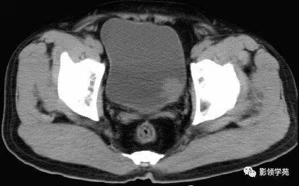
不知道大家有没有碰到过这种情况:患者因为排尿困难、尿线变细前来就诊,门诊行彩超检查提示前列腺部强回声,考虑前列腺结石,不排除尿道结石可能。
b膀胱镜为什么消毒泌尿外科迈向微创时代新“镜”界——膀胱镜_https://www.jmylbn.com_新闻资讯_第9张

超声是这样的↑

b膀胱镜为什么消毒泌尿外科迈向微创时代新“镜”界——膀胱镜_https://www.jmylbn.com_新闻资讯_第10张

CT是这样的↑

那么问题来了,患者是前列腺增生合并前列腺结石(钙化)还是前列腺部的尿道结石嵌顿呢?

彩超和CT都不很明确,无法对这两种疾病进行准确的鉴别。恰恰这两种疾病的治疗方式也完全不同,让临床医生也很头疼。

b膀胱镜为什么消毒泌尿外科迈向微创时代新“镜”界——膀胱镜_https://www.jmylbn.com_新闻资讯_第11张

在这种情况下,我们的膀胱镜就又有了大显身手的机会了。在膀胱镜下,尿道结石将无处遁形,尿道是否通畅,前列腺是否增生一目了然,诊断明确了,下一步治疗也就简单了。

b膀胱镜为什么消毒泌尿外科迈向微创时代新“镜”界——膀胱镜_https://www.jmylbn.com_新闻资讯_第12张


下面我们来谈一谈,膀胱镜的辅助工具:活检钳、异物钳和剪刀。

b膀胱镜为什么消毒泌尿外科迈向微创时代新“镜”界——膀胱镜_https://www.jmylbn.com_新闻资讯_第13张


活检钳

它可以帮助我们钳取膀胱里边的部分肿瘤组织,进行病理检查,达到确诊肿瘤性质的目的。

b膀胱镜为什么消毒泌尿外科迈向微创时代新“镜”界——膀胱镜_https://www.jmylbn.com_新闻资讯_第14张


异物钳

它可以帮我们取出膀胱里边的异物,比如,肾结石术后的输尿管支架管,膀胱里边的小结石等等,当然还有一些奇葩的植入物。

b膀胱镜为什么消毒泌尿外科迈向微创时代新“镜”界——膀胱镜_https://www.jmylbn.com_新闻资讯_第15张


这些异物是怎样进入膀胱的呢?大家自行脑补一下!
剪 刀

有些膀胱手术后的病人,膀胱里会裸露有手术缝线,如果不及时拆除,可能诱发结石形成。膀胱镜下的剪刀就可以帮助我们拆除这些缝线。

当然,膀胱镜的用途也远远不止这些,今天我们简单罗列了一部分,这些都是临床中比较常见的几种情况。另外,我们也清楚的知道,膀胱镜作为一种检查和治疗手段,还有一定的局限性。它只能到达膀胱和尿道,对于肾盂和输尿管的疾病,膀胱镜也就无能为力了,那么肾盂和输尿管疾病我们怎么做出准确的诊断呢?下期我们就来讲一讲,泌尿外科另外一套神器----输尿管镜!

b膀胱镜为什么消毒泌尿外科迈向微创时代新“镜”界——膀胱镜_https://www.jmylbn.com_新闻资讯_第16张

好了,今天就到这里,我们下期输尿管镜,不见不散!

b膀胱镜为什么消毒泌尿外科迈向微创时代新“镜”界——膀胱镜_https://www.jmylbn.com_新闻资讯_第17张



博爱求精


END


厚德至善


盖州市中西医结合医院

急诊急救电话:7777120

咨询电话:3451999