刮匙怎么使用HPV疫苗打完就安全了吗?男生要打吗?几岁打最有用?一文讲清

新闻资讯2026-04-21 02:31:15
刮匙怎么使用HPV疫苗打完就安全了吗?男生要打吗?几岁打最有用?一文讲清_https://www.jmylbn.com_新闻资讯_第1张
送花不送“疣菜花”


很多人都听说过HPV,不少女性也在考虑、或已经注射HPV疫苗来预防宫颈癌。HPV究竟是什么?为什么会引起宫颈癌?还有什么其他危害?有必要花钱打疫苗吗?选哪一种?几岁打?男性需要打吗?……事实上, HPV的感染率之高,影响人群之广,恐怕超出了大多数人的想象,非常有必要了解一下。

三难病毒:难看,难受,难察觉


HPV全名叫人乳头瘤病毒(Human papillomavirus),是指一类可以感染人的乳头瘤病毒,属于阿尔法乳头瘤病毒属(Alpha papillomavirus)。根据国际病毒分类委员会(ICTV)2019年决议,目前已知阿尔法乳头瘤病毒有14种(species),根据这些病毒基因组遗传信息的差异,可以继续细分为不同的病毒基因型(genotype),并用数字编号,目前已知有170多种HPV基因型,比如HPV16型是阿尔法乳头瘤病毒9的一种基因型,而HPV18型属于阿尔法乳头瘤病毒7。

HPV病毒颗粒较小,直径60纳米,结构简单,是一类没有包膜的病毒,仅由双链DNA基因组和衣壳蛋白组成,基因组长度约7500bp左右(图1)

刮匙怎么使用HPV疫苗打完就安全了吗?男生要打吗?几岁打最有用?一文讲清_https://www.jmylbn.com_新闻资讯_第2张 图1. HPV结构:左为模式图,右为电镜图,主要显示的是HPV的蛋白衣壳


HPV感染可以说是最常见的病毒感染,人的一生中几乎都会感染一种或者几种不同的HPV,往往是从活跃的性行为开始后几个月内就感染了。Papillomavirus一词来源于拉丁语“papilla”乳头、脓疱 + 希腊后缀“-oma”肿瘤 + “virus ”病毒,顾名思义,乳头瘤病毒会引起乳头状的瘤。事实上,上百种HPV造成的后果不尽相同,总的来说, HPV可以让感染者“难以察觉”或 “难看”、“难受”,一旦导致癌症,还可能危害生命。

刮匙怎么使用HPV疫苗打完就安全了吗?男生要打吗?几岁打最有用?一文讲清_https://www.jmylbn.com_新闻资讯_第3张
乳头状瘤,是不是看起来没啥大不了的?
 
难以察觉:HPV成员庞杂,大多数HPV感染后会被人体免疫系统所清除、且并不导致疾病,因此感染多数低风险的HPV并不会导致可见或可感受到的不适。

难看:皮肤、口腔、生殖器及肛门的疣状赘生物。比如普通疣、扁平疣、跖疣、乳头状瘤等,奇形怪状五花八门,最夸张的疣状表皮痣增生患者能长成Groot。某些低风险的HPV会在生殖器、肛门、口咽部等处造成疣状增生。这些疣通常不痛不痒,但是很影响美观啊啊啊,不管长在自己身上,还是长在别人身上,瞅一眼就浑身发抖。笔者在搜图的时候遭到了无数精神攻击。

刮匙怎么使用HPV疫苗打完就安全了吗?男生要打吗?几岁打最有用?一文讲清_https://www.jmylbn.com_新闻资讯_第4张
Hello, I am Groot.

难受:喉部乳头状瘤、尖锐湿疣、肛门发育不良。导致上述疾病的HPV通常是性传播型HPV,这些HPV引起的疾病就不只是难看了,均有一定的瘙痒或疼痛感,附带精神攻击魔法属性。作者搜集图片、接受完精神攻击之后,决定不放图。

如果导致上述疾病的是某些凶险的特定HPV型,则这些疾病可能会进一步恶化为癌症。

表1. HPV引起的疾病,及疾病常见HPV基因型
刮匙怎么使用HPV疫苗打完就安全了吗?男生要打吗?几岁打最有用?一文讲清_https://www.jmylbn.com_新闻资讯_第5张

接下来我们按照由重到轻的顺序依次了解一下宫颈癌等HPV相关的癌症、STD尖锐湿疣和疣。毕竟,保命要紧。

HPV诱发的癌症


在170多种(这里的“种”是指的基因型的种类,而非“物种”,下同)HPV中,有40多种是通过性行为传播的。其中,大多数只是引起生殖器、肛门、口咽部的疣状凸起,但还有十几种是高危型的HPV,持续感染数年后可能会发展为癌症。

与癌症风险相关的HPV主要有18种(不同地方报道数量有所出入,本文取合集),根据致癌几率,或者在癌症组织中检测到的频率,可以将这些HPV的致癌风险分为三个等级:

高危:16, 18, 31, 45

危险:33, 35, 39, 51, 52, 56, 58, 59

风险:26, 53, 66, 68, 73, 82


HPV16和HPV18是最危险的HPV种类,世界范围内 65%-85%的宫颈癌是由这两种HPV引起的。除了引起宫颈癌之外,HPV还可造成女性阴道和外阴癌症、男性阴茎癌,也可引起肛门癌、口咽癌。HPV引起的癌症,最常见的是女性宫颈癌及男性口咽癌(图2)此外,HPV也与肺癌有关。
 
刮匙怎么使用HPV疫苗打完就安全了吗?男生要打吗?几岁打最有用?一文讲清_https://www.jmylbn.com_新闻资讯_第6张
图2. 由HPV不同型引起的年新增癌症数量及比例(美国CDC根据2013-2017年数据估算)。HPV造成的癌症中80%由16和18两种型导致的。


宫颈癌是全球第四大女性癌症(前三位为乳腺癌、结直肠癌、肺癌),2020年新增病例60万。每年全球约有30万宫颈癌死亡病例,占癌症死亡人数7.5%,其中超过85%发生在中低收入国家。我国2020年宫颈癌新增病例11万人,死亡6万人,均居我国癌症发病和死亡人数的前十位。

Tips:子宫颈是什么、在哪里?


子宫颈(cervix)位于子宫底部,长约2.5-3厘米,形状是圆柱形或圆锥形,上端连接子宫,下端开口突出于阴道底部(图3)

 

刮匙怎么使用HPV疫苗打完就安全了吗?男生要打吗?几岁打最有用?一文讲清_https://www.jmylbn.com_新闻资讯_第7张

图3 女性生殖系统及子宫颈(来源:NIH)


宫颈癌是通过性行为感染某些高危类型的HPV引起的,这种关联是由德国病毒学家哈拉尔德(Harald zur Hausen)发现的,这一发现与HIV的发现一起分享了2008年诺贝尔生理学或医学奖。

虽然大多数HPV感染甚至是癌前病变会被人体自发清除,但仍有一部分感染者会发展为慢性感染,导致持续炎症、癌前病变,并进一步发展为宫颈癌(图4)。另外,吸烟也会加重病情的发展。
 
刮匙怎么使用HPV疫苗打完就安全了吗?男生要打吗?几岁打最有用?一文讲清_https://www.jmylbn.com_新闻资讯_第8张
图4. 子宫颈病变过程及细胞形态变化(来源:biology-forums.com)
 
最近发布的一项研究结果表明,我国女性感染高危HPV的比例近11%,HPV16和HPV18两种最危险的HPV感染率为2%左右(JAMA Oncology, 2020年数据)

2020年,世界卫生大会通过了《消除宫颈癌作为公共卫生问题的全球战略》,建议采用综合方法预防和控制宫颈癌,采取一整套干预措施,涉及人的一生。根据人群年龄阶段特征及病毒感染或疾病发展的情况不同,分为一级、二级和三级三个预防阶段(图5)
 

刮匙怎么使用HPV疫苗打完就安全了吗?男生要打吗?几岁打最有用?一文讲清_https://www.jmylbn.com_新闻资讯_第9张

图5.  宫颈癌的三级预防。HPV感染高峰期发生于性活跃期,大多数感染被自发清除,部分感染后三到五年后造成病变,病变持续恶化可能会导致宫颈癌。疫苗注射和病理筛查是预防宫颈癌的重要手段,应当通过检测发现癌前病变或早期宫颈癌,并及时治疗。(作者制图,参考WHO资料)
 
一级预防:针对尚未有或可能开始有性接触的女性。一级预防包括:

1)9~13岁女孩需要接种HPV疫苗。由于致癌性的HPV多通过性传播而感染,尚未性接触的女性接种HPV是最最有效的。

2)在青少年中普及性教育、提供必要的安全防护教育,高危HPV的预防可参考性传播疾病的防护措施。需要指出的是,与疱疹病毒类似,安全套仅能提供部分保护,因为HPV有可能通过外阴及附近的皮肤进行传播。

3)宣传不要吸烟。吸烟是促进宫颈癌症发展的危险因素,因此应当杜绝青少年学抽烟(抽烟并不酷,不学吸烟就不用戒烟哦)

4)建议男性进行包皮环切手术。包皮环切有助于防止病毒传播,保护女性免受感染。
 
二级预防:针对已经三十岁以上、有性经验的女性。

HPV引发癌症的过程是一个漫长和缓慢的过程,已有性经验的女性三到五年才可能产生比较明显的病变。这部分人群可以通过费用较低的醋酸目视筛查(VIA)进行初筛,有条件的女性可每3-5年进行一次巴氏涂片检测,一经发现异常,可以通过核酸检测的方式检测HPV的基因型,并进行早期治疗。

注意:打疫苗不能取代上述筛查过程,因为目前疫苗一般仅预防最高危的几种HPV,不能完全覆盖致癌性HPV。

VIA:简单有效的醋酸目视筛查


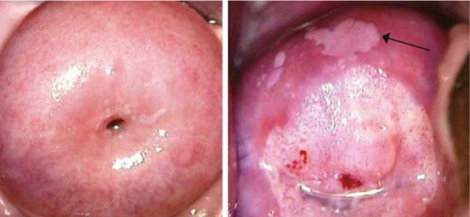
VIA是一种简单有效的宫颈癌初步筛查手段,普通门诊就可以完成,且能即刻获知结果。这种检测利用了醋酸可以使蛋白质变性发白的原理(回家用白醋加到蛋清里试一下吧,但不要自己动手做VIA)。使用3%-5%浓度的醋酸涂抹子宫颈一分钟后肉眼观察,异常的子宫颈组织表面变白,而正常的子宫颈没有太大的变化(图 6),这样就很容易观察子宫颈是否正常,从而筛查子宫颈癌前病变(在癌变的路上狂奔的组织)或癌变组织(变身成功,“修炼成魔”)。如果在子宫颈目视检测中发现增生或溃疡并极易出血,则高度怀疑为癌组织。


VIA适合需要进行子宫颈癌筛查的所有女性,经期出血量不多也可进行检测,但是怀孕期间及产后六周内不宜检测。


刮匙怎么使用HPV疫苗打完就安全了吗?男生要打吗?几岁打最有用?一文讲清_https://www.jmylbn.com_新闻资讯_第10张
刮匙怎么使用HPV疫苗打完就安全了吗?男生要打吗?几岁打最有用?一文讲清_https://www.jmylbn.com_新闻资讯_第11张
 滑动查看图片
图 6. 左图为正常的子宫颈;右图为感染并病变的子宫颈,箭头指示醋酸处理后变白的区域(来源:WHO)

Tips:巴氏涂片检测(Pap test)

巴氏涂片检测用于检测子宫颈、结肠的潜在癌前病变和癌变组织,是广泛使用且非常有效的方法。检测时,打开阴道,用刮匙在宫颈外口刮取细胞(没那么恐怖,刮匙像一个冰激凌木匙),或者用类似的方法收集肛门内的细胞,将收集到的细胞染色后在显微镜下检查(图7)。除了检测由HPV引起的潜在癌前病变或癌变组织,这种方法也能检测到HSV(单纯疱疹病毒)、滴虫病、真菌及细菌感染等其他异常状况。

推荐有性经验的女性在性行为三年后至少进行一次巴氏涂片检测,通常是20-25岁到65岁,每3到5年进行一次。孕龄24周以上及分娩后12周以内建议不要进行检测,经期也不宜检测。

注意,如果已经注射HPV疫苗,也应当进行巴氏涂片检测。有效的妇科检测可以减少多达80%的宫颈癌死亡案例。
 
刮匙怎么使用HPV疫苗打完就安全了吗?男生要打吗?几岁打最有用?一文讲清_https://www.jmylbn.com_新闻资讯_第12张
图7.  左图,正常的子宫颈鳞状上皮细胞,细胞扁平,大小、形状均一,细胞核固缩且仅有一个(每个细胞内部的深色小点);右图,癌变的子宫颈细胞,癌细胞聚集成团,形状已经发生变化,细胞核相对比较大,或者有多个细胞核。(来源:维基百科)

三级防护:针对已发生病变或罹患宫颈癌的女性。这部分人群需进行必要的手术或放化疗。

宫颈癌会传染吗?


虽然病毒的传播可以诱发癌症,但是由于免疫排斥的作用,一般认为癌症是不能通过癌细胞在人与人之间的转移而直接传播的。长期以来,动物之间直接传播肿瘤只有一个例子,那就是有塔斯马尼亚恶魔之称的袋獾。由于种群较小,基因多样性差,个体之间免疫排斥差,袋獾之间通过相互撕咬可以传播面部肿瘤。母婴之间因具有特殊的联系,有非常罕见的几率传播淋巴瘤。今年1月日本报道的一例宫颈癌母婴传播,打破了这一认识:一个男性新生儿出生后发现有肺癌,经检测后发现癌细胞是女性细胞,而其生母患有宫颈癌,医生推测婴儿在出生时吸入了混有宫颈癌细胞的体液,从而导致母亲宫颈癌细胞传播给新生儿。



口咽癌是发生于软腭、腭扁桃体、舌根、会厌周围及咽壁等部位的恶性肿瘤。在所有口咽癌病例中,有四分之一是由HPV引起的鳞状细胞癌,占男性中HPV致癌病例的80%以上,主要是口交接触生殖器后感染HPV16造成的。

高危HPV感染还会使罹患肛门癌的概率增加17-31倍、患阴茎癌概率增加2-3倍,此外还可以在女性中引起阴道癌、外阴癌症等。上述癌症的防控和监测措施基本与宫颈癌一致,也可通过注射疫苗加以防治,通过巴氏涂片检查进行监控。


由于高危HPV——特别是HPV16和HPV18——与宫颈癌具有强关联性,科学家开发了针对宫颈癌进行防控的HPV二价疫苗。所谓二价,是指一支疫苗可以用于预防HPV16和HPV18两种病毒型。HPV疫苗的交叉保护能力比较差,也就是说注射含HPV16和18抗原的二价疫苗并不能预防其他HPV的感染。目前市面上HPV疫苗还有四价(6、11、16和18)和九价(6 、11、16、18、31、33、45、52、58)两种(图8)

在预防HPV癌症方面,二价和四价没有差别,均能预防HPV16和18导致的宫颈癌(约占宫颈癌病例的75%),但是四价疫苗还能预防HPV6和11引起的尖锐湿疣(约占尖锐湿疣病例的90%)。九价苗除包含上述HPV型外,还包含5种其他高危HPV,使其能预防90%左右的宫颈癌和尖锐湿疣。

但是,疫苗价并非越高越好,多价疫苗针对每一种病原所产生的抗体可能会比较少。所以不管是哪种疫苗,可以说都是“抑疣未尽”呢,打了疫苗也别忘了预防和检测。由于各国政策的不同,HPV疫苗建议施打的年龄范围也不同,一般认为最佳的注射疫苗年龄是9-13岁,超过此年龄依然可以注射,但是已经感染相应HPV型之后再注射疫苗是无效的。我国二价疫苗的施打年龄范围为9-45岁,四价疫苗的施打年龄为20-45岁。
 

刮匙怎么使用HPV疫苗打完就安全了吗?男生要打吗?几岁打最有用?一文讲清_https://www.jmylbn.com_新闻资讯_第13张

图8. HPV疫苗及其预防疾病种类和比例
 
HPV疫苗同样可以预防宫颈癌之外的其他HPV诱发癌症,因此男性也可以施打HPV疫苗,施打时间建议与女性相似,也是建议青春期施打。由于HPV引起的男性癌症相对较少,打疫苗的成本效益低于女性,因此HPV疫苗在男性身上的推广强度弱于女性。

HPV疫苗可有效的预防相应HPV基因型造成的癌症,那么HPV疫苗有没有副作用呢?根据一项最新的研究,韩国44万女性施打二价或四价HPV疫苗的统计数据未发现33项副作用与HPV疫苗相关,但偏头痛可能与HPV疫苗有一定的关联(但是偏头痛误诊率较高)。所以大家不必为了HPV疫苗的副作用而头疼了。

非致癌性HPV感染



尖锐湿疣是某些HPV(6、11、42、44等,其中前两者最为常见)引起的生殖器疣,常发于外生殖器、阴道或尿道内、子宫颈及肛门等处,表现为生殖器或肛门粉红色凸起,易出血,可能会引起疼痛。

尖锐湿疣是最常见的性传播疾病,极易通过插入式性交传播,其他性接触也可以传播,但传播力较弱,没有证据表明马桶圈可以传播HPV。美国尖锐湿疣相关HPV的感染率为10-20%,约有1%的人患有尖锐湿疣。

随着性行为年龄提前,性伴侣数量增多,尖锐湿疣的患病风险相应增大。除了进行必要的保护措施之外,还可以注射四价或九价HPV疫苗预防尖锐湿疣。目前不能根治尖锐湿疣,但可以使用激光、冷冻等物理手段去除疣体,也可以通过涂抹鬼臼毒素、咪喹莫特乳膏或注射干扰素的方式进行疣体清除。一旦患病,不要讳疾忌医、隐瞒病情,也不要病急乱投医,不要相信小广告,应当去正规医院寻求帮助。

除尖锐湿疣外,感染6型和11型HPV还可以引起一种罕见的疾病,称为复发性喉乳头状瘤病,即在喉头或呼吸道的其他部位形成疣,并反复发作。这种疾病可能会影响呼吸,并有极小的概率引发癌症,建议手术切除。


(在皮肤上俗称“瘊子”)一般指小的、粗糙且有剪影的凸起,颜色通常与肤色相同,也可能较深(图9)。一般的疣不痛不痒,不会导致癌变。长在脚底的跖疣可能会因为走路而疼痛。根据疣的外观、生长的位置,可以分为:

普通疣:表面粗糙,常见于手上,也可生长在其他部位。


扁平疣:小的光滑且扁平的肉色疣,长成片出现于面部、脖子或膝盖等处。


丝状或指状疣:细长的线状或成簇手指状疣,多见于面部,特别是眼睑或嘴唇处。


甲周疣:见于指甲周围,成簇存在。


跖疣:脚趾或脚底,行走时会导致疼痛。


刮匙怎么使用HPV疫苗打完就安全了吗?男生要打吗?几岁打最有用?一文讲清_https://www.jmylbn.com_新闻资讯_第14张
刮匙怎么使用HPV疫苗打完就安全了吗?男生要打吗?几岁打最有用?一文讲清_https://www.jmylbn.com_新闻资讯_第15张

图9. HPV引起的各种皮肤或黏膜疣状病变


造成疣的HPV病毒可以通过轻微破坏的皮肤进入人体,而皮肤的轻微损伤往往不易察觉,所以日常生活中如果接触到患病皮肤或沾有病毒的器物就有可能被感染。HPV结构简单、没有包膜,环境抗性极强,对干燥和高温具有抵抗力,因此HPV可以停留在物体表面相当长的时间,比如,患有跖疣的人光脚行走后的地面就可能传染给其他人。因此不建议在公共浴室、酒店等地方赤脚行走,也不建议使用这些场所提供的塑料拖鞋。

HPV可以抵御戊二醛等一般消毒剂(戊二醛是病毒学研究中最常用的消毒剂了),患者使用过的器具应当使用次氯酸钠等氧化性的消毒剂或沸水进行杀灭。医护人员处理疣或病人自己护理患处时,应当避免吸入颗粒物(可能含有病毒),也不要用手指抓挠,以免发生自身接种。

普通疣等的治疗手段和尖锐湿疣类似,也可使用冷冻、热干燥、激光等物理手段去除疣体,或者使用水杨酸分解角质层,或使用咪喹莫特、西多福韦、干扰素等方式促进疣体消融,较大的疣体可以考虑手术切除。

不要选用偏方或江湖术士提供的方法,这些方法往往使用腐蚀性的化学试剂,可能造成较大较深的创伤,使皮肤迟迟不能愈合。

结 语


HPV感染虽然常见,但是不要与传染性软疣(MCV引起)、疱疹病毒感染等皮肤病混淆;也不要与皮肤、黏膜的良性增生,甚至与痣等混淆。

再次强调一遍:一旦怀疑自己有HPV感染,可以考虑去正规医院进行检查并治疗,女性可每三年左右做宫颈涂片检查。不要相信小广告、偏方、游医以及某宝小店的药物。

参考资料:

1.Training of health staff in VIA, HPV detection test and cryotherapy, WHO, 2017

2.宫颈癌的综合预防与控制给女性更健康的未来,WHO,2013

3.Cancers Associated with Human Papillomavirus, United States—2013–2017,美国CDC,2020

4.https://hpvglobalaction.org/hpv/#HpvSect.

5.https://www.cdc.gov/std/hpv/stdfact-hpv.htm

6.https://www.cdc.gov/hpv/index.html

7.https://www.healthline.com/health/human-papillomavirus-infection#tests

8.https://www.mayoclinic.org/diseases-conditions/hpv-infection/symptoms-causes/syc-20351596

9.https://en.wikipedia.org/wiki/Human_papillomavirus_infection

10.https://en.wikipedia.org/wiki/Genital_wart

11.https://en.wikipedia.org/wiki/Wart

12.https://www.who.int/news-room/fact-sheets/detail/human-papillomavirus-(hpv)-and-cervical-cancer

13.https://www.sexoutloud.com/hpv/

14.https://singingriverhealthsystem.com/areas-of-care/cancer-care/womens-cancers/cervical-cancer/ 

15.https://www.cancernetwork.com/view/contemporary-review-hpv-and-penile-cancer

16.https://www.who.int/news-room/fact-sheets/detail/human-papillomavirus-(hpv)-and-cervical-cancer



来源:返朴
作者:李庆超
校对:臧恒佳
责编:潘颖


往期精彩回顾



一个母亲的去世引发的思考:医者该怎样面对死亡?!

9价比4价更好?专家解答HPV疫苗6大疑问!

HPV疫苗导致卵巢早衰?4大问题,打前必知!

HPV人体生活图鉴



刮匙怎么使用HPV疫苗打完就安全了吗?男生要打吗?几岁打最有用?一文讲清_https://www.jmylbn.com_新闻资讯_第16张
刮匙怎么使用HPV疫苗打完就安全了吗?男生要打吗?几岁打最有用?一文讲清_https://www.jmylbn.com_新闻资讯_第17张

刮匙怎么使用HPV疫苗打完就安全了吗?男生要打吗?几岁打最有用?一文讲清_https://www.jmylbn.com_新闻资讯_第18张

点击“阅读原文”,查看更多资讯~