同轴定位针怎么使用专家共识丨超声引导经皮肺穿刺活检中国专家共识(2025版)

新闻资讯2026-04-21 07:10:56
同轴定位针怎么使用专家共识丨超声引导经皮肺穿刺活检中国专家共识(2025版)_https://www.jmylbn.com_新闻资讯_第1张


引用本文

中华医学会超声医学分会,中国医师协会介入医师分会,中国抗癌协会肿瘤微创治疗专业委员会,等. 超声引导经皮肺穿刺活检中国专家共识(2025版)[J]. 中华超声影像学杂志,2025,34(12):1013-1032.

DOI:10.3760/cma.j.cn131148-20251014-00545


通信作者

  • 王茵,同济大学附属上海市肺科医院超声科,上海 200433,Email:lpbbl@aliyun. com;

  • 徐辉雄,复旦大学附属中山医院超声科,上海 200032,Email:xu.huixiong@zs-hospital. sh. cn

摘  要

超声引导经皮肺穿刺活检是胸膜下肺病变的重要诊断方法,具有实时、无辐射、操作灵活等优势。为进一步规范该技术的临床应用,提升操作安全性与诊断准确性,由中华医学会超声医学分会等11家权威学术机构联合组织多学科专家,基于国内外最新循证医学证据,制定了《超声引导经皮肺穿刺活检中国专家共识》。本共识系统阐述了超声引导肺穿刺活检的适应证与禁忌证、术前评估与准备、术中操作流程、并发症防治及术后管理等内容,并提出了18条具体推荐意见。本共识旨在为影像及临床医师提供标准化操作指导,推动超声引导肺穿刺活检的规范应用,最终惠及广大肺部疾病患者。

前  言

经皮肺穿刺活检是周围型肺病变的重要诊断方法,常用的引导方式包括CT、X线、MRI及超声。超声引导具有实时成像、操作便捷、普及程度高、移动方便、无电离辐射等优点,但由于超声波在气体中无法传播,该引导方式仅适用于紧贴壁层胸膜、其间无正常肺组织的病灶(即胸膜下肺病灶),适应证有限,且操作者依赖性较强。其他引导方式各有优劣:CT引导定位精准、适用范围广,适合深部病灶及中央型肺病灶,但存在辐射暴露且操作时间较长;X线引导操作简便,主要用于较大外周病灶,但对血管等解剖结构显示不佳;MRI引导无电离辐射,对纵隔区病灶分辨力强,但设备昂贵、操作耗时,肺内病灶成像易受呼吸干扰。2003年英国胸科协会《影像引导肺活检指南》、2016年中华医学会呼吸病学分会《肺癌小样本取材相关问题的中国专家共识》、2018年中国抗癌协会《胸部肿瘤经皮穿刺活检中国专家共识》、2018年转化医学学会《经皮经胸穿刺活检诊断肺癌的适应证与方法》、韩国胸部放射学会《2020年肺部病变经皮经胸穿刺活检临床实践指南》中,均对超声引导经皮肺穿刺活检的价值予以了阐述。但受限于篇幅,相关内容过于简明扼要,对指导临床工作存在一定困难。目前,超声引导经皮肺活检术已在国内外多家单位开展,由于缺乏规范、标准的操作流程,同时在各种超声新技术使用方面缺乏高级别、大样本临床研究的支持,无法充分展现超声技术的进展与优势。鉴于此,中华医学会超声医学分会、中国医师协会介入医师分会、中国抗癌协会肿瘤微创治疗专业委员会、中国防痨协会超声专业分会、中国医疗保健国际交流促进会结核病防治分会、中国医学装备协会超声装备技术分会、中华医学会结核病学分会超声专业委员会、上海市医学会超声分会、上海超声诊疗工程技术研究中心、复旦大学超声医学与工程研究所及上海市影像医学研究所组织国内多名相关学科(超声科、放射科、胸外科、呼吸科、结核科、肿瘤科、介入科)知名专家,经过多轮讨论、修改,最终形成了《超声引导经皮肺穿刺活检中国专家共识》(以下简称《共识》),旨在规范超声引导经皮肺穿刺活检的操作流程,以供临床参考和应用。

以“肺”“穿刺”“活检”“超声”“专家共识”“指南”等为搜索关键词,在PubMed、Medline、中国知网、维普和万方等几个代表性数据库检索,同时对纳入研究的参考文献辅以二次检索,检索时限从建库至2025年8月,重点纳入近20年的文献,发表语言限定为中文或英文。目前国内外相关指南、共识中关于超声引导经皮肺穿刺活检的描述与建议见表1,代表性文献汇总见表2。

同轴定位针怎么使用专家共识丨超声引导经皮肺穿刺活检中国专家共识(2025版)_https://www.jmylbn.com_新闻资讯_第2张
同轴定位针怎么使用专家共识丨超声引导经皮肺穿刺活检中国专家共识(2025版)_https://www.jmylbn.com_新闻资讯_第3张

本共识的证据级别和推荐强度基于GRADE(Grading of Recommendations Assessment,Development and Evaluation)工作组推荐意见形成的方法(表3、表4)。本共识的推荐意见汇总见表5。

同轴定位针怎么使用专家共识丨超声引导经皮肺穿刺活检中国专家共识(2025版)_https://www.jmylbn.com_新闻资讯_第4张
同轴定位针怎么使用专家共识丨超声引导经皮肺穿刺活检中国专家共识(2025版)_https://www.jmylbn.com_新闻资讯_第5张
同轴定位针怎么使用专家共识丨超声引导经皮肺穿刺活检中国专家共识(2025版)_https://www.jmylbn.com_新闻资讯_第6张

超声引导经皮肺穿刺活检的特点

超声作为经皮穿刺肺活检的引导方式之一,既具有其他影像学引导方式(包括CT、X线、MRI)的共性,也因成像原理的不同具有不同的特点:

(一)超声可显示的胸膜下肺病灶(定义:肺病灶紧贴胸膜或侵犯胸膜,与胸壁之间无含气肺组织),如果具备安全的进针路径,均可在超声引导下行经皮穿刺活检。

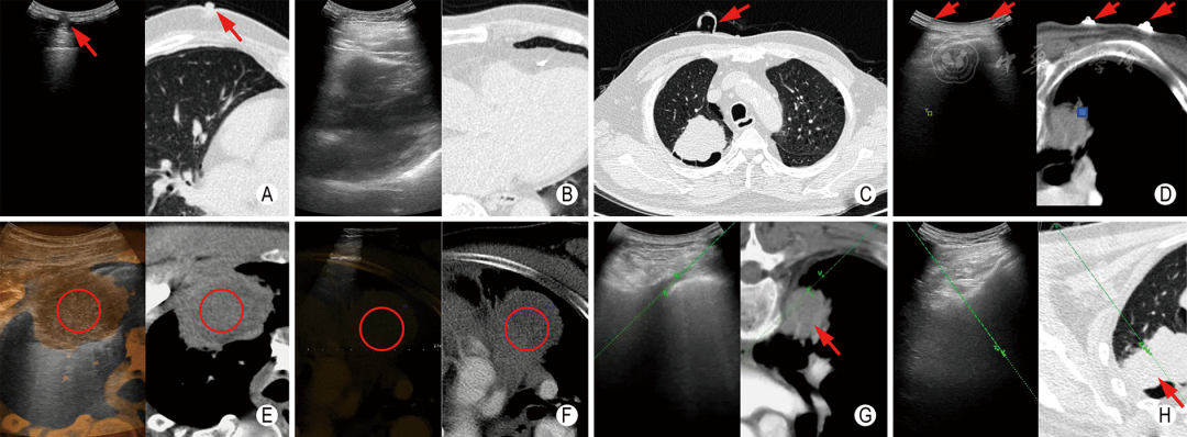
(二)胸膜下肺病灶以周围型为主(图1 A~H)。部分中央型病灶伴发的肺不张、肺实变或胸腔积液形成病灶与胸壁间的“声窗”,均可为超声成像和引导经皮穿刺活检提供条件(图1 I)。

同轴定位针怎么使用专家共识丨超声引导经皮肺穿刺活检中国专家共识(2025版)_https://www.jmylbn.com_新闻资讯_第7张

图1  超声引导经皮肺穿刺活检的特点 左肺上叶(A、B图)、右肺尖(C、D图)、右肺下叶(E、F图)的单发结节或肿块、双肺多发结节及肿块(G、H图)适用于超声引导经皮穿刺活检(红色箭头或黄色十字标记所示为病灶)。中央型肺肿瘤伴肺实变可被超声显示,超声造影时间参量图中周围绿色部分为实变肺组织,中央红色部分为肿瘤病灶(I图)。吸气时,超声无法显示肺病灶(J图左),呼气时,病灶清晰显示(J图右,红色箭头所示)。后背部(K图)较前胸部(L图)病灶深,无法通过高频探头显示,穿刺路径更长,操作难度更高(红色箭头所示为穿刺针)。心脏(M、N图)、大血管(O、P图)、颈部大血管(Q~S图)旁病灶超声引导经皮穿刺活检安全性高(红色箭头或黄色十字所示为病灶)。超声与CT图像融合后可引导非胸膜下肺病灶经皮穿刺活检(T图,红色圆圈所示为病灶)

(三)肺脏位于胸廓内,穿刺路径常被骨性结构阻挡,对于常规体位不具备穿刺路径的病灶,可以尝试调整呼吸深度、手臂位置、躯干弯曲程度等方法寻找可行路径。

(四)肺脏具有自主呼吸运动,下肺呼吸动度明显大于上肺,对于不能呼吸配合的患者,下肺病灶穿刺难度大于上肺病灶(图1 J)。

(五)背部肌肉较前胸厚,病灶位置更深,穿刺难度更高(图1 K,L)。

(六)随呼吸移动明显、位于心脏或大血管旁、位于肺尖且紧邻颈部大血管等高风险部位的小病灶,通过超声引导穿刺活检可提高成功率、降低并发症发生率(图1 M~S)。

(七)超声显示不清晰,或病灶与胸壁间有少许含气肺组织,导致肺病灶无法显示的,可在影像融合容积导航技术引导下穿刺活检,借助CT容积图像引导超声定位病灶,拓宽超声的适用范围(图1 T)。

适应证与禁忌证

(一)适应证

1.需明确性质的胸膜下肺部结节、肿块、实变等;

2.为选择治疗方案,需明确组织学分型及分子分型的胸膜下肺部恶性肿瘤;

3.原发部位不明,需明确组织来源的胸膜下转移瘤;

4.治疗后复发或进展,怀疑组织学类型或基因型发生变化的胸膜下肺部恶性肿瘤;

5.瘤内药物注射、消融等局部非手术治疗前需留取组织样本的胸膜下肺病灶。

(二)禁忌证

1. 绝对禁忌证

(1)严重心肺功能障碍(如重度肺动脉高压等);

(2)不可纠正的凝血功能障碍;

(3)严重咯血、呼吸困难、不受控制的剧烈咳嗽等患者不能配合的情况;

(4)与胸膜间存在大量含气肺组织,超声无法显示的深部病灶;

(5)受骨骼阻挡超声无法显示或缺乏合适进针路径的病灶;

(6)血管畸形、动静脉瘘、动脉瘤、肺隔离症或疑似肺包虫病。

2. 相对禁忌证

(1)解剖学或功能上的孤立肺;

(2)穿刺路径上存在感染性病变;

(3)合并肺大疱、慢性阻塞性肺疾病、肺气肿、肺纤维化等容易引发气胸的基础疾病;

(4)正在使用机械通气的患者;

(5)随呼吸移动明显且患者无法呼吸配合的小病灶;

(6)紧邻心脏或大血管的小病灶;

(7)病灶与胸膜间存在少量含气肺组织,超声无法显示的邻近胸膜的肺病灶。

上述相对禁忌证,都存在一定程度的穿刺风险,需要通过充分的术前准备、小组讨论甚至多学科会诊,在全面评估穿刺活检操作的获益与风险后进行。由于超声实时成像的优点,(5)、(6)、(7)既是相对禁忌证,也是超声引导的优势所在。

术前准备

(一)患者评估与管理

1.认真阅读近期X线、CT或PET-CT等影像学资料,明确病灶部位、形态、大小,与周围脏器、血管的解剖关系以及基础肺情况,评估实施超声引导经皮肺穿刺活检的可行性。

2.详细询问病史,重点明确用药史、过敏史、心肺功能和配合能力。

3.详细告知患者及其委托代理人本次穿刺活检的目的、获益、存在的风险、并发症以及可能的替代方法,征得同意并签署知情同意书。

4.术前检查血常规、凝血功能、感染筛查(乙型病毒性肝炎、丙型病毒性肝炎、梅毒、艾滋病)。病情危重患者行心电图、肝肾功能、血型等检查。合并基础肺疾病(慢性阻塞性肺疾病、肺气肿等)患者,推荐肺功能检查,以评估氧合能力和肺功能储备。

5.术前停用抗凝及抗血小板药物,并复查血常规、凝血功能,如:①术前1周将华法林改为低分子肝素,术前24 h停用低分子肝素;②阿司匹林术前至少停药3 d;③氯吡格雷术前至少停药5 d;④血小板计数>50×109/L、INR<1.5。

6.正在使用抗血管生成类药物的患者,建议按照药物体内清除半衰期酌情停药,如贝伐珠单抗,建议术前停用4周。

7.咳嗽症状较明显者可提前服用止咳药(优先选用盐酸羟考酮等阿片类镇痛镇咳药)。

8.给予患者心理疏导,缓解焦虑紧张情绪,讲解操作过程,训练患者平静呼吸及术中呼吸配合,避免深呼吸和剧烈咳嗽。

(二)针具准备

经皮肺穿刺活检术主要包括两种取材方法:细针抽吸活检(fine needle aspiration,FNA)和切割针组织学活检(core needle biopsy,CNB)。FNA常使用较细的针具,用于获取细胞学样本,安全性较高,主要用于良恶性鉴别及病原学诊断。CNB使用切割针,直径较粗,可获取结构完整的组织学样本,以进行免疫组化等进一步检测,安全性略低于FNA。两种方法对于恶性病变的诊断能力相当,FNA的敏感性为90%~95%,特异性为83%~100%,准确性为88%~91%;CNB的敏感性为76%~94%,特异性为85%~100%,准确性为78%~98%。有文献报道,两种方法联合应用可明显提高恶性病变的诊断能力。对于良性病变,CNB更容易获得特异性的良性诊断,尤其适用于良性肿瘤性病变(例如肉芽肿、错构瘤),准确性为53%~71%,而FNA的准确性为21%~68%。

1. 切割式活检针

经典的切割式活检针由带有斜侧切割槽的针芯、锋利的外套针鞘和弹射控制系统组成。操作时,击发弹射装置,针芯与针鞘快速相对运动,切割组织条,并保留在槽内。常用的针具直径为16G~20G,长度为10~16 cm,击发射程为7~22 mm,可根据病灶大小、距体表深度、计划穿刺路径、操作者经验、所在医疗机构病理学诊断需求等因素灵活选择。

根据弹射装置的操作步骤,切割式活检针可分为全自动和半自动两种模式。全自动活检针击发时一次性完成进针、切割、退针全过程,切割力量大、速度快,对随呼吸、心跳运动的病灶尤为适用,但需要预留安全的击发射程。半自动活检针需手动推送针芯至目标位置,再击发弹出针鞘切割组织,切割时针芯和针尖位置不变,安全性更高,适用于邻近大血管或重要脏器的病灶。

2. FNA针

FNA所使用的针具类型广泛,专用的FNA针具有针尖锋利、壁薄、柔韧性好等优点,一般由外壳及内芯组成,内芯可防止穿刺过程中目标区域外的细胞和组织进入活检针,部分产品近针尖处有多个侧孔,可有效吸取组织细胞。非专用的针具也可用于FNA操作,例如不同长度的注射器针头、同轴定位针等,其优点是获取方便、价格低廉。FNA常用的针具直径为18G~22G,长度为5~15 cm。一些医疗机构采用FNA技术获得的细胞学样本进行微生物染色、培养、药敏试验,取得了良好的应用效果。

术前超声评估

(一)灰阶超声

1.病灶位置、大小、与胸膜接触长度:根据X线、CT或PET-CT显示的肺部病灶位置,多角度扫查。位置较深、体积较大的病灶选用低频探头(1~6 MHz)。位置表浅、体积较小的病灶选用中-高频探头(5~9 MHz)。

2.病灶形态及其与胸膜夹角:恶性病灶多为球形,与胸膜夹角呈钝角。良性病灶多为楔形,与胸膜夹角呈锐角(图2 A~D 白色箭头所示)。

同轴定位针怎么使用专家共识丨超声引导经皮肺穿刺活检中国专家共识(2025版)_https://www.jmylbn.com_新闻资讯_第8张

图2  胸膜下肺病灶的超声特征 A、B:灰阶超声显示胸膜下恶性病灶,与胸壁分界不清,胸膜局限增厚。病灶呈不规则球形,与胸膜夹角呈钝角(A图白色箭头所示,B图α角所示),内未见支气管充气征,后方回声呈“瀑布征”(A图黄色箭头所示,B图白色条带所示);C、D:灰阶超声显示胸膜下良性病灶,边界不清,呈楔形,病灶与胸膜夹角呈锐角(C图白色箭头所示,D图β角所示),内见支气管充气征(C图红色箭头所示,D图白色类圆形所示),病灶后方呈“碎片征”(C图黄色箭头所示,D图白色条带所示);E:彩色多普勒血流成像(CDFI)显示肺动脉分支进入病灶内,频谱多普勒(PWD)示双向高阻力动脉频谱;F:CDFI显示病灶浅部平行于胸膜的血流信号,PWD示单向高阻力动脉频谱,考虑为肋间动脉;G:CDFI显示病灶内血流信号,PWD示单向低阻力动脉频谱,考虑为支气管动脉;H、I:CDFI显示病灶中央血流信号,PWD示阻力极低的动静脉瘘频谱,考虑为肿瘤新生血管;J:多普勒超声模式图显示肺动脉(PA)呈双向高阻力动脉频谱,支气管动脉(BA)呈单向低阻力动脉频谱,肋间动脉(ICA)呈单向高阻力动脉频谱,肿瘤新生血管(TN)呈极低阻力动静脉瘘频谱;K:弹性成像显示病灶以绿色区域为主,评分1分;L:弹性成像显示病灶以绿色及红色区域为主,伴有少量蓝色区域,评分2分;M:弹性成像显示病灶蓝色与绿色区域面积基本一致,评分3分;N:弹性成像显示病灶以蓝色区域为主,评分4分;O:弹性成像显示病灶内及周边均以蓝色为主,评分5分;P:弹性成像显示不连续、平行于胸膜的红绿蓝三色斑点或条带的“水波纹征”,改良弹性成像5分法将其评为1分(图中黄色十字标记病灶位置)

3.回声:良恶性病灶几乎均表现为欠均匀的低回声;支气管充气征多见于良性病灶(图2 C红色箭头所示) 。

4.边缘及后方回声:恶性病灶以膨胀和侵袭生长为特征,边缘更清晰,后方回声增强呈“瀑布征”;良性病灶多为炎性,肺泡逐渐被液体充填,病灶边缘更模糊,呈片状和叠瓦状的“碎片征”(图2 A~D黄色箭头所示)。

5.胸膜侵犯:恶性病灶常侵犯胸膜,表现为局部胸膜增厚,病灶与胸膜分界不清,胸膜滑动征消失(图2 A、B蓝色箭头所示)。需要注意的是肺部慢性炎症随着病程的延长也会造成胸膜侵犯,以结核、机化性肺炎多见。

(二)彩色多普勒超声

彩色多普勒血流成像(color Doppler flow imaging,CDFI)可以显示病灶及周围组织的血供情况,对观察病灶内粗大血管、辨识血管畸形、显示肋间动脉走行具有重要的作用,可以引导穿刺针避开大血管,有效减少并发症的发生。

频谱多普勒(pulsed-wave Doppler,PWD)技术通过测量动脉阻力指数(resistance index,RI),为病灶良恶性鉴别提供血流动力学信息。良性病变主要由肺动脉供血,呈双向高阻力动脉频谱;而恶性病灶主要由支气管动脉和肿瘤内新生血管供血,分别呈单向低阻力动脉频谱和极低阻力的动静脉瘘频谱(图2 E~J)。

(三)弹性成像

超声弹性成像主要包括剪切波成像和应变式成像两类。Ozgokce等研究表明,当剪切波速度>2.47 m/s时可以诊断病灶为恶性,其敏感性和特异性均达到了98%。Sperandeo等依据应变式弹性成像感兴趣区内蓝色(质硬)区域面积百分比评分,以10%、35%、60%、85%为分界线分为0~5级,以4级为临界值时,敏感性和特异性分别为87%和99.7%。除此之外,蓝色区域为恶性的可能性更高,可针对性穿刺活检。

笔者团队提出改良5分法进行应变式弹性成像评分,具体为:病灶几乎全部呈绿色或红色,评为1分;病灶蓝绿相间,以绿色为主,评为2分;病灶蓝绿相间,面积大体相等,评为3分;病灶几乎均为蓝色,只有少量绿色,评为4分;病灶内部和周边均为蓝色,可伴有少量绿色,评为5分,其中恶性病灶多≥4分(图2K~P)。在对170例患者的一项回顾性研究中,获得了88%的敏感性和84%的特异性。

(四)超声造影

中国抗癌协会《胸部肿瘤经皮穿刺活检中国专家共识》指出,超声造影技术可清晰显示肿瘤供血血管和坏死病灶,有助于减少穿刺活检的假阴性率和并发症发生率。不仅如此,超声造影还能较CDFI更好地显示不同时相下微血流灌注情况,不受血管管径和流速的影响,在良恶性鉴别方面具有更高的准确性,从而避免不必要的穿刺,并提高取材成功率,降低并发症发生率。

1. 操作方法

(1)使用常规超声显示病灶的最大断面并固定探头位置,调节仪器为双幅造影模式,设置机械指数<0.2,增益调至造影模式下不显示病灶主体。

(2)常用“注射用六氟化硫微泡”作为超声造影剂。配置时,将冻干粉溶解于5 ml生理盐水中,快速振摇使之与六氟化硫气体(59 mg)充分混合,形成微泡悬液。弹丸式注射超声造影剂(常用量为1.5~2.4 ml),随之快速注射5 ml生理盐水冲管,注射同时开启计时器并存储造影图像2~3 min。目前部分医疗机构开始使用“注射用全氟丁烷微球”超声造影剂,将全氟丁烷微球粉末溶解于2 ml无菌注射用水中,轻轻振荡,形成均匀的乳白色混悬液,常用注射剂量为0.6~1.0 ml。

(3)通常单次注射造影剂即可做出诊断,如有需要可在目标病灶内造影信号基本消失后再次注射,两次注射间隔时间通常需超过15 min。

2. 图像分析

(1)增强模式:常见增强模式包括外周到中心的向心型增强、肺门到周边的离心型增强、局部到整体增强等。恶性病灶常见局部到整体的“落雪”样增强、外周到中心的“卷发”样增强;良性病灶常见肺门到周边的“树枝”样增强(图3 A~L)。

同轴定位针怎么使用专家共识丨超声引导经皮肺穿刺活检中国专家共识(2025版)_https://www.jmylbn.com_新闻资讯_第9张

图3  胸膜下肺病灶的超声造影特征 超声造影模式下,肺病灶由外周向中心向心型增强(A~D图);由肺门向周边离心型增强(E~H图);由局部向整体增强(I~L图);病灶增强强度与其旁肺组织相近,明显高于胸壁组织,为高增强(M图);病灶增强强度略低于其旁肺组织,高于胸壁肌肉,为等增强;部分区域未见造影剂进入,为无增强(N图);病灶增强强度与胸壁肌肉基本一致,为低增强(O图);病灶中心无增强,仅外周带增强的环状增强(P图,红圈所示为无增强区);病灶内的片状增强(Q图,红圈所示);病灶内血管迂曲走行呈“卷发样”增强(R图,红色箭头所示);病灶内主要供血血管呈树枝样增强(S图,红色箭头所示);病灶内分布多发的无增强区,形似筛孔,无增强区之间呈条带状增强,形似网格(T图,红圈所示为无增强区)(图中T为注射造影剂后的时间,黄色十字所示为病灶)

(2)峰值强度与坏死区:病灶内增强强度达峰时的水平,以邻近肺组织(高增强)及胸壁肌肉(低增强)的强度为参考,分为无增强、低增强、等增强、高增强4个级别。体积较大的恶性肿瘤往往合并坏死,尤以鳞癌多见,在超声造影图像中表现为病灶内部形态不规则的无增强区;相比之下,腺癌的微血管密度普遍大于鳞癌,坏死出现较少,峰值强度也多高于鳞癌(图3 M~O)。

(3)造影剂分布特征:总体上分为均匀和不均匀两类,其中不均匀增强具有以下几种特殊类型:环状增强,病灶仅外周带增强,中心区无增强;片状增强,病灶内单个或数个片状区域增强;卷发样增强,病灶内新生血管走行迂曲、形态紊乱,呈卷发样增强;树枝样增强,病灶内肺动脉没有被破坏,呈树枝样逐级分支增强;筛网状增强,病灶内多发的片状无增强区分布于血管之间,呈特征性网状(图3 P~T)。

(4)时间-强度曲线:分别选取病灶周围肺组织、病灶、胸壁3个目标区域内最早开始增强点作为感兴趣区(注意避开贯穿病灶内外的粗大主干血管),绘制时间-强度曲线,并测量、计算下述参数。

病灶始增时间:从肘静脉注射超声造影剂到病灶开始增强的时间,又称造影剂到达病灶时间。正常肺组织由肺动脉与支气管动脉双重供血,两者比例约为85%∶15%。当发生恶性肿瘤时,肺动脉被破坏,支气管动脉凭借更强的增殖能力,逐渐取代肺动脉成为主要的供血来源,这一病理改变是超声造影鉴别胸膜下肺病灶良恶性的重要依据。超声造影剂从肘静脉注入后,首先回流至右心,进入肺动脉,然后再经过左心,进入支气管动脉。所以主要由肺动脉供血的良性病灶表现为早增强,主要由支气管动脉供血的恶性病灶表现为晚增强,依据病灶开始增强时间的差异即可鉴别良恶性。Caremani等推荐以10 s作为临界值区分早增强与晚增强,但临床实践中病灶的始增时间会受到多种因素影响,包括血管长度、心血管功能、造影剂注射速度等,所以单一指标的诊断价值有限。

病灶-肺组织始增时间差:Bai等以病灶旁肺组织作为参照物,计算肺组织与病灶开始增强时间的差值,提出以2.5 s作为临界值区分早增强与晚增强的方法,早增强提示肺动脉供血,倾向良性;晚增强提示支气管动脉供血,倾向恶性,获得了97%的准确性。

始增时间差比值:笔者团队提出了同时将病灶旁肺组织和胸壁作为参照物,计算始增时间差比值的诊断方法(病灶-肺组织始增时间差/胸壁-肺组织始增时间差)。病灶旁肺组织主要由肺动脉供血,胸壁主要由肋间动脉供血,而肋间动脉与支气管动脉均起源于主动脉。当病灶始增时间与其旁肺组织更接近时,可判断为肺动脉供血,倾向良性;当病灶始增时间与胸壁更接近时,可判断为支气管动脉供血,倾向恶性。始增时间差比值能很好地反映上述特征,临界值为43%时可获得最佳的诊断效果,准确性可达91%(图4)。

同轴定位针怎么使用专家共识丨超声引导经皮肺穿刺活检中国专家共识(2025版)_https://www.jmylbn.com_新闻资讯_第10张

图4  胸膜下肺病灶的超声造影表现 A:选择肺组织①、病灶②、胸壁③作为感兴趣区; B:进行时间-强度曲线分析; C:获取造影剂到达时间(始增时间),根据公式计算定量参数:始增时间差比值=(病灶始增时间-肺组织始增时间)/(胸壁始增时间-肺组织始增时间),鉴别病灶的良恶性; D:CT显示右肺上叶不均质密度肿块,紧贴胸壁,可行超声检查; E:灰阶超声显示胸膜下类圆形低回声肿块,边界尚清晰,内未见支气管充气征,后方回声增强,初步诊断为恶性; F:超声造影显示病灶旁肺组织、病灶、胸壁依次开始增强,选择三者最早开始增强的点作为感兴趣区(分别标记为黄色、绿色、红色)绘制时间-强度曲线; G:曲线快速上升的拐点时间即为开始增强时间,代表病灶的绿色曲线上升支拐点与代表胸壁的红色曲线上升支拐点更接近,不需计算即可确定“始增时间差比值”远大于43%,诊断为恶性,最终病理诊断为小细胞肺癌; H:CT显示双肺多发小片实变影,位于右肺下叶的病灶较大且紧贴胸壁,适合超声检查; I:灰阶超声显示胸膜下楔形低回声病灶,与周围肺组织分界不清,呈“碎片征”,内可见支气管充气征; J:选择病灶旁肺组织、病灶、胸壁最早开始增强的点作为感兴趣区(分别标记为黄色、绿色、红色)绘制时间-强度曲线; K:代表病灶的绿色曲线上升支拐点与代表肺组织的黄色曲线基本同步,不需计算即可确定“始增时间差比值”远小于43%,诊断为良性,最终病理诊断为机化性肺炎

3. 超声造影术前评估的优势

(1)确定病灶位置:部分病灶由于位置深在或特殊(受肋骨或气体遮挡)导致穿刺部位不明确时,超声造影通过微循环的显示提高病灶的检出率,帮助明确病变位置、大小,进而引导精准穿刺活检。

(2)辨认坏死区:肺部良、恶性病灶坏死发生率均较高,“注射用六氟化硫微气泡”超声造影剂作为纯血池造影剂,能较CT和传统超声更准确地识别无造影剂增强的坏死区,从而提高取材成功率和病理诊断率,还能减少穿刺次数,降低并发症发生率。

(3)明确病灶性质:超声造影剂能显示病灶内微循环灌注,依据病灶增强特征能较准确地鉴别良恶性,不仅可以避免不必要的穿刺,还能区分恶性病灶区和不张或实变的肺组织,提高穿刺阳性率。

(4)减少出血并发症:超声造影不受血管管径和血流速度的影响,能较传统CDFI技术更敏感、准确地显示病灶内部及周围的极低速血流和毛细血管灌注情况,从而引导避开穿刺路径上的粗大及细小血管,并根据病灶内微循环灌注情况,指导操作者选择合适的穿刺器具、设计更优的穿刺路径,进一步减少出血的发生率。

(5)动态监测出血:怀疑肺内出血或胸壁动脉出血时,可采用超声造影技术动态监测,明确出血来源、出血量,并监测治疗效果。

术中操作流程

(一)确定穿刺体位

结合CT等影像资料确定病灶位置,选择合适的穿刺体位,包括侧卧位、仰卧位、俯卧位、坐位等,同时保证患者的舒适性和操作者的方便性。

(二)穿刺路径规划与风险评估

1.选择不被骨性结构阻挡,不经过大血管、重要脏器、含气肺组织及充气支气管等的穿刺路径,且超声可清晰显示穿刺路径全程(图5A,B)。

同轴定位针怎么使用专家共识丨超声引导经皮肺穿刺活检中国专家共识(2025版)_https://www.jmylbn.com_新闻资讯_第11张

图5  术中操作 A:灰阶超声显示病灶内含有局限性支气管充气征,红色箭头标记的穿刺路径会经过支气管,增加气胸、空气栓塞和咯血的风险,白色箭头标记的路径更安全; B:CDFI显示病灶内有粗大血管,红色箭头标记的穿刺路径会经过血管,增加出血的风险,白色箭头标记的路径更安全; C:超声造影显示病灶内存在坏死区(无增强区),红色箭头标记的穿刺路径经过坏死区,不利于病理诊断,白色箭头标记的路径更有可能获得有活性的病理样本; D~F:超声显示麻药在胸膜表面扩散(红色箭头所示); G:同轴定位针及配套全自动活检针,α为同轴定位针的长度,β为活检针击发射程; H:在超声引导下将同轴定位针置入病灶,针尖前方留有足够的活检距离; I:全自动活检针经同轴定位针置入病灶内并前向切割取材

2.有条件的情况下可行超声造影检查,识别病灶内有活性、恶性可能性高的区域进行取材(图5C)。

3.选择皮肤完整、无感染的区域作为进针点,并做好体表标记。

4.术前常规检查患侧肋膈角,为术后评估是否出现血胸及出血量做出快速判断。

(三)监护、无菌与麻醉

穿刺前均应建立静脉通路,必要时监测心电、血压和血氧饱和度。常规消毒、铺巾,使用无菌隔离套包裹超声探头。采用2%利多卡因溶液在超声引导下对穿刺点进行局部逐层浸润麻醉,重点麻醉壁层胸膜,剂量常用5 ml,可根据麻醉效果及进针深度适当增加(图5E~G)。

(四)穿刺方法

1.穿刺架引导法:该方法定位精准、操作简便、安全性好,但也受到固定的进针位置、角度限制以及复杂的软组织阻力等因素的影响。由于精准度高,可明显减少没有穿刺经验的初学者和非超声专业医生的学习时间。穿刺前,在超声探头上安装穿刺架,并调整进针角度。穿刺时,嘱患者平静呼吸,以减小穿刺目标的活动幅度。当穿刺针通过胸膜时,可嘱患者屏气并快速进针,以避免针尖划伤胸膜引起气胸、出血等并发症。

2.徒手穿刺法:该方法无穿刺引导架的约束,可以灵活移动探头和调整穿刺针方向。操作者一手持针,一手持探头,协同完成实时操作。该方法学习周期较长,常用的操作经验如下:

(1)穿刺针的显示与以下因素有关:①超声波与穿刺针的共振关系(超声波的频率与穿刺针的固有频率越接近,显示越清晰);②穿刺针与超声波声束的夹角(夹角越接近90°,显示越清晰);③穿刺针与周围介质的声阻抗差(差值越大,显示越清晰)。

(2)为使穿刺针显示的更为清晰,可采取以下方法:①极小幅度往复拔插穿刺针,借助同步移动的强回声点及其周围软组织的运动来分辨穿刺针的位置;②将针芯拔出,向针腔内注入生理盐水,借助生理盐水的低回声信号显示穿刺针位置。

(3)在穿刺过程中,患者活动、超声探头移动、局部软组织阻挡或牵拉等因素会导致针尖移位,使其不能清晰显示。此时应保持穿刺针不动,调整探头位置,寻找目标切面,若仍看不到针尖,可小幅度倾斜探头沿着针体寻找针尖。确定针尖位置后,还需评估穿刺针的位置和角度是否可以获得满意的样本,若偏离过大还需进一步调整。注意,只有清晰显示针尖位置时才可进针,切忌盲目进针。

(五)同轴技术

同轴技术可实现一次穿刺、多次取材的目的,创伤较小,可减少疼痛、出血等并发症发生率。当出现气胸或血胸时,还可以利用同轴定位针抽吸积气或积血、注射药物等,有助于即刻处理并发症。另外,同轴技术的保护作用还可降低肿瘤针道种植转移的风险。

病灶较大,可为切割式活检针保留足够的击发射程时,可将同轴定位针尖置于病灶内,不仅可减少因空气经同轴定位针进入负压状态的胸腔导致的气胸,还可以避免穿刺针反复经过胸膜导致的出血和疼痛(图5H~J)。当病灶较小,预估击发后针尖会进入深部肺组织时,同轴定位针也可置于胸壁肌层,并根据病灶大小和击发射程调整位置。

(六)样本获取与处理

1. 样本获取

(1)细胞学样本:将穿刺针置入病灶后,连接干燥或肝素化的注射器,给予负压,在目标区域进行多点多方向抽吸,获取细胞学样本。

(2)组织学样本:根据病灶大小和并发症风险选择取材位置、取样长度,击发切割针获取组织样本。

2. 样本量

根据所在医疗机构病理科和实验室要求、样本检测的方法和目的评估样本量,切割式活检针一般穿刺1~2次即可满足病理诊断。同一针道穿刺不宜超过3次,标本不满意时,需改变针道再次穿刺。

3. 样本处理

(1)细胞学样本离体后应尽快涂片,涂片轻柔均匀,潮干后使用95%乙醇或醇类为主的混合固定液固定样本。细胞病理学家参与的现场涂片和现场细胞学评估(rapid on-site evaluation of cytology,ROSE)可提高诊断阳性率。

(2)用于液基细胞学检查或制作细胞蜡块的样本需放入细胞保存液中保存。

(3)用于组织病理学检查的样本应放入10%中性甲醛固定液中固定。

(4)用于基因测序的样本应放入液氮中速冻或核酸保护剂中保存。

(5)用于病原学检查的样本应封装于无菌容器中或专用保存液中保存。

影像融合容积导航技术

(一)技术原理

CT可以获得完整的人体断层静态图像,而超声可以显示局部病灶的动态图像。容积导航技术应用电磁场覆盖整个目标区域,通过目标点与电磁场发射器的相对位置获得空间坐标,以同一目标点的空间坐标匹配超声与CT图像即可实现影像融合。再应用超声探头和穿刺针上的电磁感应器,实时追踪两者的空间位置,实现超声检查和穿刺过程中超声与CT图像的实时匹配,即根据CT图像来引导超声操作。

(二)磁定位系统

磁定位系统主要由磁场发射器和感应器两部分组成。磁场发射器置于目标区域旁,形成一个直径约50 cm的球形磁场作为空间坐标系,用以追踪磁场感应器的位置和方向。磁场感应器安装或内置于超声探头上,与探头同步运动,并提供其在坐标系中的相对位置和方向信息。

(三)图像匹配方法

1. 体内标记法

肺部病灶的容积导航技术仍处于探索阶段,目前常用的体内标记点有胸骨柄、肋骨、胸锁关节、乳头、心脏等,但由于受呼吸运动和体位的影响,体内标记法配准难度较大且精准度不高。

2. 体外标记法

在获取CT或MRI等容积图像前于体表贴附标记物,并据此进行图像匹配的方法称为体外标记法,适用于解剖结构在超声下显示不清晰的脏器和骨性结构,如肺、椎间孔等。常用的体外标记物包括自动追踪器和心电电极片等。体外标记法的优点突出,图像匹配准确、速度快,标记物位置灵活,可实现自动匹配图像的功能。但该方法需要患者贴附标记物后再行CT或MRI扫描,可能会增加医疗成本(图6 A~D)。

同轴定位针怎么使用专家共识丨超声引导经皮肺穿刺活检中国专家共识(2025版)_https://www.jmylbn.com_新闻资讯_第12张

图6  影像融合容积导航技术 A、B:采用乳头( A图,红色箭头所示)和心脏( B图)作为体内标记点; C、D:采用自动追踪器(C图,红色箭头所示)和心电电极片(D图,红色箭头所示)作为体外标记点; E:胸膜下肺病灶的融合成像(红色圆圈所示为病灶); F:非胸膜下肺病灶的融合成像(红色圆圈所示为病灶); G、H:影像融合容积导航引导非胸膜下肺病灶的经皮肺穿刺活检(红色箭头所示为病灶,绿色线条表示穿刺引导线)

(四)操作步骤

经皮肺活检推荐采用体外标记为主、体内标记为辅的图像匹配方法。先将自动追踪器或金属标记物(如心电电极片)贴附于胸壁表面,然后进行肺部CT扫描(层厚推荐1 mm),以获取带有体外标记的容积图像。借助磁定位系统定位超声探头和自动追踪器,实现超声与CT图像的自动匹配。还可依据心电电极片和体内标记点手动调节,以进一步提高图像匹配的精准度,秉承由大到小、由远及近的原则逐步配准,完成图像融合。融合的图像可重叠或并行显示肺部CT和超声图像,并导航超声探头定位病灶、引导穿刺(图6 E~H)。

术后并发症

超声引导经皮肺穿刺活检并发症的发生及预防与其他影像学引导方式具有共同之处,也有其特殊性。文献报道中超声引导经皮肺穿刺活检的并发症发生率约1.1%~32.7%,超声引导的安全性均优于CT。常见并发症包括气胸、出血、胸膜反应、疼痛等,而鼻衄、血气胸、皮下气肿、系统性空气栓塞、心包填塞、针道种植、肋间动脉假性动脉瘤、心房颤动、胸部感染、胸膜转移等相对罕见。死亡率约0.02%~0.15%,主要死亡原因包括:急性大出血、心脏骤停、空气栓塞等。应用超声造影技术引导经皮肺活检,还需警惕造影剂过敏,严重时可发生过敏性休克,甚至威胁生命。

(一)出血

出血是超声引导经皮肺穿刺活检最常见的并发症,穿刺过程中损伤肺内或胸壁内血管可引起出血。血液经气道排出称为咯血,容易发现,若血液积聚于胸腔,则称为血胸,病情隐匿。文献报道出血发生率为0.3%~9.9%,其中咯血0.3%~8.0%,血胸0.1%。出血通常具有自限性,但也有大出血导致死亡的病例报道。

1. 危险因素

(1)穿刺次数多、使用较粗的切割式活检针;

(2)病灶位于叶间裂、心脏或大血管旁;

(3)富血供病变、良性病变、含有粗大血管的病变及慢性空洞病变;

(4)伴有大量胸腔积液;

(5)伴有凝血功能障碍、肺动脉高压等易出血的基础疾病;

(6)正在服用抗凝、抗血小板、抗血管生成药物或处于经期。

2. 预防措施

(1)术前应充分了解病史,积极纠正凝血障碍;

(2)术前仔细阅读影像资料,避开叶间裂、心脏、大血管及空洞;

(3)术前评估病灶内血供及周围血管情况,避免损伤粗大血管、肋间动脉,穿刺路径尽量避开实变肺组织,减少穿刺次数(图7 A~D);

同轴定位针怎么使用专家共识丨超声引导经皮肺穿刺活检中国专家共识(2025版)_https://www.jmylbn.com_新闻资讯_第13张

图7  超声引导经皮肺穿刺活检常见并发症 A:常规超声图像显示病灶内存在支气管充气征和粗大血管(图中蓝色血流信号); B:活检时切割针损伤血管,导致咯血(红色箭头所示为穿刺针); C:CDFI显示病灶大部分区域血供丰富(图中红色、蓝色血流信号区),仅一侧边缘血流信号较少(红色箭头所指); D:在无明显血管处进针穿刺活检,避免出血并发症(红色箭头所示为穿刺针); E:肋间动脉起始于脊柱旁,走行于肋骨上缘,向前胸走行过程中逐渐靠近上位肋骨下缘,但随年龄增长,肋间动脉走行扭曲明显。 F~K图为一出血并发症病例(男,62岁)。 F:常规超声示病灶周边及内部未见明显血流信号; G:CEUS示病灶不均匀等增强; H:穿刺活检术中,针道清晰,操作顺利(红色箭头所示为穿刺针); I:术后常规超声示胸腔内巨大凝血块(黄色十字所示); J:CT示右侧胸腔积血(红色箭头所示); K:血管介入发现肋间动脉多支破裂,给予封堵治疗。 L~N图为一气胸并发症病例(女,70岁)。 L:超声引导胸膜下肺病灶穿刺活检时发生气胸(红色箭头所示为穿刺针); M:通过同轴定位针抽气,病灶逐渐显示(红色箭头所示为同轴定位针); N:抽气20 ml后,病灶完全显示(红色箭头所示为同轴定位针)。 O~Q图为一气胸并发症病例(女,68岁)。 O:超声引导胸膜下肺病灶穿刺活检时发生气胸(红色箭头所示为穿刺针); P:穿刺时并发气胸,病灶受气体遮挡无法显示; Q:静卧、吸氧20 min后,气体吸收,病灶重新显示(黄色十字所示)。 R:空气进入血液循环的机制:穿刺针刺破肺静脉后拔出针芯,空气即可进入肺静脉;穿刺针穿破气道且同时穿破邻近肺静脉,形成气道-肺静脉瘘,空气可经瘘道进入肺静脉; S:胸膜下肺病灶,内弥漫分布支气管充气征,避开支气管穿刺活检,避免空气栓塞并发症的发生

(4)肋间动脉自肋脊交界区起始,一般沿肋骨下缘走行,但也存在个体差异和解剖变异,特别是随着年龄增大,肋间动脉的迂曲度增加无法被肋骨完全遮挡,穿刺时更易损伤。穿刺前可应用高频探头观察胸壁血管,避免损伤(图7 E);

(5)对富血供病变或高度怀疑良性的病变,一些医疗机构给予预防性止血药(“血凝酶”或“氨甲环酸”)静脉注射,或经穿刺通道注入“明胶海绵颗粒”或“血凝酶”,或选择内径较细的针具,可降低出血并发症的发生;

(6)大量胸腔积液引流后再行穿刺活检。

3. 处置方案

(1)出血发生时,应立即停止操作,可迅速拔针,冰块压敷进针部位,也可通过穿刺针局部使用止血材料(如“明胶海绵颗粒栓塞剂”等)。

(2)建立静脉通道,监测生命体征。

(3)少量出血时,患者生命体征(血压、心率、血氧饱和度)平稳,无呼吸困难,无需特殊处理,应卧床休息、密切观察,一般可自行停止。

(4)中等量咯血时,24 h咯血量约100~500 ml,患者可能出现一过性心率增快、血氧饱和度轻度下降。应予吸氧,密切监测生命体征,并采用药物止血治疗(如垂体后叶素、血凝酶、氨甲环酸等)。患者可采用患侧卧位(穿刺侧朝下),该体位可防止血液被吸入健侧支气管,引起呼吸困难;也有医疗机构采取坐位,以便患者咳出积血。

(5)大量咯血(单次咯血量>100 ml,或24 h>500 ml)或持续咯血时,患者可能出现血流动力学不稳定(如血压下降、心率显著增快)、呼吸衰竭(严重缺氧、呼吸困难),应组织相关科室参与救治,保持气道通畅、积极补液,采用药物止血治疗。内科治疗效果欠佳时需考虑介入栓塞或外科手术治疗。

(6)中-大量血胸应尽早发现,可行置管引流联合止血药物治疗,并及时明确出血来源。病情危重时,救治措施同咯血(图7 E~K)。

(二)气胸

气胸是超声引导经皮肺穿刺活检另一常见并发症,发生率为0.8%~11.6%。经皮肺穿刺活检引起的气胸属于创伤性气胸,多发生在穿刺术中或术后1 h内,偶有24 h后迟发性气胸的报道。

1. 危险因素

(1)肺气肿、慢性阻塞性肺疾病或肺大疱等基础肺部疾病;

(2)小病灶或病灶与胸膜接触面积小;

(3)随呼吸运动幅度大、且患者无法控制呼吸配合操作的病灶;

(4)多次经胸膜穿刺、不规范使用同轴定位针;

(5)叶间裂或肺大疱周围病灶、空洞病灶。

2. 预防措施

(1)术前应充分了解病史,必要时评估肺功能;

(2)精准操作,稳、准、快,尽量避免穿刺正常肺组织;

(3)患者术中避免说话、咳嗽及过大的呼吸运动,对无法进行呼吸配合的患者,操作医师在呼吸间隙择机快速穿刺病灶;

(4)避免不必要的重复穿刺,使用同轴定位针时尽量将针尖置于病灶内并及时堵管;

(5)穿刺路径避开叶间裂、肺大泡、支气管、空洞等。

3. 处置方案

(1)术中少量气胸(肺压缩<30%)无需特殊处理,也可使用注射器抽气后继续操作(图7 L~N);

(2)稳定的闭合性气胸无需特殊治疗,注意观察病情变化,必要时吸氧、休息(图7 O~Q);

(3)气胸范围超过单侧胸腔的30%、持续增多或患者出现呼吸困难症状时,应穿刺抽气或行胸腔闭式引流。

(三)胸膜反应

胸膜反应在超声引导经皮肺穿刺活检中也不少见,指在穿刺中或术后因壁层胸膜受刺激引发迷走神经反射,导致患者出现以血管迷走性反应(如血压下降、心率减慢、胸闷、出汗、面色苍白、晕厥)和刺激性咳嗽为特征的临床综合征,发生率为0~0.2%。

1. 危险因素

(1)年轻、体型偏瘦、情绪紧张、疼痛耐受度低、基础血糖偏低;

(2)局部麻醉不充分;

(3)操作时间过长,多次经胸膜穿刺。

2. 预防措施

(1)充分了解患者病史,做好宣教及心理疏导;

(2)避免在患者空腹时操作;

(3)充分麻醉直至壁层胸膜,穿刺路径与麻醉区域保持一致,穿刺胸膜时快速进针;

(4)避免不必要的重复穿刺;

(5)必要时可使用镇静药,以减轻患者的心理负担。

3. 处置方案

(1)症状轻微者,可自行缓解,无需处理;

(2)症状严重者可出现大汗、血压进行性下降、甚至休克,此时应采用平卧头低位,保持气道开放,高浓度吸氧,必要时可皮下或肌内注射肾上腺素,防止休克。

(四)系统性空气栓塞

系统性空气栓塞依其发生路径可分为静脉性与动脉性两类。静脉性空气栓塞常因气体滞留于右心及肺动脉系统,临床症状多隐匿或轻微;而动脉性空气栓塞则是经皮肺穿刺活检最为凶险的并发症,气体经肺静脉进入体循环,可导致心源性休克、心脏骤停、急性脑梗死乃至多器官衰竭等严重后果(图7 R)。该并发症虽属罕见(文献报道发生率约为 0.02%~1.80%),而一旦发生,死亡率可高达26%,故术者必须对其保持高度警惕,并深刻理解其预防、识别与紧急处理的重要性。动脉性空气栓塞的靶器官以心与脑最为敏感,二者可单独或同时受累。当气体栓子栓塞冠状动脉时,可引发恶性心律失常乃至急性循环衰竭;若栓塞颅内动脉,则可能导致癫痫发作、意识障碍等严重神经功能缺损。研究表明,仅0.5~1 ml的气体进入冠状动脉循环或2 ml气体进入颅内循环即可能致命。目前,CT是诊断空气栓塞的首选影像学方法,其可于受累血管或心腔内发现特征性的低密度气体影,此为确诊的直接影像学证据。

1. 危险因素

(1)活检空洞性病变或血管炎性病变(如磨玻璃影);

(2)病灶内含有大量支气管充气征;

(3)穿刺过程中患者咳嗽、正压通气、直立体位。

2. 预防措施

(1)谨慎选择空洞性、血管炎性病灶内的安全区域穿刺活检;

(2)避免穿刺通气支气管(支气管充气征)(图7 S);

(3)避免直立体位或正压通气状态下进行穿刺活检;

(4)避免不必要的重复穿刺、使用同轴定位针时及时堵管;

(6)患者术中避免说话、咳嗽及过大的呼吸运动。

3. 处置方案

(1)穿刺中发生心脑血管事件应高度警惕空气栓塞的发生;

(2)一旦怀疑空气栓塞,应立即停止操作,需密切监测生命体征,给予面罩吸纯氧治疗以促进肺泡内氮气与氧气交换,加速气体栓子的吸收,并积极进行其他抢救措施;如发生颅内动脉空气栓塞,可转运至高压氧舱接受治疗;

(3)应采用的体位目前仍有争议。有学者推荐采用头低脚高位(trendelenburg position),认为该体位可使气体远离心室流出道,降低气体栓子进入冠状动脉和脑循环风险。另有观点认为气泡的浮力不足以抵消血液流动,改变体位可能导致空气重新分布,因此应继续保持原体位。

(五)超声造影剂过敏

超声造影剂安全性高,使用前无需行过敏试验,过敏反应罕见(0.014%),且绝大多数症状轻微、短暂,包括头痛、注射部位反应、恶心、发热感等,可自行恢复且无遗留效应;但也有极少数患者出现过敏性休克,存在死亡风险。

1. 危险因素

(1)既往已知对超声造影剂成分过敏者或有其他药物过敏史者;

(2)超声造影前6 h内使用了其他影像学造影剂;

(3)超声造影剂储存条件不佳,气温过高或造影剂放置时间过长。

2. 预防措施

(1)超声造影前详细询问过敏史,充分了解患者发生过敏反应的可能性;

(2)已行其他影像学造影的患者暂缓超声造影检查,一般间隔>6 h;

(3)严格保证超声造影剂储存条件,包括专门场所储存、环境温度<25℃等;

(4)使用前仔细查看造影剂有效期、是否有破损等;

(5)造影过程中仔细观察患者状态,对老年和危重患者给予心电监护以准确监测生命体征、及时处置突发状况。

3. 处置方案

(1)一旦怀疑造影剂过敏,应立即停止注射,即刻对患者心率、血压、呼吸、血氧饱和度实施密切监护并建立多路静脉通道;

(2)积极采用药物治疗,首选肾上腺素肌内注射并充分液体复苏,效果不佳时配合使用糖皮质激素(甲强龙或地塞米松)静脉推注;

(3)如发生呕吐,应保持头部偏向一侧并清除异物,以防止误吸呕吐物导致窒息;

(4)如发生气道水肿或支气管痉挛而导致严重呼吸困难时,应考虑气管插管或气管切开。

(六)疼痛

疼痛是较常见的并发症,多发生在穿刺术中。与患者耐受性、麻醉效果及穿刺次数(>2次)等因素相关。处理措施包括追加局部麻醉药物、应用镇痛药物,必要时可联合静脉全身麻醉。

(七)皮下气肿

皮下气肿常伴气胸发生,气体积聚于皮下,超声显示为弥漫的高回声区,无法显示肺内结构与病灶。一般无需特殊处理。

(八)其他少见、罕见并发症

1.针道种植转移非常罕见,文献报道发生率为0.012%~0.061%。为降低针道种植转移风险,拔针时应保持负压或使用同轴定位针。

2.其他罕见并发症包括:心包填塞、肋间动脉假性动脉瘤、心房颤动、胸部感染和胸膜转移等。

术后管理

(一)术后观察

1.术后穿刺点覆盖无菌敷料,妥善包扎,可采用冰袋压敷。静卧至少30 min,并密切观察。

2.嘱患者避免增加胸腔压力的动作,如剧烈咳嗽、大声说话、频繁活动等,防止出血、气胸的发生。

3.病情危重患者术后需监测生命体征,尤其是血氧饱和度,并复查超声或胸部X线,判断是否发生气胸或出血。

4.若患者胸闷、胸痛症状明显,需要考虑延迟性气胸或出血的可能。

(二)随访管理

1.详细记录患者的基本情况、病史资料、超声图像特征、介入操作器具、获取的组织量、并发症发生情况、抢救措施及过程。

2.随访最终诊断结果,记录取材成功率和病理诊断率,对取材失败、病理无法诊断或临床高度怀疑恶性但未获得恶性诊断证据的病例及时记录与分析,并可行再次活检。

3.患者经首次活检明确诊断并接受治疗后,若出现病情进展、治疗耐药或靶向药物治疗失败等情况,可行再程活检(二次活检)。

总    结

随着超声引导经皮肺穿刺活检技术的推广和普及,其应用价值也逐渐被接受与认可。鉴于该技术缺乏相关指南与规范,11家权威学术机构的近百位专家联合制定了本共识。本共识系统构建了“术前评估-术中操作-术后管理”的完整体系,并详细介绍了超声造影等新技术的应用价值。

超声引导经皮肺穿刺活检精准度高、安全性强、全程可视、操作简便、无电离辐射,被推荐为胸膜下肺病灶经皮穿刺活检的首选方法,尤为适用于随呼吸移动、位置特殊、血供丰富的高风险病灶。多模态超声,特别是超声造影的应用,进一步提高了取材成功率,降低了并发症发生率。遗憾的是,仍然缺乏比较超声与其他影像学方法引导经皮穿刺活检的前瞻性、多中心、大样本、随机化临床研究。但随着该技术的进一步推广,更多高水平循证医学证据将不断涌现,本共识也将动态更新,为肺部疾病诊疗水平的整体提升提供坚实保障,最终惠及广大患者。


共识编写组成员

指导专家:

陈昶 梁萍 蒋天安

组长:

徐辉雄 王茵

执笔专家:

王茵

秘书:

毕珂

专家组成员:(按照姓氏汉语拼音排序)

安慧茹(解放军总医院第八医学中心);毕珂(同济大学附属上海市肺科医院);曾谊(南京市第二医院);陈宝定(江苏大学附属医院);陈昶(同济大学附属上海市肺科医院);陈宏伟(同济大学附属上海市肺科医院);陈磊(上海交通大学医学院附属第六人民医院);陈曼(上海交通大学医学院附属同仁医院);陈禹(沈阳市第十人民医院);陈芸(同济大学附属上海市肺科医院);池嘉昌(上海交通大学医学院附属仁济医院);褚海青(同济大学附属上海市肺科医院); 丛阳(同济大学附属上海市肺科医院);崔立刚(北京大学第三医院);崔峥(同济大学附属东方医院);丁红(复旦大学附属华山医院);董亮(胜利油田中心医院);段亮(同济大学附属上海市肺科医院);范琳(同济大学附属上海市肺科医院);范培丽(复旦大学附属中山医院);方超(复旦大学附属徐汇医院);高广辉(同济大学附属上海市肺科医院);高毅(复旦大学附属肿瘤医院);戈杨(成都市公共卫生临床医疗中心);郭佳(上海市中医药大学附属曙光医院);郭建琴(海南医科大学第一附属医院);黄斌(浙江医院);黄伟俊(佛山市第一人民医院);黄岩(南京中医药大学附属南京中医院);黄毅(西安市胸科医院);季正标(复旦大学附属中山医院);贾明(杨凌示范区医院);姜立新(上海交通大学医学院附属仁济医院);蒋天安(浙江大学附属第一医院);金赟杰(复旦大学附属中山医院);雷志锴(浙江中医药大学附属第一医院);李凡(上海交通大学医学院附属胸科医院);李文涛(复旦大学附属肿瘤医院);李小龙(上海市老年医学中心);李秀珍(江西省信丰县人民医院);李卓(解放军总医院第八医学中心);梁建琴(解放军总医院第八医学中心); 梁萍(解放军总医院第五医学中心);刘俊平(浙江省肿瘤医院);刘凌晓(复旦大学附属中山医院);卢漫(四川省肿瘤医院);卢致婷(赣州市第五人民医院);陆清(复旦大学附属中山厦门医院); 马文斌(广州市胸科医院);倪健(同济大学附属上海市肺科医院);农恒荣(南宁市第四人民医院);农云洁(广西壮族自治区民族医院);裴异(长沙市中心医院);彭彩芹(江苏省灌云县人民医院);彭成忠(同济大学附属上海市第十人民医院);任辉(宁夏回族自治区第四人民医院);任胜祥(同济大学附属上海市肺科医院);沙巍(同济大学附属上海市肺科医院);沈梦君(同济大学附属上海市肺科医院);史瑶平(上海交通大学医学院附属仁济医院);舒霁欣(同济大学附属上海市肺科医院);苏春霞(同济大学附属上海市肺科医院);孙加源(上海交通大学附属胸科医院);孙丽萍(同济大学附属第十人民医院);孙雯雯(同济大学附属上海市肺科医院);汤庆(广州医科大学附属第一医院);王华(安徽省胸科医院);王季颖(同济大学附属上海市肺科医院);王雷(上海交通大学医学院附属胸科医院);王茵(同济大学附属上海市肺科医院);吴妹英(苏州市第五人民医院);武春燕(同济大学附属上海市肺科医院);徐栋(浙江省肿瘤医院);徐辉雄(复旦大学附属中山医院);徐晓红(广东医科大学附属医院);严昆(北京大学肿瘤医院);杨琛(浙江省肿瘤医院);杨高怡(西湖大学医学院附属杭州市第一人民医院);杨铭(成都市公共卫生临床医疗中心);杨少玲(上海市第八人民医院);杨薇(北京大学肿瘤医院);杨秀梅(新疆维吾尔自治区传染病医院);叶磊(中国科学技术大学附属第一医院);叶瑞忠(浙江省人民医院);游宇光(赣南医科大学第一附属医院);余松远(同济大学附属第十人民医院);翟博(同济大学附属东方医院);张德智(吉林大学第一医院);张华伟(山东第一医科大学附属省立医院);张文智(杭州市红十字会医院);张侠(南京市第二医院);张怡(同济大学附属上海市肺科医院);张苑(同济大学附属上海市肺科医院);张哲民(同济大学附属上海市肺科医院);赵德平(同济大学附属上海市肺科医院);赵兰(同济大学附属上海市肺科医院);郑浩(河北省胸科医院);周明广(长春传染病医院);周兴华(广州医科大学附属第一医院);朱惠铭(同济大学附属上海市肺科医院);庄一平(江苏省肿瘤医院)


点击左下角“阅读原文”,获取更多文章信息


来源:中华超声影像学杂志

初审:沈锡宾

终审:干岭

同轴定位针怎么使用专家共识丨超声引导经皮肺穿刺活检中国专家共识(2025版)_https://www.jmylbn.com_新闻资讯_第14张