医用胶片怎么看我为群众办实事 | 手机扫一扫,拍片结果随时随地看!我院“智能云胶片”让您体验便捷服务

新闻资讯2026-04-21 04:07:04


医用胶片怎么看我为群众办实事 | 手机扫一扫,拍片结果随时随地看!我院“智能云胶片”让您体验便捷服务_https://www.jmylbn.com_新闻资讯_第1张

点击蓝字,关注更多医院资讯

医用胶片怎么看我为群众办实事 | 手机扫一扫,拍片结果随时随地看!我院“智能云胶片”让您体验便捷服务_https://www.jmylbn.com_新闻资讯_第2张




HI,智能云胶片你知道吗~



胶片即存即取、即用即看



您在就诊时

是否遇到过这样的烦恼

↓↓↓

医用胶片怎么看我为群众办实事 | 手机扫一扫,拍片结果随时随地看!我院“智能云胶片”让您体验便捷服务_https://www.jmylbn.com_新闻资讯_第3张

“我太难了”







我院加大推进信息化建设,增加了多元化的线上服务,于2022年初上线了全电子化患者影像服务,即“智能云胶片”服务。目前,“智能云胶片”已投入使用一年,切实优化了患者就医流程,有效减少了复诊等待时间,在患者中反响良好。

不少患者表示,以前拍完片子要等一到两个小时片子出来了才拿给医生看结果,现在方便多了。“拍片子十分钟就传到医生电脑上了,直接过去就能看结果,看病比以前快多了!”


一机在手,随时随地阅片


云胶片是相对于传统塑料胶片的一种信息化升级,是储存在云空间的电子胶片,是“互联网+”技术在医疗中的应用。只要扫描二维码,患者就可以随时随地轻松看到拍片影像,快捷又方便。实现胶片即存即取、即用即看、智能终端调阅等功能,达到无线联接患者、医生和医院的作用。

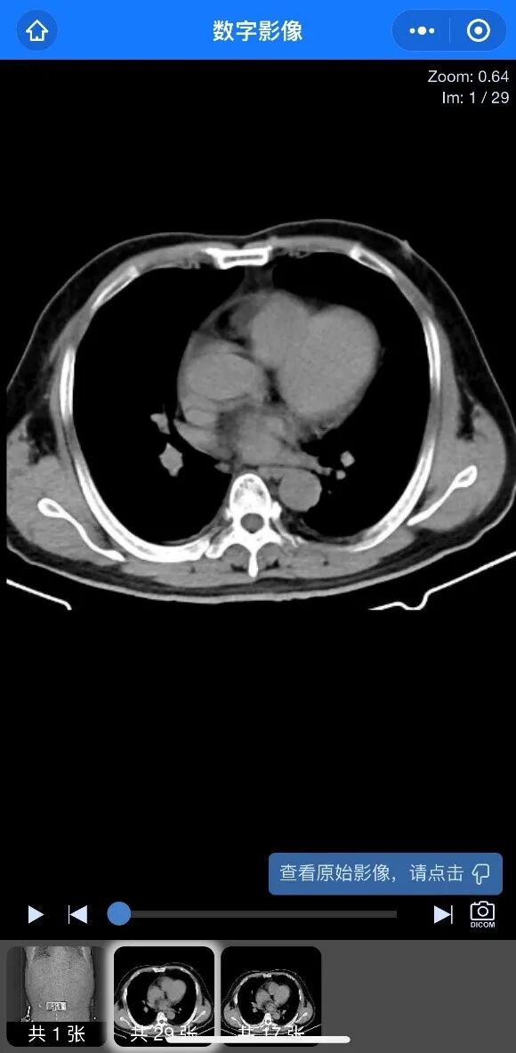
云胶片能够提供原始DICOM影像,具备快速检索、跨院调阅、简易操作等特性,为远程会诊、异地转诊和分级诊疗提供支撑。云胶片的实施,将优化医疗服务流程,为患者提供会诊便利。



获 取 方 式
医用胶片怎么看我为群众办实事 | 手机扫一扫,拍片结果随时随地看!我院“智能云胶片”让您体验便捷服务_https://www.jmylbn.com_新闻资讯_第4张

1. 扫描登记台发放条码右侧二维码


医用胶片怎么看我为群众办实事 | 手机扫一扫,拍片结果随时随地看!我院“智能云胶片”让您体验便捷服务_https://www.jmylbn.com_新闻资讯_第5张


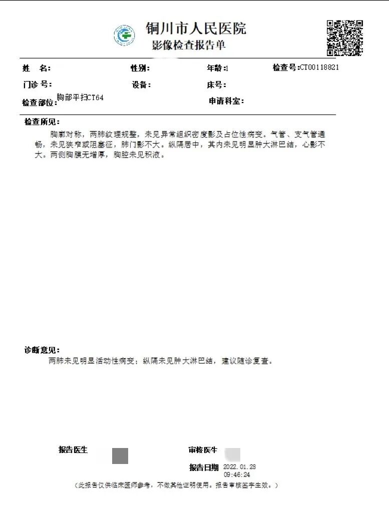
2. 扫描报告单右上角的二维码


医用胶片怎么看我为群众办实事 | 手机扫一扫,拍片结果随时随地看!我院“智能云胶片”让您体验便捷服务_https://www.jmylbn.com_新闻资讯_第6张


“云胶片”信息界面

医用胶片怎么看我为群众办实事 | 手机扫一扫,拍片结果随时随地看!我院“智能云胶片”让您体验便捷服务_https://www.jmylbn.com_新闻资讯_第7张
医用胶片怎么看我为群众办实事 | 手机扫一扫,拍片结果随时随地看!我院“智能云胶片”让您体验便捷服务_https://www.jmylbn.com_新闻资讯_第8张





温 馨 提 示
医用胶片怎么看我为群众办实事 | 手机扫一扫,拍片结果随时随地看!我院“智能云胶片”让您体验便捷服务_https://www.jmylbn.com_新闻资讯_第4张

1、原始图像数据量大,有时会存在一定的延时,可以晚些时候再尝试打开页面。

2、患者来院就诊时务必登记正确的手机号码,否则会影响短信接收;如果手机号码有变动,请及时到医院人工挂号窗口更新。

3、如遇特殊情况需要传统医用胶片,医院目前仍然可以提供。


影像科联系方式:
南院 0919-3582069
北院 0919-2159826






医用胶片怎么看我为群众办实事 | 手机扫一扫,拍片结果随时随地看!我院“智能云胶片”让您体验便捷服务_https://www.jmylbn.com_新闻资讯_第10张

图文 | 铜川市人民医院

来源 | 医学影像科

编辑 | 宣传科

投稿邮箱 | 306446369@qq.com


医用胶片怎么看我为群众办实事 | 手机扫一扫,拍片结果随时随地看!我院“智能云胶片”让您体验便捷服务_https://www.jmylbn.com_新闻资讯_第11张





门诊时间:

8:00---12:00  14:00---17:30

儿科:24小时(全天候服务)

急诊:24小时(全天候服务)

北院区门诊咨询:0919-2159812

南院区门诊咨询:0919-3582027

(支持电话预约挂号)

预约挂号方式:

微信公众号预约、电话预约、自助机预约、窗口挂号


南院区发热门诊联系电话:0919-3582557

北院区发热门诊联系电话:0919-2159180


急救电话(胸痛、卒中、创伤中心):

南院区 0919-3160120

北院区 0919-2159120


铜川市人民医院官网:

http://www.tcsrmyy.com.cn/

医院地址:

铜川市新区鸿基路西段(南院区)

铜川市王益区健康路12号(北院区)