动脉长鞘怎么置入桡胜一筹丨杨敏教授团队:应用Brite Tip Radianz长鞘经远桡动脉治疗肾动脉狭窄一例

新闻资讯2026-04-21 02:53:06
动脉长鞘怎么置入桡胜一筹丨杨敏教授团队:应用Brite Tip Radianz长鞘经远桡动脉治疗肾动脉狭窄一例_https://www.jmylbn.com_新闻资讯_第1张
动脉长鞘怎么置入桡胜一筹丨杨敏教授团队:应用Brite Tip Radianz长鞘经远桡动脉治疗肾动脉狭窄一例_https://www.jmylbn.com_新闻资讯_第2张


当外周介入的探索遭遇技术壁垒,当传统入路的局限桎梏临床进阶,一根薄壁大腔、能够稳定精准抵达目标血管的经桡长鞘,正撕开创新突破的新维度。


为了更好的展示外周介入经桡精彩病例,血管资讯特别推出“桡胜一筹——Cordis 外周介入经桡创新病例汇”,以 “桡” 为钥,解锁外周介入的创新路径;以病例为证,镌刻器械革新与临床智慧的碰撞火花。本专栏旨在通过病例分享、分析与讨论,助力医师积累经验、拓展思路,用技术突破定义外周介入的新高度,用精准诊疗书写患者获益的新篇章。本期专栏为大家带来应用Brite Tip RADIANZ经远桡动脉治疗肾动脉狭窄。相比桡动脉,经远桡动脉入路在患者体感、伤口处理、减少并发症等方面更具优势。病例由北京大学第一医院介入血管外科杨敏教授团队闫子光副主任医师完成,欢迎阅读分享,共同交流学习。


动脉长鞘怎么置入桡胜一筹丨杨敏教授团队:应用Brite Tip Radianz长鞘经远桡动脉治疗肾动脉狭窄一例_https://www.jmylbn.com_新闻资讯_第3张


动脉长鞘怎么置入桡胜一筹丨杨敏教授团队:应用Brite Tip Radianz长鞘经远桡动脉治疗肾动脉狭窄一例_https://www.jmylbn.com_新闻资讯_第4张

01.病情介绍

动脉长鞘怎么置入桡胜一筹丨杨敏教授团队:应用Brite Tip Radianz长鞘经远桡动脉治疗肾动脉狭窄一例_https://www.jmylbn.com_新闻资讯_第4张


患者:

女,68岁。



主诉:

血压升高10月余,控制不佳1月余。



现病史:

患者19余年前因头部不适发现血压升高,收缩压最高为140-150mmHg,自行口服降压药物(具体不详),未规律检测血压。近1月余血压控制欠佳,血压波动于120-190/60-120mmHg,伴头晕,无胸闷憋气、心悸气促,无头痛,无腰痛、尿急、尿痛、血尿等不适,就诊于当地医院,完善相关检查,行肾动脉彩超提示:右肾动脉起始处流速增快,考虑狭窄,行肾动脉造影后续治疗未成功,术后患者发生血管迷走反应,予以对症治疗后症状好转,病情平稳后出院。

出院后予硝苯地平控释片30mg qd、富马酸比索洛尔2.5mg qn,血压波动于收缩压140-160mmHg,舒张压具体不详。现患者为求进一步治疗,遂至我院门诊就诊,发病以来患者精神睡眠食纳可,大小便正常。



既往史:

  • 脑梗4年余;

  • 否认糖尿病、肾病病史;否认肝炎、结核等传染病史;无外伤史、其他手术史及输血、血制品史,否认药物或食物过敏史。



个人史:

出生于原籍,无疫区接触史及地方病史。无烟酒等不良嗜好。无冶游史。



诊断:

肾动脉狭窄;高血压病3级(极高危);陈旧性脑梗死;既往脑出血;高脂血症


动脉长鞘怎么置入桡胜一筹丨杨敏教授团队:应用Brite Tip Radianz长鞘经远桡动脉治疗肾动脉狭窄一例_https://www.jmylbn.com_新闻资讯_第4张

02.术前评估

动脉长鞘怎么置入桡胜一筹丨杨敏教授团队:应用Brite Tip Radianz长鞘经远桡动脉治疗肾动脉狭窄一例_https://www.jmylbn.com_新闻资讯_第4张

双肾、双侧肾动脉超声提示:右肾大小约9.4*3.2cm,右肾动脉主干狭窄>60%,血流加速,最大流速2.20m/s,RI为0.63。



外院造影:

右肾动脉重度狭窄

动脉长鞘怎么置入桡胜一筹丨杨敏教授团队:应用Brite Tip Radianz长鞘经远桡动脉治疗肾动脉狭窄一例_https://www.jmylbn.com_新闻资讯_第8张
动脉长鞘怎么置入桡胜一筹丨杨敏教授团队:应用Brite Tip Radianz长鞘经远桡动脉治疗肾动脉狭窄一例_https://www.jmylbn.com_新闻资讯_第9张


动脉长鞘怎么置入桡胜一筹丨杨敏教授团队:应用Brite Tip Radianz长鞘经远桡动脉治疗肾动脉狭窄一例_https://www.jmylbn.com_新闻资讯_第4张

03.病例特点

动脉长鞘怎么置入桡胜一筹丨杨敏教授团队:应用Brite Tip Radianz长鞘经远桡动脉治疗肾动脉狭窄一例_https://www.jmylbn.com_新闻资讯_第4张

患者高龄、高血压病3级(极高危)、陈旧性脑梗、依据患者术前超声提示右肾动脉主干狭窄。考虑该患者经股穿刺难度较大且远桡穿刺对患者体验感好,故选择经远桡穿刺入路完成治疗。



难点:

1.患者主动脉解剖结构走形迂曲,且肾动脉同主动脉夹角较大,选择常规股动脉穿刺入路存在困难;

2.患者远桡及桡动脉管径纤细,可能损伤血管。


动脉长鞘怎么置入桡胜一筹丨杨敏教授团队:应用Brite Tip Radianz长鞘经远桡动脉治疗肾动脉狭窄一例_https://www.jmylbn.com_新闻资讯_第4张

04.治疗策略

动脉长鞘怎么置入桡胜一筹丨杨敏教授团队:应用Brite Tip Radianz长鞘经远桡动脉治疗肾动脉狭窄一例_https://www.jmylbn.com_新闻资讯_第4张

入路开通策略

动脉长鞘怎么置入桡胜一筹丨杨敏教授团队:应用Brite Tip Radianz长鞘经远桡动脉治疗肾动脉狭窄一例_https://www.jmylbn.com_新闻资讯_第14张

远桡动脉穿刺,经弓上动脉进入右侧肾动脉


器械选择计划

动脉长鞘怎么置入桡胜一筹丨杨敏教授团队:应用Brite Tip Radianz长鞘经远桡动脉治疗肾动脉狭窄一例_https://www.jmylbn.com_新闻资讯_第14张

血管鞘(Cordis Brite Tip RADIANZ 6F薄壁长鞘)、麦瑞通导管鞘、0.035导丝、0.014导丝、0.018导丝、多功能5F造影导管、3*40mmPTA快速交换球囊扩张导管、CWB60605L-18震波球囊


动脉长鞘怎么置入桡胜一筹丨杨敏教授团队:应用Brite Tip Radianz长鞘经远桡动脉治疗肾动脉狭窄一例_https://www.jmylbn.com_新闻资讯_第4张

05.手术过程

动脉长鞘怎么置入桡胜一筹丨杨敏教授团队:应用Brite Tip Radianz长鞘经远桡动脉治疗肾动脉狭窄一例_https://www.jmylbn.com_新闻资讯_第4张

1. 患者仰卧位,左手内旋自然状态置于腹部,左手弯向病人的右腹股沟,左上肢常规消毒铺巾,暴露左手。左侧鼻烟壶处注射2ml利多卡因,使用微穿针以改良的Seldinger法向左侧远桡动脉动脉搏动最强处穿刺,穿刺成功后先置4F短鞘,将猪尾导管选至降主动脉后引入加硬导丝,再交换引入Cordis 6F薄壁长鞘。

动脉长鞘怎么置入桡胜一筹丨杨敏教授团队:应用Brite Tip Radianz长鞘经远桡动脉治疗肾动脉狭窄一例_https://www.jmylbn.com_新闻资讯_第18张
动脉长鞘怎么置入桡胜一筹丨杨敏教授团队:应用Brite Tip Radianz长鞘经远桡动脉治疗肾动脉狭窄一例_https://www.jmylbn.com_新闻资讯_第19张


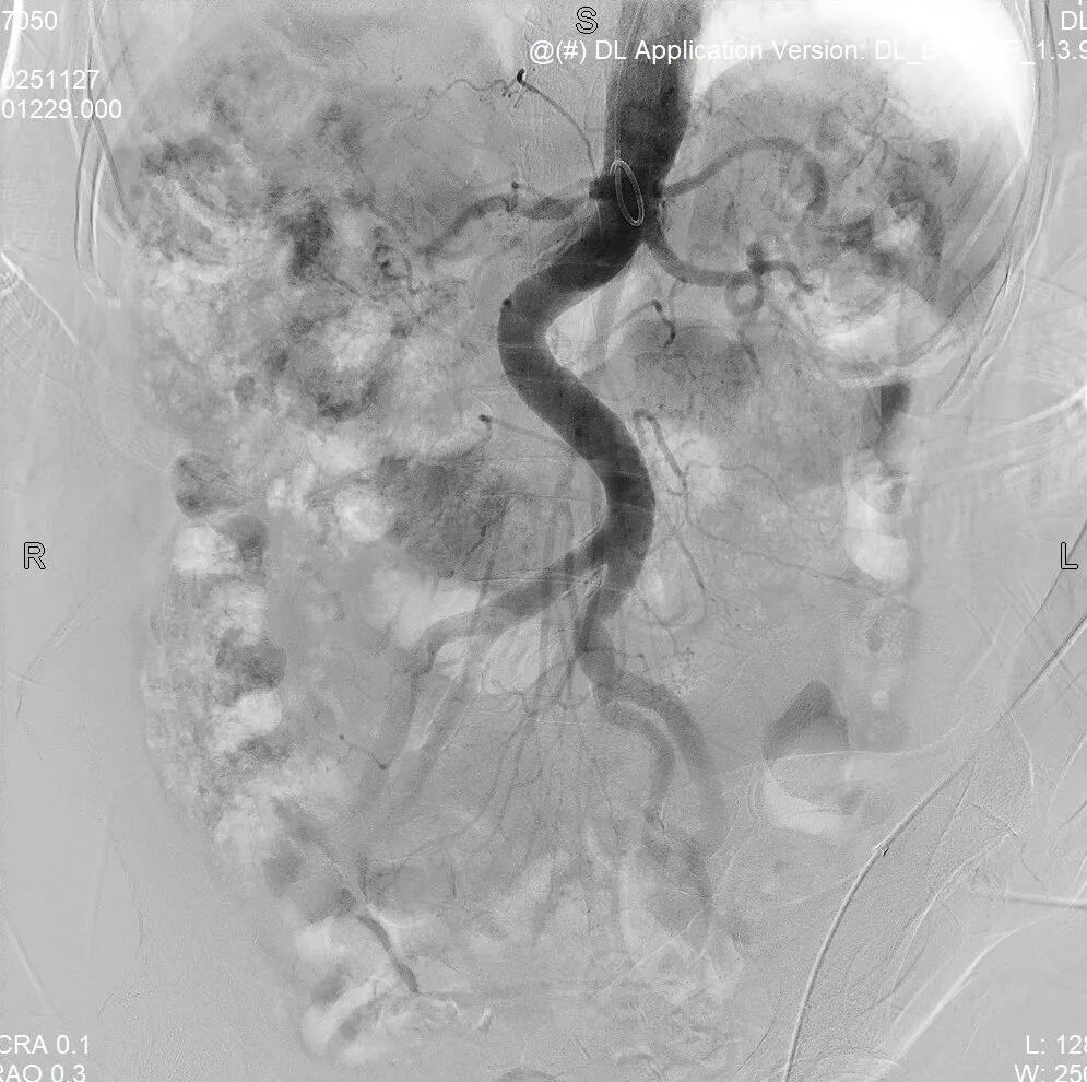
2.导管配合0.035导丝进入腹主动脉下端,造影示:腹主动脉走形迂曲,血流通畅,右肾动脉主干起始段重度狭窄>90%,远端及分支显影浅淡。

动脉长鞘怎么置入桡胜一筹丨杨敏教授团队:应用Brite Tip Radianz长鞘经远桡动脉治疗肾动脉狭窄一例_https://www.jmylbn.com_新闻资讯_第20张


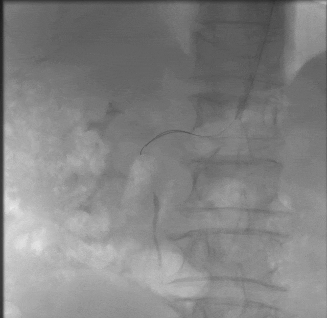
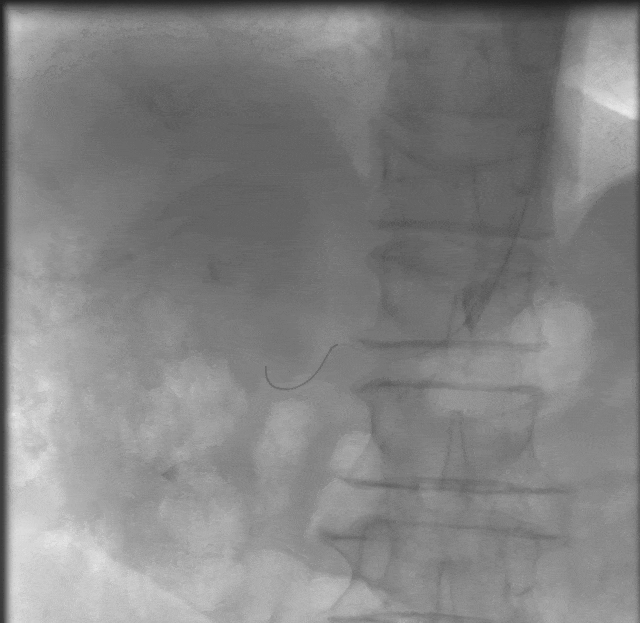
3.换鞘管后引入导丝及导管置于右肾动脉开口处,冒烟确定右肾动脉位置,换0.014in及0.018in导丝通过狭窄段后置于右肾动脉远端分支,经导丝引入3*40mmPTA快速交换球囊预扩狭窄段。

动脉长鞘怎么置入桡胜一筹丨杨敏教授团队:应用Brite Tip Radianz长鞘经远桡动脉治疗肾动脉狭窄一例_https://www.jmylbn.com_新闻资讯_第21张
动脉长鞘怎么置入桡胜一筹丨杨敏教授团队:应用Brite Tip Radianz长鞘经远桡动脉治疗肾动脉狭窄一例_https://www.jmylbn.com_新闻资讯_第22张


4.导丝支撑下交换引入CWB60605L-18震波球囊扩张右肾动脉狭窄段,完毕后复查造影示右肾动脉通畅,血管残余狭窄<20%,扩张效果满意,术毕。

动脉长鞘怎么置入桡胜一筹丨杨敏教授团队:应用Brite Tip Radianz长鞘经远桡动脉治疗肾动脉狭窄一例_https://www.jmylbn.com_新闻资讯_第23张
动脉长鞘怎么置入桡胜一筹丨杨敏教授团队:应用Brite Tip Radianz长鞘经远桡动脉治疗肾动脉狭窄一例_https://www.jmylbn.com_新闻资讯_第24张


动脉长鞘怎么置入桡胜一筹丨杨敏教授团队:应用Brite Tip Radianz长鞘经远桡动脉治疗肾动脉狭窄一例_https://www.jmylbn.com_新闻资讯_第4张

06.术后

动脉长鞘怎么置入桡胜一筹丨杨敏教授团队:应用Brite Tip Radianz长鞘经远桡动脉治疗肾动脉狭窄一例_https://www.jmylbn.com_新闻资讯_第4张

患者血压较术前明显改善,小于130mmHg。


用药方案


阿司匹林  

硫酸氯吡格雷

富马酸比索洛尔

硝苯地平控释片

阿托伐他汀钙片

100 mg qd

75mg qd

2.5mg qn

30mg qd

20mg qn


动脉长鞘怎么置入桡胜一筹丨杨敏教授团队:应用Brite Tip Radianz长鞘经远桡动脉治疗肾动脉狭窄一例_https://www.jmylbn.com_新闻资讯_第4张

07.术后小结

动脉长鞘怎么置入桡胜一筹丨杨敏教授团队:应用Brite Tip Radianz长鞘经远桡动脉治疗肾动脉狭窄一例_https://www.jmylbn.com_新闻资讯_第4张

为给患者更好的术后感受,选择从远桡动脉入路,术前评估左侧鼻烟壶处搏动良好,采用微穿刺技术顺利完成穿刺并置入鞘管。但远桡入路穿刺对术者仍存在难度。本例术中造影证实桡动脉纤细,采用常规方法置入6F短鞘有可能引起桡动脉痉挛,有进一步损伤桡动脉的风险。


本例手术经远桡动脉选用长鞘以补偿路径较长、弯曲多的不足。与常规短鞘相比,本次所用长鞘鞘管外径相对较细,在保证足够内径的前提下与肾动脉导管型号匹配良好,鞘管内径与导管外径之间基本无明显“台阶”,器械在系统内前送和回撤时过渡更加平滑,可降低导丝、球囊或支架在接口处发生卡顿、顶不前或折返的风险,同时因鞘管顺应性较好,对上肢动脉及主动脉弓弯曲血管的贴合度较佳,有利于减轻对血管壁的机械刺激,减少血管痉挛和内膜损伤的可能性。另一方面,长鞘沿途提供了更长段的支撑,在通过主动脉弓及降主动脉后仍能维持对导管系统的整体支撑力和稳定性,有助于改善导管在肾动脉开口处的稳定性和同轴度,便于器械精准跨越病变及定位释放,减少反复调整导管位置的需求,整体上提升了远桡入路下肾动脉腔内成形术的操作顺畅度与可控性。


左侧远桡入路术者在右侧操作的时候,左手平放于腹部是一个自然体位。110cm的长鞘的长度正好能够满足髂动脉及以上所有腹腔降主动脉分支的介入治疗的需求。

动脉长鞘怎么置入桡胜一筹丨杨敏教授团队:应用Brite Tip Radianz长鞘经远桡动脉治疗肾动脉狭窄一例_https://www.jmylbn.com_新闻资讯_第29张
动脉长鞘怎么置入桡胜一筹丨杨敏教授团队:应用Brite Tip Radianz长鞘经远桡动脉治疗肾动脉狭窄一例_https://www.jmylbn.com_新闻资讯_第30张
动脉长鞘怎么置入桡胜一筹丨杨敏教授团队:应用Brite Tip Radianz长鞘经远桡动脉治疗肾动脉狭窄一例_https://www.jmylbn.com_新闻资讯_第31张



BRITE TIP RADIANZ™ 经桡长鞘已获批上市

产品介绍:

一款用于通过桡动脉将介入和/或诊断器械输送到外周血管的6F长鞘;

提供110cm和135cm两种工作长度选择;

匹配0.035“导丝系统;



很安全:降低桡动脉痉挛风险

● 可视高亮柔软的无创头端

● 全管身亲水涂层包被

● 薄壁鞘设计

动脉长鞘怎么置入桡胜一筹丨杨敏教授团队:应用Brite Tip Radianz长鞘经远桡动脉治疗肾动脉狭窄一例_https://www.jmylbn.com_新闻资讯_第32张


超有效:建立强支撑的稳定通路

● 钢丝编织中层和尼龙外层保证支撑性

● 大内腔为治疗器械提供操作便利的平台

动脉长鞘怎么置入桡胜一筹丨杨敏教授团队:应用Brite Tip Radianz长鞘经远桡动脉治疗肾动脉狭窄一例_https://www.jmylbn.com_新闻资讯_第33张


易操作:强扭控性能便于术者操作

● 钢丝编织中层和多节段设计保证强扭控性

● 长鞘近端10-20mm的非亲水结构提升扭控能力

动脉长鞘怎么置入桡胜一筹丨杨敏教授团队:应用Brite Tip Radianz长鞘经远桡动脉治疗肾动脉狭窄一例_https://www.jmylbn.com_新闻资讯_第34张

专家介绍

杨敏

北京大学第一医院

动脉长鞘怎么置入桡胜一筹丨杨敏教授团队:应用Brite Tip Radianz长鞘经远桡动脉治疗肾动脉狭窄一例_https://www.jmylbn.com_新闻资讯_第35张

北京大学第一医院介入血管外科主任,主任医师,副教授,博士研究生导师,擅长下肢动脉疾病,颈动脉及弓上动脉疾病,主动脉疾病,内脏血管疾病的腔内治疗,目前年手术量600余台。第一作者或责任作者发表SCI论文30余篇。获得国家发明专利一项,主持省部级基金两项。

学术兼职:北京医师协会血管外科专科医师分会青年委员会副主任委员;北京医学会血管外科学分会第五届委员会常委;北京医学会介入医学分会第一届委员会外周血管介入学组副组长;国家卫生健康委能力建设和继续教育介入医学专家委员会委员;国家卫生健康委能力建设和继续教育介入医学专家委员会外周血管疾病专家组副组长;中国人体健康科技促进会血管外科学专业委员会副主任委员;国际血管联盟(international union of angiology)中国分会青年委员会副主任委员;国际血管联盟中国分会下肢动脉专家委员会副主任委员;中华医学会放射学分会介入放射学组委员;中华医学会放射学分会第十五届委员会介入学组外周血管介入专业委员会副主任委员;中华血管外科培训工程专家委员会副主任委员;中国医师协会介入医师分会青年委员会委员;中国医师协会血管外科医师分会委员;中国医师协会腔内血管学专业委员会青年委员;北京医学会血管外科分会委员;北京医师协会血管外科专科医师分会常务理事;中国心胸血管麻醉学会血管分会常务委员;中国研究型医院学会血管医学专业委员会委员;中日医学科技交流协会血管外科学分会常委。


闫子光

北京大学第一医院

动脉长鞘怎么置入桡胜一筹丨杨敏教授团队:应用Brite Tip Radianz长鞘经远桡动脉治疗肾动脉狭窄一例_https://www.jmylbn.com_新闻资讯_第36张

副主任医师

2006年入北京大学,2014年博士毕业于北京大学医学部

主要从事腔内血管外科工作,包括脑血管病、外周动脉、静脉疾病的介入治疗,尤其擅长困难下肢动脉闭塞、颈动脉狭窄、锁骨下动脉闭塞、肾动脉狭窄及闭塞、肾动脉瘤等疾病的介入手术。年介入手术量500余台。


常俊旭

北京大学第一医院

动脉长鞘怎么置入桡胜一筹丨杨敏教授团队:应用Brite Tip Radianz长鞘经远桡动脉治疗肾动脉狭窄一例_https://www.jmylbn.com_新闻资讯_第37张

北京大学医学部2024级硕士研究生

版权声明:本平台旨在帮助医疗卫生专业人士更好地了解相关疾病领域最新进展。本平台对发布的资讯内容,并不代表同意其描述和观点,仅为提供更多信息。若涉及版权问题,烦请权利人与我们联系,我们将尽快处理。仅供医疗卫生专业人士为了解资讯使用,该等信息不能以任何方式取代专业的医疗指导,也不应被视为诊疗建议。如该等信息被用于了解资讯以外的目的,本平台及作者不承担相关责任。合作联系邮箱:vascular@edoctor.work。

动脉长鞘怎么置入桡胜一筹丨杨敏教授团队:应用Brite Tip Radianz长鞘经远桡动脉治疗肾动脉狭窄一例_https://www.jmylbn.com_新闻资讯_第38张