取石球囊怎么取石“ERCP球囊取石细节讨论”学习笔记

新闻资讯2026-04-21 06:52:19
        病例介绍:患者65岁女性,因“上腹痛5天,呕吐1天”入院。腹部CT提示:考虑胆总管起始段、下段结石伴肝内胆管轻度扩张;上腹部MR:1、考虑胆总管多发结石伴胆道系统轻度扩张;2、考虑少量腹水,双侧胸腔少量积液。直胆7.20umol/L,谷丙100U/L,谷草136U/L,谷氨酰转肽酶326U/L↑,降钙素原0.392ng/ml↑,白细胞10.35 10^9/L↑。拟行ERCP取石术。 

取石球囊怎么取石“ERCP球囊取石细节讨论”学习笔记_https://www.jmylbn.com_新闻资讯_第1张

子敬有一段时间没有ERCP了,平常靠坚持练ERCP动作模型增强操作手感,术前还特地改良了ERCP充气模型,增加一点操作难度,练习了三遍ERCP取石流程 

取石球囊怎么取石“ERCP球囊取石细节讨论”学习笔记_https://www.jmylbn.com_新闻资讯_第2张

为确保手术成功,把病例上传山东ERCP微信群,请ERCP高手指导和讨论,请山东省立三院肝胆外科张锎主任必要时给予术中远程微信视频指导。

术前讨论

石头哥-张锎主任:你的基本功可以了,关键是对自己要有信心!

湖南韩东教授:相信你的操作肯定没问题的。

临邑人医贾永杰主任:从影像看不止两个结石,还有小的,建议造影时看好结石位置,把(乳头切开)出口做好,先取下面的结石再取上面的结石,也不是非得用网篮取石,如果结石不大,出口做得好,球囊取石反而速度更快

子敬:用球囊取石往外拉,视野不全,担心结石掉出来都看不到。

临邑人医贾永杰主任:球囊取石看不到结石取出,说明操作手法不对;球囊取石,你不该担心看不到结石出来,应该担心结石出不来;1、在安全的前提下,尽量把乳头开口做大至与胆总管结石直径大小相近;2、调整取石球囊与结石大小相近,顺着胆轴往下拖取结石便可看见结石出来;3、如拖取结石至出口感觉阻力大,要配合缩小一点球囊;4、如果结石远大于出口,肯定出球囊要用很大力度,视野必受影响,看不到结石出来,如硬拉球囊,乳头撕裂出血穿孔风险就增加,这时应该把结石送回胆总管中段,换取碎石一体网篮取石

手术经过:经口气管插管全麻起效后,开始进镜,手感气管导管对镜身的牵扯感,镜进不顺,感觉乳头离镜面距离太近,推镜子,又要滑出,稍左旋或DOWN,也会滑出镜子;在乳头插管时就滑出两次镜子至胃腔。 

取石球囊怎么取石“ERCP球囊取石细节讨论”学习笔记_https://www.jmylbn.com_新闻资讯_第3张

第一次插管进了胰管方向。 

取石球囊怎么取石“ERCP球囊取石细节讨论”学习笔记_https://www.jmylbn.com_新闻资讯_第4张

第二次进了胆管,造影发现胆总管中段和下段均有多发结石负影。 

取石球囊怎么取石“ERCP球囊取石细节讨论”学习笔记_https://www.jmylbn.com_新闻资讯_第5张

因为镜身固定困难,行乳头切开时调不到最佳的位置,所以进直径10mm球囊扩张导管扩张乳头,扩开后乳头有渗血。 

取石球囊怎么取石“ERCP球囊取石细节讨论”学习笔记_https://www.jmylbn.com_新闻资讯_第6张

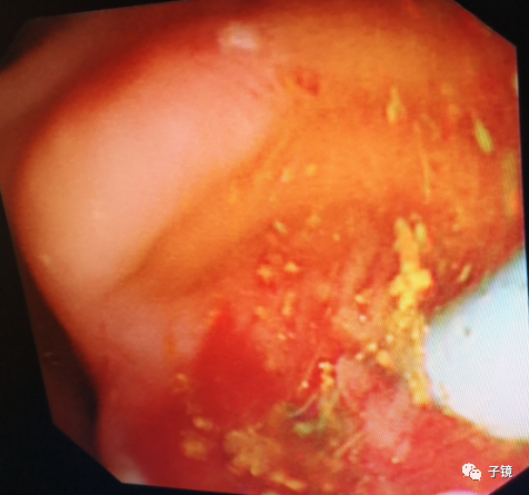
接下来进取石网篮,因为乳头开口血染,不敢贸然进网篮;于是沿导丝“生命线”进取石球囊,在胆总管上段打起来,边造影边往下拖取,感觉结石都拖至胆总管下段了,但拖取不出来。 

取石球囊怎么取石“ERCP球囊取石细节讨论”学习笔记_https://www.jmylbn.com_新闻资讯_第7张

加力往下拖,看到数个不完整的黄色碎石出来了,应该是结石给予取石球囊压碎了。 

取石球囊怎么取石“ERCP球囊取石细节讨论”学习笔记_https://www.jmylbn.com_新闻资讯_第8张

取石球囊怎么取石“ERCP球囊取石细节讨论”学习笔记_https://www.jmylbn.com_新闻资讯_第9张

接下来把取石球囊送到胆总管上段,反复注水冲洗胆道,在乳头口吸引出大量胆泥,直至冲洗干净。 

取石球囊怎么取石“ERCP球囊取石细节讨论”学习笔记_https://www.jmylbn.com_新闻资讯_第10张

取石球囊怎么取石“ERCP球囊取石细节讨论”学习笔记_https://www.jmylbn.com_新闻资讯_第11张

操作快两小时了,镜子固定困难,太易滑镜,留置鼻胆管,结束战斗。

取石球囊怎么取石“ERCP球囊取石细节讨论”学习笔记_https://www.jmylbn.com_新闻资讯_第12张 

术后讨论:

子敬:这台手术可以说是历尽千辛万苦,全身湿透才实现成功。术中操作出现镜子在十二指肠乳头段固定困难最后靠导丝引导取石球囊完成结石取出。子敬术后把手术经过上传至山东ERCP群,请各位老师点评和讨论。

即墨市人民医院范光学教授:为您的执着和付出点赞,您已经很厉害了!也为有张锎院长这样的好老师点赞。

山东王健教授:如果出口做得不大,球囊别打太大

临邑人医贾永杰主任:术前我就说了,对结石不大,胆道不是特别扩张的病例,出口做好的话,球囊取石效果是非常不错的,出球囊有阻力时要配合缩球囊取石。这个乳头切开还可以再大一点,扩张球囊直径10mm,用手压力推造影剂可能也没有真正达到10mm,开口做得不够大的话,如果用球囊拖取,到出口时必需要配合缩小球囊,否则出来必费力球囊取石不一定比网篮差,但前提是出口一定要做好,对于没有囊装扩张的胆总管,把球囊打成与胆道粗细差不多,结石是不会逃逸的,这个结石不大,是可以完整取出的。如果球囊大,到了胆总管末端,出口小,球囊出不来,硬拖只会球囊变形而出,视野差,易掉导丝和镜子,增加乳头撕裂出血和穿孔的风险;所以到了出口要透视看球囊大小,要感觉出球囊的力度,适当缩小球囊娩出结石,也不能缩得太小,防止结石逃逸 

山东烟台陈曦博士:这个患者的胆总管的结石软,不大,所以球囊取石易成功;如果球囊取不出来,可能还是要把石头送至胆总管中段,换个取碎石一体的网篮去捕石。曾宪忠主任平常也喜欢用球囊出结石,他曾经说过,不要把球囊打的太大,也不要用蛮力往外拖。请问贾老师,助手缩球囊有什么窍门?

临邑人医贾永杰主任:球囊拖取结石至出口有阻力,缩小球囊要在透视监视下看着球囊缩小,没有其他好办法

山东曾宪忠主任:大家好!ERCP取石我有个建议:一般情况下只用取石球囊取石,只要乳头切开后扩张的稍微大于结石直径,大部分情况下一个取石气囊就可以了完成任务了。这几年,除了碎石以外,我很少或者基本不用取石网篮。优点1:少吃线;2:省钱,比较网篮取石后球囊清扫,少用了一个取石网篮:3:避免了结石乳头口嵌顿导丝不能再进入的情况发生。操作要点结石拉到乳头口稍微拉紧的时候大约看到1/3的结石,这时结石可以加力取出如果一点也看不到结石露头,最好不加力。改用碎石、或者更大气囊扩张再取石。一己之见,以大家共识为准哈。

子敬:今天实践中感受到球囊的优势,优点还有:全程有导丝保驾护航。操作要点:球囊的轴向与胆管轴向要一致,顺应胆轴拖取结石

石头哥-张锎主任:曾老这实战经验太老道了

山东曾宪忠主任:取石在张锎主任这里这是小菜,张主任做的是更大的活!

苏州祝建红博士:我基本不用球囊取石,除非非常小的结石,我取石也不收紧网篮,觉得石头是用网篮耙出来的,所以,送镜子,取直胆道轴向很重要

山东曾宪忠主任: 现在很多专家保留导丝状态下进取石网篮取石,目的就是留着导丝,一旦结石嵌顿,还有导丝保留在胆管备用

子敬:ERCP操作:在X线下观察镜前端弯曲部保持呈“L”型才是对准轴向,当呈“I”型才觉得视野好,是镜头太靠上和靠乳头太近,这样的操作平台很不稳定,随时可能滑脱;此时要推镜身远离乳头+UP靠近乳头,配合小钮“R”或“L”调整左右轴向,把乳头调至最佳位置镜头在X线下呈“L”型的标准的操作轴向和稳定的平台,钮定小钮是为了防止左右轴向在操作中不稳定,影响其他操作链条的不稳。我今天发现我的镜子小钮锁不紧,老滑镜子,可能跟这个也有关系;还有今天的镜子有点推不动的感觉,是否镜身跟口腔内气管导管摩擦有关? 

取石球囊怎么取石“ERCP球囊取石细节讨论”学习笔记_https://www.jmylbn.com_新闻资讯_第13张

临邑人医贾永杰主任:镜子有点推不动一般跟气管导管摩擦无关;有一定操作水平后,小钮不锁也可以,但手上要有感觉,始终推着点镜子,防滑出。侧卧位ERCP操作,会影响术中透视观察,建议用左侧俯卧位操作,术中图像会好看一些,特别是观察肝门部肝管,一定要让病人趴一点

子敬:感谢各位老师们热情的指导,这台ERCP,通过讨论,让我学到了更多。由于我这里给我这里ERCP病例少,但我会继续努力,下一步制一些难度更大模型来训练手法的稳定性,以便有病例时,能在张锎院长及各位老师指导下能成功帮助病人解决问题。 

后记:术后患者无不适,术后第五天行鼻胆管造影,未见结石残留,造影剂排泄通畅,拔除鼻胆管后出院。

    

    子敬(广东省连州市人民医院潘新智)2021-03-08至2021-05-15日整理。感谢张锎院长、曾宪忠主任、永杰主任协助审稿。以上是子敬个人学习笔记,谨供各位老师参考;如有错记、漏记、记录不完整等情况,纯属于本人问题,指导老师无关

欢迎关注“子镜”公众号,目前关注人数为11189。“子镜”属于学习、公益型公众号,是子敬利用业余时间学习和收集消化、肝胆外科、超声介入、基础医学等各界大咖们宝贵的诊疗经验ERAT、消化道早癌诊治、内镜支架置入、内痔微创等技术分目录,分享给愿意学习和探讨的同仁,争取共同进步!   

      

取石球囊怎么取石“ERCP球囊取石细节讨论”学习笔记_https://www.jmylbn.com_新闻资讯_第14张