Desai, M., Symons, S.J. (2010). Percutaneous Nephrolithotomy. In: Rao, N., Preminger, G., Kavanagh, J. (eds) Urinary Tract Stone Disease. Springer, London. https://doi.org/10.1007/978-1-84800-362-0_41
经皮肾镜取石术 (PCNL) 现在是成人和儿童患者大量结石负荷的既定方法,与开放手术相比,可以以更少的发病率、成本和更短的住院时间去除结石。随着 PCNL 的发展,该技术已经适应并成功应用于肥胖、双侧结石和异位肾的复杂情况。在所有情况下,初始进入肾脏的计划和成功执行都依赖于对肾脏解剖结构的详细了解,这对 PCNL 的结果至关重要。成功的穿刺既可以减少 PCNL 并发症,又可以提高结石清除率。完成结石清除应该是每个 PCNL 程序的目标。
60 多年前就描述了经皮进入肾脏,但直到 1976 年,Fernström 和 Johansson 才首次报道了使用专门用于去除结石的经皮通道。1从那时起,经皮肾镜取石术 (PCNL) 技术在全球范围内不断发展,现在它已成为成人和儿童患者大量结石负担的既定方法。2 , 3与开放手术相比,经皮方法可以以更少的发病率、更低的成本和更短的住院时间去除结石。此外,仪器和技术的进步逐渐减少了经皮入路的并发症。由于这些原因,PCNL 现在已在大多数机构取代开放手术来消除大的或复杂的肾结石。
初始进入肾脏的计划和成功执行对 PCNL 的结果至关重要。能够以最少的并发症进入所需的肾盏,需要对肾脏解剖结构和周围结构有透彻的了解。肾脏位于脊柱水平 T12 和 L2/3 之间的腹膜后(图41.1)。右肾通常比左肾低 2-3 厘米。尽管每个肾脏的很大一部分实际上是肋上的,但下极几乎总是在肋下。4各肾斜卧,长轴与腰大肌外侧缘平行,使上极肾盏比下极更靠内侧和靠后。在横向平面中,肾脏向后倾斜 30°。除此之外,每个肾脏随着呼吸向头尾方向移动;这种运动有时非常广泛,在全身麻醉下可能会增加(但也可以控制)。

肾脏解剖:CT 尿路重建图像,显示左侧双工系统的肾脏定位
Sampaio 在分析了 140 个盆腔系统的 3D 树脂内管模型后,准确地描述了肾盏的解剖结构。5肾盏解剖结构千变万化,但了解其布局的三个重要方面对于任何肾结石的术前定位仍然至关重要。首先,有三个主要的花萼组:上,中,下,然后细分为小花萼。其次,上、下主花萼一般是复合的,而中花萼则前后排列。最后,主要的肾盏组可以通过两种方式之一排入肾盂。在大多数(62%)中,只有上部和下部的主要肾盏组直接排入肾盂,中间的肾盏组作为上部或下部组的分支(图41.2)。在肾脏的其余部分(38%)中,上、中、下主要肾盏各自独立地进入肾盂。

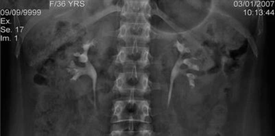
肾脏解剖:造影后 10 分钟静脉尿路造影,显示中肾盏组双侧引流到下肾盏组
每个主要的肾动脉通常会产生前部和后部(图41.3)。前部进一步细分为四个节段分支,供应上极和下极以及肾脏的前上部和中部。后部供应肾脏剩余的后部区域。在超过50%的肾脏中,后段动脉位于肾后表面的中部或上半部,可能因上肾盏过度内侧穿刺而损伤。6节段动脉进一步细分为大叶动脉、叶间动脉、弓形动脉,最后是小叶间动脉。Brödels 线是在后外侧前部和后部血液供应之间运行的无血管平面。因此,后花萼的外周末端穿刺可以最大限度地降低 PCNL 期间出血的风险,这仅仅是因为它最大限度地降低了血管损伤的风险。

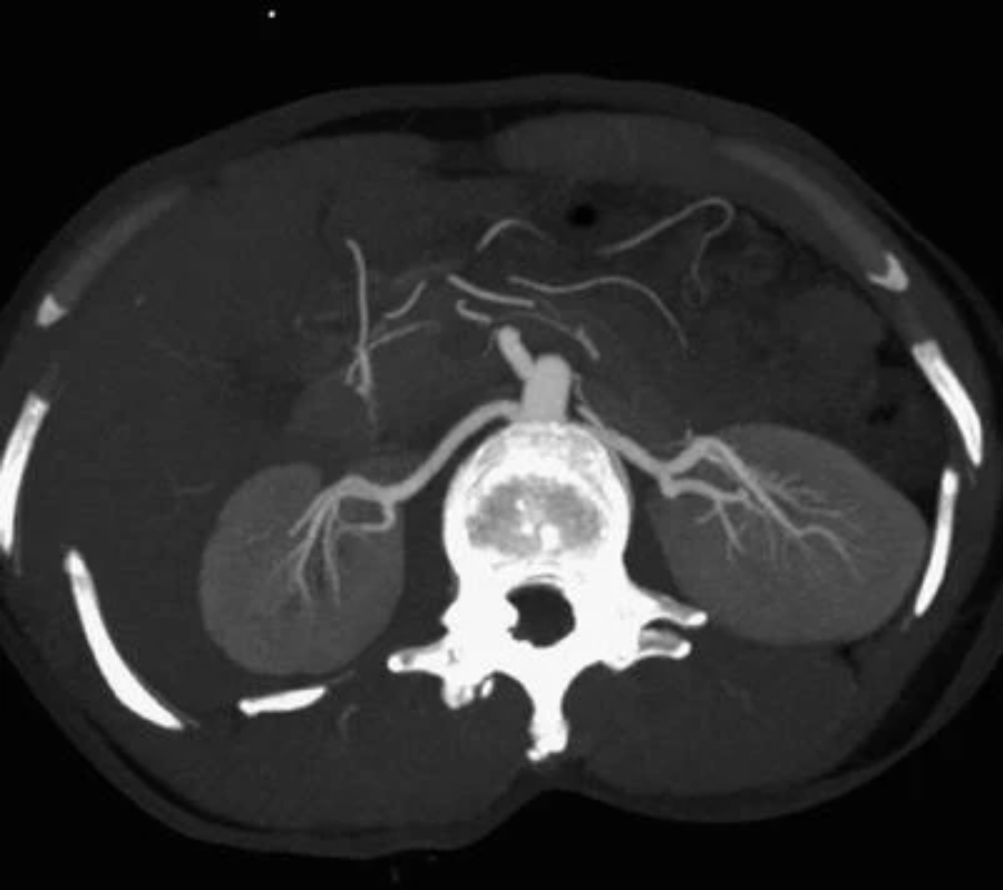
肾脏解剖:肾脏血管的 CT 血管造影;双侧肾动脉前、后分支清晰可见
在规划 PCNL 通路时,还必须考虑肾脏周围的结构。在右侧,肾脏靠近肾上腺、肝脏、升结肠和十二指肠。在左侧,必须考虑肾上腺、脾脏、降结肠、胃和胰腺。两个肾脏都位于隔膜下方,胸膜腔的侵犯是肋上穿刺的最大风险之一。胸膜附着于第 12 肋的内侧半部和第 11 肋的内侧四分之三。因此,避免超过第 11 肋的外周穿刺将最大限度地降低胸膜损伤的风险。
因此,考虑到这些解剖学因素,泌尿科医生可以通过选择一条允许使用直器械直接接触结石的路径,同时保持后外侧,如果可能的话,在第 12 肋下方,将 PCNL 穿刺的风险降到最低。
放射成像是 PCNL 管道规划的重要组成部分。静脉尿路造影 (IVU) 历来是 PCNL 术前成像的主要手段。然而,随着多相计算机断层扫描 (CT) 扫描仪的广泛应用和日益普及,IVU 在许多中心已经消失。良好的 IVU 可提供有关肾脏与第 12 肋关系的准确信息,并且在透彻了解肾盏解剖结构的情况下,将为泌尿科医生提供结石位置以及骨盆扩张和引流的图片。但表现不佳的 IVU 可能只能提供有限的信息。相比之下,CT 扫描能够在造影剂排泄延迟阶段进行扫描,并提供冠状和矢状重建图像。但 CT 扫描的主要优势在于显示肾脏和结石与周围结构的关系,从而最大限度地减少对扩大的脾脏或肝脏或意外肾后结肠的损伤风险。三维重建图像是未来经皮管道规划的另一个强大工具。7
尽管 CT 扫描具有优势,但对于许多泌尿科医师而言,术前 CT 并非对每个患者都适用。在世界的某些地区,内科医生会将他们对 CT 的请求限制在那些解剖结构明显异常的患者身上,并继续在其余患者中使用 IVU。对于异位肾、移植肾或马蹄肾以及骨科畸形患者,术前 CT 扫描无疑是有益的。
此外,对于双侧明显结石病患者,应考虑进行放射性核苷酸扫描以显示不同的功能。肾功能的差异对于局部或整体肾实质变薄的患者也很重要,其中部分或全部肾切除术可能优于 PCNL。
PCNL 之前的所有患者都应进行常规实验室检查,包括肾功能、血红蛋白和凝血功能。可能影响患者凝血状态的药物,包括阿司匹林和非甾体抗炎药 (NSAID),应在择期 PCNL 手术前 10-14 天停用。术前通常不需要血液交叉配血,但应进行分组和保存。
尿路感染是 PCNL 的禁忌症。所有尿路感染都应在手术前使用培养特异性抗生素进行治疗。然而,尽管接受了清晰的尿培养,但众所周知,尿结石是泌尿细菌的避难所。此外,即使在尿培养阳性的情况下,生长的病原体也可能与在同一患者身上发现的结石定植病原体不同。8有证据表明,无论尿培养结果如何,术前使用口服环丙沙星治疗 1 周可降低与 PCNL 相关的尿脓毒症风险。9尽管有明确的尿培养和预防性抗生素,但在某些患者中,盆腔系统的针刺仍可能显示脓性尿液,并且出现了在这种情况下继续进行该程序是否安全的问题。如果存在浓稠或恶臭的脓液,放置肾造口管当然是安全的做法。但在没有已知感染或浓脓的情况下,现在有证据表明,在存在脓尿的情况下,通过适当的全面抗生素预防可以安全地进行 PCNL。10 , 11
在大多数情况下,PCNL 在全身麻醉下以俯卧位进行。对于是否适合这项工作不确定的任何患者,都需要进行麻醉评估。俯卧位是病态肥胖患者的一个特殊问题,在这种情况下呼吸限制可能变得至关重要。脊柱或肢体畸形的患者也可能导致俯卧位问题。多位作者已经证明了对此类患者进行仰卧位 PCNL 的安全性和成功性。12 – 15对于那些认为全身麻醉不安全的患者,PCNL 也可以在局部麻醉和镇静下成功进行。16 - 18
在预防性静脉注射抗生素和给予适当麻醉后,PCNL 的第一步是逆行进入盆腔系统。放置 5 Fr 开放式输尿管导管提供了盐水对比剂或空气注射的可能性,以帮助扩张和可视化盆腔系统,为针刺提供最佳目标。导丝和随后的输尿管导管插入期间的患者定位因外科医生而异。我们的做法是在患者处于截石位时将输尿管导管放置在导丝上,然后在患者俯卧之前将其外部固定到 Foley 导管。其他作者描述了在俯卧位使用柔性膀胱镜放置输尿管导管,4
输尿管导管的放置至关重要,不仅是为了获得上尿路通路,而且是为了保持安全通路。在某些情况下,结石负荷或患者解剖结构会阻止导丝顺行通过以保持经皮管道稳定性。在这种情况下,导丝可以安全地逆行通过并从上方抓住,以实现“贯穿通道”,从而实现最大的通道稳定性。此外,输尿管导管在 PCNL 期间起到阻止结石碎片进入输尿管的作用。出于这个原因,当结石负荷较大或输尿管扩张时,一些内科医生已经描述了常规使用 7 Fr 闭塞球囊导管或结石截留装置。19 , 20
一旦患者俯卧,必须非常小心气管插管,所有压力点都必须加垫。将患者放置在手术台上也很重要,以便将透视 C 型臂放置在手术台下方,并能接触到肾脏、输尿管和膀胱。自由移动的 C 臂定位对后续手术至关重要,使用台下管可大大减少手术外科医生的辐射暴露。
在考虑 PCNL 的针头通路时,需要回答三个主要问题:
-
-
-
在回答第三个问题时,绝大多数 PCNL 都是使用顺行通道进行的,这已成为世界范围内的标准做法。由于熟悉经尿道手术而发展出逆行方法,但通过此途径选择合适的花萼在技术上要求高且耗时。21诸如腹腔镜辅助 PCNL 等技术进步已导致逆行通路的适应症减少,即使在异位和旋转不良肾脏的情况下也是如此。这里只考虑顺行访问。
在谁可以进入方面,许多现代泌尿科医生坚信这个问题的答案应该是泌尿科医生。当然,在需要多道形成的复杂结石病中,泌尿科医生能够安全地进入肾脏是手术室人力方面的明显优势。很明显,泌尿科医生可以接受培训以安全地进行经皮通路,研究表明在 60 次手术后有能力。22 , 23还有一些证据表明,当有经验的泌尿科医生负责进入时,结石清除率可能会提高,并发症发生率会降低。24在我们的实践中,只有泌尿科医师才能进行经皮肾穿刺。
在针刺过程中使用超声或透视进行图像控制取决于设备的可用性、培训和个人喜好。两种方式都已被证明对于初始穿刺目的效果很好。然而,单独使用超声扫描进行全道扩张通常是不可能的,这种方式需要与透视结合使用。许多超声换能器现在都可以使用设计用于容纳针的管腔,并且有人建议通过超声引导的通路提高针放置的准确性可能会降低与 PCNL 相关的并发症的风险。25超声引导的通路为泌尿科医师提供了几个优势:周围结构的实时可视化、前后肾盏的轻松识别以及无辐射(图41.4a 和 b)。在一项透视与超声引导入路的随机试验中,Basiri 证明了这两种方式都是有效的,并指出超声波的使用降低了整个手术的辐射暴露。26

超声引导下经皮肾通路。( a ) 从穿刺的花萼到肾盂有一条直接路径,以便在最佳穿刺中进行后续的管道扩张。( b ) 在次优穿刺中,从穿刺的花萼到肾盂没有直接路径可见
使用透视引导学习最简单的技术可能是“靶心技术”。最初,必须确定适合穿刺的花萼。如果花萼带有石头,并且在透视下很容易看到石头,这很简单。在其他情况下,例如骨盆结石或上极通路计划靶向骨盆/输尿管上段结石,识别适当的花萼需要逆行注射造影剂。C 臂在 0° 时,后花萼会显得更内侧,并且不会像前花萼那样充满对比度。空气也可以逆行注入,因为它会优先进入后花萼以帮助识别。
一旦选择了目标花萼,C 形臂就与垂直平面成 30° 朝向外科医生倾斜。有了这个方向,目标花萼将被看到端部并呈现圆形。标记覆盖所选花萼的皮肤上的位置,并用刀片在皮肤上进行小穿刺。然后在该位置通过皮肤引入一根 18G/15 cm 长的血管造影针。针以与 C 形臂方向相同的轨迹向花萼推进。因此,花萼、针和针毂都对齐,从而产生靶心效应。然后通过将 C 形臂重新定向到 0° 来检查进针的深度。在这个方向上,针可以准确地推进到仅到达花萼的尖端。重要的是针放置和随后的管道扩张,保持在外围,以尽量减少肾脏血管损伤的风险。一旦看到针在 0° 和 30° 平面上准确地覆盖在花萼上,则将管心针从针的中心移除。从针头排出的尿液证实了它在花萼内的准确位置。应始终采集样本进行培养。在某些情况下,由于盆腔系统内的压力低,尿液不会排出。因此,值得通过输尿管导管逆行注射盐水以测试是否成功穿刺。如果针头仍然没有引流,则可能是针头已经进入花萼太远,应该使用连接的注射器使用负压缓慢撤回。如果血液从针头流出,它应该简单地撤回并重新尝试穿刺。如此细的针头造成大出血的风险可以忽略不计。如果存在浓稠脓液或脓液,应插入肾造口术并延迟 PCNL 以避免脓毒症。
透视引导的穿刺也可以成功地进行,而无需常规的 C 臂 30° 定向。C 形臂位于 0° 时,可识别目标花萼并在覆盖的皮肤上标记位置。该标记标识进针的内侧限制。然后将针从皮肤上撤回到更外侧的位置以进行针刺(图41.5a 和 b)。以与前面描述的完全相同的方式,在皮肤上制作一个切口,并且针头以与水平轴成 30° 角的直接路径前进到所需花萼的尖端。这种“三角测量”技术依赖于外科医生对肾脏方向的理解,以准确判断进针的水平角度。就像在靶心技术中一样,如果针头未能完全击中目标花萼,则将 C 形臂重新定位到 30°,以确认针头相对于目标花萼的前后定位。

透视进针。( a ) 识别目标花萼并在上覆皮肤上标记位置。该标记标识进针的内侧限制。( b ) 然后将针从皮肤上撤回到更外侧的位置以进行针刺。穿刺成功后,可以看到透明的尿液从针头流出
进针无疑是 PCNL 程序中最关键的一步,因为管道的安全性和后续结石清除的有效性都依赖于它。进针也是新手外科医生掌握的程序中最具技术挑战性的部分。鉴于此,已经提出了多种生物模型用于远离手术室的穿刺教学和实践。27 , 28还开发了一种虚拟现实模拟器 PERC Mentor,它使外科医生能够掌握不同难度的针刺。29Bruyère 提出了另一种提高手术准确性的技术,他报告说,使用基于计划接受 PCNL 的患者腹部 CT 图像的快速原型技术创建训练模型。30有人建议,这种技术不仅可以用于培训泌尿科医师,还可以帮助有经验的外科医生准备面临特别困难或复杂的手术。最后,为了完全消除经皮通路过程中的人为错误因素,已经对机器人进行了试验,以将其准确性与针刺进行比较。在这项研究中,机器人被证明比人类机器人更准确,尽管速度较慢。31
手术室外使用模拟器的经验无疑对学习进入技术很有价值,但外科医生也在尝试使进针过程更容易学习和在手术室中更准确的方法。Ko 已经展示了使用 C 臂激光定位装置来促进经皮肾通路的使用。32
使用连续筋膜扩张器、金属同轴扩张器或球囊,可以通过多种方式实现束扩张。然而,扩张是如何实现的,主要原则是它应该在一根足够硬以支持扩张的导丝上进行。理想情况下,导丝应穿过输尿管并沿输尿管向下放置,以增强扩张期间输尿管的稳定性。
因此,一旦实现了将针准确地放置到所需的肾盏中,导丝就会轻轻地穿过针头,进入肾盂,如果可能的话,沿着输尿管向下。将导丝推进到输尿管通常很棘手,可以通过使用 Cobra 导管来促进。我们的做法是使用 0.035 英寸的 J-tip 导丝来支持肾造口术管道的扩张。如果存在较大的结石负担,阻止导丝前进,则值得使用逆行注射盐水来增加结石周围的空间。在盐水注射期间可以进一步尝试推进导丝,并且该动作可以产生足够的空间以使导丝令人满意地通过。在其他情况下,将导丝推进到结石之外是不可能的,因此,应该将导丝很好地推进到相邻的花萼中,以便在管道扩张期间给予一定的导丝稳定性。手术外科医生必须始终牢记导丝的稳定性,在输尿管不稳定的情况下,一旦进行结石碎裂和清除,导丝应尽快推进至输尿管。
筋膜扩张器和 Amplatz 扩张器均设计为适合超过 0.038 英寸的导丝。这些系列扩张器均以螺钉型方式以 2 Fr 的增量插入到所需的管道大小,成人患者通常为 28 或 30 Fr。这些扩张器优于金属同轴扩张器的优势在于,一旦 8 Fr 导管在导丝上就位,导丝就不太可能扭结。相比之下,当使用金属同轴扩张器时,插入过程中导丝的扭结可能是一个非常严重的问题,必须非常小心地避免这种情况。金属扩张器插入一根 58 厘米长的中央空心导杆上,它位于导杆顶端,导丝可能发生扭结。41.6 ) 并避免抓住中心导杆。在扩张过程中,应通过少量收回和推进导丝来常规测试导丝是否扭结。通过确保一个扩张器顺利通过下一个扩张器,可以在扩张过程中获得进一步的控制;避免外科医生施加不必要的过大压力,从而降低由扩张器引起的穿孔风险。作为常规,在管道扩张期间应使用盐水润滑扩张器,以确保每个扩张器顺利通过最后一个。

导管扩张:通过将手臂放在患者身上,外科医生在插入刚性系列扩张器期间获得了更好的控制
对于所有系列扩张器,扩张应仅从皮肤到所需花萼的尖端进行,而不是超出。连续扩张器是肾造口管扩张的有效工具,但如果在扩张过程中进入或超过所需的花萼,所有扩张器都与收集系统穿孔的风险有关。在将金属扩张器与顺序 Amplatz 扩张器进行比较时,金属扩张器具有一些优势。在管道扩张过程中,金属扩张器将提供持续的填塞效果,每次将连续 Amplatz 扩张器更换为下一个时,这种填塞效果就会消失,从而导致出血增加。此外,金属扩张器可以在未扩张的盆腔系统中提供更有效的管道扩张;Amplatz 扩张器有一个锥形尖端,可能无法有效地进入花萼,导致扩张不足。在系列扩张器套件中,金属扩张器在可重复使用性方面是最耐用且最具成本效益的。
球囊扩张被开发为一种在一个步骤中实现管道扩张的方式,避免了对连续扩张器的需要。市场上有各种高压气球。球囊扩张必须在透视控制下进行,以确保准确的管道放置并展示全管道扩张。每个球囊都有射线照相标记,因此它可以在充气之前成功地定位在导丝上。就像在连续扩张技术中一样,重要的是扩张从皮肤到所需花萼尖端的管道,以降低撕裂狭窄漏斗部导致肾血管损伤的风险。在球囊完全扩张之后,在球囊放气和移除之前,工作护套被定位在管道内的球囊上方。
在存在疤痕的地方,球囊扩张可能会很困难。在某些情况下,除了一小块“腰部”外,管道可能会成功扩张。在这种情况下,球囊内持续或增加的压力最终可能会扩张疤痕组织区域;否则可能需要切开该区域,注意不要切开球囊。最近,已经开发出新的球囊,专门用于应对肾脏瘢痕形成时所需的压力增加,尽管尚无成功使用这些装置的文献证据。在先前的肾脏手术后存在非常致密的瘢痕组织的情况下,球囊扩张可能是不可能的。在这种情况下,金属同轴扩张器非常有用。
管道扩张技术不断发展,以试图加快手术速度并降低与之相关的风险。一种新颖的单步球囊扩张系统目前正在试验中,旨在消除在球囊上放置护套的需要;该装置已在猪身上显示出令人满意的效果。33
如前所述,在成年患者中,使用连续扩张器或球囊扩张的管道扩张通常为 28 或 30 Fr。“mini-perc”系统旨在降低与儿童大口径管道扩张相关的发病率。34该系统包括一个双腔导管和一个剥离式导引器,提供 11-15 Fr 的管道大小。与儿科器械结合使用,缩小的管道尺寸在儿童中效果很好。35 , 36mini-perc 系统还适用于结石较小的成年患者,使用的结石大小不超过 18 Fr,同样旨在降低患者的发病率。然而,mini-perc 技术需要更长的手术时间,并且通过这样的管道尺寸减小提供的结石清除结果可能并不总是令人满意。结石碎裂技术和取回的结石碎片大小都将受到结石大小减小的限制。Giusti 报告说,虽然接受 mini-perc 手术的患者的住院时间减少了,但与标准和无内胎 PCNL 相比,无结石率显着降低:无内胎 PNL 组为 100%,标准 PNL 组为 94%,和 77.5% 在 mini perc 组中。37
在本章中,我们一直强调规划和建立安全和适当的经皮通路以清除结石的重要性。建立通道的目的始终是能够从单个肾造口术中清除最大的结石块。肾造口术始终是直的,通路鞘在原位;盆腔系统内的空间和周围组织的柔韧性提供了管道唯一可用的角度。扩张的系统将为肾造口术提供大面积的运动,从而为肾脏内的肾镜提供大范围的运动。在这种情况下,可以使用刚性肾镜从单个肾造口术中到达不同肾盏中的结石并从相对的肾极清除结石。但在许多情况下,盆腔系统没有扩张,硬质肾镜可触及的肾脏区域可能非常有限。在这种情况下,内科医生应该注意各种技巧和技术,这可能会规避对多道形成的需要。
如果出现“无法触及”的结石,柔性肾镜是一种非常有价值的工具,许多外科医生都提倡在每个 PCNL 中使用。灵活的肾镜可以与大量篮子和抓手一起使用,这些篮子和抓手可用于在整个泌尿系统内移动小石头和结石碎片。此外,柔性肾镜可与激光碎石术一起使用,提供出色的原位结石碎裂效果。灵活范围的缺点在于它的成本,并且与它的刚性对应物相比,它缺乏耐用性。由于这些原因,许多进行 PCNL 的泌尿科医生将没有灵活的范围可供他们使用。
在没有软镜的情况下,与标准 24 Fr 成人肾镜相比,使用儿科肾镜将允许在盆腔系统内进行更大的运动。范围大小的变化可能足以安全地进入先前出现在视线之外的相邻盏。如果结石仍然无法触及,则借助有角度的导管放置的篮子或导丝可能足以将结石移入外科医生的直接视线。
如果一小块结石或碎片位于完全无法从创建的肾造口道触及的盏内,则可以使用“穿刺清洗”。这需要将针刺入含结石的肾盏并注射盐水以将结石从无法到达的肾盏中冲出,并有望进入肾盂,从那里可以很容易地取出结石。这种非扩张性穿刺技术在漏斗部肾盏难以观察的情况下也非常有用。可以将亚甲蓝注射到含石的盏中,以识别肾盂内的漏斗部。类似地,通过第二针穿刺并进入肾盂的导丝将充当肾盏漏斗部的引导线。
尽管有所有这些技巧可以通过单个肾造口术改善取石效果,但重要的是要记住,如果在无法触及的花萼中有大量结石,第二次肾造口术仍然是最快和最有效的取石方法清除。在预期使用两个或更多束的情况下,我们建议在扩张任何束之前,在计划进入的每个盏上进行初始穿刺和导丝放置(图41.7a-f)。通过在每次穿刺的透视引导下使用造影剂,显着有助于多道 PCNL。由于 Amplatz 鞘的渗漏和与管道相关的外渗,在管道扩张后,造影剂的使用变得困难。对于随后不需要的任何预先计划的管道,只需在程序结束时移除导丝。


右经皮肾镜取石术 (PCNL) 中所有潜在束的预扩张导丝放置,用于鹿角。( a ) 普通 KUB 显示双侧鹿角形结石。( b ) 静脉尿路造影 (IVU) 胶片。( c ) 右侧 PCNL 的初始导丝放置。( d ) 第二次导丝放置。( e ) 第三次导丝放置。( f ) 第四次导丝放置
完全清除结石的必要性怎么强调都不为过。研究确保每个 PCNL 尽可能完整的新方法。已经概述了从顺行方法清除结石的多种技巧。同时使用顺行和逆行路线的组合方法也是可能的。Marguet 描述了输尿管软镜检查与标准顺行通路相结合的 PCNL 以提高结石清除率并减少复杂结石病所需的肾造口术数量,并取得令人满意的结果。38对完整结石清除的追求也导致 PCNL 在介入放射学套件中进行,以研究使用高倍率旋转透视来改善结石碎片的可视化。无论手术外科医生可以使用何种设备,每次 PCNL 手术的目的都应该是获得最大的结石清除率。
在 PCNL 之后,通常会放置肾造口引流管。术中放置的逆行输尿管导管可在取出肾造口引流管后留置 1 天,以确保顺行肾引流。肾造口引流管通常在术后 1-2 天内取出。大口径肾造口管患者术后疼痛和镇痛剂的需求更大。40 , 41在肾造口术插入时,通过布比卡因的管周浸润可以减少镇痛剂的需求。42 , 43如果需要长时间引流,例如在收集系统明显穿孔、残留结石和受阻的 UPJ 结石导致水肿的情况下,则需要使用内部 DJ 支架并且可以顺行放置。
在某些情况下,无需肾造口引流或内部支架即可安全地对患者进行术后管理。所谓的“完全无内胎”PCNL 只能在没有任何术中并发症、出血或收集系统穿孔的简单病例中进行。44还应实现完全的结石清除,以避免继发于输尿管梗阻的持续经皮道渗漏。45在许多情况下,尽管没有明显的并发症,但完全无内胎的 PCNL 可能并不可取;例如,在患有盆腔结石嵌顿的患者中,可能会出现明显的黏膜水肿,从而限制了术后顺行肾引流。在这种情况下,可以将顺行放置的 DJ 支架留在原位,但没有肾造口管:“无管”PCNL。在考虑无内胎 PCNL 时,排除标准通常不那么严格。然而,排除标准仍应包括存在感染性肾积水、基质结石、大量出血或残余结石负荷,以及需要三个以上的经皮通路。46
将止血剂和组织密封剂滴注到“无内胎”患者的肠道中似乎不会显着减少出血或外渗。47然而,一项随机对照研究表明,纤维蛋白封闭剂可以减少术后疼痛和镇痛剂需求。48
与 PCNL 相关的常见且重要的并发症是全身炎症反应综合征 (SIRS)、出血、盆腔穿孔和邻近器官损伤。其他并发症包括液体超负荷、体温过低、工作鞘向内迁移、集合系统狭窄、肾皮瘘和死亡。
PCNL 后 SIRS 的发生率很常见,据报道高达 23.4%,但进展为完全败血症的情况并不常见(0.3-4.7%)。49 SIRS 的风险因素包括肾小管数量、接受输血、结石大小和存在肾盂扩张。当脓毒症发生时,成功的管理依赖于高度怀疑、早期干预和强化治疗。术前、术中和发热期间的尿液和结石培养结果对于治疗期间抗生素更换的决策具有重要意义。据表明,术前使用环丙沙星 1 周可以减少 PCNL 相关的脓毒症。
出血可发生于肾实质(肾小道)或盆腔内的损伤(漏斗部或盆腔撕裂)。如前所述,从解剖学角度考虑,太靠内侧的管道有损伤主要肾血管的风险。静脉出血可以通过放置大口径肾造口管来控制;通过夹住肾造口管以获得填塞效果,可以获得更大的益处。如果尽管采取了这些措施,出血仍在继续并且呈鲜红色,则应怀疑动脉出血。动脉损伤也可能较晚出现(手术后 3-4 周)。更常见的动脉损伤是动静脉瘘、假性动脉瘤和动脉撕裂(图41.8)。大量动脉出血需要紧急稳定患者,随后进行肾动脉造影和出血动脉分支的超选择性血管栓塞术。0.6-1.4% 的 PCNL 患者需要干预控制出血。极少数患者可能需要进行全肾切除术或部分肾切除术的开放手术。PCNL 后报告的输血率范围为 11.2% 至 30.9%。糖尿病、多道手术、手术时间延长和术中并发症的发生都与失血量显着增加有关。可以减少失血和输血率的策略包括超声引导下的入路、使用球囊扩张系统、缩短手术时间以及在出现较大结石负荷或术中并发症的情况下进行分期手术。减少儿科病例、非肾盂积水系统和漏斗部狭窄的患者以及多道手术中的继发道的大小也可以减少 PCNL 期间的失血。多变量分析表明,鹿角形结石、多发性结石、糖尿病和大结石与 PCNL 期间肾出血增加有关。

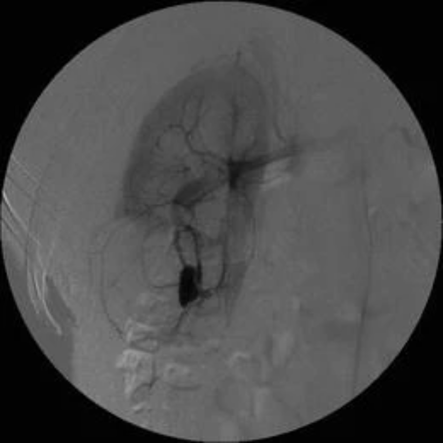
PCNL 并发症:血管造影显示继发于 PCNL 的动静脉瘘
收集系统穿孔在 PCNL 期间并不少见,主要发生在管道扩张期间,偶尔在取石期间发生。这些穿孔在肾镜检查中通常很明显,并且大部分通过肾造口引流和输尿管 DJ 支架术解决(图41.9)。持续性肾周尿瘤可能需要超声引导下经皮引流。

PCNL 并发症:PCNL 期间盆腔内镜下显示盆壁穿孔,左侧有肾结石
在 PCNL 期间,可能会损伤肾脏附近的结构(胸膜腔、肺、结肠、脾脏、肝脏和十二指肠)。据报道,在接受 PCNL 的患者中,胸膜和结肠损伤分别为 0-3.1% 和 0.2-0.8%。52严重的胸膜损伤应通过胸腔管引流来处理。输尿管支架或延长肾造口引流将令人满意地治疗肾胸膜瘘。结肠损伤应通过放置输尿管 DJ 支架并在穿孔点将肾造口管拉回结肠来处理。在没有远端肠梗阻的情况下,结肠损伤通常会愈合。大约 1 周后,应通过肾造口管进行对比研究来确认肠道愈合:在没有结肠肾瘘的情况下,可以移除结肠肾造口引流管。PCNL 期间脾损伤很少见。虽然脾损伤可以保守治疗,但在严重出血的情况下偶尔需要进行脾切除术。肝损伤也不常见,很少需要手术干预。
PCNL 相关的液体超负荷是由于通过开放的静脉通道吸收冲洗液或外渗引起的。体液吸收可能会导致心肺或肾功能受损的患者以及儿科患者出现临床上显着的超负荷。使用低压系统、减少肾镜检查时间以及对大量肾结石负担分期进行 PCNL 手术,尤其是在存在盆腔系统穿孔等并发症的情况下,可减少液体吸收并避免容量超负荷。此外,在 PCNL 手术过程中,确保手术鞘管留在盆腔系统内也很重要;如果管道鞘向周围漂移,暴露实质甚至肾外部分,液体吸收和外渗将成倍增加。57
同时双侧 PCNL 是一种安全的程序,可有效用于成人和儿童。除了具有成本效益外,它只需要一种麻醉剂,住院时间更短,恢复更快。但不应选择结石负荷大或盆腔解剖结构复杂的患者。58在一侧完成后,应根据第一侧所用时间、失血量、生命体征和血液参数、任何并发症和患者合并症来决定是否继续对侧 PCNL。尽管有最好的意图,但大约 30% 的预期同时双侧 PCNL 病例可能仅限于单侧 PCNL,具体取决于术中事件。
PCNL 虽然在解剖学正常的肾脏中是一种公认的治疗方式,但仍未普遍用于治疗盆腔异位肾中的结石。对无法进入和腹部内脏受伤的恐惧使其成为一个技术上具有挑战性的过程。60如果从皮肤到目标花萼有一个清晰的超声窗口,则可以尝试超声引导的 PCNL,这表明没有任何介入的肠袢。提高该手术安全性的技术因素包括超声引导穿刺、使用成熟导管或 Amplatz 鞘、术后常规双 J 支架置入术以及肾造口管取出前的肾造影。通过适当的预防和细致的技术,PCNL是一种安全有效的治疗盆腔异位肾结石的方法。61然而,在腹腔镜检查的帮助下,PCNL 可能在盆腔异位肾中更广泛地进行。
尿石症是马蹄肾最常见的并发症,据报道发生率为 21-60%,PCNL 被公认为在这些病例中既安全又有效。63尽管如此,就像在盆腔异位肾脏和其他旋转不良的肾脏中一样,可能存在对马蹄肾中与 PCNL 相关的邻近结构的不可接近性和损伤的恐惧。因此,就 PCNL 而言,值得注意的是马蹄肾解剖结构优于正常肾脏的一个优势。在肾解剖结构正常的患者中,在 PCNL 期间进入上极肾盏通常需要经肋上入路,具有相关的胸膜损伤风险。相比之下,马蹄肾中的上极通路相对安全,因为肾脏远离胸膜的移位较小,并且报告的相关气胸发生率较低。64 , 65此外,上极入路有助于清除结石,因为肾镜与肾脏长轴对齐有助于将范围操纵到上肾盏、肾盂、下肾盏、肾盂输尿管连接处 (PUJ) 和近端输尿管。
另外两个因素使 PCNL 成为治疗马蹄肾内结石的有吸引力的选择。这些患者通常有非常显着的结石负担,这使得 PCNL 成为一种有效的结石清除技术,所需的手术次数最少(图41.10a 和 b)。此外,插入肾盂的输尿管往往会向上和横向移位,限制了体外冲击波碎石术后结石碎片通过的机会。

马蹄肾。( a ) X 线平片 KUB 显示马蹄肾中有多个左肾结石。( b ) 后对比 IVU 胶片
众所周知,肥胖会增加麻醉和外科手术的风险。然而,对于具有显着肾结石负担的肥胖患者,PCNL 形式的手术通常是最合适的治疗方法,因为体外冲击波碎石术可能无效。尽管在技术上具有挑战性,但 PCNL 已被证明即使在病态肥胖患者中也是安全的,与体重指数较低的患者相比,结果没有差异。66 – 68然而,患者体位可能对 PCNL 手术的成功至关重要,尤其是在病态肥胖患者中,俯卧位会导致呼吸困难。
仰卧位是避免肥胖患者 12-15 标准 PCNL 呼吸风险的一种方法 ;但随之而来的是在受限的情况下刺穿肾脏的不小的挑战。仰卧位的替代方法是侧卧位,这会使腰部暴露在外,但仍需要在不寻常的位置进行经皮肾穿刺。69 , 70仰卧位和侧卧位都可以与 PCNL 的脊髓麻醉结合使用。为了进一步降低病态肥胖患者 Wu 等人易患 PCNL 的风险。最近报道了清醒气管插管和俯卧患者自我定位的使用,发病率没有增加。71 尽管降低全身麻醉 PCNL 风险的可能性有多种,但对于高风险患者,不应忘记在局部麻醉下镇静 PCNL 的技术。
PCNL 在 1980 年代首次使用成人大小的仪器应用于儿科人群。尽管该技术使用成人大小的仪器是成功的,即使在幼儿中也是如此,但现在建议减少管道大小以降低出血并发症的风险。55、72侵入性较小的“mini- perc ”手术被开发为一种用于执行 PCNL 的方法,其具体目的是降低幼儿手术的发病率。34
进一步的技术改进,包括内窥镜的小型化和碎石能量来源的进步,意味着现在可以在几个月大的儿童和各种大小的结石中安全地进行 PCNL。儿科 PCNL 单药治疗的无结石率与成人相当。阿伦等人。据报道,在患有完全性鹿角形结石的学龄前儿童中,使用 PCNL 单一疗法可完全清除 89% 的结石。72与成人患者一样,双侧结石病、肾功能受损和肾解剖异常不应被视为儿科人群 PCNL 的禁忌症。73然而,对接受 PCNL 的儿科患者的全面护理需要泌尿科医师和肾病科医师之间的密切联系,因为这些患者中的许多人将代谢异常作为其尿石症的原因。
鉴于 PCNL 的侵袭性,仍然存在对相对较小的肾脏潜在肾损害的担忧。几项研究试图通过使用锝 99m 二巯基琥珀酸 (DMSA) 扫描确定儿童 PCNL 后肾实质损伤的频率来解决这个问题。萨马德等人。在 5% 的术后 DMSA 扫描中显示出局灶性损伤,但得出的结论是,这可能高估了肾损伤,因为本研究中没有术前 DMSA 扫描。74在比较术前和术后 DMSA 扫描时,其他人在儿童 PCNL 后没有显示新的肾脏瘢痕形成。75 , 76
自从 1970 年代中期首次使用经皮导管用于去除结石的特定目的以来,PCNL 已成为肾结石大负荷患者的首选手术方法。该技术随着时间的推移而发展,现在可以为所有年龄段的患者提供安全有效的结石清除,以及肾脏和脊柱解剖的显着合并症和复杂性。在所有情况下,初始进入肾脏的计划和成功执行对 PCNL 的结果至关重要。能够以最少的并发症进入所需的肾盏,需要对肾盏和动脉解剖以及周围结构有透彻的了解。PCNL 穿刺的风险可以通过选择一条可以使用直器械直接接触结石的路径来最小化,同时保持后外侧,如果可能,在第 12 肋下方。为此,CT 扫描现在正迅速取代 IVU,成为术前计划放射成像的首选。关于患者体位和麻醉类型的决定仍将取决于患者的身体习惯和合并症。
针刺和顺行通路应由经过最适当培训的人员(泌尿科医师或放射科医师)使用超声或透视引导进行。这两种技术都运作良好,但针头通路在技术上仍然具有挑战性,并且在模拟器之外的体验对于学习 PCNL 通路无疑是有价值的。超声引导的通路具有实时可视化周围结构、易于识别前后肾盏以及无辐射的优点。建立通路的目的应始终是从单个肾造口术中清除最大体积的结石。为此,使用柔性和儿科范围、穿刺清洗和使用第二导丝已被强调为改善结石清除的技术。在预期使用两个或更多束的情况下,我们建议在扩张任何束之前,在计划进入的每个花萼上进行初始穿刺和导丝放置。与 PCNL 相关的并发症将通过系统的术前患者准备和访问计划来最小化。对 PCNL 并发症管理的深入了解将进一步确保该技术在所有情况下都尽可能安全,包括在技术上更具挑战性的异位肾脏、肥胖和儿科情况下。最后,尽管 PCNL 现在已经在几乎所有大结石病例中取代了开腹手术,但仍然必须记住,对于肾功能不佳且结石负荷非常大的患者,偶尔进行肾切除术将是更好的选择。我们建议在任何管道扩张之前,在计划进入的每个花萼上进行初始穿刺和导丝放置。与 PCNL 相关的并发症将通过系统的术前患者准备和访问计划来最小化。对 PCNL 并发症管理的深入了解将进一步确保该技术在所有情况下都尽可能安全,包括在技术上更具挑战性的异位肾脏、肥胖和儿科情况下。最后,尽管 PCNL 现在已经在几乎所有大结石病例中取代了开腹手术,但仍然必须记住,对于肾功能不佳且结石负荷非常大的患者,偶尔进行肾切除术将是更好的选择。我们建议在任何管道扩张之前,在计划进入的每个花萼上进行初始穿刺和导丝放置。与 PCNL 相关的并发症将通过系统的术前患者准备和访问计划来最小化。对 PCNL 并发症管理的深入了解将进一步确保该技术在所有情况下都尽可能安全,包括在技术上更具挑战性的异位肾脏、肥胖和儿科情况下。最后,尽管 PCNL 现在已经在几乎所有大结石病例中取代了开腹手术,但仍然必须记住,对于肾功能不佳且结石负荷非常大的患者,偶尔进行肾切除术将是更好的选择。