医院仪器怎么成像【医院动态】库尔勒市第一人民医院医学影像科引进新设备,助推医院高质量发展

新闻资讯2026-04-21 06:15:51

点击上方蓝字关注我们

医院仪器怎么成像【医院动态】库尔勒市第一人民医院医学影像科引进新设备,助推医院高质量发展_https://www.jmylbn.com_新闻资讯_第1张

医院仪器怎么成像【医院动态】库尔勒市第一人民医院医学影像科引进新设备,助推医院高质量发展_https://www.jmylbn.com_新闻资讯_第2张

医院仪器怎么成像【医院动态】库尔勒市第一人民医院医学影像科引进新设备,助推医院高质量发展_https://www.jmylbn.com_新闻资讯_第3张

      “精准医疗,影像先行”,先进的医疗影像设备,如同医生的眼睛,让图像更清楚,对患者的诊断更准确。

      搭载“五最+唯一”,结合前沿AI人工智能技术,集当今CT领域顶尖科技于一身的“高端320排CT”,日前在库尔勒市第一人民医院正式投入启用!

医院仪器怎么成像【医院动态】库尔勒市第一人民医院医学影像科引进新设备,助推医院高质量发展_https://www.jmylbn.com_新闻资讯_第4张
医院仪器怎么成像【医院动态】库尔勒市第一人民医院医学影像科引进新设备,助推医院高质量发展_https://www.jmylbn.com_新闻资讯_第5张

联影天河高端CT960+



医院仪器怎么成像【医院动态】库尔勒市第一人民医院医学影像科引进新设备,助推医院高质量发展_https://www.jmylbn.com_新闻资讯_第6张

该设备能广泛应用于心肺脑血管等系各部位疾病的诊断,尤其对脑卒中、心血管疾病、肺小结节、恶性肿瘤等病变的精准诊断有突出价值。

扫描类型涉及冠脉CTA、冠脉联合多部位CTA、全脑灌注、多部位CTA、多部位增强、急诊大范围扫描、结石成分分析、低剂量肺部体检等。

五最+唯一
探测器排数—320排 业内最多


机架转速—0.28秒/圈 业内最快


单圈扫描层数—640层 业内最多


机架孔径—82厘米业内最大


Z轴探测器覆盖—16厘米 业内最宽


AI全智能导航系统—天眼业内唯一


两个优势

除具备普通CT的功能外,该设备还具备以下两个主要优势

01

速度快、精度高、智能化

“一站式”极速扫描,冠脉+头颈CTA极速成像、冠脉+全主动脉极速成像、胸痛三联征——冠脉+肺动脉+肺静脉+全主动脉CTA成像,一次造影剂注射,4-6秒内即可完成以上扫描,全面助力急诊,为抢救生命争分夺秒。
02

高效能、微剂量、大孔径

液态金属轴承球管,阳极直冷技术,提供30MHU球管热容量,澎湃动力无惧超高通量连续扫描。AI剂量调制、迭代重建等复合剂量控制方案,为体检患者提供最优剂量扫描。82cm业内最大孔径,让检查更加舒适。
应用领域


1、无限制心血管成像-单心动周期成像
超高端320排的宽体探测器单圈扫描即可覆盖全心,搭配业内最快转速和独家AI冠脉追焦技术,不管是对于心律不齐,还是高心率等一般CT做不了的心脏检查的情况,超高端320排都能在单心动周期内获得优质图像。真正做到“心跳随意、扫描不止”。同时配合快速扫描和切换扫描方式等技术还可以实现大范围血管联合扫描成像。

医院仪器怎么成像【医院动态】库尔勒市第一人民医院医学影像科引进新设备,助推医院高质量发展_https://www.jmylbn.com_新闻资讯_第7张


医院仪器怎么成像【医院动态】库尔勒市第一人民医院医学影像科引进新设备,助推医院高质量发展_https://www.jmylbn.com_新闻资讯_第8张

医院仪器怎么成像【医院动态】库尔勒市第一人民医院医学影像科引进新设备,助推医院高质量发展_https://www.jmylbn.com_新闻资讯_第9张



2、一站式卒中检查-立体直观全脑覆盖

超高端320排CT可实现单圈扫描的全脑覆盖成像,一次检查即可获得全脑平扫图像、动静脉造影图像和灌注图像,以及缺血半暗带和核心梗死区的分析,不仅可应用于急诊缺血性脑卒中的影像评估,还可助力脑血管畸形、脑动脉瘤等其他脑血管病的结构和功能评估,同时配以低剂量平台,保证患者在低剂量水平完成卒中扫描。

医院仪器怎么成像【医院动态】库尔勒市第一人民医院医学影像科引进新设备,助推医院高质量发展_https://www.jmylbn.com_新闻资讯_第10张


医院仪器怎么成像【医院动态】库尔勒市第一人民医院医学影像科引进新设备,助推医院高质量发展_https://www.jmylbn.com_新闻资讯_第11张

医院仪器怎么成像【医院动态】库尔勒市第一人民医院医学影像科引进新设备,助推医院高质量发展_https://www.jmylbn.com_新闻资讯_第12张



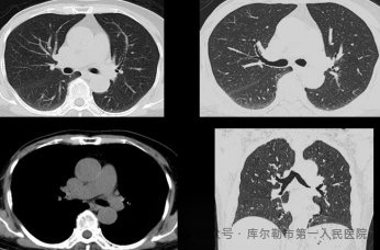
3、微剂量体检筛查-解除您的后顾之忧

采用源头低千伏成像模式,超高端320排CT可实现肺部、冠脉等全身各部位大扫描通量、微辐射剂量的体检筛查。低千伏扫描模式可以有效降低辐射剂量和对比剂用量,降低肾功能不全受检者增强检查风险,系统还可根据不同患者体型和扫描协议自动推荐扫描管电压,在降低患者扫描剂量的同时,优化对比度噪声比。

医院仪器怎么成像【医院动态】库尔勒市第一人民医院医学影像科引进新设备,助推医院高质量发展_https://www.jmylbn.com_新闻资讯_第13张


医院仪器怎么成像【医院动态】库尔勒市第一人民医院医学影像科引进新设备,助推医院高质量发展_https://www.jmylbn.com_新闻资讯_第14张


医院仪器怎么成像【医院动态】库尔勒市第一人民医院医学影像科引进新设备,助推医院高质量发展_https://www.jmylbn.com_新闻资讯_第15张



4、全速急诊扫描-抢救生命争分夺秒

针对胸痛、脑出血、外伤、急腹症等多种急诊检查场景,超高端320排提供全速急诊方案,检查时间最短化,图像评估直观化, 为抢救生命争分夺秒。AI 3D天眼导航系统可以自动识别全体位19个结构点以及业内最多的8种体位,快速智能完成扫描前准备工作,提高扫描效率,缩短急诊扫描时间。

医院仪器怎么成像【医院动态】库尔勒市第一人民医院医学影像科引进新设备,助推医院高质量发展_https://www.jmylbn.com_新闻资讯_第16张


医院仪器怎么成像【医院动态】库尔勒市第一人民医院医学影像科引进新设备,助推医院高质量发展_https://www.jmylbn.com_新闻资讯_第17张


医院仪器怎么成像【医院动态】库尔勒市第一人民医院医学影像科引进新设备,助推医院高质量发展_https://www.jmylbn.com_新闻资讯_第18张



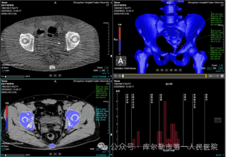
5、功能成像方案

能谱成像技术:分析人体病灶的组织成分、组织特性,为影像诊断提供常规CT无法提供的重要信息,如进行痛风石检测、泌尿系结石成分分析、碘与钙质区分、肿瘤同源性鉴别等。

医院仪器怎么成像【医院动态】库尔勒市第一人民医院医学影像科引进新设备,助推医院高质量发展_https://www.jmylbn.com_新闻资讯_第19张

▲ 痛风石检测

医院仪器怎么成像【医院动态】库尔勒市第一人民医院医学影像科引进新设备,助推医院高质量发展_https://www.jmylbn.com_新闻资讯_第20张

▲ 泌尿系结石分析医院仪器怎么成像【医院动态】库尔勒市第一人民医院医学影像科引进新设备,助推医院高质量发展_https://www.jmylbn.com_新闻资讯_第21张

▲ 肿瘤同源性鉴别

医院仪器怎么成像【医院动态】库尔勒市第一人民医院医学影像科引进新设备,助推医院高质量发展_https://www.jmylbn.com_新闻资讯_第22张



科室介绍

库尔勒市第一人民医院影像科成立于1997年,现每年检查患者约6-7万人,推行无节假日24小时开机服务。

01

人才结构完整

科室现拥有影像专业技术人员共19人。现有高级职称主任医师2名,副主任医师2人,主治医师3人,住院医师3人,技师7人,护士2人。

医院仪器怎么成像【医院动态】库尔勒市第一人民医院医学影像科引进新设备,助推医院高质量发展_https://www.jmylbn.com_新闻资讯_第23张


02

仪器设备先进

▶科室目前拥有2台螺旋CT,是国内同级拥有最新型超高端CT的医院之一,可进行全身各部位常规CT平扫及增强;

医院仪器怎么成像【医院动态】库尔勒市第一人民医院医学影像科引进新设备,助推医院高质量发展_https://www.jmylbn.com_新闻资讯_第24张

联影天河640+超高端螺旋CT,不仅对于心律不齐、高心率等一般CT做不了的心脏检查的情况,640+超高端螺旋CT都能在单心动周期内获得优质图像;同时配合快速扫描和切换扫描方式等技术还可以实现大范围血管联合扫描成像。一次检查可获得全脑平扫图像、动静脉造影图像和灌注图像,以及缺血半暗带和核心梗死区的分析,不仅可应用于急诊缺血性脑卒中的影像评估,还可助力脑血管畸形、脑动脉瘤等其他脑血管病的结构和功能评估,同时配以低剂量平台,保证患者在低剂量水平完成卒中扫描;还可以对尿路结石进行成份分析,其能量成像平台不但可以鉴别物质,也可以完成功能学评价。


03

业务范围广泛

开展常规CT及各种特殊影像检查:冠状动脉血管成像,胸痛三联成像,CT双肾、输尿管、膀胱成像,下肢动脉成像,头颈血管及四肢血管成像,骨关节三维重建成像;

开展全身各部位核磁共振MRI、核磁共振MRU(磁共振尿路造影)、MRCP(磁共振胆胰管造影)、MRA(磁共振血管造影)、等多种特殊成像检查。

配置有数字化X线摄影机(DR)数字胃肠机,移动DR ,X线骨密度测定仪及PACS系统等先进医疗设备。

推行数字影像服务,做X线、CT、磁共振检查后,无需等待胶片打印,扫描报告单上的二维码或关注医院公众号,检查的原始影像数据和报告便可在手机、iPad等终端查看、下载、分享。患者获取的都是原始DICOM数据,比传统胶片的影像数据更完整、准确,提高医生诊断质量。如果需要异地就医,再也不用拎着胶片来回奔波,可以通过手机进行远程分享问诊,省时省力,在转诊、复诊时,同时助力检查结果互通共认,减少不必要的重复检查,为患者节约了费用。

320排高端螺旋CT的投入使用,为库尔勒市第一人民医院再添新助力,医学影像科将一如既住,不断提升医疗效率和服务品质,以一流的设备和技术,精准、安全、优质的服务让患者舒心、安心、放心!

医院仪器怎么成像【医院动态】库尔勒市第一人民医院医学影像科引进新设备,助推医院高质量发展_https://www.jmylbn.com_新闻资讯_第25张


























































































医院仪器怎么成像【医院动态】库尔勒市第一人民医院医学影像科引进新设备,助推医院高质量发展_https://www.jmylbn.com_新闻资讯_第26张

END

医院仪器怎么成像【医院动态】库尔勒市第一人民医院医学影像科引进新设备,助推医院高质量发展_https://www.jmylbn.com_新闻资讯_第27张





供稿:医学影像科

责任编辑:夏婕

审核:张馨予

医院仪器怎么成像【医院动态】库尔勒市第一人民医院医学影像科引进新设备,助推医院高质量发展_https://www.jmylbn.com_新闻资讯_第28张