导丝怎么扩重磅!NOVA颅内药物球扩支架湖北首例植入!

新闻资讯2026-04-21 09:04:59


湖北地区

NOVA颅内药物球扩支架植入

NOVA颅内药物球扩支架--全球唯一  

导丝怎么扩重磅!NOVA颅内药物球扩支架湖北首例植入!_https://www.jmylbn.com_新闻资讯_第1张






  首个无神经毒性安全性的颅内药物支架;





  1年再狭窄6.66%,同裸支架比降低73.4%,从而降低再发卒中88.4%;





  血管内皮愈合导向,28天药物峰值,60天吸收完毕。

濮捷 湖北省中医院

导丝怎么扩重磅!NOVA颅内药物球扩支架湖北首例植入!_https://www.jmylbn.com_新闻资讯_第2张

濮捷

医学博士,副主任医师,神经内科副主任兼卒中介入中心主任

主要研究方向为缺血性脑血管病的介入诊疗

中国研究型医院学会介入神经病学专业委员会委员

中国研究型医院学会介入神经病学专业委员会卒中急诊学组委员

湖北省脑血管病防治学会神经重症专业委员会副主任委员

湖北省脑血管病防治学会神经介入分会委员

湖北省卒中学会青年委员会委员

发表文章10余篇,第一作者或通讯作者发表SCI论文6篇,参与获得湖北省科技进步二等奖1项,军队科技成果三等奖1项


盛冲霄 湖北省中医院

导丝怎么扩重磅!NOVA颅内药物球扩支架湖北首例植入!_https://www.jmylbn.com_新闻资讯_第3张

盛冲霄

神经内科主治医师,医学硕士

武汉市医学会神经血管介入分会委员

2015年至今在神经内科从事神经急危重症及神经介入诊治工作,擅长缺血性卒中急诊取栓以及颅内外血管狭窄的介入治疗

发表国内外期刊文章7篇










































患者基本信息





患者,女,71岁。

主诉:发作性右侧肢体乏力2天。

病史:患者于10月7日散步时自觉右侧肢体稍乏力,行走以及活动欠灵活,约30分钟后好转,未就诊,10月9日再次发作上述症状,站立不能,约10分钟后好转,遂就诊。

既往史:2018年脑梗死病史,当时表现未右侧肢体乏力,治疗后好转,未遗留明显后遗症,坚持服用阿司匹林;糖尿病史,血糖控制不佳,胰岛素治疗。患者自述2018年当时外院检查提示左侧颈动脉狭窄,后未定期复查。



入院诊断





1. 短暂性脑缺血发作(左侧颈内动脉系统)

2. 陈旧性脑梗死;

3. 2型糖尿病;

4. 颈内动脉狭窄(左侧)。



入院检查及给药





专科查体:言语清晰;行动如常;肌力5级;瞳孔正常;对光反射灵敏。

神经系统评分:NIHSS(1分 );MRS(0分)。



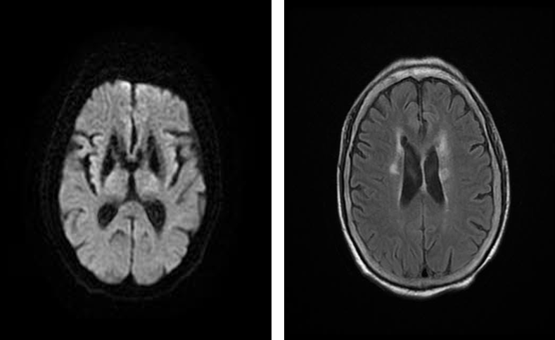
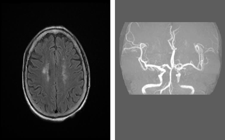
入院影像检查






导丝怎么扩重磅!NOVA颅内药物球扩支架湖北首例植入!_https://www.jmylbn.com_新闻资讯_第4张

DWI

MRI(T2Flair)

导丝怎么扩重磅!NOVA颅内药物球扩支架湖北首例植入!_https://www.jmylbn.com_新闻资讯_第5张

MRI(T2Flair)

MRA

重要影像结论:左侧大脑半球内侧多发陈旧性梗死灶,左侧颈内动脉C4段重度狭窄。



诊断





主要诊断:1. 短暂性脑缺血发作(左侧颈内动脉系统);2. 颈内动脉狭窄(左侧)。

病变部位:左侧颈内动脉C4段重度狭窄

远端正常血管直径(mm):2.98

狭窄处最小直径(mm):0.4

病变长度(mm):13.1

狭窄度(%):90%



术前讨论





拟行手术方案:左侧颈内动脉球囊扩张后支架植入。

手术指征(血管内介入治疗的指征)

患者既往脑梗死病史,当时表现为右侧肢体无力,当时行药物治疗观察;本次患者发作性右侧肢体乏力,头颅磁共振见左侧大脑半球多发陈旧性梗死灶,MRA见左侧颈内动脉C4段重度狭窄,考虑左侧颈内动脉为责任血管。患者既往脑梗死,左侧颈内动脉狭窄,在药物治疗下仍发作左侧大脑半球缺血事件,具备血管内介入治疗的指征。

治疗策略

以导引导管作为近端支撑,微导丝通过狭窄段至狭窄远端真腔内,通过微导丝引导赛诺神畅 NOVA颅内药物球扩支架至狭窄段,扩张球囊并释放支架,必要时支架内再扩张。

预估可能性的手术并发症:夹层、远端栓塞。



治疗过程 -- 使用耗材





◆ 操作入路

股动脉穿刺

◆ 造影

造影导丝:0.035in超滑导丝

造影导管:猪尾造影管、椎动脉造影管

导引导管:6F 长鞘

◆ 通过病变

微导丝:0.014'*300mm

◆ 扩张及植入

支架:赛诺神畅 NOVA颅内药物球扩支架3.0*15mm



治疗中影像1





◆ 右侧颈内动脉以及右侧大脑中、前动脉显影良好,对左侧大脑中动脉部分代偿供血。

导丝怎么扩重磅!NOVA颅内药物球扩支架湖北首例植入!_https://www.jmylbn.com_新闻资讯_第6张

右侧颈内动脉造影

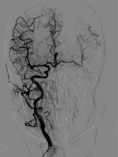
◆ 椎动脉、基底动脉脊大脑后动脉等各分支显影良好。

导丝怎么扩重磅!NOVA颅内药物球扩支架湖北首例植入!_https://www.jmylbn.com_新闻资讯_第7张

椎动脉造影

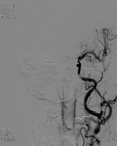
◆ 左侧颈内动脉C4段重度狭窄。

导丝怎么扩重磅!NOVA颅内药物球扩支架湖北首例植入!_https://www.jmylbn.com_新闻资讯_第8张

左侧颈内动脉造影

◆ 导引导管置于左侧颈内动脉C1段,微导丝通过狭窄段置于左侧大脑中动脉M2段。

导丝怎么扩重磅!NOVA颅内药物球扩支架湖北首例植入!_https://www.jmylbn.com_新闻资讯_第9张

导引导管到位,导丝通过病变

◆ 沿微导丝将3.0*15mm赛诺神畅 NOVA颅内药物球扩支架定位在颈内动脉狭窄处。

导丝怎么扩重磅!NOVA颅内药物球扩支架湖北首例植入!_https://www.jmylbn.com_新闻资讯_第10张

NOVA支架到达病变部位

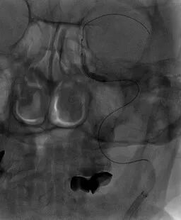
◆ 球囊扩张释放支架。

导丝怎么扩重磅!NOVA颅内药物球扩支架湖北首例植入!_https://www.jmylbn.com_新闻资讯_第11张

透视下扩张球囊并释放支架

◆ 左侧颈内动脉C4段狭窄解除。

导丝怎么扩重磅!NOVA颅内药物球扩支架湖北首例植入!_https://www.jmylbn.com_新闻资讯_第12张

支架释放回收球囊后造影

◆ 远端分支显影良好。

导丝怎么扩重磅!NOVA颅内药物球扩支架湖北首例植入!_https://www.jmylbn.com_新闻资讯_第13张

左侧颈内动脉系统造影



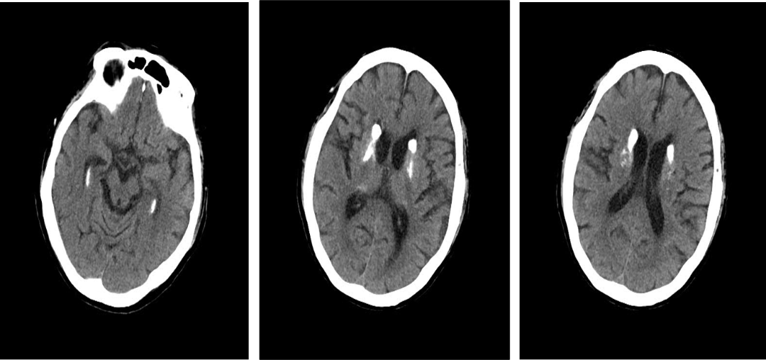
术后影像及检查





全脑及病变处不同体位。

导丝怎么扩重磅!NOVA颅内药物球扩支架湖北首例植入!_https://www.jmylbn.com_新闻资讯_第14张

重要影像结论:术后复查头颅CT未见颅内出血征象。



操作体会







1. 术前应严格把握手术适应征:该患者左侧颈内动脉狭窄,经药物治疗后仍反复发作左侧颈内动脉系统缺血事件,具备介入手术指征;

2. 赛诺神畅 NOVA支架为球扩支架,球囊扩张支架释放一步到位,操作简便。

3. 赛诺神畅 NOVA支架为药物涂层支架,能够减少术后支架内再狭窄率;

4. 本例病人狭窄程度较为严重,支架释放前并未进行预扩张,但赛诺神畅 NOVA颅内药物球扩支架非常顺畅通过病变部位,显示了其良好的通过性能。









手术技巧







1. 导引导管进入颈内动脉C1远端,建立了良好且稳定的手术通路,为后续球囊以及支架的操作提供稳定的支撑。

2. 本例病人狭窄程度严重,微导丝通过狭窄段过程中应谨慎操作,避免产生夹层。















导丝怎么扩重磅!NOVA颅内药物球扩支架湖北首例植入!_https://www.jmylbn.com_新闻资讯_第15张

声明:脑医汇旗下神外资讯、神介资讯、脑医咨询所发表内容之知识产权为脑医汇及主办方、原作者等相关权利人所有。未经许可,禁止进行转载、摘编、复制、裁切、录制等。经许可授权使用,亦须注明来源。欢迎转发、分享。

导丝怎么扩重磅!NOVA颅内药物球扩支架湖北首例植入!_https://www.jmylbn.com_新闻资讯_第16张

请点击“阅读原文”进入赛诺神畅品牌专区。

导丝怎么扩重磅!NOVA颅内药物球扩支架湖北首例植入!_https://www.jmylbn.com_新闻资讯_第17张

点分享

导丝怎么扩重磅!NOVA颅内药物球扩支架湖北首例植入!_https://www.jmylbn.com_新闻资讯_第18张

点点赞

导丝怎么扩重磅!NOVA颅内药物球扩支架湖北首例植入!_https://www.jmylbn.com_新闻资讯_第19张

点再看