为什么会出现呼吸机依赖以呼吸困难首诊的肌萎缩侧索硬化症及呼吸机依赖原因分析

新闻资讯2026-04-17 12:53:07
为什么会出现呼吸机依赖以呼吸困难首诊的肌萎缩侧索硬化症及呼吸机依赖原因分析_https://www.jmylbn.com_新闻资讯_第1张

作者:田野,黄絮,詹庆元

单位:中日友好医院呼吸与危重症医学科


肌萎缩侧索硬化症(ALS)是运动神经元病中最常见的一种类型。但以呼吸机依赖、呼吸困难为首诊症状的患者,诊断存在一定难度,原因是此类患者多就诊于呼吸与危重症医学科而非神经内科,医生对此类疾病易造成误诊。为了掌握ALS患者呼吸功能障碍的特点,我们以1例呼吸困难并发热为首发症状,因呼吸衰竭、感染性休克行气管插管继而延迟撤机的ALS患者的诊治过程为例,对呼吸机依赖的原因及ALS呼吸障碍的表现特点进行探讨。

为什么会出现呼吸机依赖以呼吸困难首诊的肌萎缩侧索硬化症及呼吸机依赖原因分析_https://www.jmylbn.com_新闻资讯_第2张
临床资料

一般资料
患者,男性,62岁,因“呼吸困难伴发热4个月”于2016年7月14日入我院RICU。

现病史
患者2016年4月5日受凉后出现呼吸困难并逐渐加重,伴发热,体温最高38.9℃,于4月7日入住当地医院ICU,当时患者出现“心率快,呼吸减慢,血压测不出,指脉氧饱和度60%,意识浅昏迷,周身湿冷”,诊断为“慢性阻塞性肺疾病并感染、呼吸衰竭、感染性休克”,予气管插管呼吸机辅助通气,纠正休克(血管活性药升压、补液)及抗感染治疗,后患者生命体征趋于稳定,因延迟撤机,于5月6日行气管切开并持续应用呼吸机辅助通气。为明确呼吸机依赖原因收住我院RICU。患者自发病以来,精神欠佳,鼻饲饮食,睡眠可,体重下降约30 kg。

既往史及其他
患者阵发性房颤40年,未行药物治疗;胸椎术后30年;确诊冠心病并行支架植入2年,后规律二级预防;便秘病史2年,每日开塞露通便。

转至我科后查体
T 36.7℃,P 85次/min,R 20次/min,BP 115/75 mmHg。气管切开状态,呼吸机辅助通气(PSV模式:PS 10 cmH2O,PEEP 5 cmH2O,FiO2 0.35),监测Vt 400 ml。呼吸运动正常,肋间隙正常,胸式呼吸,吸气时可见双肩上抬。触觉语颤正常,双肺叩诊呈清音。双肺呼吸音减低,右下肺可闻及少量湿啰音,无胸膜摩擦音。心率85次/min,律齐,各瓣膜听诊区未闻及病理性杂音及附加音。腹平软,无压痛、反跳痛及肌紧张,肠鸣音4次/min。四肢肌肉萎缩,上肢近端肌力2级,远端肌力3级,下肢近端肌力3级,远端肌力4级,肌张力正常,巴宾斯基征阳性。

入院诊断
①气管切开术后拔管困难;②呼吸机相关肺炎;③肌无力原因待查;④冠状动脉粥样硬化性心脏病,陈旧性心肌梗死支架置入术后,阵发性房颤,心功能Ⅱ级(NYHA);⑤便秘;⑥胸椎术后。

为什么会出现呼吸机依赖以呼吸困难首诊的肌萎缩侧索硬化症及呼吸机依赖原因分析_https://www.jmylbn.com_新闻资讯_第3张
入院后完善相关检查

血气分析(FiO2 0.35)
pH 7.421,PaCO2 36.2 mmHg,PaO2 115 mmHg,HCO3- 23.5 mmol/L,BE -0.8 mmol/L,PFR 328.6 mmHg。调整呼吸机参数为PSV模式(PS 8 cmH2O,PEEP 5 cmH2O,FiO2 0.21),循环及氧合稳定,呼吸机波形未见明确呼气支气道陷闭的表现(图1)。镇静后在VCV模式(Vc 400 ml,Ppeak 15 cmH2O,Pplat 10 cmH2O,PEEP 5 cmH2O,RR 13 bpm,MV 5.2 L/min,FiO2 0.21)下测呼吸力学参数:气道阻力约10.4 cmH2O/(L·s),肺静态顺应性80 ml/cmH2O,PEEPi 0。

为什么会出现呼吸机依赖以呼吸困难首诊的肌萎缩侧索硬化症及呼吸机依赖原因分析_https://www.jmylbn.com_新闻资讯_第4张
1  PSV模式下呼吸机波形及床旁心电监护参数

血常规、肝肾功能、免疫等检查

查血常规、生化、降钙素原、补体及免疫球蛋白、淋巴细胞亚群、甲状腺功能、肿瘤标志物大致正常(表1)

1  患者血常规、肝肾功能主要参数及降钙素原汇总表
为什么会出现呼吸机依赖以呼吸困难首诊的肌萎缩侧索硬化症及呼吸机依赖原因分析_https://www.jmylbn.com_新闻资讯_第5张

心梗五项及心脏超声
  • TNI阴性,BNP 263 pg/ml。心电图及超声心动未见明显异常(图2)

为什么会出现呼吸机依赖以呼吸困难首诊的肌萎缩侧索硬化症及呼吸机依赖原因分析_https://www.jmylbn.com_新闻资讯_第6张
2  心电图(2018-07-15)

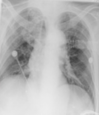
床旁胸片
  • 右肺少许渗出影(图3

为什么会出现呼吸机依赖以呼吸困难首诊的肌萎缩侧索硬化症及呼吸机依赖原因分析_https://www.jmylbn.com_新闻资讯_第7张
3  床旁胸正位片(2018-07-15)

气管镜检查
  • 床旁支气管镜检查发现右肺中、下叶大量黄色黏稠痰液(图4),左肺少量白色黏痰。

为什么会出现呼吸机依赖以呼吸困难首诊的肌萎缩侧索硬化症及呼吸机依赖原因分析_https://www.jmylbn.com_新闻资讯_第8张
4  气管镜镜下表现及肺泡灌洗液(2018-07-16)
注:A为右主支气管远端大量黄色痰液(箭头);B为右肺下叶基底段被痰液堵塞(箭头);C为吸净痰液后暴露的右肺中间段;D为右肺下叶基底段(左)及中叶(右)的肺泡灌洗液

肺泡灌洗液送检结果
  • 细胞分类:巨噬细胞1.5%,中性粒细胞91.5%,淋巴细胞7.0%,嗜酸性粒细胞0。

  • 细菌培养:鲍曼不动杆菌(MDR),耐甲氧西林金黄色葡萄球菌,光滑念珠菌。

  • 霉菌及结核方面的微生物学检测均阴性。


为什么会出现呼吸机依赖以呼吸困难首诊的肌萎缩侧索硬化症及呼吸机依赖原因分析_https://www.jmylbn.com_新闻资讯_第2张
治疗经过

予头孢哌酮舒巴坦联合万古霉素抗感染,间断气管镜吸痰;予双联抗血小板联合他汀类药物进行冠心病二级预防,间断利尿减轻心脏负荷。自2017年7月25日患者转氨酶出现3倍以上升高,请消化科会诊考虑药物性肝损伤,给予还原性谷胱甘肽联合甘草酸镁保肝;予肠内营养混悬液(TPF)1000~1500 ml/d鼻饲。自入院后第5天(2017年719日)逐步尝试脱机,每次持续时间0.5~4 h(表2),脱机后患者主诉呼吸困难,心率及呼吸频率增快,血氧饱和度变化不大,临床考虑患者呼吸机依赖。后行腰穿检查无阳性发现,肌电图提示广泛神经元性损害,呼吸机依赖原因考虑神经源性或肌源性无力可能性大(具体分析见讨论部分)。

2   患者每日脱机时间汇总表
为什么会出现呼吸机依赖以呼吸困难首诊的肌萎缩侧索硬化症及呼吸机依赖原因分析_https://www.jmylbn.com_新闻资讯_第10张

为什么会出现呼吸机依赖以呼吸困难首诊的肌萎缩侧索硬化症及呼吸机依赖原因分析_https://www.jmylbn.com_新闻资讯_第2张
讨论

困难撤机有各种不同的定义。美国全国呼吸管理医疗指导学会(NAMDRC)定义长期机械通气是指连续21 d以上每天至少需要机械通气6 h[1]。欧洲呼吸学会(ERS)、美国胸科学会(ATS)、欧洲重症监护医学学会(ESCIM)、危重病学学会(SCCM)等5个学会组成的国际共识联络小组根据撤机过程的难度和时间长度,将撤机分为3种类型,①简单撤机:患者通过最初的自主呼吸试验(SBT)和第一次尝试拔管就成功拔除气管插管、撤离呼吸机;②困难撤机:患者需要3次SBT尝试或从第1次SBT尝试后7 d才能撤离呼吸机;③延迟撤机:患者需要3次以上SBT或第1次SBT尝试7 d以后才能撤机。根据资料,69%的患者为简单撤机,31%为困难撤机和延迟撤机[2]。临床上撤机失败是多种因素共同作用的结果,通常与气道或肺部病变、脑及神经系统疾病、心功能不全、膈肌和呼吸肌功能不全、内分泌和代谢紊乱等因素相关[3]

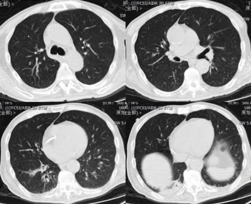
气道阻力升高、呼吸系统顺应性降低、气体交换障碍均会增加呼吸功耗导致脱机失败[3]。本文所述患者慢阻肺急性加重、感染性休克病情控制后无法顺利脱机,气切后气管镜所见患者右肺中、下叶大量黄痰,肺泡灌洗液培养出多重耐药鲍曼不动杆菌及耐甲氧西林金黄色葡萄球菌,考虑存在院内感染。但患者入我科后血流动力学稳定,胸X线片及治疗后胸部CT(图5仅提示右下肺少许渗出影,血炎性指标大致正常,经积极抗感染及气管镜吸痰后感染控制可,体温正常,痰量明显减少。且患者临床未应用镇静药物,无严重代谢性碱中毒,无明确呼吸驱动不足的表现;肺顺应性和气道阻力大致正常,既往(2016-03-07)肺功能检查示:肺活量1.21 L(21.8%Pred),用力肺活量(FVC)1.21 L(28.8%Pred),第1秒用力呼气容积(FEV1)1.15 L(35.1%Pred)FEV1/FVC 95.5%,25%肺活量时最大呼气流量(MEF25)3.29 L/s(44.9%Pred)50%肺活量时最大呼气流量(MEF50)2.69 L/s(61.2%Pred)75%肺活量时最大呼气流量(MEF75)0.88 L/s(53.8%Pred),提示限制性通气功能障碍。气道或肺部病变并非其延迟撤机的主要原因。

为什么会出现呼吸机依赖以呼吸困难首诊的肌萎缩侧索硬化症及呼吸机依赖原因分析_https://www.jmylbn.com_新闻资讯_第12张
5  胸部CT(2018-08-09)

机械通气在危重症患者中存在心肺交互作用,从机械通气过渡到自主呼吸心脏的前后负荷也会随胸内压的减小而增加。早期研究表明,在没有心脏疾病病史的慢阻肺患者中,撤机成功率与左室射血分数的下降程度显著相关,而射血分数的下降多源于左心后负荷的增加[4]。所以,心功能不全可能是机械通气撤离失败的因素之一[5]。该患者入院前基础心功能不佳,阵发性房颤40余年,诉冠脉支架术后步行10余米即出现呼吸困难。入院后超声心动未提示心功能不全表现(EF 60%,E/A>1,左房不大,室壁不厚),经限液、利尿等治疗后BNP也降至正常。2018年7月22日脱机20 min后复查BNP水平(45 pg/ml)较7月18日脱机前(38 pg/ml)无明显变化。心功能不全致延迟撤机亦非主要原因。

另外,神经肌肉疾病的筛查在撤机困难患者中容易被忽略,临床需从以下三方面去考虑。

第一,精神疾患。谵妄、焦虑、抑郁是影响撤机的主要神经系统因素[6]。一项谵妄对撤机成功率影响的研究中提到认知功能受损的患者拔管失败风险较认知功能正常的患者高4倍以上[7]。该患者入院后未应用咪达唑仑等镇静及镇痛药物,每日查房神清,精神状态佳,可配合查体,精神因素致呼吸机依赖证据不足。

第二,膈肌功能受损。脱机使呼吸肌做功增加,临床工作中,大多数脱机失败的患者呼吸驱动均增加,膈肌功能障碍大多是危重症多发性神经病或危重症肌病引起的膈神经受损的结果[8],严重者会导致“ICU获得性神经肌肉障碍”。呼吸肌肉训练对肌肉力量影响方面的研究颇少。在一项小型非随机对照的10例延迟脱机患者的观察性研究中(机械通气时间34±31 d)[9],患者接受每周5~7次的呼吸肌肉训练(训练均由特定装置完成),在44±43 d,吸气压力可以从开始的7±3 cmH2O增加至脱机时的18±7 cmH2O,当然,该研究也受训练强度主观性偏移的影响。我们考虑本病例在ICU治疗时间和应用控制通气时间长,营养状况不佳,四肢肌力下降,ICU获得性神经肌肉障碍诊断不能排除,但遗憾的是患者当时未评估P0.1及膈肌超声明确呼吸驱动及膈肌萎缩情况。所以,按照呼吸机相关膈肌功能障碍(VIDD)的治疗原则,我们制订了脱机计划及每日肢体肌肉功能锻炼(脚踏车、康复科每日床旁训练),同时加强营养(2250 kcal/d),但患者仍脱机失败。

第三,神经源性或肌源性肌无力。神经源性肌无力主要包括运动神经元病(如ALS)及神经肌接头病(如重症肌无力、格-巴利综合征)。肌源性肌无力常见于皮肌炎患者。回顾患者神经系统查体,胸式呼吸为主,吸气时双肩上抬,出现三凹征,双手鱼际肌、舌肌萎缩(图6,眼肌运动不受累,四肢软瘫、肌力不同程度下降,同时出现肌颤,腱反射正常,肌张力正常,巴宾斯基征阳性,这些均提示ALS可能。追问病史,患者3年前无明显诱因出现四肢对称性无力,以近端肌力减弱为主,伴肌肉萎缩、肉跳,无呼吸、吞咽困难,无饮水呛咳、言语不清等。2年前,患者四肢肌肉萎缩伴无力进行性加重,表现为四肢上抬费力,伴活动后呼吸困难,偶有咳嗽、咳痰无力,曾就诊于当地医院,完善胸部CT及CTPA后,考虑为慢阻肺,给予解痉平喘、止咳、化痰治疗,患者症状减轻,之后出现双手持勺持筷写字费力,偶有言语不清。为进一步明确肌萎缩及肌力下降原因,行腰穿检查(2018-08-12):压力300 mmH2O。脑脊液常规:无色透明,蛋白阴性,细胞总数6/cm3,白细胞3/cm3脑脊液生化:Glu 3.41 mmol/L,Cl 124 mmol/L,TP 0.45 g/L,ADA 1 U/L,LDH 11 IU/L;脑脊液细胞学、免疫、副肿瘤、重症肌无力相关筛查均阴性。肌电图提示广泛神经源性损害。通过以上检查结果,我们认为患者呼吸困难由神经肌肉源性疾病引起可能性大。神经内科专科体检及会诊未发现肿瘤及自身免疫疾病证据,考虑运动神经元病,ALS可能性大。

为什么会出现呼吸机依赖以呼吸困难首诊的肌萎缩侧索硬化症及呼吸机依赖原因分析_https://www.jmylbn.com_新闻资讯_第13张
6  患者鱼际肌群及舌肌萎缩

ALS是运动神经元病的一种类型,欧美国家的发病率约为每年1.89/10万,我国发病率相对较低。该病以神经退行性变为主要特点,表现为受累部位肌肉萎缩和功能障碍[10]。呼吸功能障碍是ALS的主要并发症,膈肌是最主要的受累肌群。研究证实,ALS可导致膈肌肌肉废用性变薄[11]。其他辅助肌群,如胸锁乳突肌、肋间肌和腹壁肌群受累时,呼吸功能减退更为明显。呼吸功能障碍多在ALS确诊后数年内出现,有约3%的ALS患者以呼吸功能障碍为首发症状[12]。以呼吸症状首诊的ALS患者,因神经症状隐匿,确诊时间较长。有报道显示,此类患者平均诊断时间为12个月[13]

ALS诊断的基本条件:①病情进行性发展:通过病史、体检或电生理检查,证实临床症状或体征在一个区域内进行性发展,或从一个区域发展到其他区域;②临床、神经电生理或病理检查证实有下运动神经元受累的证据;③临床体检证实有上运动神经元受累的证据;④排除其他疾病。本例患者起初呼吸困难合并发热认为由慢阻肺急性加重引起,后出现感染性休克,行气管插管后因撤机困难行气管切开,转入我科后虽很快排除肺部或气道疾病、心功能不全所致呼吸机依赖,但围绕ICU获得性肌无力诊治后仍无法撤机,此时应高度怀疑是否存在神经源性及肌源性肌无力可能,通过肌电图检查证实患者广泛神经源性损害,提供了诊断方向。另外,患者外院肺功能检查结果显示限制性为主的通气功能障碍合并MEF下降,这些与华玲等[14]报道的54例运动神经元病肺功能观察结果基本相同。限制性通气功能障碍是ALS呼吸障碍的早期表现[15]。与肺部疾病,如间质性肺病不同,患者RV和RV/TLC可能会升高,原因是呼气肌无力、呼气流量下降和疾病对肺顺应性影响小等。随着疾病进展,患者因反复呼吸道炎症导致小气道管壁增厚、管腔狭窄,表现为阻塞性通气功能障碍,以MEF50MEF75下降最明显。另外,因分泌物清除障碍,肺泡内渗出增多和肺组织实变等引起肺弥散距离增加,弥散面积减少和分流增加,肺功能还会有弥散功能障碍的表现。

为什么会出现呼吸机依赖以呼吸困难首诊的肌萎缩侧索硬化症及呼吸机依赖原因分析_https://www.jmylbn.com_新闻资讯_第2张
总结

ALS患者因呼吸困难或呼吸机依赖就诊而神经症状不明显,给诊断带来一定难度。神经源性呼吸困难以活动后呼吸困难和端坐呼吸为主要临床表现,需要与心、肺、内分泌源性疾病相鉴别,后期可能因呼吸衰竭、呼吸道感染、吸入性肺炎住院治疗[16]。限制性通气功能障碍是主要的肺功能表现,晚期患者可出现阻塞性通气功能障碍和弥散功能障碍。以呼吸症状门诊就诊的ALS患者出现呼吸衰竭不在少数,定期进行肺功能和多导睡眠图检查以及合理使用无创机械通气可改善患者预后,延长寿命。对于呼吸机依赖的患者可按照“ABCDE原则”逐一排除延迟撤机的原因,早日明确诊断,进行个体化治疗。

参考文献

(向下滑动查看全部文献)

[1] MacIntyre N R, Epstein S K, Carson S, et al. Management of patients requiring prolonged mechanical ventilation: report of a NAMDRC consensus conference[J]. Chest, 2005, 128(6):3937-3954.

[2] Boles  JM, Bion J, Connors A, et al. Weaning from mechanical ventilation[J]. Eur Respir J, 2007, 29(5):1033-1056.

[3] Heunks L M,van der Hoeven J G.Clinical review: the ABC of weaning failure-a structrued approach[J]. Crit Care, 2010, 14:245.

[4] Richard C, Teboul J L, Archambaud F, et al. Left ventricular function during weaning of patients with chronic obstructive pulmonary disease[J]. Intensive Care Med, 1994, 20:181-186.

[5] Perren A, Brochard L. Managing the apparent and hidden difficulties of weaning from mechanical ventilation[J]. Intensive Care Med, 2013, 39(11):1885-1895.

[6] Rothenhäusler H B, Ehrentraut S, von Degenfeld G, et al. Treatment of depression with methylphenidate in patients diffi cult to wean from mechanical ventilation in the intensive care unit[J]. J Clin Psychiatry, 2000, 61:750-755.

[7] Salam A, Tilluckdharry L, Moateng-Adjepong Y, et al. Neurologic status, cough, secretions and extubation outcomes[J]. Intensive Care Med, 2004, 30:1334-1339.

[8] Latronico N, Fenzi F, Recupero D, et al. Critical illness myopathy and neuropathy[J]. Lancet, 1996, 347:1579-1582.

[9] Martin A D, Davenport P D, Franceschi A C, et al. Use of inspiratory muscle strength training to facilitate ventilator weaning: a series of 10 consecutive patients[J]. Chest, 2002, 122:192-196.

[10] Wijesekera L C, Leigh P N. Amyotrophie lateral sclerosis[J]. Orphanet J Rare Dis, 2009, 4:3.

[11] de Carvalho M, Matias T, Coelho F, et al. Motor neuron disease presenting with respiratory failure[J]. J Neurol Sci, 1996, 139: 117-122.

[12] Gautier G, Verschueren A, Monnier A, et al. ALS with respiratory onset: clinical features and efects of non-invasive ventilation on the prognosis[J]. Amyotroph Lateral Scler, 2010, 11:379-382.

[13] Shoesmith C L, Findlater K, Rowe A, et al. Prognosis of amyotrophic lateral sclerosis with respiratory onset[J]. J Neurol Neurosurg Psychiatry, 2007, 78:629-631.

[14] 华玲, 王利力, 王继明, 等. 肌萎缩侧索硬化症肺通气功能改变与病情程度的相关性[J]. 中国临床神经科学, 2006, 14:383-387. 

[15] Tsara V, Serasli E, Steiropoulos P, et al. Respiratory function in amyotrophic lateral sclerosis patients. The role of sleep studies[J]. Hippokratia, 2010, 14:33-36.

[16] Pisa F E, Logroscino G, Battiston P G,et al.  Hospitalizations due to respiratory failure in patients with Amyotrophic Lateral Sclerosis and their impact on survival: a population-based cohort study[J]. BMC Pulm Med, 2016, 16(1):136.

查阅更多【重症实战—病例集锦】相关文章,请扫描识别下方二维码或点击文末【阅读原文】

为什么会出现呼吸机依赖以呼吸困难首诊的肌萎缩侧索硬化症及呼吸机依赖原因分析_https://www.jmylbn.com_新闻资讯_第15张

为什么会出现呼吸机依赖以呼吸困难首诊的肌萎缩侧索硬化症及呼吸机依赖原因分析_https://www.jmylbn.com_新闻资讯_第16张