关节钳怎么用[易错与误判] “髋关节撞击综合征:凸轮型与钳型”的相关临床知识、影像表现及鉴别诊断(建议收藏)

新闻资讯2026-04-21 02:13:38

关节钳怎么用[易错与误判] “髋关节撞击综合征:凸轮型与钳型”的相关临床知识、影像表现及鉴别诊断(建议收藏)_https://www.jmylbn.com_新闻资讯_第1张

髋关节撞击综合征:凸轮型与钳型


影像表现

髓关节撞击综合征(femoroacetabular-impingement,FAI)是引起髋关节疼痛及髋关节进行性退行性变的一种常见病因。一般采用骨盆X线前后位照片筛查。骨盆照片时X线中心线应对准尾骨中心及耻骨联合,以保证骨盆不旋转。FAI主要分为3种类型:凸轮型、钳型和混合型。混合型FAI同时具有凸轮型和钳型的异常。凸轮型是股骨头颈连接处形成/发育异常所致,表现为股骨头颈连接处骨性隆起或“枪柄样”改变(缺乏正常的凹度)(图1)。钳型FAI表现为髋臼覆盖或位置异常,可根据在X线平片上见到深髋臼、髋臼前突或髋臼后倾的表现而诊断。深髋臼及髋臼前突X线表现为股骨头及髋臼相对髂骨坐骨线位置异常(图2)。髋臼后倾表现为交叉征、髋臼后壁征、坐骨棘突出征(图3)。

 

重点

对于髋关节疼痛患者,及早发现FAI是非常重要的,因为在发生骨性关节炎前早期发现该病变并治疗效果最好。如未能及时治疗,有症状的FAI将最终发生髋关节骨性关节炎。FAI的病理基础是屈曲时股骨头/颈移行处与髋臼缘异常接触。这可引起髋关臼盂唇及关节软骨损伤,进而导致髋关节活动失去协调性,持续发生的非协调性关节活动最终将导致髋关节骨关节炎。

有症状的凸轮型FAI在青年男性运动员中最为常见,而有症状的钳型在中年女性运动员中最为常见。值得注意的是,目前认为,X线平片发现的FAI患者,若无临床症状,则无需处理;也就是说,如果是偶然发现的则不须处理。目前,这种被称为无症状FAI的最终结局仍然不明。

 

临床相关知识

20岁男性,足球运动员,临床表现为腹股沟区疼痛,髋关节屈曲时更明显。疼痛进行性加重,长时间走路、运动及久坐时更显著。X线骨盆平片筛查发现凸轮型FAI。髋关节MR关节造影显示盂唇撕裂。患者手术治疗成功。

 

教学要点

FAI是引起髋关节疼痛的原因之一。在髋关节发生骨关节炎之前早期诊断,FAI治疗效果更好。目前,对于X线表现提示FAI者,如无症状,一般无需治疗。


关节钳怎么用[易错与误判] “髋关节撞击综合征:凸轮型与钳型”的相关临床知识、影像表现及鉴别诊断(建议收藏)_https://www.jmylbn.com_新闻资讯_第2张

关节钳怎么用[易错与误判] “髋关节撞击综合征:凸轮型与钳型”的相关临床知识、影像表现及鉴别诊断(建议收藏)_https://www.jmylbn.com_新闻资讯_第3张

关节钳怎么用[易错与误判] “髋关节撞击综合征:凸轮型与钳型”的相关临床知识、影像表现及鉴别诊断(建议收藏)_https://www.jmylbn.com_新闻资讯_第4张

图1 左髋关节蛙式侧位X线片(A)显示股骨头、颈连接处异常隆起(箭),该骨质异常可引起凸轮型FAI。右髋关节前后位X线片(B、C)显示“枪柄样”畸形,其中旋转90°后的前后位X线片(C)可更直观地显示肌骨近端及股骨头所形成的“旧式手枪枪把”样外观


图2 32岁女性,左髋关节疼痛

关节钳怎么用[易错与误判] “髋关节撞击综合征:凸轮型与钳型”的相关临床知识、影像表现及鉴别诊断(建议收藏)_https://www.jmylbn.com_新闻资讯_第5张

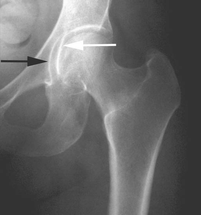
骨盆前后位X线片局部截图,显示左髋关节。深髋臼表现为髋臼(黑箭)投影于髂骨-坐骨连线(白箭)内侧。深髋臼可导致钳型FAI


图3 25岁女性,双髋关节疼痛

关节钳怎么用[易错与误判] “髋关节撞击综合征:凸轮型与钳型”的相关临床知识、影像表现及鉴别诊断(建议收藏)_https://www.jmylbn.com_新闻资讯_第6张

骨盆前后位片显示双髋关节交叉征,这是髋臼后倾的一个征象。髋臼后倾可能是FAI引起髋关节疼痛的一个原因。为了更好地显示病变,图中用线条勾画了右侧髋臼交叉征


美编:影像三人行 欢迎转发,未经许可禁止转载

影像三人行微信号:yxsrx-

关注方法:

按住图片3秒钟,点“识别图中二维码”,即可一键关注。

关节钳怎么用[易错与误判] “髋关节撞击综合征:凸轮型与钳型”的相关临床知识、影像表现及鉴别诊断(建议收藏)_https://www.jmylbn.com_新闻资讯_第7张

关节钳怎么用[易错与误判] “髋关节撞击综合征:凸轮型与钳型”的相关临床知识、影像表现及鉴别诊断(建议收藏)_https://www.jmylbn.com_新闻资讯_第8张