
起搏器及起搏心电图领域中,锁骨下挤压综合征(subclavian crush syndrome)并非少见,也是造成起搏器起搏与感知功能障碍的常见原因。
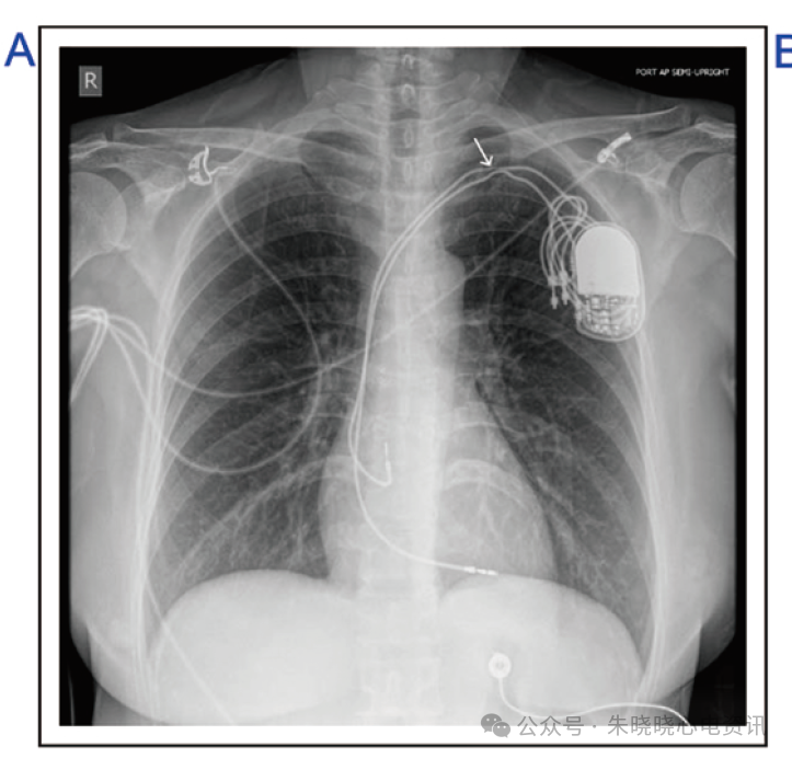
锁骨下挤压综合征是引起起搏功能障碍的一个明确原因,这是起搏电极导线经锁骨下静脉入路进人体内时,因各种原因使其入路位于患者第一肋骨和锁骨间的最窄部位,进而使电极导管在此处受到压迫,引起电极导线的绝缘层破坏或电极导线的断裂,进而引起相应的起搏或感知功能的障碍(图1A、B)。



除在患者胸片可看到电极导线明确受压或断裂外,患者起搏心电图可能存在着明确的起搏或感知功能障碍(图1B)。
图1B 为一例患者植入双腔起搏器后,再发晕厥与心悸症状。从图1B看出,患者的窄QRS 波节律整齐(RR 间期1280ms),P 波规律发生(间期520ms),P 波与QRS 波呈分离状态,而P 波后160ms 处规律跟随着一个心室起搏脉冲,信号后无除极的QRS 波,提示起搏脉冲未能有效起搏心室,同时还能看出,在距自身QRS 波后很近的距离存在着心室起搏脉冲,说明心室感知功能存在障碍。因此,这是一份典型的心室起搏和感知功能障碍的心电图。


结合X 线胸片,起搏心电图表现,再加上随访时测试的参数,使诊断容易。如应用双极电极导线时,端极导线与环极导线之间有绝缘层。
正常情况下,电极导线阻抗为400~1000Ω,当绝缘层破损时,电极导线和人体组织接触可形成短路而使阻抗下降, 当电极阻抗>1200Ω 时,提示电极导线连接不佳或发生了断裂。
(1)电极导线轻度受损时,可通过提高起搏脉冲强度而使起搏有效或增加感知灵敏度而恢复感知功能。
(2)可将双极起搏模式程控为单极起搏模式继续工作,旷置损坏的电极。