妇科蛋白膜怎么用这种妇科肿瘤无特异性,复发率高,有这些症状的姐妹小心

新闻资讯2026-04-21 08:28:54

原创 徐虹 医学界妇产科频道 收录于合集 #妇产病例 5个

供医学专业人士阅读参考

多囊性间皮瘤术前检查无特异性,注意不要误诊!

病例分享

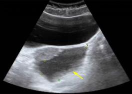
患者43岁,一周来无明显诱因出现左下腹痛,无阴道流血流液,无畏寒发热,无恶心呕吐,发病以来食纳规整,排气排便畅。患者既往体健,否认慢性疾病史,否认腹盆腔手术史,生育史:2-0-1-2,阴道分娩。否认相关家族遗传疾病史。初诊查B超提示:盆腔偏左侧见80mm×65mm×62mm无回声区,内见多个线样分隔带,曾于我院抗炎治疗,但病情未完全缓解,复查B超盆腔肿物未见缩小(图1),遂门诊收住入院进一步诊治。

妇科蛋白膜怎么用这种妇科肿瘤无特异性,复发率高,有这些症状的姐妹小心_https://www.jmylbn.com_新闻资讯_第1张图1 B超见子宫左后方囊性灶,

内可见分隔带(箭头所示)

血常规、凝血、性激素未见明显异常。肿瘤指标:甲胎蛋白(AFP):1.50 ng/ml,癌胚抗原(CEA):0.20 ng/ml,糖类抗原199(CA199):2.5 U/ml,糖类抗原125(CA125):8.30 U/ml,糖类抗原153(CA153):6.60 U/ml。

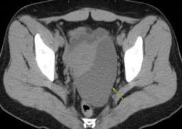
CT提示:子宫左后方水样密度灶,周边见腹膜包裹,考虑良性病变(图2)。遂行腹腔镜下探查术,术中见盆腔内少量游离淡黄色积液,子宫左后方道格拉斯窝见囊性病灶大小约8cm×6cm×6cm,内有纤维分隔带,见清亮液体,子宫前后壁表面见多发散在滤泡样渗出,直径在0.5cm-2cm不等,壁薄透明,内见淡黄色液体,遂手术切除子宫后方及子宫前后壁可见病灶。探查大网膜、阑尾区等未见明显病灶。

妇科蛋白膜怎么用这种妇科肿瘤无特异性,复发率高,有这些症状的姐妹小心_https://www.jmylbn.com_新闻资讯_第2张图2 CT见子宫左后方水样密度病灶,

周围见腹膜包裹(箭头所示)

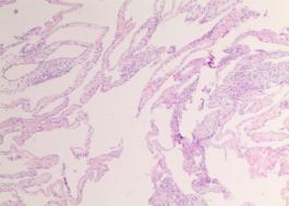
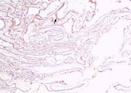
术后组织送病理检查,HE染色和免疫病理提示:考虑多囊性间皮瘤(图3),免疫病理:癌胚抗原M2A(D2-40)(+),抗平滑肌抗体(SMA)(-),血小板内皮细胞粘附分子(CD31)(-),高度糖基化I型跨膜糖蛋白(CD34)(-),Wilm肿瘤1(WT-1)(+),角蛋白(CK)(+),钙结合蛋白(+),细胞增殖相关核抗原(Ki-67)约1%(+)(图4)。

妇科蛋白膜怎么用这种妇科肿瘤无特异性,复发率高,有这些症状的姐妹小心_https://www.jmylbn.com_新闻资讯_第3张图3 肿瘤组织HE染色,放大10倍妇科蛋白膜怎么用这种妇科肿瘤无特异性,复发率高,有这些症状的姐妹小心_https://www.jmylbn.com_新闻资讯_第4张图4 肿瘤组织,免疫组化染色,

放大10倍,CK染色阳性

患者术后恢复良好出院,出院后现第一次随访检查未见明显异常,远期病情变化有待进一步观察。

多囊性间皮瘤是什么?

良性腹膜多囊性间皮瘤(Benign multicystic peritoneal mesothelioma,BMPM)是一种罕见的腹膜间皮细胞来源肿瘤,最早由Mennemeyer和Smith首次描述其病理特种并命名[1]。

该病主要发病于育龄期女性,累及盆腔腹膜居多,发病率约2/100万,15-92岁均有病例报道(平均37岁)[2-4]。据文献报道,盆腔肿瘤(83.3%)较腹腔肿瘤(40.3%)更多见,且右侧(31.9%)较左侧(13.9%)多发[3]。

BMPM的发病机制是什么?

其发病机制尚不明确,目前认为,可能是肿瘤细胞增殖,前次手术后、既往盆腔炎性疾病或子宫内膜异位症后的反应性增生[2],家族遗传地中海贫血者长期腹膜炎或儿童期间断腹水,女性长期的石棉接触史都可引发[4]。临床表现常无特异性,病人多表现为腹痛腹胀,如果肿瘤临近子宫、肠道、膀胱等,还可表现为肠梗阻、性交痛、排尿困难等,有些在手术探查时偶然发现[5,6]。

BMPM怎么诊断?

目前,尚无统一的术前诊断方案,B超上可见数量不等的无回声或中等回声区,为多分隔囊性结构。CT上可见低密度,多分隔壁薄结构包裹周围组织,但浸润未见报道,但是小于1cm的肿物CT的敏感性仅15%-30%。磁共振成像(MRI)在T1加权上呈低信号,T2序列上呈中至高信号,增强后,囊壁中等增强,囊内无脂肪组织,目前认为,MRI是最好的术前影像学检查[3,5]。

术中探查盆腔腹膜表面病灶多见,几乎均位于道格拉斯窝,可为单发或多发囊性灶,壁薄,内见清亮液体,被纤维组织分隔成葡萄串样结构,提示继发于急慢性炎症,大小可从1mm至20cm不等;镜下可见细胞核小且均匀,细胞有丝分裂不活跃,偶见局灶间皮细胞增生,核大深染伴有鞋钉样结构,轻至中度的细胞异型,有丝分裂活跃[2,5]。免疫组化染色可见钙结合蛋白、基底细胞角蛋白5/6(CK5/6)等阳性,Ki-67低表达,偶见ER和PR染色阳性[5-7]。

如此罕见,BMPM如何治疗?

目前,手术切除肿瘤组织仍是首选的治疗方案,微创手术目前认为更有优势[5],术后依据常规病理及免疫病理明确诊断。

由于该病多发生于育龄期女性,提示可能与女性激素有关,因此有学者提出用抗雌激素药物治疗,如他莫昔芬、促性腺激素释放激素;磷酸氧钛钾激光治疗(KTP,无创,可重复治疗);囊腔内注入硬化剂(可破坏囊壁的间皮细胞,使囊肿缩小。)治疗,但这些方法的有效性和安全性仍需更多的临床研究证实[5]。

鉴于该病的高复发性(复发率近50%[7]),有学者提出将肿瘤细胞减灭术辅以腹腔热灌注化疗(CRS+HIPEC)作为预防复发的一线治疗。

有研究指出,该方案治疗后,复发率和5年无进展生存率分别为21%和79%,而单纯切除后,复发率和无进展生存率为40%-50%和9%[8-10]。

根据所报道的病例来看,只有一例死亡,预后尚良好。虽然该肿瘤Ki-67指数低,但也有一定的恶变倾向,有学者提议将其归纳为交界性肿瘤[5,6]。

WHO在1973年采用了“交界性肿瘤”这一名词,也称为中间性(中间型)肿瘤,是良性和恶性之间的肿瘤,属于低度恶性,其组织形态和生物学行为介于良性和恶性之间,既有类似良性肿瘤生长缓慢,复发迟的特征,也有类似恶性肿瘤发生转移的特征。组织学表现为轻度核异型性和细胞增殖且缺乏间质浸润的异质病变。

小结:

腹膜BMPM是一种临床发病率低的间皮来源肿瘤,由于临床报道病例少,研究统计数据有限,因此其发病机制、生物学行为、临床诊疗和随访方式尚未统一。给临床诊疗和长期管理带来了困难,尤其是术前检查无特异性,术前诊断困难,易导致误诊。对于此类病人,目前仍无统一的治疗方案和敏感特异的随访指标,术后需长期随访,其动态变化需进一步观察,如果复发有再次手术的可能性。

参考文献:

[1]. Mennemeyer R, Smith M. Multicystic peritoneal mesothelioma: A report with electron microscopy of a case mimicking intra-abdominal cystic hygroma(lymphangioma)[J] Cancer,1979(8):692-698.

[2]. Hamza A,Zazo A,Alrifai M.K,et al. Benign multicystic peritoneal mesothelioma(BMPM)presenting with ambiguous symptoms:A rare case report[J]. Ann Med Surg,2021,61:85-87.

[3]. Mehta V, Chowdhary V,Sharma R,et al. Imaging appearance of benign multicystic peritoneal mesothelioma: a case report and review of the literature[J].Clin Imaging,2017,42:133-137.

[4]. 刘佳,王鸿雁. 多囊性腹膜间皮瘤3例报道[J]诊断病理学杂志,2010,17(5):383-384.

[5]. Zhang CH,Yu JW,Luo M. Multicystic peritoneal mesothelioma; A short review[J]. Curr Probl Cancer,2017,41(5):340-348.

[6]. Salem Y,Farhan A,Alijawder HS,et al. Benign cystic mesothelioma:A case report on the presentation of an unusual tumor[J] .Int J Surg Case Rep,2021,82:105918.

[7]. Garcia-Mayor Fernandez RL,Fernandez-Gonzalez M,Lopez-Rodriguez A,et al. Recurrent benign multicystic peritoneal mesothelioma:Approach to this rare condition[J].Cir Cir,2016,84(6):499-502.

[8]. Jouvin I,Dohan A,Gergi P,et al. Intra-abdominal benign multicystic peritoneal mesothelioma[J].J Visc Surg,2014,151(2):155-157

[9]. Nizri E,Baratti D,Guaqlio M,et al. Multicystic mesothelioma:Operative and long-term outcomes with cytoreduction surgery and hyperthermic intra peritoneal chemotherapy[J]. Eur J Surg Oncol,2018,44(7):1100-1104

[10]. 史冠军,王冰,卢一艳,等.良性多囊性腹膜间皮瘤1例及文献复习[J]现代肿瘤医学,2020,28(6):997-1000.

本文首发:医学界妇产科频道

本文作者:徐虹

本文审核:顾卓伟

本文责编:Wen

推荐阅读

版权申明

本文原创 欢迎转发朋友圈

- End -

阅读原文