单猪尾支架怎么放重症急性胰腺炎合并出血性休克和感染性休克

新闻资讯2026-04-21 06:40:53

单猪尾支架怎么放重症急性胰腺炎合并出血性休克和感染性休克_https://www.jmylbn.com_新闻资讯_第1张


摘要


近年来,重症急性胰腺炎(SAP)的急性期救治取得较大进展,更多的SAP患者进入恢复期,但胰腺假性囊肿和感染性胰腺坏死仍是恢复期SAP治疗过程中需面对的难题。现报道一例合并多器官功能衰竭的SAP患者的多学科协作诊治过程。该SAP患者恢复期出现感染性胰腺坏死,给予超声内镜引导下经胃胰腺假性囊肿金属支架置入术和胃镜下经金属支架胰腺坏死组织清除术,但术后合并出血性休克和感染性休克2次危象,最终经多学科联合成功救治。


急性胰腺炎是消化系统常见疾病,约有20%的患者可进展为重症急性胰腺炎(severe acute pancreatitis,SAP),其病死率高达30%。感染性胰腺坏死(infected pancreatic necrosis,IPN)是较常见的SAP后期并发症之一,多继发于胰腺假性囊肿或胰腺包裹性坏死,通常需要微创的侵入性干预措施进行治疗。该例患者为典型的伴多器官功能衰竭的SAP,顺利度过急性期,在恢复期因胰腺包裹性坏死合并感染,多次行内镜下微创介入治疗,病程中出现消化道出血和感染性休克等危重情况,均经多学科协作团队治疗成功。


病例介绍


患者男性,48岁,因"上腹痛1 d",于2019年9月26日被收治于海军军医大学长海医院消化内科。患者1 d前无明显诱因出现上腹部疼痛,呈间断性绞痛,伴有腰背部放射性疼痛,后疼痛逐渐加重,弯腰抱膝位疼痛可减轻,伴恶心和呕吐。急诊查血淀粉酶为2323 U/L,上腹部CT检查示胰腺形态饱满,胰周脂肪间隙模糊,可见胆囊结石。患者既往2017年有胆源性急性胰腺炎发作史1次,后未再复发,自诉对碘造影剂过敏,高血压病史10余年,日常服用硝苯地平片控制血压。入院时患者一般状况尚可,体温为36 ℃,脉搏为130次/min,呼吸频率为25次/min,血压为130/90 mmHg(1 mmHg=0.133 kPa),呼吸急促,双肺呼吸音粗,未闻及干湿啰音,心率加快(130次/min),节律尚齐,未闻及异常杂音,腹部膨隆伴腹肌紧张,上腹部压痛,无反跳痛,肠鸣音减弱(2次/min),24 h尿量仅500 mL。


1.临床检查:


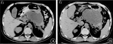
入院后查血常规示白细胞计数为17.5×109/L,红细胞计数为5.87×1012/L,血红蛋白为185 g/L,中性粒细胞占比为0.83,血细胞比容为0.54;血清甘油三酯为4.09 mmol/L,血肌酐为161 μmol/L(正常参考值为57~97 μmol/L),血钙为2.33 mmol/L,血淀粉酶为959 U/L,ALT和AST均为16 U/L;CRP为418 mg/L,血降钙素原为0.08 μg/L;凝血功能示血浆D-二聚体为0.95 mg/L,纤维蛋白降解产物为7.40 mg/L,PT为14.3 s;血气分析示pH值为7.339,动脉血氧分压为8.64 kPa,二氧化碳分压为5.41 kPa;心肌酶谱示肌红蛋白为167.8 μg/L,高敏肌钙蛋白I为1.490 μg/L,入院后2 d复查血肌酐为336 μmol/L。心电图检查示窦性心动过速,广泛T波低平。2019年10月16日中腹部CT平扫检查示胰腺假性囊肿形成(图1A),10月29日腹部CT平扫检查示SAP,胰腺假性囊肿较前增大,囊肿最大径约为12 cm,且囊肿壁包裹完整并紧贴胃壁,无合适经皮穿刺路径(图1B)。




单猪尾支架怎么放重症急性胰腺炎合并出血性休克和感染性休克_https://www.jmylbn.com_新闻资讯_第2张

图1 中腹部计算机断层扫描平扫检查结果

A 2019年10月16日(发病3周)检查结果示胰周假性囊肿形成 B 2019年10月29日(发病4周)检查结果示胰周假性囊肿增大


2.临床诊断:


①急性胰腺炎(重症,胆源性),急性呼吸窘迫综合征,急性肾衰竭;②高血压病2级(很高危组);③胆囊结石伴慢性胆囊炎。


3.临床治疗:


患者入院后(急性期)立即予抑酸、抑制胰液分泌、输血、抗感染、补充白蛋白、补液等对症支持治疗。入院3 d后留置鼻空肠管行肠内营养支持治疗,同时予高流量湿化仪(新西兰费雪派克医疗保健有限公司)辅助通气治疗;入院后患者肌酐水平进行性升高,尿量逐渐减少,经肾内科临床医师会诊后行连续性血液净化治疗,共治疗4次,复查肌酐水平降至97 μmol/L,24 h尿量为1 900 mL(尿量恢复)。结合患者心肌酶谱升高、心电图检查示广泛T波低平,考虑存在心脏损伤,予改善冠状动脉供血、控制液体出入量、纠正电解质和酸碱失衡等对症处理,复查高敏肌钙蛋白I降至0.001 μg/L,肌红蛋白降至22.8 μg/L。


患者入院2周(恢复期)后病情较平稳。2019年10月21日,患者出现发热,体温最高达39.0 ℃,应用美罗培南(0.5 g/次,3次/d)和替加环素(50 mg/次,2次/d)抗感染治疗后,患者体温逐渐恢复至36.5 ℃。2019年10月29日复查CT示胰腺假性囊肿增大,随后患者出现中腹部胀痛、恶心等压迫症状,经多学科讨论后于11月19日行超声内镜引导下经胃胰腺假性囊肿金属支架置入术(图2),术中采集引流液进行细菌培养,等待药敏试验结果期间继续予美罗培南(0.5 g/次,3次/d)和替加环素(50 mg/次,2次/d)抗感染治疗,2019年11月21日(支架置入2 d后)常规行胃镜下经金属支架胰腺坏死组织清除术(图3),术后患者生命体征平稳。2019年11月22日凌晨4:00患者无明显诱因突发呕血,呕吐量约500 mL的鲜红色液体;排暗红色血便1次,量约150 mL;伴心悸、出冷汗,血压为80/50 mmHg,急查血常规示白细胞计数为19.65×109/L,红细胞计数为3.29×1012/L,血红蛋白为105 g/L,急诊CT检查示胰周包裹性积液和积血。急诊胃镜检查示囊肿支架内附着大量血凝块,予拔除金属支架,未见活动性出血(图4),立即行腹腔数字减影血管造影,预防胰大动脉和胰背动脉栓塞,同时予输血和止血等对症支持治疗,患者未再发生活动性出血。


单猪尾支架怎么放重症急性胰腺炎合并出血性休克和感染性休克_https://www.jmylbn.com_新闻资讯_第3张

图2 2019年11月19日行超声内镜引导下双头金属支架引流假性囊肿

A 支架释放 B 支架定位(箭头所示)


单猪尾支架怎么放重症急性胰腺炎合并出血性休克和感染性休克_https://www.jmylbn.com_新闻资讯_第4张

图3 2019年11月21日行胃镜下经金属支架胰腺坏死组织清除术

A 胰周坏死物清除前 B 胰周坏死物清除后


单猪尾支架怎么放重症急性胰腺炎合并出血性休克和感染性休克_https://www.jmylbn.com_新闻资讯_第5张

图4 2019年11月22日急诊胃镜检查示胰腺囊肿内出血

A 金属支架内见血凝块 B 用圈套器拔除支架 C 胰腺窦道内无活动性出血 D 支架拔除后胃黏膜窦道处无活动性出血


2019年11月26日患者再次出现发热,体温最高达39.6 ℃,伴畏寒、寒战,血压下降,最低血压为76/50 mmHg,药敏试验结果示广泛耐药的肺炎克雷伯杆菌、屎肠球菌和嗜麦芽窄食单胞菌感染,调整抗生素为利奈唑胺(0.6 g/次,2次/d)联合替加环素(50 mg/次,2次/d)抗感染治疗,并予血浆1 000 mL扩容补液,去甲肾上腺素(4 mg/次,2 mL/h)和多巴胺(180 mg/次,10 μg·kg-1·min-1)升压治疗,患者血压恢复至123/80 mmHg。经多学科会诊后考虑胰周假性囊肿出血后合并感染,治疗仍以抗感染和胰周引流为主,调整抗生素为头孢他啶阿维巴坦钠(2.5 g/次,3次/d)和利奈唑胺(0.6 g/次,2次/d),2019年12月2日腹部CT检查示胰周积液和胰周脓肿腔仍存在(图5A),并于2019年12月9日在X线引导下循胃体后壁窦道处,置入双猪尾长7 cm、直径7 F的塑料支架,支架置入后胃腔可见胰周脓液溢出,后患者体温逐渐下降,12月13日CT检查示胰周积液和胰周脓肿腔逐渐缩小(图5B)。患者于2020年1月13日腹部CT检查示胆总管下段轻度扩张,胆总管下段结石,于1月19日行内镜逆行胰胆管造影术(endoscopic retrograde cholangiopancreatography,ERCP)、胆管支架置术和胰管支架置入术(图6),术后逐渐开放饮食并于2020年1月23日出院。2020年3月26日拔除胃内支架和胆胰管支架,至截稿患者病情稳定。


单猪尾支架怎么放重症急性胰腺炎合并出血性休克和感染性休克_https://www.jmylbn.com_新闻资讯_第6张

图5 双猪尾支架置入前后计算机断层扫描检查结果

A 2019年12月2日检查结果示双猪尾支架置入前胰周积液和胰周脓肿腔仍存在 B 2019年12月13日检查结果示双猪尾支架置入后胰周积液和胰周脓肿腔缩小


单猪尾支架怎么放重症急性胰腺炎合并出血性休克和感染性休克_https://www.jmylbn.com_新闻资讯_第7张

图6 2020年1月19日行内镜逆行胰胆管造影术

A 放置胆胰管双支架 B 经胃囊肿引流支架(红色箭头所示)、胆管支架(白色箭头所示)和胰管支架(蓝色箭头所示)定位


病例讨论


消化内科张平平主治医师:患者以突发上腹部疼痛起病,既往有胆源性急性胰腺炎病史,入院后氧分压低,呼吸急促,血肌酐水平逐渐升高,尿量减少,SAP诊断明确,伴有急性呼吸窘迫综合征和急性肾衰竭,予高流量湿化仪辅助呼吸、连续性血液净化治疗改善肾功能、控制液体出入量、纠正水电解质失衡后病情逐渐平稳。器官功能衰竭和局部并发症是SAP最常见的临床特征,复查腹部CT示胰周包裹性积液形成,且胰腺假性囊肿逐渐增大并出现压迫症状和发热等感染征象,结合病情和CT检查结果综合考虑行超声内镜引导下经胃胰腺假性囊肿金属支架置入术,辅以胃镜下经金属支架胰腺坏死组织清除术,患者随后出现出血性休克和感染性休克2次"打击",均采取抗感染、补充血容量等积极有效干预措施,病情有所缓解。需重视SAP后期的并发症,怀疑该患者胰腺假性囊肿感染时没有合适的经皮穿刺路径,而选择经胃胰腺假性囊肿金属支架引流,有一定的出血风险。


呼吸及重症医学科黄怡主任医师:患者胰周引流液细菌培养结果为肺炎克雷伯杆菌、屎肠球菌、嗜麦芽窄食单胞菌感染,根据药敏试验结果将原先治疗方案美罗培南和替加环素改为替加环素和利奈唑胺联合抗感染治疗,患者病程中出现高热伴寒战,考虑脓毒血症可能。SAP合并脓毒血症后病死率高达50%~80%,故控制感染是治疗的关键。肺炎克雷伯杆菌为泛耐药的耐碳青霉烯类肠杆菌科细菌,体外敏感性较高的药物替加环素常用给药方案为首次剂量100 mg(静脉滴注),之后减量至50 mg(静脉滴注,1次/12 h),血药浓度低,达不到控制感染的理想效果。头孢他啶阿维巴坦钠是由头孢他啶和阿维巴坦组成的新型酶抑制结合剂,抗菌谱广,对肺炎克雷伯杆菌的灵敏度高达97.5%,结合患者情况可调整抗生素为利奈唑胺联合头孢他啶阿维巴坦钠控制感染症状,待感染症状控制后再行后续处理。


影像科邵成伟主任医师:指南推荐感染性胰腺坏死采取微创升阶梯的治疗方法,包括经皮穿刺引流和内镜下经壁穿刺引流,该患者前期CT检查可见囊肿壁包裹完整并紧贴胃壁,无合适的经皮穿刺路径,遂行超声内镜引导下经胃胰腺假性囊肿金属支架置入术,并辅以胃镜下经金属支架胰腺坏死组织清除术,后患者出现消化道出血,考虑为脓肿引流后脓肿腔缩小,周围血管受囊液侵蚀导致。该患者因造影剂过敏无法行增强CT检查,故无法全面评估囊壁周围血管情况,且患者经金属支架引流后囊肿较前明显缩小,目前从安全角度出发,应以内科抗感染和治疗SAP为主。


肾内科边琪副主任医师:急性胰腺炎尤其是SAP,肾功能损伤发生率仅次于肺功能障碍,急性肾损伤亦是SAP常见死亡原因之一。该患者入院后肌酐水平逐渐升高,尿量逐渐减少,予连续肾脏替代治疗、维持水和电解质平衡、避免使用肾毒性药物后,患者肾功能逐渐恢复。治疗重点应以抗感染为主,避免感染再次诱发急性肾功能不全,应用抗生素抗感染时应注意药物的肾毒性,尽量选用肾毒性小的抗菌药物。


胰腺外科宋彬副主任医师:SAP病死率较高,约1/3的SAP患者可出现胰腺坏死组织的感染,病死率为20%~30%,通常需要侵入性干预。既往外科开放性手术是感染性胰腺坏死的标准治疗方法,但研究发现外科开放性手术与高病死率相关,病死率为40%,并且易出现出血、胃肠道瘘和胰腺功能不全等并发症。该患者存在多重耐药菌感染,此时行外科手术治疗的风险极高,且患者无法行增强CT检查,无法全面评估胰周血管情况,手术清创效果差,治疗上暂不考虑外科手术治疗。


心血管内科白元副主任医师:该患者入院后出现心肌酶谱升高,心电图检查示窦性心动过速,广泛T波低平,考虑为SAP导致的心脏损伤。急性胰腺炎患者可伴有各种异常心电图,如S-T段抬高或压低,T波低平等,此时需要注意与SAP病程中合并急性心肌梗死相鉴别,急性胰腺炎心脏损伤时出现的心电图改变会随着胰腺炎病情的好转而逐渐恢复。该患者经充分补液、纠正水和电解质失衡,以及改善心肌供血后心肌酶谱逐渐恢复至正常水平,考虑为SAP导致的一过性心脏损伤,应继续治疗SAP,避免再次发生感染和休克,减少对心脏的打击。


消化内科杜奕奇主任医师:20%的急性胰腺炎可进展为SAP,其病死率高达30%。SAP后期可并发各种局部和全身并发症,难点主要为感染性胰腺坏死的治疗。随着内镜技术的发展,内镜下内引流或CT引导下经皮置管引流已成为感染性胰腺坏死的一线治疗方法,内镜下内引流与外科手术相比创伤小,可降低胰瘘和胰腺内外分泌功能不全的风险,内引流的支架主要有金属支架和双猪尾塑料支架。金属支架具有孔径大、抗移位且可直接行坏死组织清除术的优点,但其相关不良事件如出血和包埋等的发生率高于塑料支架,且近年来有研究显示金属支架在治疗成功率、临床不良事件、住院时间和总体治疗费用上与塑料支架相比差异无统计学意义,故临床上在选择内引流方式和内引流支架的类型时应权衡利弊。该患者出血后立即拔除金属支架的措施是及时的,再次感染后循胃壁窦道置入塑料支架达到了感染引流的效果,联合抗生素使用,成功控制了感染。后期患者又出现胆总管结石并发的胆管炎症状,为避免再次诱发急性胰腺炎,遂行ERCP取石,留置胆管支架和胰管支架后出院休养,总体处理措施得当。


结语


指南推荐SAP后期出现的局部并发症在合并感染时可行微创引流,即首先选择CT引导下经皮穿刺引流(percutaneous catheter drainage,PCD)或超声内镜引导下经胃、十二指肠穿刺支架引流(endoscopic transluminal drainage,ETD),然后在PCD或ETD基础上行坏死组织清除术。该患者由于碘造影剂过敏,术前未能行增强CT检查,故未能全面仔细评估胰腺周围血管情况,是无法预判出血的原因之一。对于急性胰腺炎后期的局部并发症在出现感染时,在选择微创引流方式和支架类型上应权衡利弊,同时需严密观察患者生命体征的变化。此外,应根据引流液或血液细菌培养和药敏试验结果,选择针对性强、易穿透血胰屏障的抗菌药物。SAP病死率高、病情复杂,后期并发症多,应通过多学科联合诊治,制定最佳的治疗方案。


作者:宋英晓,张平平,董元航,黄怡,邵成伟,边琪,宋彬,白元,杜奕奇

单位:海军军医大学第一附属医院

来源:宋英晓, 张平平, 董元航, 等.  重症急性胰腺炎合并出血性休克和感染性休克 [J] . 中华消化杂志, 2021, 41(3) : 203-206.


转自:消化科空间


单猪尾支架怎么放重症急性胰腺炎合并出血性休克和感染性休克_https://www.jmylbn.com_新闻资讯_第8张