口腔内窥镜怎么用牙周内窥镜,呵护口腔健康

新闻资讯2026-04-21 06:56:21

  牙医有一套


  为进一步提升就医体验,方便广大患者精准就医,福建省级机关医院口腔医学细分亚专科,实现口腔全病种精准化治疗,现开设专栏对各亚专科常见疑难就诊问题、新诊疗项目、新技术、新设备等进行梳理,为患者提供更全面、更有针对性的医疗服务。


口腔内窥镜怎么用牙周内窥镜,呵护口腔健康_https://www.jmylbn.com_新闻资讯_第1张


我牙齿刷得可干净了,没得啥牙结石,牙龈咋还是肿起的,还时不时的出血,是咋个回事?



这是龈下牙石这些磨人的小妖精在作妖哇!

口腔内窥镜怎么用牙周内窥镜,呵护口腔健康_https://www.jmylbn.com_新闻资讯_第2张
口腔内窥镜怎么用牙周内窥镜,呵护口腔健康_https://www.jmylbn.com_新闻资讯_第3张


龈下牙石就是在牙龈里头包起的吗?那看不到的嘛,咋能治疗!



您不用着急,我马上就给你介绍一款可以让这群妖精现原形的“照妖镜”。

口腔内窥镜怎么用牙周内窥镜,呵护口腔健康_https://www.jmylbn.com_新闻资讯_第4张
 在我国,牙周病是发病率最高的口腔疾病之一不仅引起牙龈红肿出血,牙齿松动脱落等,还对一些全身疾病,如糖尿病、动脉粥样硬化等产生不良影响。
口腔内窥镜怎么用牙周内窥镜,呵护口腔健康_https://www.jmylbn.com_新闻资讯_第5张

福建省级机关医院

口腔中心



牙周病的序列治疗计划包括基础治疗、手术治疗及维护治疗等多个阶段,而基础治疗是每位患者都需要的最基本治疗,通过龈上洁治、龈下刮治和根面平整术,可以有效的控制菌斑和炎症。

 
           


 这些过程中,操作者处于盲视状态,对牙石的感知和定位完全依赖于术者的经验和手感。由于解剖条件的局限性,传统的治疗方法很难发现和清除深牙周袋、轴角处以及根分叉处的牙石,从而导致牙石残留,影响治疗效果。因此,一些领先的设备开始应用于临床,并取得了良好的临床效果,包括一种先进的增强型光学系统——牙周内窥镜

口腔内窥镜怎么用牙周内窥镜,呵护口腔健康_https://www.jmylbn.com_新闻资讯_第6张

我院口腔中心医生在使用牙周内窥镜进行口内观察


作为为数不多拥有牙周内窥镜的科室,我院口腔中心医生熟练掌握牙周内窥镜的操作技术,竭诚为广大患者提供更舒适安全的医疗服务。

接下来,让我们一起深入探索“牙周内窥镜”的奥秘吧。

   


1

什么是牙周内窥镜?

             

牙周内窥镜包括冷光源镜头、纤维光导线、图像传输系统和屏幕显示系统四部分结构,是目前牙周医学最先进的辅助设备之一。


工作原理是以一束自带LED光源、可传递信号的光学纤维捕获图像,经图像传感器转换为电信号,再转化为数字信息,经处理后将图像即时呈现在显示屏上。图像最大可放大100倍,可以让临床医生在无需翻瓣的情况下发现和诊断一些以前可能被忽略的细节,并且在“直视”下进行刮治和根面平整,为患者提供了一种舒适的、非手术的牙周治疗。


2

牙周内窥镜的优势






       
口腔内窥镜怎么用牙周内窥镜,呵护口腔健康_https://www.jmylbn.com_新闻资讯_第7张



1.独特的龈下可视化功能,可显著减少残余牙石的量,提高重度牙周炎患者基础治疗的效果;

2.有助于早期诊断牙周和其他病变(如根裂等);

3.辅助手术治疗,提供术中更好的可视化需要;

4.提高了牙周治疗标准,使牙周病的治疗进入一个新的里程碑。 



3

使用内窥镜治疗的案例分享



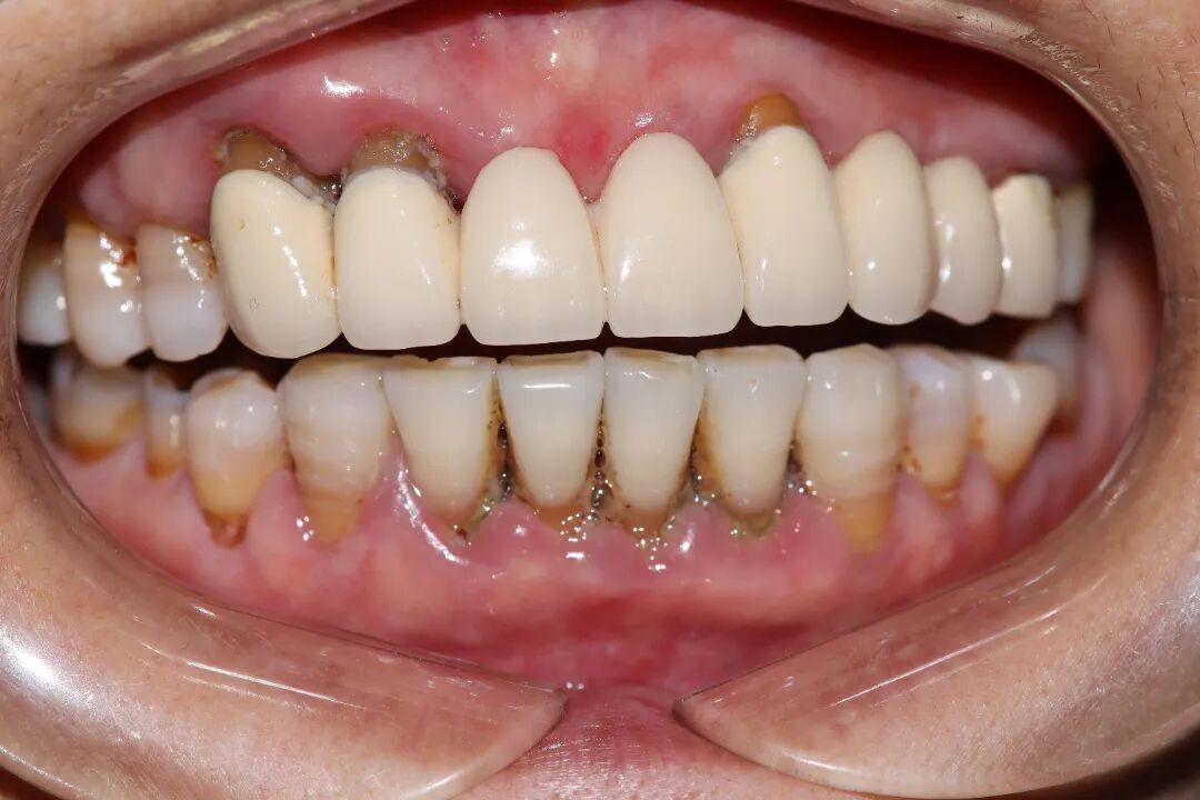
福州的兰先生今年46岁,近年来,自觉上下前牙牙缝逐渐变大,全口牙龈反复不同位置出现肿痛,咬物无力,且逐渐加重,未做牙周治疗。


我院口腔医生接诊后口内检查示:口腔卫生状况不良,局部牙龈颜色暗红,后牙区少量菌斑、软垢。龈下牙石较多(++),切牙向唇侧移位,呈扇形散开排列,出现牙间隙。影像学检查:全口牙槽骨出现不同程度吸收,尤其上排牙吸收至根中下段。


口腔内窥镜怎么用牙周内窥镜,呵护口腔健康_https://www.jmylbn.com_新闻资讯_第8张

影像学检查


牙周内窥镜辅助下,给予牙周基础治疗2个月后,牙龈肿胀消退、色粉红、质韧,深牙周袋明显减少,探诊无再出血


治疗前



口腔内窥镜怎么用牙周内窥镜,呵护口腔健康_https://www.jmylbn.com_新闻资讯_第9张
口腔内窥镜怎么用牙周内窥镜,呵护口腔健康_https://www.jmylbn.com_新闻资讯_第10张
[ 图片滑动 ]



治疗后



口腔内窥镜怎么用牙周内窥镜,呵护口腔健康_https://www.jmylbn.com_新闻资讯_第11张
口腔内窥镜怎么用牙周内窥镜,呵护口腔健康_https://www.jmylbn.com_新闻资讯_第12张
[ 图片滑动 ]




4

传统的闭合式刮治治疗与内窥镜治疗对比

      

      
传统的闭合式刮治治疗,可能会引起不舒适,牙骨质和牙本质过度去除,牙齿敏感性增加。相比之下,另一项评估牙周内窥镜治疗的前瞻性研究报道后遗症很轻微。同时,研究也报道,在经过一次内窥镜下牙周清创后的6个月,组织学上慢性炎症已经消除。此外,也观察到骨修复和之前病变根面上长上皮结合的生长。


       作为省级临床重点专科(建设)、全省综合医院中规模最大的口腔专科,中心严格按照三级专科建设标准设置院级口腔学术专家委员会及口腔亚专科医疗组,细化口腔二级分科,涵盖口腔内科、口腔外科、口腔正畸、口腔修复、儿童口腔、口腔医美等多个领域,探索建立全周期接诊、综合治疗、个性化需求、多学科联合诊疗体系,坚守“全”与“专”的协调统一,追求技术上精益求精,服务上尽善尽美。

口腔内窥镜怎么用牙周内窥镜,呵护口腔健康_https://www.jmylbn.com_新闻资讯_第13张

口腔内窥镜怎么用牙周内窥镜,呵护口腔健康_https://www.jmylbn.com_新闻资讯_第14张


  机关医院口腔中心 

  始终守护您的口腔健康!

口腔内窥镜怎么用牙周内窥镜,呵护口腔健康_https://www.jmylbn.com_新闻资讯_第15张

  口腔内科专家团队>>>    


  

口腔内窥镜怎么用牙周内窥镜,呵护口腔健康_https://www.jmylbn.com_新闻资讯_第16张
  陈小华 主任医师
  口腔中心副主任,主任医师,副教授,福建省口腔医学会理事会常务理事、牙体牙髓专委会常委、口腔全科医学专委会常委,长期从事口腔临床和教学工作。擅长牙体牙髓病,牙周病的治疗。
  门诊时间:周一至周五全天  
口腔内窥镜怎么用牙周内窥镜,呵护口腔健康_https://www.jmylbn.com_新闻资讯_第17张
  郑艾荣 副主任医师
  口腔内科主任,福建省口腔医学会理事、福建省口腔医学会牙体牙髓专委会常委、福建省口腔医学会全科医学委员会常务委员,长期从事口腔内科临床工作,尤其擅长牙体牙髓病的诊治。
  门诊时间:周一至周五全天

口腔内窥镜怎么用牙周内窥镜,呵护口腔健康_https://www.jmylbn.com_新闻资讯_第18张


 俞晓峰  副主任医师
 医学硕士,福建省口腔医学会预防口腔医学专委会委员,美学专委会会员,曾在福建医科大学附属协和医院工作9年,在四川大学华西口腔医院进修学习半年。发表省级论文多篇。 擅长口腔科常见病多发病诊治。在牙体牙髓、牙周、美学修复、微创牙槽外科等方面积累了丰富经验。

  门诊时间:周一至周五全天


口腔内窥镜怎么用牙周内窥镜,呵护口腔健康_https://www.jmylbn.com_新闻资讯_第19张


黄美香 主治医师


医学硕士,福建省口腔医学会牙周专委会委员、福建省口腔医学会牙体牙髓专委会青年委员。擅长牙周、牙体牙髓常见病的诊疗和牙体缺损后的修复诊疗。

门诊时间:周一至周五全天


口腔内窥镜怎么用牙周内窥镜,呵护口腔健康_https://www.jmylbn.com_新闻资讯_第20张


张燕  主治医师


医学硕士,福建省口腔医学会牙体牙髓病学专业委员会青年委员。擅长龋病、牙髓病、根尖周病的诊治,牙体缺损的修复。


门诊时间:周一至周五全天


口腔内窥镜怎么用牙周内窥镜,呵护口腔健康_https://www.jmylbn.com_新闻资讯_第21张

陈佳婧  主治医师


医学硕士,福建省口腔医学会会员,从事牙体牙髓疾病诊治工作6年,在口腔常见病、多发病诊治上积累了较为丰富的经验。擅长牙髓病和根尖周病的根管治疗及显微根管治疗、龋病的充填、牙体缺损后的修复等。

  

口腔内窥镜怎么用牙周内窥镜,呵护口腔健康_https://www.jmylbn.com_新闻资讯_第22张

邱在玲 主治医师

医学硕士,擅长龋病、牙髓病、根尖周病的诊治以及显微根管治疗,活髓保存治疗,牙髓血运重建,牙周系统治疗等以及前牙美学树脂修复及牙体缺损后的修复治疗。

门诊时间:周一至周五全天。

  

口腔内窥镜怎么用牙周内窥镜,呵护口腔健康_https://www.jmylbn.com_新闻资讯_第23张

周玲  主治医师

医学硕士,擅长牙龈出血、牙齿松动等牙周病系统治疗,牙周组织再生手术;龋齿充填、显微根管治疗;前牙美学修复、牙体缺损等修复治疗。

门诊时间:周一至周五全天。

口腔内窥镜怎么用牙周内窥镜,呵护口腔健康_https://www.jmylbn.com_新闻资讯_第24张

李燕珠  主治医师
医学硕士,擅长前牙美学树脂修复,龋病,牙髓病,根尖周病的诊治以及显微根管治疗,活髓保存治疗,牙髓血运重建等。
  门诊时间:周一至周五全天



 

口腔内窥镜怎么用牙周内窥镜,呵护口腔健康_https://www.jmylbn.com_新闻资讯_第25张


如果您有口腔方面的困扰,可以联系我们,让我们的专业团队为您解决相关问题。
地址:鼓屏路60-2号粮食大厦1-3楼(原春华大酒楼,招商银行旁,见下图)
电话:0591-87810654;0591-87850065;0591-88013074口腔内窥镜怎么用牙周内窥镜,呵护口腔健康_https://www.jmylbn.com_新闻资讯_第26张


口腔内窥镜怎么用牙周内窥镜,呵护口腔健康_https://www.jmylbn.com_新闻资讯_第27张

福建省级机关医院


竭诚为您服务

• END •


供稿:口腔内科 黄美香

编辑:陈宇娟

审核:林海凤、林宇晶

编审:黄欣


口腔内窥镜怎么用牙周内窥镜,呵护口腔健康_https://www.jmylbn.com_新闻资讯_第28张

“福建省级机关医院”服务号

口腔内窥镜怎么用牙周内窥镜,呵护口腔健康_https://www.jmylbn.com_新闻资讯_第29张

“福建省级机关医院”互联网医院

口腔内窥镜怎么用牙周内窥镜,呵护口腔健康_https://www.jmylbn.com_新闻资讯_第30张

“福建省级机关医院”VR导诊