除了外层的牙釉质、牙齿颜色外,
牙齿其他部分有问题肉眼都是看不清!
这个时候就需要拍!牙!片!
然而牙片拍了,怎么看?
怎么知道自己的牙齿哪里出现问题呢?
牙片分为局部牙片、全口的曲面断层片、头侧片、牙科CT。
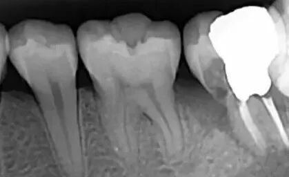
局部牙片:一般能拍到三颗牙齿,医生要观察单颗牙齿时会用到这种牙片,此时拍摄小牙片会比全景片来得清楚。
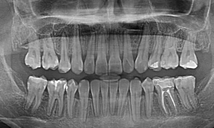
全口的曲面断层片:可以拍摄全口的所有牙齿以及关节区;可看到有无智齿、多生牙、根尖周炎、多少颗蛀牙等。

头侧片:可以了解骨量与牙齿的关系,判断正畸是否需要拔牙;判断错颌类型:牙性or骨性;判断侧貌类型:凸面型/凹面型/直面型。

牙科CT:通过三维影像医生可以360°旋转查看口腔状况,高准判断根尖囊肿的范围、多生牙的位置、种植牙区域颌骨的高度、宽度等等信息。

比如这张全景片,全口牙齿一般有 28-32颗,多出来的4颗就是智齿,智齿是从中间的牙齿往后数的第8颗,如果上下左右都有第8颗,那就是长了4颗智齿。
常见的蛀牙通常可以通过牙片发现,尤其是龋坏比较多的,在牙片上会出现黑色阴影的缺损。但如果是邻面龋,就需要到口腔机构,让医师用探针、口镜等进行检查确定。
一般正常情况下,牙齿周围是被牙龈包裹没有很大间隙的,即牙槽骨线为红色线标注位置。而图中牙槽骨那根线已经明显下降,且牙齿和牙齿之间有黑色阴影,说明有牙根暴露,牙槽骨吸收的情况,这种情况如不及时治疗就会引发牙齿脱落。
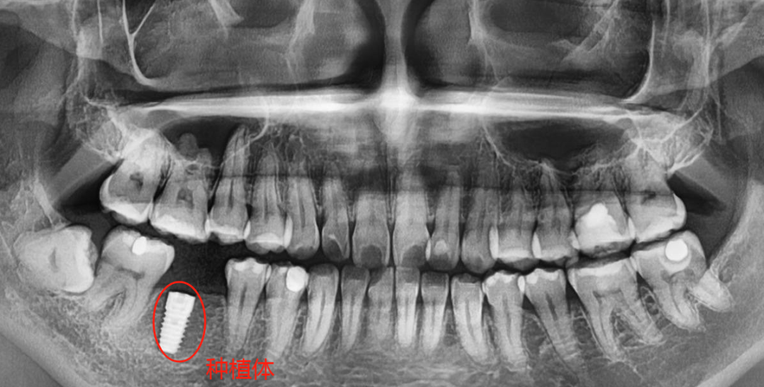
种植牙等修复体在口腔全景片上展现的通常是白色的,可以很清晰的看出来。另外补牙材料和金属或者全瓷牙冠也会显示出亮白色。
免责声明:文章目的是提供一般健康信息,个人医学问题请向医生咨询;部分文字、图片来源网络,如有侵权可联系删除。粤(B)广[2023]第02-20-109号