医讯怎么用【五院医讯】关于支气管镜的检查及治疗 | 运用支气管镜技术处理“卡脖子”问题

新闻资讯2026-04-21 06:13:38
医讯怎么用【五院医讯】关于支气管镜的检查及治疗 | 运用支气管镜技术处理“卡脖子”问题_https://www.jmylbn.com_新闻资讯_第1张


运用支气管镜技术

处理“卡脖子”问题


苏州市吴江区第五人民医院

医讯怎么用【五院医讯】关于支气管镜的检查及治疗 | 运用支气管镜技术处理“卡脖子”问题_https://www.jmylbn.com_新闻资讯_第2张
医讯怎么用【五院医讯】关于支气管镜的检查及治疗 | 运用支气管镜技术处理“卡脖子”问题_https://www.jmylbn.com_新闻资讯_第3张


病例情况


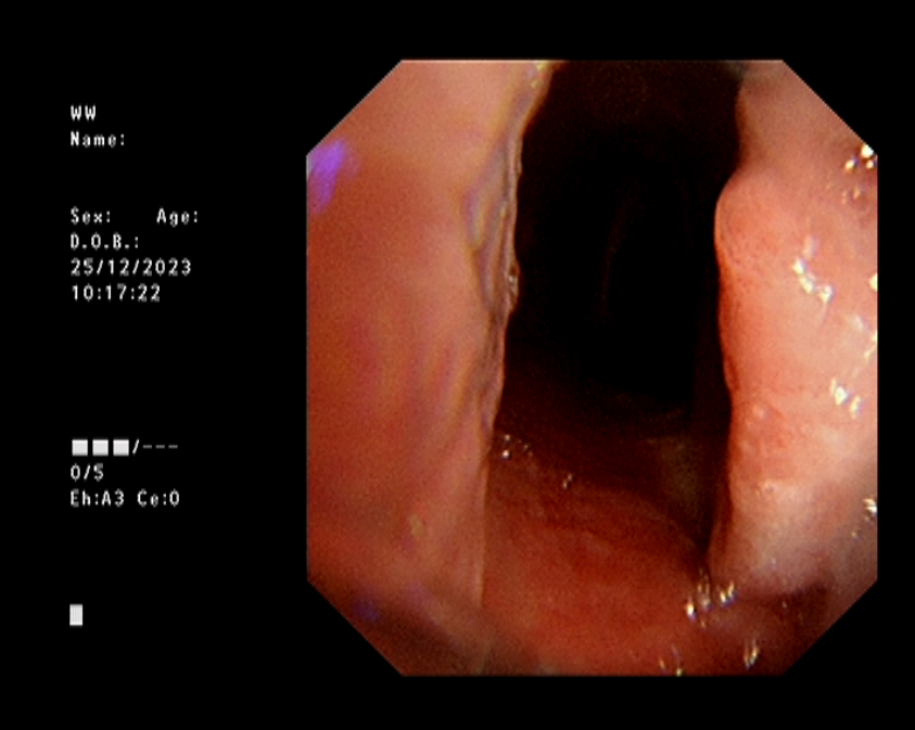
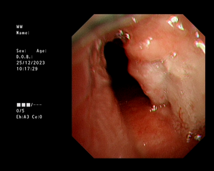
陆大爷因胸闷入院,这几天胸闷情况越来越严重,这让每个呼吸科医护都为陆大爷的生命状况揪着心,经过科内医疗小组的充分评估认为陆大爷符合支气管镜检查指征,决定由胡晨静医生为陆大爷进行支气管镜检查。


医讯怎么用【五院医讯】关于支气管镜的检查及治疗 | 运用支气管镜技术处理“卡脖子”问题_https://www.jmylbn.com_新闻资讯_第4张

支气管镜检查现场照片


陆大爷是一位气管切开术后患者,由于长期气管套管反复刺激,套管口肉芽组织增生堵塞套管口,引起长期痰堵、排痰困难,胡医生在操作过程中对套管进行调整并肉芽肿进行处理,同时对淤积的气道分泌物清理,最终顺利完成此次纤维支气管镜检查,术后陆大爷呼吸困难的状况得到立竿见影的缓解。



关于支气管镜


支气管镜是一种侵入式的检查,很多人会恐惧,但其实像陆大爷这样亲历过的患者就知道整个过程并不痛苦。支气管镜检查的开展,在明确肺部感染、肺部肿瘤、不明原因咳嗽、肺结核、清除气道分泌物等方面起到了很好的辅助诊断和治疗作用,而且也为患者提供了极大的便利。




支气管镜适应症



1、原因不明的咯血或痰中带血;

2、原因不明的咳嗽,尤其是中老年人,难以用支气管炎解释,或者原有的咳嗽性质发生了变化;

3、岀现局限性肺气肿、阻塞性肺炎或肺不张、呼吸困难等情况;

4、胸片或CT检查提示肺内占位性病变;

5、发生原因不明的喉返神经麻痹或膈神经麻痹者;

6、诊断不明的支气管、肺部疾病或弥漫性肺部疾病诊断困难时;

7、需经支气管镜检查,做支气管肺活检、刷检或冲洗等,进行细胞学及细菌学检查者;

8、支气管、肺部感染的治疗,如清除气道内分泌物、感染部位冲洗注药等;

9、肺癌等恶性肿瘤累及气道时的介入治疗,如支架置入等;

10、支气管异物的诊断及取岀异物,清除呼吸道分泌物。


医讯怎么用【五院医讯】关于支气管镜的检查及治疗 | 运用支气管镜技术处理“卡脖子”问题_https://www.jmylbn.com_新闻资讯_第5张
医讯怎么用【五院医讯】关于支气管镜的检查及治疗 | 运用支气管镜技术处理“卡脖子”问题_https://www.jmylbn.com_新闻资讯_第6张


现阶段支气管镜下的检查及治疗,有微创、直接、痛苦小、副作用少、疗效可靠等优点,同时随着麻醉技术的进步,目前还可以选择全麻状态下行支气管镜检查,这样一来患者的舒适感及适应性得到进一步提升。因此,支气管镜检查已经成为呼吸内科临床诊断治疗疾病不可缺少的重要手段。



科室成员简介


医讯怎么用【五院医讯】关于支气管镜的检查及治疗 | 运用支气管镜技术处理“卡脖子”问题_https://www.jmylbn.com_新闻资讯_第7张

王子瑞

吴江区第五人民医院呼吸内科科主任 副主任医师  

吴江区医学会呼吸病学组副主任委员  

苏州市呼吸疾病预防与控制学会委员

长期从事呼吸内科工作,2017于苏大附一院进修学习,发表SCI等各类论文8篇,其中SCI两篇,完成吴江区级课题一项。

擅长:擅长呼吸系统常见病及多发病的规范化诊疗。对肺结节、肺癌早期筛查有一定经验。熟练开展纤维支气管镜检查、胸腔穿刺等操作。

医讯怎么用【五院医讯】关于支气管镜的检查及治疗 | 运用支气管镜技术处理“卡脖子”问题_https://www.jmylbn.com_新闻资讯_第8张

胡晨静

吴江区第五人民医院

副主任医师


东南大学临床医学硕士研究生毕业,从事呼吸内科工作10余年,曾于苏大附一院进修学习,发表论文数篇,临床经验丰富。

擅长:慢性阻塞性肺疾病、社区获得性肺炎、支气管哮喘、支气管扩张等呼吸内科常见病多发病的诊治。熟练开展纤维支气管镜检查、睡眠监测、肺功能解读。

医讯怎么用【五院医讯】关于支气管镜的检查及治疗 | 运用支气管镜技术处理“卡脖子”问题_https://www.jmylbn.com_新闻资讯_第9张

王 聪

吴江区第五人民医院

副主任医师


2009年毕业于江苏大学临床医学,从事呼吸内科十余年,2022年至苏州大学附属第一人民医院呼吸医学科进修。

擅长:慢性阻塞性肺病、呼吸系统感染、呼吸衰竭等呼吸系统常见病、多发病的诊治。熟练开展纤维支气管镜检查、呼吸机、高流量操作,以及呼吸危重症救治及评估。

医讯怎么用【五院医讯】关于支气管镜的检查及治疗 | 运用支气管镜技术处理“卡脖子”问题_https://www.jmylbn.com_新闻资讯_第10张

曹祖义

吴江区第五人民医院

主治医师

2015年毕业于徐州医科大学,从事呼吸内科工作至今。

擅长:慢性阻塞性肺病、哮喘、慢性咳嗽、呼吸系统感染、支气管扩张症、呼吸衰竭等呼吸系统常见病、多发病的诊治。可开展纤维支气管镜检查、呼吸机、高流量操作,以及呼吸危重症救治及评估。

医讯怎么用【五院医讯】关于支气管镜的检查及治疗 | 运用支气管镜技术处理“卡脖子”问题_https://www.jmylbn.com_新闻资讯_第11张

李 丹

吴江区第五人民医院

主治医师


2011年毕业于徐州医科大学临床医学系。从事内科临床工作多年。

擅长:慢性阻塞性肺病、哮喘、慢性咳嗽、呼吸系统感染、支气管扩张症等呼吸系统常见病。可开展纤维支气管镜检查、呼吸机、高流量操作,以及呼吸危重症救治及评估。

医讯怎么用【五院医讯】关于支气管镜的检查及治疗 | 运用支气管镜技术处理“卡脖子”问题_https://www.jmylbn.com_新闻资讯_第12张

冯丹萍

吴江区第五人民医院

副主任医师


2009年毕业于徐州医学院临床医学系,从事呼吸内科十余年,2016年至江苏省人民医院呼吸科进修。

擅长:慢性阻塞性肺病、哮喘、慢性咳嗽、呼吸系统感染、支气管扩张症、呼吸衰竭等呼吸系统常见病、多发病的诊治。



来源 | 呼吸内科

编辑 | 办公室

审核 | 周红明

签发 | 庞永奎


END


医讯怎么用【五院医讯】关于支气管镜的检查及治疗 | 运用支气管镜技术处理“卡脖子”问题_https://www.jmylbn.com_新闻资讯_第13张

医讯怎么用【五院医讯】关于支气管镜的检查及治疗 | 运用支气管镜技术处理“卡脖子”问题_https://www.jmylbn.com_新闻资讯_第14张