吞咽5900怎么使用【精湛医术】吞咽困难6年都找不到病因,在这里“一镜”解决病痛

新闻资讯2026-04-21 07:11:04
吞咽5900怎么使用【精湛医术】吞咽困难6年都找不到病因,在这里“一镜”解决病痛_https://www.jmylbn.com_新闻资讯_第1张

……

桂林医学院附属医院消化内科为一位

贲门失弛缓症合并食管中段憩室患者

成功实施POEM+憩室STESD手术!




韩梅(化名)今年56岁,出现“间断进食梗噎”症状已有6年多。这些年,她总是感觉吃饭的时候梗噎,夜间觉得烧心反流,不能平躺,间断用药病情反复,近段时间她只能吃些稀饭、面条等半流质食物,用餐时间明显延长,已经严重影响了她的正常生活,便到桂林医学院附属医院消化内科就诊。

住院后医生为她安排了胃镜检查和上消化道钡剂造影,检查结果提示贲门失弛缓及食管中段憩室。

韩梅病情特殊,消化内科主任李滨教授和副主任肖绪华在详细阅读各项检查报告后,发现患者食管下端呈“鸟嘴样”改变,同时上端分别紧接一个约2.5cm大小的憩室,结合患者病史,明确患者“贲门失弛缓合并食管中段憩室”的诊断。他们认为造成了韩梅多年梗噎和反流的病的原因是:食管下段肌群持续紧缩,蓄积的食物被迫推向多发的憩室,加重憩室的扩张,食管及憩室内食物反流。

KEEP FIT
吞咽5900怎么使用【精湛医术】吞咽困难6年都找不到病因,在这里“一镜”解决病痛_https://www.jmylbn.com_新闻资讯_第2张
吞咽5900怎么使用【精湛医术】吞咽困难6年都找不到病因,在这里“一镜”解决病痛_https://www.jmylbn.com_新闻资讯_第3张
胃镜图(左图食管下段扩张,右图食管中段憩室)

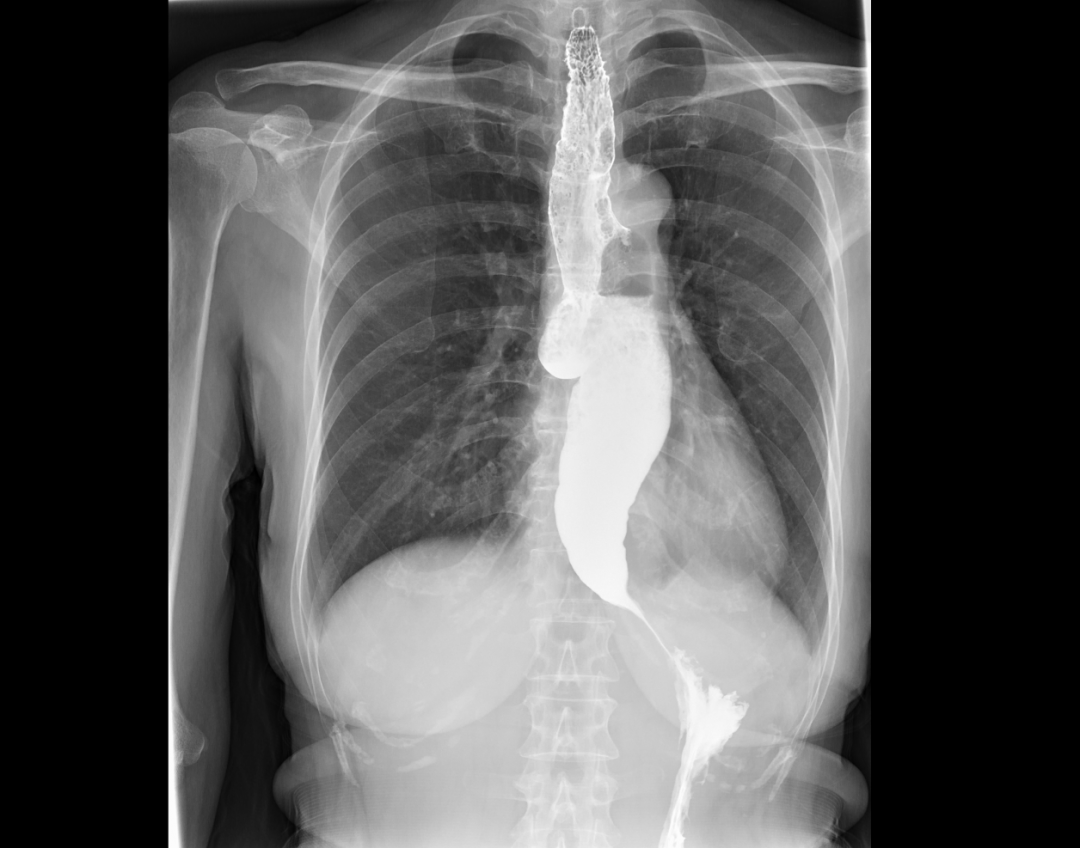
吞咽5900怎么使用【精湛医术】吞咽困难6年都找不到病因,在这里“一镜”解决病痛_https://www.jmylbn.com_新闻资讯_第4张

造影图(食管下段“鸟嘴样”改变,食管中段憩室

吞咽5900怎么使用【精湛医术】吞咽困难6年都找不到病因,在这里“一镜”解决病痛_https://www.jmylbn.com_新闻资讯_第5张



在向韩梅详细讲解了手术方案及可能出现的风险后,她和家属均表示理解及充分信任,手术团队准备为她实施贲门失弛缓POEM内镜下肌切开术+食管中段憩室STESD(隧道内镜下憩室切开术)。手术由肖绪华医生主刀,手术进展顺利,耗时约60分钟,韩梅的两个主要病症在一次内镜手术下都迎刃而解。

KEEP FIT

吞咽5900怎么使用【精湛医术】吞咽困难6年都找不到病因,在这里“一镜”解决病痛_https://www.jmylbn.com_新闻资讯_第6张

吞咽5900怎么使用【精湛医术】吞咽困难6年都找不到病因,在这里“一镜”解决病痛_https://www.jmylbn.com_新闻资讯_第7张

POEM操作

(上:POEM示意图,下:对应的内镜下所见)

1.粘膜层切开;2.分离粘膜下层,建立粘膜下隧道;

3.肌切开4.憩室脊切开;5.钛夹止血处理。




术后第二天,韩梅体温正常,进食流质顺畅,精神良好。术后第四天,她的各项指标正常后便可出院。出院时,韩梅和家属对李滨、肖绪华、韦铮武主任医师及手术团队表示感谢,并送来锦旗称赞消化内科团队医德高尚、医术精湛。目前随访,韩梅已能正常进食。

KEEP FIT
吞咽5900怎么使用【精湛医术】吞咽困难6年都找不到病因,在这里“一镜”解决病痛_https://www.jmylbn.com_新闻资讯_第8张

手术团队与患者及家属合影






科普小课堂
GASTROENTEROLOGY

吞咽5900怎么使用【精湛医术】吞咽困难6年都找不到病因,在这里“一镜”解决病痛_https://www.jmylbn.com_新闻资讯_第9张

01
贲门失弛缓症是什么?

贲门失弛缓症又称贲门痉挛、巨食管,是一种原发性食管神经肌肉病变所致的食管运动障碍性疾病。其主要特征是食管体部缺乏蠕动,食管下端括约肌(LES)高压和对吞咽动作的松弛反应减弱。


02
主要症状、表现有哪些?

临床表现为吞咽困难、胸骨后疼痛、食物反流以及因食物反流误吸入气管所致咳嗽、肺部感染等症状。部分患者早期症状不典型,不及时检查容易漏诊。随着年龄增长及疾病进展,食管腔扩张加重,扭曲则会增加治疗的难度和效果。


03
怎么治疗?

既往贲门失弛缓症需行外科治疗或者食管扩张治疗,外科治疗手术创伤大,扩张治疗容易反复,随着内镜技术的发展,POEM(经口内镜下肌切开术)已成为贲门失弛缓症的首选治疗,创伤极小,术后当天即可进食,术后三天即可出院。具体方法为在贲门上方用胃镜切开一个粘膜层,然后在粘膜下层建立一个隧道,内镜钻入隧道并切开增厚的贲门括约肌,贲门张力下降则从根本上解决了贲门失弛缓的问题。

韩梅在贲门失弛缓的基础上合并食管中段憩室,需要在常规POEM(经口内镜下肌切开术)手术上加做STESD(隧道内镜下憩室切开术),考虑到切断食管括约肌同时,需离断憩室横隔肌肉,因此需要精心设计肌切开路线。

吞咽5900怎么使用【精湛医术】吞咽困难6年都找不到病因,在这里“一镜”解决病痛_https://www.jmylbn.com_新闻资讯_第10张




专家介绍
吞咽5900怎么使用【精湛医术】吞咽困难6年都找不到病因,在这里“一镜”解决病痛_https://www.jmylbn.com_新闻资讯_第11张
吞咽5900怎么使用【精湛医术】吞咽困难6年都找不到病因,在这里“一镜”解决病痛_https://www.jmylbn.com_新闻资讯_第12张
李滨  消化内科主任

主任医师 教授

医学博士,博士研究生导师,大内科主任,内科学教研室主任,诊断学教研室主任,消化内科主任。广西医学会消化病学分会副主任委员,广西消化内镜医师协会副主任委员,桂林市医学会消化内镜学分会主任委员。英国伦敦大学学院医院(UCL)访问学者。毕业于吉林大学白求恩医学部,曾长期在哈尔滨医科大学附属第四医院从事临床工作。主持国家自然科学基金面上项目及地区基金项目两项。高等教育出版社《内科学》(2017版)编委。

擅长危重急症救治,如急性重症胰腺炎、消化道大出血、肝硬化、中重度溃结和克罗恩病等,擅长内镜下胆管取石(ERCP)、超声内镜检查与穿刺术(EUS)、内镜粘膜下剥离术(ESD)等高难度内镜下微创手术。擅长难治性幽门螺杆菌的根除和功能性胃肠病的治疗。


吞咽5900怎么使用【精湛医术】吞咽困难6年都找不到病因,在这里“一镜”解决病痛_https://www.jmylbn.com_新闻资讯_第10张




专家介绍
吞咽5900怎么使用【精湛医术】吞咽困难6年都找不到病因,在这里“一镜”解决病痛_https://www.jmylbn.com_新闻资讯_第11张
吞咽5900怎么使用【精湛医术】吞咽困难6年都找不到病因,在这里“一镜”解决病痛_https://www.jmylbn.com_新闻资讯_第15张
肖绪华  消化内科副主任

副主任医师

广西医师协会消化分会中青年委员会常务委员、广西抗癌协会肿瘤内镜专委会常务委员、桂林医学会消化内镜分会常务委员兼秘书、海峡两岸交流协会消化内镜分会委员、中国医学装备协会消化病理学组委员。桂林医学院附属医院优秀医生、优秀教师、优秀党员。
曾于南京大学附属鼓楼医院进修内镜治疗技术并获第七届鼓楼消化病及消化内镜论坛“鼓楼之星”;参加日本福冈大学筑紫病院-南方医院早癌精查高级国际学习班学习并获“优秀学员”称号,多次获邀在国内大型学术会议演讲及手术演示并获奖。
擅长胃肠镜消化道早期癌症筛查及治疗;消化内镜下诊治技术尤为突出,包括:POEM、消化道肿瘤内镜下剥离/挖除术、胃肠道息肉切除术、内镜下痔疮硬化/套扎术、消化道出血内镜下止血术等。
参与国家自然科学基金3项,主持及参与省(厅)级科研课题多项,专业期刊发表论著10余篇。


文/罗兴庭

编辑/徐宏艳

校对/李自恩

审核/李滨 李锦


往期精选 Editors' Choice

桂林医学院附属医院2022年5月各科门诊排班
【桂医附院品牌专科推介】消化内科:技术精益求精,让患者更有“医”靠
【桂医附院品牌专科推介】神经内科:热心接待、细心诊疗、精心护理
家长们请注意!桂医附院近期救治多位断指小孩,如遇意外断指要这样保存……
桂医附院血管介入团队1小时微创技术成功救治高龄主动脉夹层患者
桂医附院心血管内科二病区采用QFR精准指导冠脉支架植入
71岁老人突发主动脉夹层命悬一线 桂医附院MDT团队成功拆“弹”
桂医附院ECMO团队快速反应实施体外心肺复苏术  成功救治心跳骤停患者
顽固性腰膝痛患者慕名千里求医,桂医附院聂容荣博士妙手“神针”不失所望
桂医附院血液内科成功为一名51岁重型再障患者实施单倍体“骨髓移植”
9岁男孩脊柱侧凸明显,桂医附院脊柱外科矫形手术助其挺直腰杆
精确制导“黄金搭档”——桂医附院四肢创伤手外科3D打印导板精准定位活检解决骨科疑难问题
2563位“试管婴儿”助孕患者在桂医附院生殖医学中心实现了孕育梦想
20位先心病患儿在桂医附院得到免费救治,其中包括一对双胞胎


吞咽5900怎么使用【精湛医术】吞咽困难6年都找不到病因,在这里“一镜”解决病痛_https://www.jmylbn.com_新闻资讯_第16张


吞咽5900怎么使用【精湛医术】吞咽困难6年都找不到病因,在这里“一镜”解决病痛_https://www.jmylbn.com_新闻资讯_第17张