口腔ct怎么拍摄【专科天地】没有口腔CT,你根本不会想到自己的牙齿长得多“奇葩”!

新闻资讯2026-04-21 06:53:56
口腔ct怎么拍摄【专科天地】没有口腔CT,你根本不会想到自己的牙齿长得多“奇葩”!_https://www.jmylbn.com_新闻资讯_第1张
口腔ct怎么拍摄【专科天地】没有口腔CT,你根本不会想到自己的牙齿长得多“奇葩”!_https://www.jmylbn.com_新闻资讯_第2张

    

口腔ct怎么拍摄【专科天地】没有口腔CT,你根本不会想到自己的牙齿长得多“奇葩”!_https://www.jmylbn.com_新闻资讯_第3张

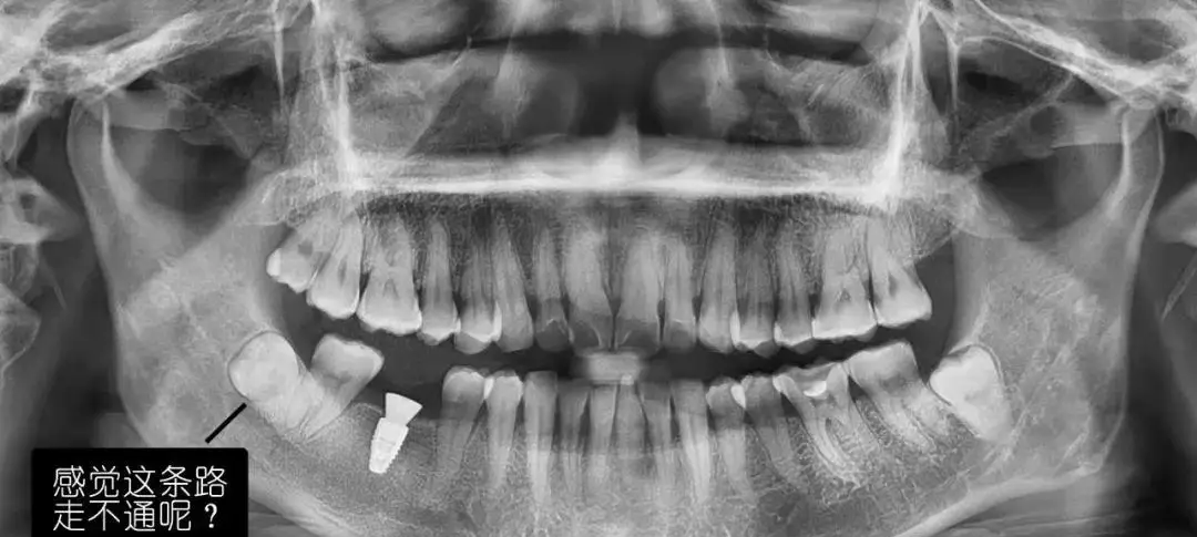
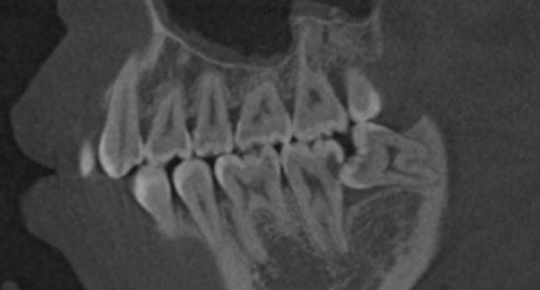
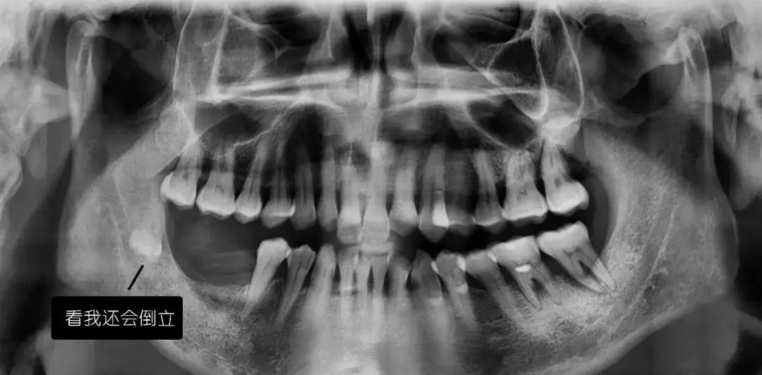
看牙为什么要拍CT?

先放几张图,让你涨涨姿势,

不拍CT根本不知道你的牙齿长得会有多奇葩!

口腔ct怎么拍摄【专科天地】没有口腔CT,你根本不会想到自己的牙齿长得多“奇葩”!_https://www.jmylbn.com_新闻资讯_第4张
口腔ct怎么拍摄【专科天地】没有口腔CT,你根本不会想到自己的牙齿长得多“奇葩”!_https://www.jmylbn.com_新闻资讯_第5张
口腔ct怎么拍摄【专科天地】没有口腔CT,你根本不会想到自己的牙齿长得多“奇葩”!_https://www.jmylbn.com_新闻资讯_第6张
口腔ct怎么拍摄【专科天地】没有口腔CT,你根本不会想到自己的牙齿长得多“奇葩”!_https://www.jmylbn.com_新闻资讯_第7张
口腔ct怎么拍摄【专科天地】没有口腔CT,你根本不会想到自己的牙齿长得多“奇葩”!_https://www.jmylbn.com_新闻资讯_第8张
口腔ct怎么拍摄【专科天地】没有口腔CT,你根本不会想到自己的牙齿长得多“奇葩”!_https://www.jmylbn.com_新闻资讯_第9张
口腔ct怎么拍摄【专科天地】没有口腔CT,你根本不会想到自己的牙齿长得多“奇葩”!_https://www.jmylbn.com_新闻资讯_第10张

                                      (图片来源于网络)

口腔ct怎么拍摄【专科天地】没有口腔CT,你根本不会想到自己的牙齿长得多“奇葩”!_https://www.jmylbn.com_新闻资讯_第11张

口腔CBCT

牙齿里面出了问题,肉眼是无法观察到的。因此,为了对牙齿进行全面的了解,拍CT还是很有必要的。我院今年引进了先进的口腔CBCT,其放射剂量小,相当于普通CT的1/30,空间分辨率高,三维重建快,能够提供精确的影像数据,为口腔种植、微创拔牙、正畸等项目提供精细化的科学参考。

口腔ct怎么拍摄【专科天地】没有口腔CT,你根本不会想到自己的牙齿长得多“奇葩”!_https://www.jmylbn.com_新闻资讯_第12张

1.CBCT的放射剂量大吗?




  CBCT放射线量极低,一次投射的放射量只相当于螺旋CT的1/40~1/30,仅相当于4次全景片放射量或一套全口根尖片的剂量,所以CBCT不会对人体造成严重危害

CBCT并不是一定要拍的,需要医生根据病情来决定。

口腔ct怎么拍摄【专科天地】没有口腔CT,你根本不会想到自己的牙齿长得多“奇葩”!_https://www.jmylbn.com_新闻资讯_第13张


2.孕妇和儿童可以做CBCT吗?




如果是处于备孕期,做CBCT影响不大,但是怀孕计划建议暂缓3-6个月。

如果确认已怀孕,则应该避免拍摄。因为治疗过程中除了拍片检查外,还需用药及手术,均容易对胎儿产生不利影响。

此处温馨提示一下,在考虑怀孕之前,也应该及时到医院做专业全面的牙齿检查,提前解决好牙齿问题,避免怀孕中途突发牙齿疾病无法用药及手术的情况。

 💫儿童也是可以拍摄牙片的,牙医会在拍片的时候给孩子使用铅衣、护颈来保护他们,这样尽量将宝宝受到的辐射减到最小。

3.CBCT的拍摄注意事项?




(1)CBCT拍摄时患者务必去除能摘掉的金属异物;

金属对CT重建影响较大,会产生金属伪影,影响图像质量。

(2)CBCT拍摄时患者务必保持全程不动,呼吸轻微;

晃动对CT重建影响较大,会产生重叠虚影,影响图像质量。

4.口腔CBCT的临床应用?




(1)多生牙的定位:

口腔ct怎么拍摄【专科天地】没有口腔CT,你根本不会想到自己的牙齿长得多“奇葩”!_https://www.jmylbn.com_新闻资讯_第14张

(2)阻生牙:可精确显示阻生牙的位置,与下牙槽神经管的关系,有无牙根弯曲,有无骨间隔,术前可预测术中损伤下牙槽神经的可能性。

口腔ct怎么拍摄【专科天地】没有口腔CT,你根本不会想到自己的牙齿长得多“奇葩”!_https://www.jmylbn.com_新闻资讯_第15张

(3)牙髓病以及根尖周病:有利于临床工作中观察根管系统解剖及根尖周骨质情况,发现遗漏根管、评价根管充填的效果等。

口腔ct怎么拍摄【专科天地】没有口腔CT,你根本不会想到自己的牙齿长得多“奇葩”!_https://www.jmylbn.com_新闻资讯_第16张
(4)牙周病:检查牙槽骨吸收的程度。
口腔ct怎么拍摄【专科天地】没有口腔CT,你根本不会想到自己的牙齿长得多“奇葩”!_https://www.jmylbn.com_新闻资讯_第17张
(5)牙根吸收。
(6)牙根纵裂:CBCT可三维观察,对于牙根折裂可提供较为准确的信息。
(7)种植牙。CBCT设备可以辅助种植手术的设计,制作种植导板,精确控制种植体的位置、方向、长度、直径等,最大程度利用患者现存骨量,优化种植体的位置,避免在种植手术过程中不慎破坏神经、鼻窦等解剖结构而导致颜面神经麻痹、鼻窦炎等并发症。使种植手术更安全便捷,确保手术及后期修复的成功。
(8)颌面外科。
(9)正畸等。

口腔ct怎么拍摄【专科天地】没有口腔CT,你根本不会想到自己的牙齿长得多“奇葩”!_https://www.jmylbn.com_新闻资讯_第18张


口腔ct怎么拍摄【专科天地】没有口腔CT,你根本不会想到自己的牙齿长得多“奇葩”!_https://www.jmylbn.com_新闻资讯_第19张

+隆医口腔科微信,方便预约就诊



供稿 苏骑师

编辑 杨诗雨

复审 于丹

终审 滕范武