为什么医院的纱布不卖纱布在身体里20多年!女子突然发烧、腹痛、掉秤 医院一查让人咋舌

新闻资讯2026-04-17 13:06:37
为什么医院的纱布不卖纱布在身体里20多年!女子突然发烧、腹痛、掉秤 医院一查让人咋舌_https://www.jmylbn.com_新闻资讯_第1张

为什么医院的纱布不卖纱布在身体里20多年!女子突然发烧、腹痛、掉秤 医院一查让人咋舌_https://www.jmylbn.com_新闻资讯_第2张



那是一块丢失的纱布。



20多年前,一名健忘的医生在一次手术中把一块纱布留在了一名女子的肠子里。2022年7月,《cure医学杂志》发表了一项详细描述她手术失误的案例研究。


关于这一骇人听闻的医疗事故,作者写道:“20年来,患者腹腔内存在一个相当大的异物,但完全没有症状。


为什么医院的纱布不卖纱布在身体里20多年!女子突然发烧、腹痛、掉秤 医院一查让人咋舌_https://www.jmylbn.com_新闻资讯_第3张

这名65岁的患者患有一种罕见的胃粘膜腺癌,在1999年接受了一系列手术以清清除所有癌细胞,并做了一些列的康复治疗


据报道,她在接受化疗前接受了胃切除术和大网膜切除术。


为什么医院的纱布不卖纱布在身体里20多年!女子突然发烧、腹痛、掉秤 医院一查让人咋舌_https://www.jmylbn.com_新闻资讯_第4张


虽然她最终被宣布癌症治愈,但似乎是外科医生在手术过程中不小心落下了什么东西。


然而,在术后的这20多年来,女子并没有感到任何不对劲的地方。


直到20年后,有两天突然开始剧烈的腹痛、发烧、盗汗和右下肢体肿胀,还同时患有莫名的厌食症,导致女子减掉了17磅,差不多轻了她体重的10%。


为什么医院的纱布不卖纱布在身体里20多年!女子突然发烧、腹痛、掉秤 医院一查让人咋舌_https://www.jmylbn.com_新闻资讯_第5张


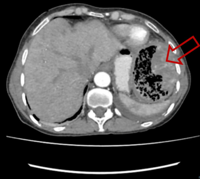
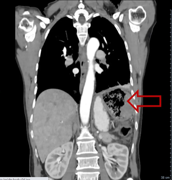
这名患者对突然出现的症状感到惊恐,于是赶紧去看医生。超声波扫描显示她的腹部有一大块纱布。医生们认为,这个黏糊糊的东西应该是在20多年前的手术中留在她的结肠里的。


为什么医院的纱布不卖纱布在身体里20多年!女子突然发烧、腹痛、掉秤 医院一查让人咋舌_https://www.jmylbn.com_新闻资讯_第6张

幸运的是,纱布没有在很难搞的地方,外科医生给她做了一个小手术,将这团纱布取了出来(上图)。


据图片显示,这团纱布看起来很硬,呈棕色,就像古代木乃伊的包裹。


有趣的是,在过去的20年里,在病人预约的各种扫描结果中都出现了这个纱布,然而,她并不知道,因为医生也从未分析过这些报告。


不仅如此,这名患者在20年的大部分时间里都没有表现出任何症状。


为什么医院的纱布不卖纱布在身体里20多年!女子突然发烧、腹痛、掉秤 医院一查让人咋舌_https://www.jmylbn.com_新闻资讯_第7张


该案例研究的作者没有透露患者来自哪里,也没有透露她在哪里接受治疗。



点击关注视频号

为什么医院的纱布不卖纱布在身体里20多年!女子突然发烧、腹痛、掉秤 医院一查让人咋舌_https://www.jmylbn.com_新闻资讯_第8张

更多精彩新闻



-END-
今日汇率:
1美元=6.98人民币

为什么医院的纱布不卖纱布在身体里20多年!女子突然发烧、腹痛、掉秤 医院一查让人咋舌_https://www.jmylbn.com_新闻资讯_第9张