体外碎石b超怎么定位结石患者的福音! “X光+B超”双定位体外冲击波碎石机落户周口市中心医院文昌路院区

新闻资讯2026-04-21 01:55:49
体外碎石b超怎么定位结石患者的福音! “X光+B超”双定位体外冲击波碎石机落户周口市中心医院文昌路院区_https://www.jmylbn.com_新闻资讯_第1张

体外碎石b超怎么定位结石患者的福音! “X光+B超”双定位体外冲击波碎石机落户周口市中心医院文昌路院区_https://www.jmylbn.com_新闻资讯_第2张

为提高结石患者治疗效果,快速解除结石患者病痛,提高我院医疗服务和技术水平,近日,周口市中心医院文昌路院区引进国内新款B超、X线双定位体外冲击波碎石机。该设备用来治疗肾结石,输尿管结石及膀胱结石,现已在文昌路院区投入使用。


地址:周口市中心医院文昌路院区门诊1楼放射科。



体外冲击波碎石术

是利用碎石机

产生冲击波

聚焦于体内结石

使之粉碎

继而将其排出体外

以达到治疗目的的治疗方法


我院引进目前国内最先进的慧康X5高端双定位体外冲击波碎石机,它与传统碎石机相较具有以下几种功能:


  • 优质的电磁式冲击波源对比传统冲击波身体损害更小;


  • 人工智能导航系统医生只需要选择识别一次结石,即可自动定位结石;


  • 床边/隔室双操作其采用全新人机工程学设计、全电动数控系统;


  • X线B超影像定位焦点可视化,避免阴性结石漏诊;


  • 超多角度治疗,无碎石盲区;


  • 百万像素CCD,显影更清晰。


C臂X线双向定位


体外碎石b超怎么定位结石患者的福音! “X光+B超”双定位体外冲击波碎石机落户周口市中心医院文昌路院区_https://www.jmylbn.com_新闻资讯_第3张


精准、快捷,采用C臂X线双向定位,顶尖配置的高频球管、高质量的X线造影系统和高清晰度监视器,直观,准确。大C臂可旋转跟踪,实现多角度定位。


多功能治疗床


体外碎石b超怎么定位结石患者的福音! “X光+B超”双定位体外冲击波碎石机落户周口市中心医院文昌路院区_https://www.jmylbn.com_新闻资讯_第4张


治疗床可三维六向运动,可实现上下、左右、前后移动,治疗操作更方便。


体外碎石b超怎么定位结石患者的福音! “X光+B超”双定位体外冲击波碎石机落户周口市中心医院文昌路院区_https://www.jmylbn.com_新闻资讯_第5张


多波源臂小C臂球面运动


体外碎石b超怎么定位结石患者的福音! “X光+B超”双定位体外冲击波碎石机落户周口市中心医院文昌路院区_https://www.jmylbn.com_新闻资讯_第6张


球面运动的小C臂冲击波源系统可全方位选择碎石最佳入射角,提高一次性碎石成功率。



体外冲击波碎石术


与传统的手术相比

体外冲击波碎石术

👇👇👇


01

无创无痛,体表无伤口

避免了手术创伤和疤痕,患者感觉舒适,痛苦小。

02

安全有效,恢复迅速

冲击波精准定位,对周围组织和器官损伤极小。


治疗后恢复快,不影响正常生活和轻度工作。

03

并发症少,风险低

避免了传统手术可能引起的感染、出血多、脏器损伤等风险。

04

性价比高,减轻负担

相比住院手术,治疗费用更低,减轻了患者的经济和时间负担。



哪些结石

适合体外碎石呢?



  • 肾结石:直径小于2厘米的肾盂或肾盏结石。


  • 输尿管结石:直径小于1.5厘米的输尿管结石。


  • 膀胱结石:部分符合条件的膀胱结石。


  • 输尿管支架附壁结石。


体外碎石b超怎么定位结石患者的福音! “X光+B超”双定位体外冲击波碎石机落户周口市中心医院文昌路院区_https://www.jmylbn.com_新闻资讯_第7张
体外碎石b超怎么定位结石患者的福音! “X光+B超”双定位体外冲击波碎石机落户周口市中心医院文昌路院区_https://www.jmylbn.com_新闻资讯_第8张

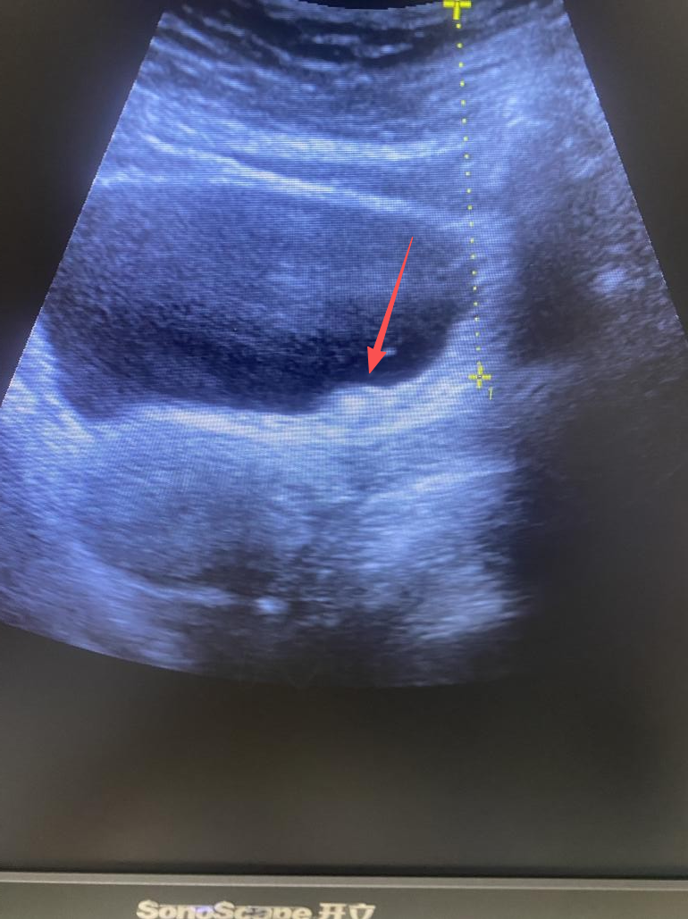
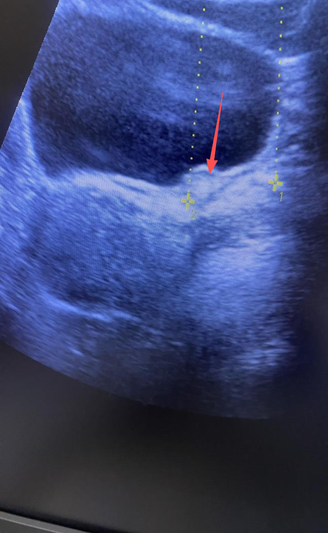
医师使用B超定位系统

给患者实施治疗

并在治疗床旁时刻监测碎石效果


体外碎石b超怎么定位结石患者的福音! “X光+B超”双定位体外冲击波碎石机落户周口市中心医院文昌路院区_https://www.jmylbn.com_新闻资讯_第9张
体外碎石b超怎么定位结石患者的福音! “X光+B超”双定位体外冲击波碎石机落户周口市中心医院文昌路院区_https://www.jmylbn.com_新闻资讯_第10张

图为输尿管末端结石

可见碎石中结石体积明显缩小


重要提示
体外碎石b超怎么定位结石患者的福音! “X光+B超”双定位体外冲击波碎石机落户周口市中心医院文昌路院区_https://www.jmylbn.com_新闻资讯_第11张

并非所有结石患者都适合进行体外碎石。


具体是否适用,需要医生通过专业检查(如B超、X线、CT)后,根据您的结石大小、位置、硬度以及您的身体状况来综合判断。


体外碎石b超怎么定位结石患者的福音! “X光+B超”双定位体外冲击波碎石机落户周口市中心医院文昌路院区_https://www.jmylbn.com_新闻资讯_第12张



作者/王富成

编辑/刘晨旭

校审/刘泽鹏

终审/张艺舒


声明:本文部分图片来自网络,如有侵权,请联系删除。


 精彩回顾: 
三会合一,聚力前行!周口市医院感染管理学术盛宴在我院召开
别让你的情绪“偷走”健康!这些隐形疾病,该警惕了……
周口市中心医院下周(11月10日—11月16日)门诊排班表

喜欢就告诉我们您“在看”

体外碎石b超怎么定位结石患者的福音! “X光+B超”双定位体外冲击波碎石机落户周口市中心医院文昌路院区_https://www.jmylbn.com_新闻资讯_第13张


好东西岂能独享~

点击下方链接

关注周口市中心医院互联网医院

即可享受

专家线上问诊、获得更多健康资讯

详情请点击下方链接↓↓↓



体外碎石b超怎么定位结石患者的福音! “X光+B超”双定位体外冲击波碎石机落户周口市中心医院文昌路院区_https://www.jmylbn.com_新闻资讯_第14张
体外碎石b超怎么定位结石患者的福音! “X光+B超”双定位体外冲击波碎石机落户周口市中心医院文昌路院区_https://www.jmylbn.com_新闻资讯_第15张
体外碎石b超怎么定位结石患者的福音! “X光+B超”双定位体外冲击波碎石机落户周口市中心医院文昌路院区_https://www.jmylbn.com_新闻资讯_第16张