富士胃镜英文怎么写病例分享 | 周环:一例不易判断的胃体病变的诊治分享(富士内镜早癌读片会)

新闻资讯2026-04-21 09:01:13

富士胃镜英文怎么写病例分享 | 周环:一例不易判断的胃体病变的诊治分享(富士内镜早癌读片会)_https://www.jmylbn.com_新闻资讯_第1张

“富士内镜早癌读片会”系列活动是基于早癌微信群举办的线上学术活动,本活动于2018年启动,群内定期邀请致力于消化道早癌诊治的优秀内镜医生进行经典早癌病例分享,同时邀请消化道早癌病理专家进行病理解析。活动旨在打造以讨论和交流为主的学术平台,构建广大消化内镜医生学习沟通的桥梁。(点击进入活动专栏)

本期为“一例胃体病变的诊治分享”,出自东北群第10期(2022年12月14日举办),由周环医师带来病例分享,郭雨栋医师刘志宏医师进行点评。


*以下内容中所有出现的LCI指联动成像技术(LCI:Linked Color Imaging);BLI指蓝光成像技术(BLI:Blue Light Imaging)。


*文内所有图片可点击放大观看

富士胃镜英文怎么写病例分享 | 周环:一例不易判断的胃体病变的诊治分享(富士内镜早癌读片会)_https://www.jmylbn.com_新闻资讯_第2张

01

一例胃体病变的诊治分享

周环 中国医科大学附属第一医院

1. 病例简介

患者男性,55岁,胃部疼痛2个月,以饥饿痛、夜间痛为主,当地胃镜检查提示十二指肠多发溃疡,胃体凹陷型病变(病理提示为高级别上皮内瘤变)。碳13尿素呼气试验为阳性,全腹增强CT未见明显异常,无消化道肿瘤家族史。

2. 背景分析

慢性萎缩性胃炎(C-2):胃窦、胃角及胃体下段小弯侧黏膜变薄,凸凹不平。Hp现症感染:胃体黏膜肿胀,弥漫性发红。

富士胃镜英文怎么写病例分享 | 周环:一例不易判断的胃体病变的诊治分享(富士内镜早癌读片会)_https://www.jmylbn.com_新闻资讯_第3张

3. 胃体病变的观察

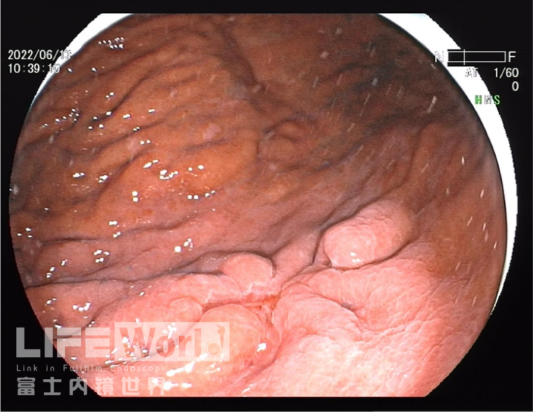
白光观察:胃体下段大弯侧可见一处中央凹陷的病变,色红,范围约1.2×0.6cm,周围黏膜集中、中断。

富士胃镜英文怎么写病例分享 | 周环:一例不易判断的胃体病变的诊治分享(富士内镜早癌读片会)_https://www.jmylbn.com_新闻资讯_第4张

富士胃镜英文怎么写病例分享 | 周环:一例不易判断的胃体病变的诊治分享(富士内镜早癌读片会)_https://www.jmylbn.com_新闻资讯_第5张

富士胃镜英文怎么写病例分享 | 周环:一例不易判断的胃体病变的诊治分享(富士内镜早癌读片会)_https://www.jmylbn.com_新闻资讯_第6张

LCI模式:病变为橙黄色,周围黏膜呈紫红色。

富士胃镜英文怎么写病例分享 | 周环:一例不易判断的胃体病变的诊治分享(富士内镜早癌读片会)_https://www.jmylbn.com_新闻资讯_第7张

富士胃镜英文怎么写病例分享 | 周环:一例不易判断的胃体病变的诊治分享(富士内镜早癌读片会)_https://www.jmylbn.com_新闻资讯_第8张

富士胃镜英文怎么写病例分享 | 周环:一例不易判断的胃体病变的诊治分享(富士内镜早癌读片会)_https://www.jmylbn.com_新闻资讯_第9张

白光+LCI+BLI的对比观察。

富士胃镜英文怎么写病例分享 | 周环:一例不易判断的胃体病变的诊治分享(富士内镜早癌读片会)_https://www.jmylbn.com_新闻资讯_第10张

BLI模式低倍放大观察,可清晰的勾勒出病变的范围,病变的口侧端表面微结构的异型性明显,考虑为癌灶,病变的肛侧端异型性不明显,考虑为上皮内瘤变。

富士胃镜英文怎么写病例分享 | 周环:一例不易判断的胃体病变的诊治分享(富士内镜早癌读片会)_https://www.jmylbn.com_新闻资讯_第11张

富士胃镜英文怎么写病例分享 | 周环:一例不易判断的胃体病变的诊治分享(富士内镜早癌读片会)_https://www.jmylbn.com_新闻资讯_第12张

富士胃镜英文怎么写病例分享 | 周环:一例不易判断的胃体病变的诊治分享(富士内镜早癌读片会)_https://www.jmylbn.com_新闻资讯_第13张

对考虑为癌灶的区域进行中倍放大观察:IMSP(+), IMVP(+)。

富士胃镜英文怎么写病例分享 | 周环:一例不易判断的胃体病变的诊治分享(富士内镜早癌读片会)_https://www.jmylbn.com_新闻资讯_第14张

富士胃镜英文怎么写病例分享 | 周环:一例不易判断的胃体病变的诊治分享(富士内镜早癌读片会)_https://www.jmylbn.com_新闻资讯_第15张

富士胃镜英文怎么写病例分享 | 周环:一例不易判断的胃体病变的诊治分享(富士内镜早癌读片会)_https://www.jmylbn.com_新闻资讯_第16张

对考虑为癌灶的区域进行高倍放大观察,根据下面的胃癌放大内镜诊断流程图来进行判断。

富士胃镜英文怎么写病例分享 | 周环:一例不易判断的胃体病变的诊治分享(富士内镜早癌读片会)_https://www.jmylbn.com_新闻资讯_第17张

富士胃镜英文怎么写病例分享 | 周环:一例不易判断的胃体病变的诊治分享(富士内镜早癌读片会)_https://www.jmylbn.com_新闻资讯_第18张

富士胃镜英文怎么写病例分享 | 周环:一例不易判断的胃体病变的诊治分享(富士内镜早癌读片会)_https://www.jmylbn.com_新闻资讯_第19张

富士胃镜英文怎么写病例分享 | 周环:一例不易判断的胃体病变的诊治分享(富士内镜早癌读片会)_https://www.jmylbn.com_新闻资讯_第20张

富士胃镜英文怎么写病例分享 | 周环:一例不易判断的胃体病变的诊治分享(富士内镜早癌读片会)_https://www.jmylbn.com_新闻资讯_第21张

靛胭脂染色可清晰的勾勒出凹陷病变的范围。

富士胃镜英文怎么写病例分享 | 周环:一例不易判断的胃体病变的诊治分享(富士内镜早癌读片会)_https://www.jmylbn.com_新闻资讯_第22张

富士胃镜英文怎么写病例分享 | 周环:一例不易判断的胃体病变的诊治分享(富士内镜早癌读片会)_https://www.jmylbn.com_新闻资讯_第23张

乙酸染色后,病变中央部白化褪色比较快。

富士胃镜英文怎么写病例分享 | 周环:一例不易判断的胃体病变的诊治分享(富士内镜早癌读片会)_https://www.jmylbn.com_新闻资讯_第24张

富士胃镜英文怎么写病例分享 | 周环:一例不易判断的胃体病变的诊治分享(富士内镜早癌读片会)_https://www.jmylbn.com_新闻资讯_第25张

富士胃镜英文怎么写病例分享 | 周环:一例不易判断的胃体病变的诊治分享(富士内镜早癌读片会)_https://www.jmylbn.com_新闻资讯_第26张

除了黄圈内考虑为癌灶的病变发红,白圈内考虑为上皮内瘤变的病变也略发红。

富士胃镜英文怎么写病例分享 | 周环:一例不易判断的胃体病变的诊治分享(富士内镜早癌读片会)_https://www.jmylbn.com_新闻资讯_第27张

充气吸气后,可见病变凹陷处延展性欠佳,周围皱襞集中、中断。

富士胃镜英文怎么写病例分享 | 周环:一例不易判断的胃体病变的诊治分享(富士内镜早癌读片会)_https://www.jmylbn.com_新闻资讯_第28张

富士胃镜英文怎么写病例分享 | 周环:一例不易判断的胃体病变的诊治分享(富士内镜早癌读片会)_https://www.jmylbn.com_新闻资讯_第29张

富士胃镜英文怎么写病例分享 | 周环:一例不易判断的胃体病变的诊治分享(富士内镜早癌读片会)_https://www.jmylbn.com_新闻资讯_第30张


4. 术前活检

我们在内镜下精准活检,取材2块。

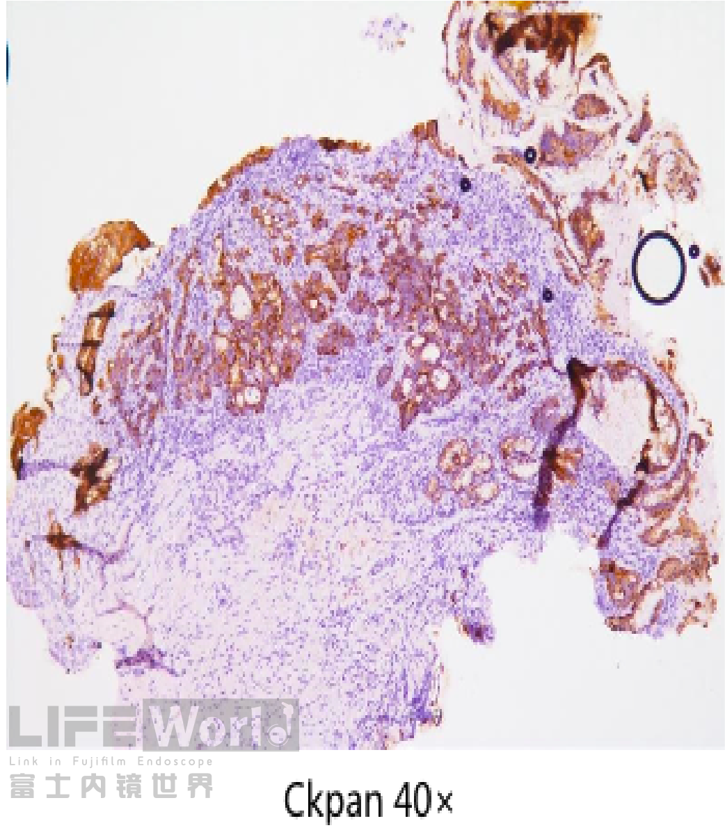
病理所见:送检胃体粘膜2块,有者可见粘膜肌。小凹上皮剥脱糜烂。部分区域见到少许癌组织,癌细胞呈不规则腺样或条索状排列。

免疫组化染色结果:Ki67(30-50%+),P53(约30%+),CKpan(+)。 

病理诊断:(胃体)腺癌。


富士胃镜英文怎么写病例分享 | 周环:一例不易判断的胃体病变的诊治分享(富士内镜早癌读片会)_https://www.jmylbn.com_新闻资讯_第31张

富士胃镜英文怎么写病例分享 | 周环:一例不易判断的胃体病变的诊治分享(富士内镜早癌读片会)_https://www.jmylbn.com_新闻资讯_第32张

富士胃镜英文怎么写病例分享 | 周环:一例不易判断的胃体病变的诊治分享(富士内镜早癌读片会)_https://www.jmylbn.com_新闻资讯_第33张

5. 诊断及治疗

结合内镜观察及活检病理结果,考虑为胃体早期癌,0-IIc,tub2,浸润深度有可能为黏膜下层(T1b),建议行超声胃镜进一步检查。经过医生与患者的沟通,患者最终拒绝超声胃镜检查,决定行胃远端大部切除术。

内镜下术前定位:于病变口侧、肛侧、前壁侧及后壁侧各留置一枚钛夹。

富士胃镜英文怎么写病例分享 | 周环:一例不易判断的胃体病变的诊治分享(富士内镜早癌读片会)_https://www.jmylbn.com_新闻资讯_第34张

富士胃镜英文怎么写病例分享 | 周环:一例不易判断的胃体病变的诊治分享(富士内镜早癌读片会)_https://www.jmylbn.com_新闻资讯_第35张

行根治性胃远端大部切除术、结肠前Billroth-II式、Roux-en-Y吻合术。

6. 术后病理

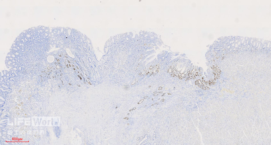
术后标本显示,皱襞皱缩,病变较小,显示不清,肉眼无法辨别。病理室按照钛夹标记点来进行组织固定、包埋及切片。重点部位一共得到10个组织条,其中2号切片示中分化腺癌,6号切片示高级别上皮内瘤变,局灶癌变。

富士胃镜英文怎么写病例分享 | 周环:一例不易判断的胃体病变的诊治分享(富士内镜早癌读片会)_https://www.jmylbn.com_新闻资讯_第36张

富士胃镜英文怎么写病例分享 | 周环:一例不易判断的胃体病变的诊治分享(富士内镜早癌读片会)_https://www.jmylbn.com_新闻资讯_第37张

富士胃镜英文怎么写病例分享 | 周环:一例不易判断的胃体病变的诊治分享(富士内镜早癌读片会)_https://www.jmylbn.com_新闻资讯_第38张

富士胃镜英文怎么写病例分享 | 周环:一例不易判断的胃体病变的诊治分享(富士内镜早癌读片会)_https://www.jmylbn.com_新闻资讯_第39张

HE染色:2号切片示中分化腺癌,6号切片示高级别上皮内瘤变,局灶癌变。

富士胃镜英文怎么写病例分享 | 周环:一例不易判断的胃体病变的诊治分享(富士内镜早癌读片会)_https://www.jmylbn.com_新闻资讯_第40张

富士胃镜英文怎么写病例分享 | 周环:一例不易判断的胃体病变的诊治分享(富士内镜早癌读片会)_https://www.jmylbn.com_新闻资讯_第41张

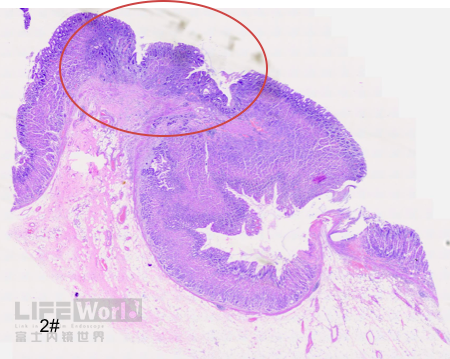
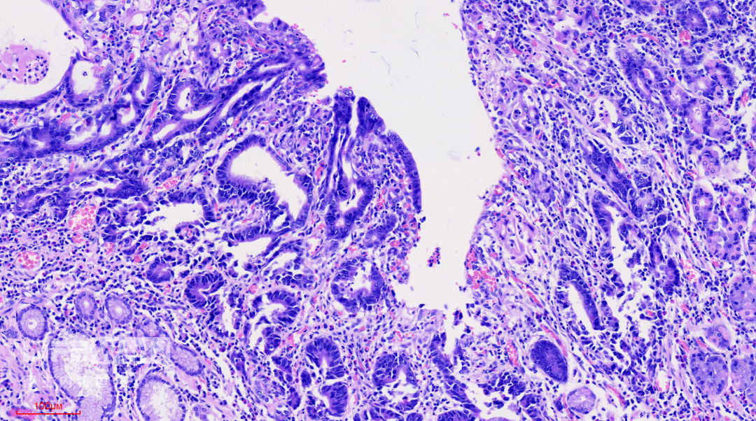
这是2号切片,病变位于一条皱襞顶端。

富士胃镜英文怎么写病例分享 | 周环:一例不易判断的胃体病变的诊治分享(富士内镜早癌读片会)_https://www.jmylbn.com_新闻资讯_第42张

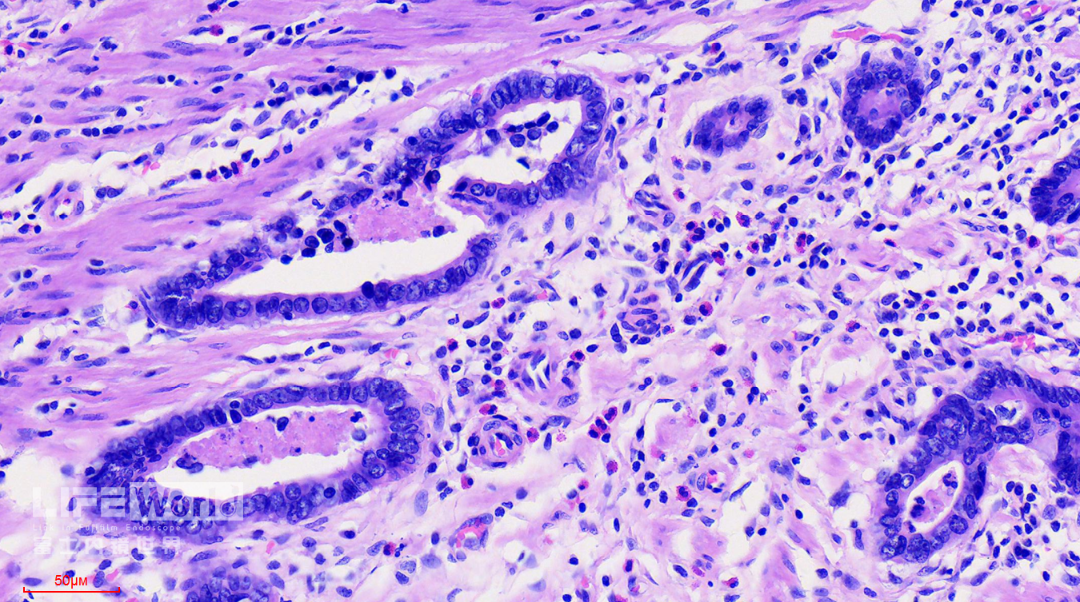
病变处(红圈内)可见不规则的腺管状结构,部分呈筛网状。图中可以看出,病灶间可见相对正常的胃底腺结构。图片中最深的病灶已经侵及粘膜肌层。

富士胃镜英文怎么写病例分享 | 周环:一例不易判断的胃体病变的诊治分享(富士内镜早癌读片会)_https://www.jmylbn.com_新闻资讯_第43张

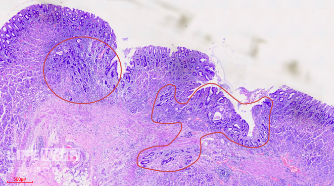
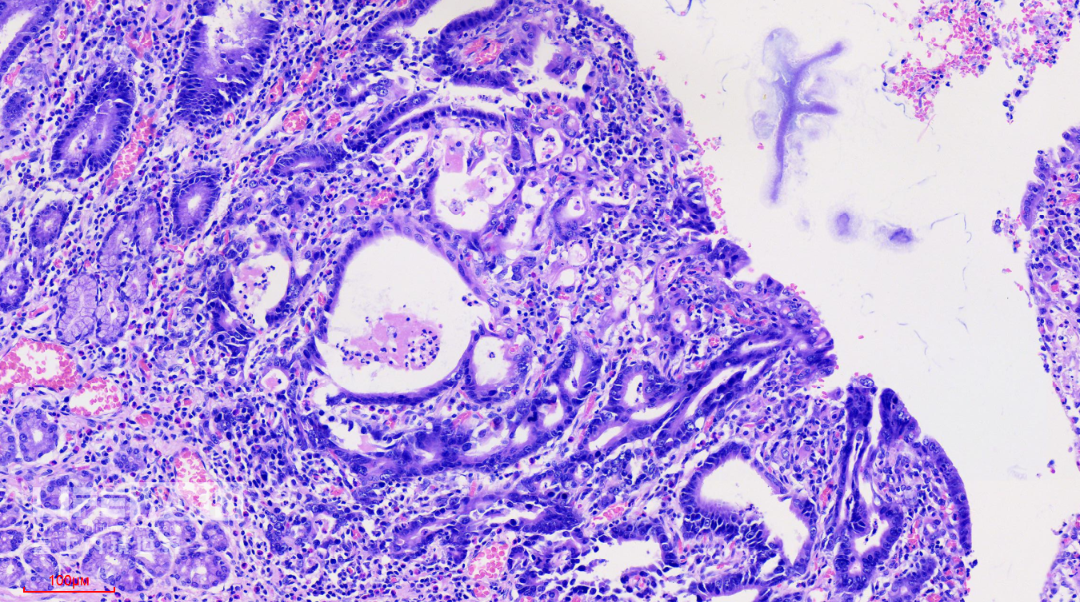
病变处细胞异型性明显。病变内部可见多处扩张的腺管,内部可见坏死碎片。对应胃镜图片上的白色球状物。

富士胃镜英文怎么写病例分享 | 周环:一例不易判断的胃体病变的诊治分享(富士内镜早癌读片会)_https://www.jmylbn.com_新闻资讯_第44张

富士胃镜英文怎么写病例分享 | 周环:一例不易判断的胃体病变的诊治分享(富士内镜早癌读片会)_https://www.jmylbn.com_新闻资讯_第45张

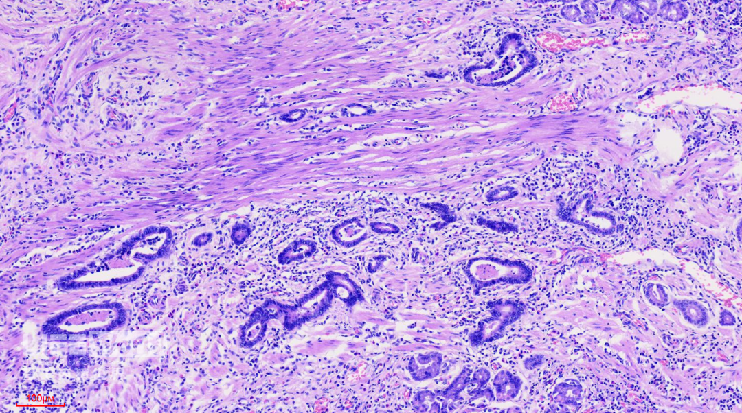
此为病变最深的地方,癌变的腺管侵及粘膜肌层。

富士胃镜英文怎么写病例分享 | 周环:一例不易判断的胃体病变的诊治分享(富士内镜早癌读片会)_https://www.jmylbn.com_新闻资讯_第46张

富士胃镜英文怎么写病例分享 | 周环:一例不易判断的胃体病变的诊治分享(富士内镜早癌读片会)_https://www.jmylbn.com_新闻资讯_第47张

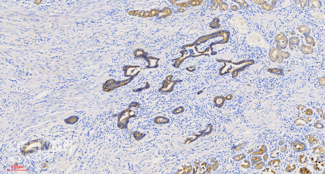
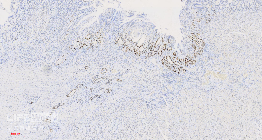
CK-pan染色显示肿瘤细胞为上皮细胞,呈不规则腺管状排列,提示为中分化腺癌。

富士胃镜英文怎么写病例分享 | 周环:一例不易判断的胃体病变的诊治分享(富士内镜早癌读片会)_https://www.jmylbn.com_新闻资讯_第48张

富士胃镜英文怎么写病例分享 | 周环:一例不易判断的胃体病变的诊治分享(富士内镜早癌读片会)_https://www.jmylbn.com_新闻资讯_第49张

P53: 80%(+)

富士胃镜英文怎么写病例分享 | 周环:一例不易判断的胃体病变的诊治分享(富士内镜早癌读片会)_https://www.jmylbn.com_新闻资讯_第50张

富士胃镜英文怎么写病例分享 | 周环:一例不易判断的胃体病变的诊治分享(富士内镜早癌读片会)_https://www.jmylbn.com_新闻资讯_第51张

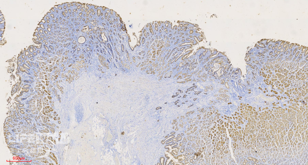
SMA染色:粘膜肌层完整,肿瘤细胞侵及粘膜肌层,但未突破。

富士胃镜英文怎么写病例分享 | 周环:一例不易判断的胃体病变的诊治分享(富士内镜早癌读片会)_https://www.jmylbn.com_新闻资讯_第52张

富士胃镜英文怎么写病例分享 | 周环:一例不易判断的胃体病变的诊治分享(富士内镜早癌读片会)_https://www.jmylbn.com_新闻资讯_第53张


02

病例总结

①本病例发生于胃体大弯侧的皱襞处,且病灶较小,不易发现,如果注气不充分则很可能漏诊,因此,在胃镜检查中,充分注气获得清晰的视野是非常必要的。

②本病例为Hp现症感染,胃体大弯侧的皱襞较为粗大,衬托出病变凹陷较为明显,呈现出病变周围皱襞集中、中断的视觉效果。且病变累及了黏膜肌层,柔软度略差一些,致使我们对于病灶浸润深度的判断出现了误差。反思这个病例,如果先进行除菌治疗1-2周,待炎症消退后再放大观察,对浸润深度的判断会不会更准确些呢?

③对于浸润深度有疑问的病例,超声内镜检查或许是个很好的帮手。该病例没有进行超声内镜检查,有些遗憾。

【嘉宾点评】

黑龙江省医院 郭雨栋 医生:

首先对胃的内镜下整体背景粘膜和Hp感染情况进行了阐述,为Hp感染的慢性萎缩性胃炎。

该病变位于胃体下部大弯侧,病变大体分型为IIc型,病灶较小,有时候受皱襞影响不易发现,注气不充分时易漏诊,白光下给出了远景、中景及近景照片,并通过气体量的变化展现了不同注气状态下的病变形态,病变有皱襞集中、中断,未见皱襞融合现象,部分区域色泽发红,另外对病变肛侧端微小的粘膜变化也没放过,观察的很仔细,留图很规范。

LCIBLI+ME观察更好的呈现了病变的边界,微腺管及微血管结构变化,看到了白色球状物,喷洒醋酸后部分区域见绒毛状结构更清晰,通过LCIBLI+ME对病变的性质做出了早期癌的预判,操作过程精细规范,展示了一个精彩病例。

该病例进行了外科根治术,术后病理病变未侵及粘膜下层,未见脉管侵犯和淋巴结转移,与术前内镜深度判定有差异,提示我们有时候受病变自身特点的影响,诊断起来带有一定的迷惑性,超声内镜是诊断的有益补充,但受自身特异性和敏感性的影响,目前是否做为术前常规检查手段仍有争议,有时候诊断性的ESD治疗也可作为不能明确浸润深度病变治疗的手段。


吉林市人民医院  刘志宏 医生:

1、白光下,病变位于胃体下部大弯,呈0-Ⅱc型的浅表凹陷病变,病变区域有皱襞的中断,这种改变多见于溃疡修复及低分化/印戒细胞癌。充分注气可以看到,皱襞中断处没有断崖式凹陷及末端膨大、分支,充气、吸气图像看病变区域蠕动良好,可以暂不考虑低分化/印戒细胞癌,病变浸润深度应局限在黏膜内或黏膜下浅层;

2、LCI是富士内镜鲜明和实用的技术,在LCI下看凹陷区域实际是分为3个部分,口侧及肛侧偏后壁两处在LCI下更加的发红,呈不规则的红黄混杂,而中央的区域呈发白色调。结合凹陷周边黏膜的紫色肠化的病变发生背景,符合紫包红/黄的早癌表现,更加有利于在非放大下识别及初步诊断病变性质。中央发白区域提示修复可能性大;

3、BLI放大下,口侧有明显的边界,有不规则的表面微结构和血管构造,考虑癌。有白色球状物,多见于分化型癌。腺体融合、血管构造不规则的树枝状,局部表面微结构显示不清,这些都支持中分化癌。



本内容旨在学术交流,仅限医学专业人士观

内容仅代表专家个人的医疗临床和学术观点

不(得)用于对任何医疗服务或医疗产品的推广或推荐


·


·
富士胃镜英文怎么写病例分享 | 周环:一例不易判断的胃体病变的诊治分享(富士内镜早癌读片会)_https://www.jmylbn.com_新闻资讯_第54张
富士胃镜英文怎么写病例分享 | 周环:一例不易判断的胃体病变的诊治分享(富士内镜早癌读片会)_https://www.jmylbn.com_新闻资讯_第55张
富士胃镜英文怎么写病例分享 | 周环:一例不易判断的胃体病变的诊治分享(富士内镜早癌读片会)_https://www.jmylbn.com_新闻资讯_第56张