口腔激光怎么治疗“难治性”牙周炎的激光辅助治疗

新闻资讯2026-04-21 07:01:29
口腔激光怎么治疗“难治性”牙周炎的激光辅助治疗_https://www.jmylbn.com_新闻资讯_第1张

编著  (意)玛丽莎·龙卡蒂(M a r i s a Roncati)

主译   闫福华  张杨珩  陈畅行


牙周非手术刮治不仅是基础治疗最主要的治疗方法,某些情况下也是最佳的治疗方法,有时也被推荐作为一种替代疗法。众所周知,非手术治疗也有一定的局限,它常常代表“暂时改善”的解决方案或策略,通常在非常严重的牙周病损时用于延长牙齿“保留”时间或在患者不同意“理想”治疗方案的情况下使用。因此,这种治疗应作为一种替代疗法,适用于特殊或已经明确常规治疗不能获得很好疗效的临床情况。

换言之,激光辅助治疗并不是唯一的常规方案,而是在特殊情况甚至是个别情况下可选择的一种替代方案,例如牙周破坏严重和具有严重的全身系统性疾病,不宜接受常规治疗的患者(例如,服用高剂量二膦酸盐或常年静脉注射这些药物来控制癌症的患者,对他们而言,尽量避免牙科治疗,特别是与手术相关的治疗)。

口腔激光怎么治疗“难治性”牙周炎的激光辅助治疗_https://www.jmylbn.com_新闻资讯_第2张

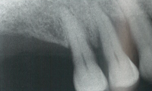
本文所展示的病例中的患者被医师追踪了24年。在基础治疗后,患者在第一象限进行了牙周再生性手术。临床和影像学图像表明在上颌右侧尖牙近中存在垂直向骨缺损,其初诊时探诊深度为10 mm,并伴有出血和溢脓。在第一次手术后,患者定期间隔4个月进行随访,并进行相应的牙周维护治疗。

在为期15年的牙周维护治疗期间,由于患者的疏忽偶尔没有按时复诊,就诊时观察到牙周炎症的复发。图1显示探诊深度为7 mm,并伴有探诊出血。


口腔激光怎么治疗“难治性”牙周炎的激光辅助治疗_https://www.jmylbn.com_新闻资讯_第3张
图1  患者的牙周探诊深度为7 mm,且伴有探诊出血


临床医师将大量具有致病性的病原菌的生物膜去除,从而阻断了由菌斑诱导的牙周炎症的复发。除了让患者在家中遵循更有效的清洁程序外,还建议使用半导体激光(图2)。


口腔激光怎么治疗“难治性”牙周炎的激光辅助治疗_https://www.jmylbn.com_新闻资讯_第4张
图2  使用半导体激光处理牙周


使用该半导体激光的目的是杀菌,并与常规的牙周非手术刮治相结合。在4个月后的随访复诊中,用轻柔的力量进行探诊,探诊深度稳定在大约5 mm,无探诊出血。

在之后的每次随访复诊中,该区域都被密切监测,并且在使用半导体激光治疗后1年,临床状态似乎已经稳定。图3为急性发作5年后的牙周情况,总随访时间为20年。这张图片说明患者的牙周状况保持稳定,探诊深度约为3 mm,无探诊出血。


口腔激光怎么治疗“难治性”牙周炎的激光辅助治疗_https://www.jmylbn.com_新闻资讯_第5张

图3  急性发作5年后,患者探诊深度约为3 mm,无探诊出血,牙周状况保持稳定


在额外使用半导体激光进行非手术治疗后大约6年,又发生了急性症状。在后续复诊(图4)中再次使用了半导体激光,并与常规的非手术刮治相结合。患者对家庭护理的疏忽可能是其复发的原因。急性发作后出现缓解期,牙周指数有所改善。


口腔激光怎么治疗“难治性”牙周炎的激光辅助治疗_https://www.jmylbn.com_新闻资讯_第6张
图4  在后续复诊中,再次使用半导体激光治疗


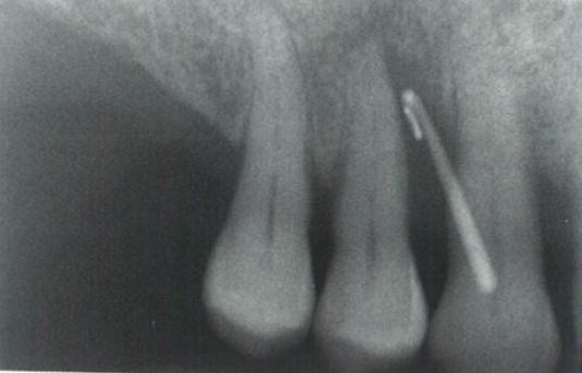
临床情况保持稳定约2年,从最初的治疗开始已经过了大约22年,在第一象限的同一区域发生了第三次复发(图5和图6),在复发期间,瘘管位于颊侧(图7)。根尖片(图8)显示插入光纤所示的瘘管的路径。之所以选择非手术治疗是因为患牙仍有牙髓活力,并且患者只有轻微不适,并无明显疼痛。


口腔激光怎么治疗“难治性”牙周炎的激光辅助治疗_https://www.jmylbn.com_新闻资讯_第7张
图5  22年后,患者牙周病复发

口腔激光怎么治疗“难治性”牙周炎的激光辅助治疗_https://www.jmylbn.com_新闻资讯_第8张
图6  牙周病复发后影像

口腔激光怎么治疗“难治性”牙周炎的激光辅助治疗_https://www.jmylbn.com_新闻资讯_第9张
图7  颊侧瘘管

口腔激光怎么治疗“难治性”牙周炎的激光辅助治疗_https://www.jmylbn.com_新闻资讯_第10张
图8  根尖片显示插入光纤所示的瘘管的路径


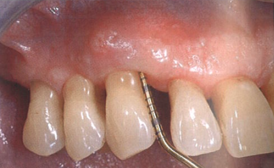
患者表示相比于手术治疗而言,更愿意进行激光辅助的非手术治疗(图9a)。

尖牙近中面的探诊深度大约为10 mm(图9b),相邻前磨牙近中面的探诊深度为7 mm。


口腔激光怎么治疗“难治性”牙周炎的激光辅助治疗_https://www.jmylbn.com_新闻资讯_第11张
口腔激光怎么治疗“难治性”牙周炎的激光辅助治疗_https://www.jmylbn.com_新闻资讯_第12张
图9  a为牙周激光辅助治疗;b为尖牙近中面的探诊深度深度,大约为10 mm


在后续复诊中进行了常规刮治(图10)。


口腔激光怎么治疗“难治性”牙周炎的激光辅助治疗_https://www.jmylbn.com_新闻资讯_第13张
口腔激光怎么治疗“难治性”牙周炎的激光辅助治疗_https://www.jmylbn.com_新闻资讯_第14张
图10  使用通用型匙形刮治器进行水平(上图)和垂直向(下图)刮治

所涉及患牙的牙周指数正常,无探诊出血,牙齿也无松动(尽管在急性炎症期,牙齿有II度松动)。定期将半导体激光与传统刮治联合使用,以防止病变复发(图11)


口腔激光怎么治疗“难治性”牙周炎的激光辅助治疗_https://www.jmylbn.com_新闻资讯_第15张
图11  24年后复诊时的临床检查

在此之前,患者明显表现出菌斑相关炎症的反复性和易感性,并且没有充分遵循推荐的家庭护理程序。这一病例的进展表明,牙周维护治疗与辅助使用半导体激光这种治疗方式得到了患者的认可,并且可能有助于改善他的口腔状况。






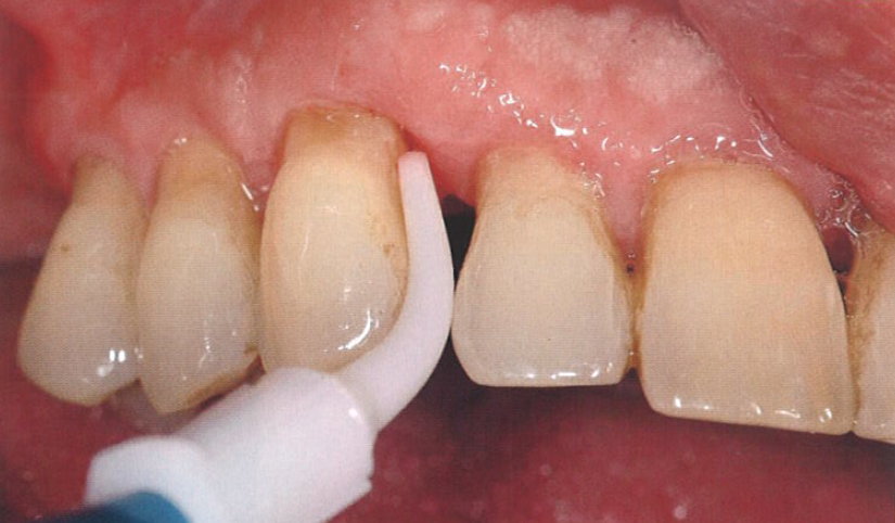
对于牙周炎治疗后的维护,其关键因素仍然是患者的家庭护理水平。医师必须抓住一切机会鼓励患者使用最合适的家庭护理方法。邻间隙宽大的情况不适合使用牙线,因为即使它能很好地清洁邻间隙,但并不适合清洁上颌前磨牙近中根面凹陷处的生物膜。在这种情况下,最好使用牙间隙刷,特别是一种具有特殊解剖形状的邻间隙刷(图12)。

口腔激光怎么治疗“难治性”牙周炎的激光辅助治疗_https://www.jmylbn.com_新闻资讯_第16张
图12  加强家庭护理技术,特别是对邻间隙的正常清洁至关重要






口腔激光怎么治疗“难治性”牙周炎的激光辅助治疗_https://www.jmylbn.com_新闻资讯_第17张

图书推荐




口腔激光怎么治疗“难治性”牙周炎的激光辅助治疗_https://www.jmylbn.com_新闻资讯_第18张


本文摘编自玛丽莎·龙卡蒂(Marisa Roncati)编著,闫福华、张杨珩、陈畅行主译,辽宁科学技术出版社出版的《牙周非手术治疗》一书。本书详细地介绍了牙周非手术治疗的基本原则和程序,包括牙周病患者的管理、家庭口腔卫生维护技巧、牙周非手术治疗的方法以及牙周维护治疗等内容。本书还展示了大量生动详实的图片以及许多回顾性病例,图文并茂、生动形象。病例平均随访时间在十年以上,这些难能可贵的资料表明通过规范完善的牙周非手术治疗可以维持长期的牙周健康状况。

口腔激光怎么治疗“难治性”牙周炎的激光辅助治疗_https://www.jmylbn.com_新闻资讯_第19张



口腔激光怎么治疗“难治性”牙周炎的激光辅助治疗_https://www.jmylbn.com_新闻资讯_第20张


助理编辑:CMT橙橙

监制:CMT飘飘

商务合作:刘先生 13521808316

★转载请获出版社许可


口腔激光怎么治疗“难治性”牙周炎的激光辅助治疗_https://www.jmylbn.com_新闻资讯_第21张

『口腔科普小今 是《中国医学论坛报·今日口腔》面向大众开设的口腔健康教育平台。在这里有一位靠谱的“小今医生”,希望用说白话、接地气的方式轻松愉快地传播普及口腔医学专业知识,提供权威、准确、实用的口腔健康信息。点击关注我们,有眼光!


“发现口腔人的精彩,满足口腔人的需要!

——《中国医学论坛报·今日口腔》