导丝怎么扩【病例夹】​郭宗培副主任团队:左侧大脑中动脉M1闭塞取栓—拉栓?单纯球扩?

新闻资讯2026-04-21 09:03:38
导丝怎么扩【病例夹】​郭宗培副主任团队:左侧大脑中动脉M1闭塞取栓—拉栓?单纯球扩?_https://www.jmylbn.com_新闻资讯_第1张


导丝怎么扩【病例夹】​郭宗培副主任团队:左侧大脑中动脉M1闭塞取栓—拉栓?单纯球扩?_https://www.jmylbn.com_新闻资讯_第2张

欢迎登录脑医汇App体验病例夹



   

作者:郭宗培1 崔永强2 杜亮1

作者单位:

1. 北京市红十字会急诊抢救中心

2. 战略支援部队特色医学中心(原解放军第306医院)


导丝怎么扩【病例夹】​郭宗培副主任团队:左侧大脑中动脉M1闭塞取栓—拉栓?单纯球扩?_https://www.jmylbn.com_新闻资讯_第3张


病例摘要



患者:男,67岁  

主诉:意识模糊伴失语3小时。

现病史:患者家属诉患者于2021-12-21 08:30左右被发现意识模糊伴失语,为求诊治,呼救护车来我院就诊。急诊给予完善相关检查及检验后,在急诊给予对症治疗后以“急性脑梗死”收入住院。患者自发病以来意识模糊,躁动明显,呕吐数次,为胃内容物;无四肢抽搐及大小便失禁。

既往史:既往“高血压”20年,最高达150/90mmHg,未系统诊治。


入院检查



查体:

T:36.8℃;P:85次/分;R:20次/分;BP:145/85mmHg。患者意识模糊,失语,躁动明显,查体欠配合。


头颅无畸形,双侧瞳孔等大等圆,直径约3.0mm,对光反射灵敏。右侧鼻唇沟变浅。颈软,无抵抗。


胸廓双侧对称无畸形,双肺呼吸音粗,未闻及干湿性罗音。律齐,心音有力,各瓣膜听诊区未闻及明显病理性杂音。腹软,无肌紧张,肝脾肋下未触及,肠鸣音正常。


四肢可见不自主活动,右侧肢体肌力2级,左侧肢体肌力5级。双侧肌张力正常,双侧膝腱反射未引出,左侧巴氏征阴性,右侧巴氏征阳性。


2021-12-21 头颅CT、胸部CT:

1、头颅CT未见明显异常,请结合MRI检查。

2、右肺局限性肺气肿,右肺大泡,双肺陈旧病灶,主动脉壁及冠状动脉壁钙化。


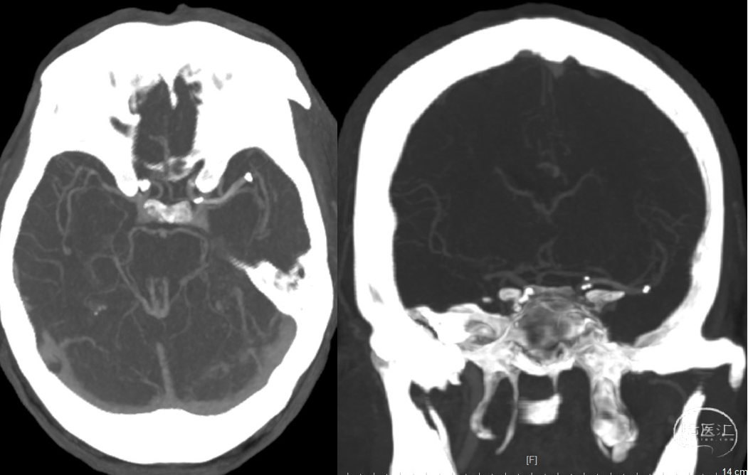
2021-12-21 头颅CTA、颈部CTA:

1、左侧大脑中动脉M1以外闭塞。右侧M2段局部变细明显,不除外发育异常,余大脑动脉符合动脉粥样硬化改变。

2、右侧椎动脉远端变细,请结合临床考虑。


2021-12-21 心电图:窦性心律,左心室高电压,不正常心电图。


2021-12-21 实验室检查:白细胞21.10×10^9/L,血红蛋白166g/L,中性粒细胞比率94.3%,中性粒细胞数19.88×10^9/L,葡萄糖6.36mmol/L,C反应蛋白54.60mg/L,血浆D-二聚体4.80ug/mL,纤维蛋白(原)降解产物6.30ug/mL,新型冠状病毒核酸检测阴性。


急诊头颅CT:未见明显新发梗塞(2021-12-21)

导丝怎么扩【病例夹】​郭宗培副主任团队:左侧大脑中动脉M1闭塞取栓—拉栓?单纯球扩?_https://www.jmylbn.com_新闻资讯_第4张

导丝怎么扩【病例夹】​郭宗培副主任团队:左侧大脑中动脉M1闭塞取栓—拉栓?单纯球扩?_https://www.jmylbn.com_新闻资讯_第5张

头颅CTA:左侧M1以远闭塞

导丝怎么扩【病例夹】​郭宗培副主任团队:左侧大脑中动脉M1闭塞取栓—拉栓?单纯球扩?_https://www.jmylbn.com_新闻资讯_第4张

导丝怎么扩【病例夹】​郭宗培副主任团队:左侧大脑中动脉M1闭塞取栓—拉栓?单纯球扩?_https://www.jmylbn.com_新闻资讯_第7张

术前诊断



1、急性脑梗塞

2、左侧大脑中动脉M1段闭塞

3、高血压1级(很高危)

4、右肺肺气肿

5、右肺肺大泡

6、冠状动脉粥样硬化性心脏病

7、脑内动脉粥样硬化

手术方案



方案:

DSA全脑血管造影

经皮穿刺左侧大脑中动脉取栓术。


手术风险:

血栓脱落,梗塞加重。

支架内急性或亚急性血栓形成

穿支损伤,脑出血

狭窄部位不易通过,球囊扩张出现夹层

狭窄部位不能维持,需支架置入

入路血管损伤等

手术记录



麻醉满意后,造影明确患者为Ⅲ型弓,血管迂曲,行左侧锁骨下造影示:左侧椎动脉开口处轻度狭窄,狭窄率约30%,超选入左椎动脉,造影示:左椎动脉及基底动脉走形正常,基底动脉、双侧大脑后动脉及小脑上动脉通畅,走形正常,前向血流TICI 3级。左颈总动脉及左侧颈内动脉走形正常,左侧大脑中动脉M1闭塞。撤出造影管。

导丝怎么扩【病例夹】​郭宗培副主任团队:左侧大脑中动脉M1闭塞取栓—拉栓?单纯球扩?_https://www.jmylbn.com_新闻资讯_第8张

以泥鳅导丝携带8F Guiding及多功能造影管路图下同轴到颈内动脉,撤出多功能管。ASAHI-0.014in×200cm微导丝携带Navien-72及SL-10微导管到达颈内动脉末端,微导管造影再次证实大脑前动脉通畅,左侧大脑中动脉M1闭塞,微导丝通过闭塞段顺利证实为真腔,中间导管造影提示远端血流存在,前向血流缓慢,M1处重度狭窄,交换Transed 0.014in×300cm微导丝,经微导丝上Gateway 2.0mm×15mm球囊,与M1狭窄处行6ATM缓慢扩张,观察前向血流有所好转,于微导管处行替罗非班5ml缓慢注射接触性溶栓,观察5分钟,血管有所回弹。

导丝怎么扩【病例夹】​郭宗培副主任团队:左侧大脑中动脉M1闭塞取栓—拉栓?单纯球扩?_https://www.jmylbn.com_新闻资讯_第8张

再次给予Gateway球囊以6ATM压力缓慢扩张,并缓慢注射替罗非班5ml,观察20分钟,M1处血管毛糙,血管回弹明显,给予经微导管释放Neuroform Atlas 4.0mm×21mm支架满意。复查造影左侧大脑中动脉及大脑前动脉显影良好,mTICI3级,观察10分钟后,再次复查造影左侧大脑中动脉及大脑前动脉显影良好。行Dyna CT见未见明显出血灶。

导丝怎么扩【病例夹】​郭宗培副主任团队:左侧大脑中动脉M1闭塞取栓—拉栓?单纯球扩?_https://www.jmylbn.com_新闻资讯_第10张

术中DSA:左侧颈内动脉正侧位,M1闭塞

导丝怎么扩【病例夹】​郭宗培副主任团队:左侧大脑中动脉M1闭塞取栓—拉栓?单纯球扩?_https://www.jmylbn.com_新闻资讯_第11张


ASAHI微导丝携带Navien-72及SL-10微导管,造影血管通畅,前向血流缓慢,给予Gateway 2.0mm×15mm球囊球扩


导丝怎么扩【病例夹】​郭宗培副主任团队:左侧大脑中动脉M1闭塞取栓—拉栓?单纯球扩?_https://www.jmylbn.com_新闻资讯_第12张


观察血管有所回弹,给予Gateway球囊以6ATM压力缓慢扩张,并缓慢注射替罗非班5ml


导丝怎么扩【病例夹】​郭宗培副主任团队:左侧大脑中动脉M1闭塞取栓—拉栓?单纯球扩?_https://www.jmylbn.com_新闻资讯_第13张


Neuroform Atlas 4.0mm×21mm支架释放满意


导丝怎么扩【病例夹】​郭宗培副主任团队:左侧大脑中动脉M1闭塞取栓—拉栓?单纯球扩?_https://www.jmylbn.com_新闻资讯_第14张


术后左颈内正侧位

导丝怎么扩【病例夹】​郭宗培副主任团队:左侧大脑中动脉M1闭塞取栓—拉栓?单纯球扩?_https://www.jmylbn.com_新闻资讯_第15张

导丝怎么扩【病例夹】​郭宗培副主任团队:左侧大脑中动脉M1闭塞取栓—拉栓?单纯球扩?_https://www.jmylbn.com_新闻资讯_第16张

手术材料


(1) 8F血管鞘组

(2) 泥鳅导丝

(3) 多功能导管

(4) 8F Guiding导管

(5) Synchro-14微导丝200cm

(6) Navien-72

(7) SL-10微导管

(8) Transed 0.014in×300cm微导丝

(9) Gateway 2.0mm×15mm球囊

(10) Neuroform Atlas 4.0mm×21mm支架

术后情况



替罗非班10ml/h持续泵入16小时

桥接4小时的双抗抗血小板治疗

降脂稳斑、活血化瘀、营养脑细胞、改善循环。

收缩压维持在140-160mmHg


术后第一天拔管,患者术后第二天,呼之可睁眼,可发声,右上肢肌力5级,右下肢肌力4级,左侧肢体肌力及肌张力正常。


术后第四天:可简单言语,四肢肌力及肌张力正常。

导丝怎么扩【病例夹】​郭宗培副主任团队:左侧大脑中动脉M1闭塞取栓—拉栓?单纯球扩?_https://www.jmylbn.com_新闻资讯_第17张

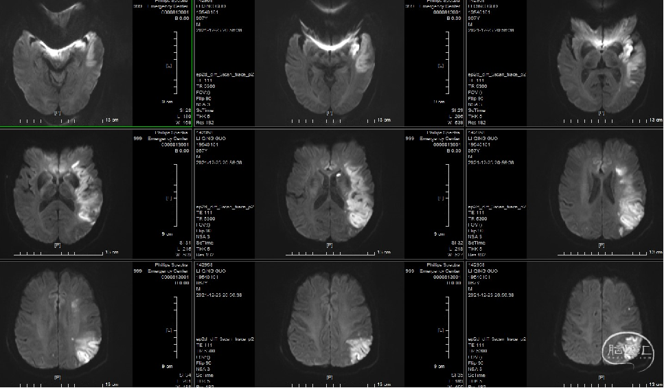
术后第二核磁(2021-12-23):左侧额叶、顶叶、颞叶、岛叶脑梗塞(急性-亚急性)


导丝怎么扩【病例夹】​郭宗培副主任团队:左侧大脑中动脉M1闭塞取栓—拉栓?单纯球扩?_https://www.jmylbn.com_新闻资讯_第18张

导丝怎么扩【病例夹】​郭宗培副主任团队:左侧大脑中动脉M1闭塞取栓—拉栓?单纯球扩?_https://www.jmylbn.com_新闻资讯_第19张

术后CTA:左侧大脑中动脉通畅,支架内无明显狭窄


导丝怎么扩【病例夹】​郭宗培副主任团队:左侧大脑中动脉M1闭塞取栓—拉栓?单纯球扩?_https://www.jmylbn.com_新闻资讯_第20张


2021-12-23圣诞前夕给予家人报平安


导丝怎么扩【病例夹】​郭宗培副主任团队:左侧大脑中动脉M1闭塞取栓—拉栓?单纯球扩?_https://www.jmylbn.com_新闻资讯_第21张


术 者 思 考

左侧大脑中动脉M1及M2分叉处为脑卒中好发部位,豆纹动脉的走形、M2分叉的血流动力学等,使该处脑梗塞及脑出血的几率占40%以上。


常规静脉溶栓、动脉取栓及静脉溶栓+动脉取栓均已非常成熟。本例患者准备术中取栓,但微导丝通过后造影显示远端血管通畅,近端Navien及远端微导管返流均证实M1为重度狭窄后闭塞,无需取栓,给予颅内球囊扩张+替罗非班抗凝后有所好转。但前向血流差,再次球扩后观察20分钟,仍需贴附支架,术中证实效果明显。


术后核磁明确该患者额叶、顶叶、颞叶、岛叶脑梗塞,但内囊及外缘部分皮层血流通畅,内囊恢复血流极大的帮助患者患肢快速恢复,同时额颞皮层保留使患者术前失语很快改善,目前可简单发声,如“谢谢”等。


术前严密评估,术中缜密观察并快速做出决定,该患者就属于未使用支架取栓,且效果极佳。



导丝怎么扩【病例夹】​郭宗培副主任团队:左侧大脑中动脉M1闭塞取栓—拉栓?单纯球扩?_https://www.jmylbn.com_新闻资讯_第22张
更多精彩内容请关作者
作者简介

导丝怎么扩【病例夹】​郭宗培副主任团队:左侧大脑中动脉M1闭塞取栓—拉栓?单纯球扩?_https://www.jmylbn.com_新闻资讯_第23张

郭宗培

北京市红十字会急诊抢救中心

神经外科副主任,神经外科副主任医师,神经外科硕士,介入诊疗中心行政副主任。

擅长方向:1、脑出血与蛛网膜下腔出血急救与微创治疗,尤其在小骨窗开颅治疗脑出血方面有独到造诣。2、脑动脉瘤及脑血管畸形的开颅联合神经介入微创手术治疗。3、颅脑创伤和神经重症的诊断及治疗。

曾在中华级核心期刊等杂志发表多篇论文,并多次在全国神经外科会议上发表与会演讲。

中国援助巴基斯坦“一带一路”国家医疗队队长

北京2022冬奥会医疗专家组成员。

导丝怎么扩【病例夹】​郭宗培副主任团队:左侧大脑中动脉M1闭塞取栓—拉栓?单纯球扩?_https://www.jmylbn.com_新闻资讯_第24张

扫描上方二维码

进入郭宗培 副主任个人主页


导丝怎么扩【病例夹】​郭宗培副主任团队:左侧大脑中动脉M1闭塞取栓—拉栓?单纯球扩?_https://www.jmylbn.com_新闻资讯_第25张


声明:脑医汇旗下神外资讯、神介资讯、脑医咨询所发表内容之知识产权为脑医汇及主办方、原作者等相关权利人所有。未经许可,禁止进行转载、摘编、复制、裁切、录制等。经许可授权使用,亦须注明来源。欢迎转发、分享。

导丝怎么扩【病例夹】​郭宗培副主任团队:左侧大脑中动脉M1闭塞取栓—拉栓?单纯球扩?_https://www.jmylbn.com_新闻资讯_第26张

脑医汇App(原神介资讯App“短视频”功能全新上线,碎片化时间学习内容,长按识别二维码抢先体验!


请点击“阅读原文查看更多病例

导丝怎么扩【病例夹】​郭宗培副主任团队:左侧大脑中动脉M1闭塞取栓—拉栓?单纯球扩?_https://www.jmylbn.com_新闻资讯_第27张

点分享

导丝怎么扩【病例夹】​郭宗培副主任团队:左侧大脑中动脉M1闭塞取栓—拉栓?单纯球扩?_https://www.jmylbn.com_新闻资讯_第28张

点点赞

导丝怎么扩【病例夹】​郭宗培副主任团队:左侧大脑中动脉M1闭塞取栓—拉栓?单纯球扩?_https://www.jmylbn.com_新闻资讯_第29张

点在看