吉妮致美环怎么样吉妮致美节育器超声图像解读

新闻资讯2026-04-21 07:09:17

   现在宫内节育器(避孕环)种类很多,而唯一特别的吉妮致美环其固定式放置方式和柔软的结构,为用放环妇女带来了极大的便利,减少了脱落,减少了疼痛出血等副反应,更是人流术后放环的优选节育器。

因其放置方式特殊,放置后B超复查所需观察的内容也与普通节育器有所不同。这里,特别做个图像说明(为了解释得更清楚,在每张实图后面附了一张勾画过的模式图)。

一、我们先复习一下吉妮致美的结构:

吉妮致美环怎么样吉妮致美节育器超声图像解读_https://www.jmylbn.com_新闻资讯_第1张
                           

二、吉妮致美超声影像

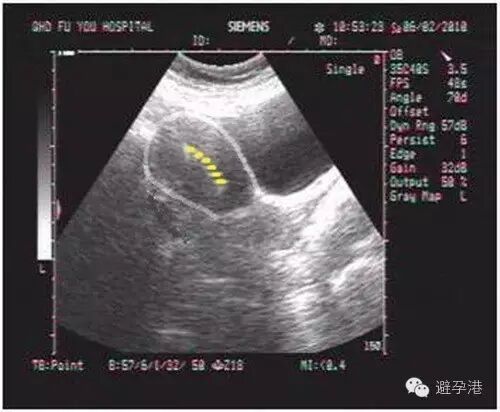
1.纵切面:在宫内可显示出串珠状六个亮点的强回声带。

吉妮致美环怎么样吉妮致美节育器超声图像解读_https://www.jmylbn.com_新闻资讯_第2张
吉妮致美环怎么样吉妮致美节育器超声图像解读_https://www.jmylbn.com_新闻资讯_第3张

2.分辨率高超声仪器,在子宫肌壁间可见一稍强光点,为吉妮致美线结。

吉妮致美环怎么样吉妮致美节育器超声图像解读_https://www.jmylbn.com_新闻资讯_第4张
吉妮致美环怎么样吉妮致美节育器超声图像解读_https://www.jmylbn.com_新闻资讯_第5张

3.横切面:宫底和宫体切面可见点状强回声光斑。

吉妮致美环怎么样吉妮致美节育器超声图像解读_https://www.jmylbn.com_新闻资讯_第6张
吉妮致美环怎么样吉妮致美节育器超声图像解读_https://www.jmylbn.com_新闻资讯_第7张

三、定位观察

1.吉妮致美是固定式避孕环,放置成功后极少发生脱落下移。超声定位重点在于观察吉妮致美所在位置是否安全,即观察吉妮致美第一个铜套上缘到子宫浆膜层的(S-S)距离。

吉妮致美环怎么样吉妮致美节育器超声图像解读_https://www.jmylbn.com_新闻资讯_第8张
吉妮致美环怎么样吉妮致美节育器超声图像解读_https://www.jmylbn.com_新闻资讯_第9张

2.定位宜切扫描观察:

①S-S≤1.1cm,为避免吉妮致美异位,请将之取出。

S-S在1.1~1.4 cm之间,请扫描吉妮致美线结在子宫肌壁间位置,安全的位置应该是在内膜线与浆膜之间;如线结与浆膜重叠,或线结距浆膜<0.2 cm,请取出。

吉妮致美环怎么样吉妮致美节育器超声图像解读_https://www.jmylbn.com_新闻资讯_第10张
吉妮致美环怎么样吉妮致美节育器超声图像解读_https://www.jmylbn.com_新闻资讯_第11张

③S-S在1.4~2.2 cm之间为安全距离。

三、人流室观察

人流术后同时放置吉妮致美,建议B超监测下放置。

1.确认人流手术已将宫内胎物清理干净;

2.以保障放置器送到子宫底;

3.由于手术室工作忙碌,放置成功后,可简单通过B超纵切扫描,观察吉妮致美线结在子宫肌壁中的位置。

安全的位置应该是在内膜线与浆膜之间,相对安全。如观察不到线结可按上诉说明测量S-S距离,或请受术者憋尿到B超室测量。

四、复查时间

人流术后放置吉妮致美者,应叮嘱其术后10天首次复查。月经间期放置吉妮致美,应在术后1个月首次复查。以后均需在3个月、6个月及以后每年复查。并建议打印B超影像作为手术记录留存。

 

 

(非常感谢天津武警总院提供教学图片!)