人喝活检怎么急救陈双成|急诊危重症原发性中枢神经系统淋巴瘤患者天坛医院急救方案的疗效分析

新闻资讯2026-04-21 01:44:33

人喝活检怎么急救陈双成|急诊危重症原发性中枢神经系统淋巴瘤患者天坛医院急救方案的疗效分析_https://www.jmylbn.com_新闻资讯_第1张


本文内容已经过同行评议,以优先出版方式在线发表,可作为有效引用数据。由于优先发表的内容尚未完成规范的编校流程,《中华外科杂志》不保证其数据与印刷版内容的完全一致。


【引用本文】陈双成,杨传维,关春燕,等.急诊危重症原发性中枢神经系统淋巴瘤患者天坛医院急救方案的疗效分析[J/OL].中华外科杂志,2022,60:网络预发表.


急诊危重症原发性中枢神经系统淋巴瘤患者天坛医院急救方案的疗效分析

陈双成 杨传维 刘焕光 崔勇 任晓辉 张建国 林松
{首都医科大学附属北京天坛医院神经外科 北京市神经外科研究所}
关春燕 董格红 高子芬
{首都医科大学附属北京天坛医院病理科}


通信作者:任晓辉,Email:xiaohuiren@aliyun.com


人喝活检怎么急救陈双成|急诊危重症原发性中枢神经系统淋巴瘤患者天坛医院急救方案的疗效分析_https://www.jmylbn.com_新闻资讯_第2张


摘  要

目的 探讨急诊危重症原发性中枢神经系统淋巴瘤(PCNSL)患者的天坛医院急救方案的效果。


方法 回顾性分析2019年11月至2021年12月首都医科大学附属北京天坛医院神经外科收治的18例按天坛医院急救方案救治的危重症PCNSL患者的临床资料。男性9例,女性9例,年龄(56.9±11.1)岁(范围:29~77岁)。入院中位卡氏功能状态评分40分(范围:20~60分);浅昏迷3例,嗜睡3例,清醒12例;脑中线平均偏移0.7 cm(范围:0~1.8 cm)。患者入院后均按快速活检、快速病理学诊断和快速抢救性化疗的方案进行救治。收集患者救治情况、化疗后临床和影像学缓解率、卡氏功能状态评分和不良反应情况。


结果 18例患者均完成天坛医院急救方案救治,入院至活检的中位时间为1 d(范围:0~5 d),活检至常规病理学诊断的中位时间为1 d(范围:1~4 d),常规病理学诊断至化疗的中位时间为1 d(范围:0~4 d)。活检病理学诊断结果均为弥漫大B细胞淋巴瘤,其中1例为双打击淋巴瘤。化疗后临床好转17例,死亡1例(死因为心功能不全),抢救成功率为17/18;影像学疗效评估,肿瘤完全缓解1例,部分缓解16例,稳定1例。出院时,中位卡氏功能状态评分60分(范围:30~80分)。不良反应主要为胃肠道反应、血常规和肝功能异常。


结论 PCNSL患者的天坛医院急救方案快速有效,值得进一步推行与改进。



原发性中枢神经系统淋巴瘤(primary central nervous system lymphoma,PCNSL)是一种少见的淋巴结外高组织化程度的非霍奇金B细胞肿瘤,通常为大细胞或成免疫细胞亚型。PCNSL起源于脑-脊髓轴,包括脑实质、脊髓、眼、颅神经及脑膜,占中枢神经系统肿瘤的0.5%~6.5%,占结外非霍奇金淋巴瘤的4%~6%[1],年发病率约为0.47/10万人,且年龄越大,发病率越高[2]。PCNSL进展迅速,1/3的患者因颅高压以危重症就诊于急诊[3],此类患者往往存在意识障碍、低卡氏功能状态(Karnofsky performance status,KPS)评分和脑疝征象。急诊救治原则是活检明确病理学诊断后尽快化疗[4, 5],NCCN中枢神经系统肿瘤诊疗指南不推荐行手术切除,建议行颅内病灶立体定向活检以明确诊断即可,仅在可能发生脑疝等危急情况下选择手术挽救治疗。对于影像学疑似PCNSL,但无病理学诊断的患者,临床治疗棘手。探讨和规范此类危重症患者急诊救治方案不仅可减少误诊、误治的发生,还可提高抢救成功率和临床疗效。首都医科大学附属北京天坛医院神经外科急诊收治的危重症PCNSL病例较多,自2019年以来制定了一套快速有效的急救方案,抢救成功率高,现报告如下。


资料与方法



一、一般资料

回顾性分析2019年11月至2021年12月我科收治的符合急危重症患者标准且具有PCNSL影像学特征的18例患者的临床资料。PCNSL患者的影像学特征:肿瘤主要发生部位为深部白质,多与脑室相邻,多发生于血管周围间隙较丰富的额顶叶脑白质内近皮质处、胼胝体区近室管膜处和脑干,可多发;MRI图像特征为肿瘤均匀增强,强化病灶呈“握雪征”,位于胼胝体压部的病灶呈“蝴蝶征”,强化边缘欠锐利,有“朦胧感”,内无坏死区。将符合以下3个条件之一的患者定义为危重症患者:(1)意识障碍;(2)KPS评分≤40分;(3)中线偏移≥0.5 cm。18例患者中,男性9例,女性9例,年龄(56.9±11.1)岁(范围:29~77岁)。入院中位KPS评分为40分(范围:20~60分);浅昏迷3例,嗜睡3例,清醒12例;脑中线平均偏移0.7 cm(范围:0~1.8 cm)。

本研究符合《赫尔辛基宣言》要求,相关治疗前患者及家属均签署知情同意书。

二、快速救治方案

1.入院一般治疗:危重症PCNSL患者急诊入院后,立即脱水补液,注意电解质平衡和加强营养,禁用激素,意识障碍患者加强雾化排痰,避免坠积性肺炎、下肢深静脉血栓等卧床并发症。如患者发生脑疝,可行急诊开颅手术。

2.快速活检:采用导航MRI和全身PET-CT或PET-MRI检查,尽快完成颅内病变立体定向活检术。

3.快速病理学诊断:活检后部分标本进行冰冻快速病理学诊断,由于冰冻病理学诊断PCNSL准确率有限,剩余标本经自动组织处理仪制作成常规蜡块标本后行PCNSL免疫组化染色(Ki-67、CD20、PAX5、GFAP和Olig-2)和常规病理学诊断,24~72 h获得快速病理学诊断结果;补充免疫组化和荧光原位杂交检测后,进一步分型并鉴别双、三打击淋巴瘤。

4.快速抢救性化疗:若快速病理学检查结果提示PCNSL,则当日立即给予糖皮质激素(简称激素)联合替莫唑胺化疗(200 mg·m-2·d-1,连用5 d),意识清楚且吞咽功能正常患者给予口服替莫唑胺化疗,意识障碍或吞咽困难患者选择静脉注射替莫唑胺,待患者KPS评分改善且常规病理学检查明确诊断后,给予利妥昔单抗(375 mg/m2)联合大剂量氨甲蝶呤(3~5 g/m2)化疗。该方案需要急诊科、神经外科、病理科和肿瘤科的紧密合作。

三、随访方法与评估指标

记录患者抢救后意识障碍程度、KPS评分、中线偏移程度、临床和影像学缓解率、抢救成功率和不良反应发生情况。

影像学缓解率评价方法:在快速抢救性化疗后复查头颅增强MRI,影像学疗效评价分为完全缓解(病灶完全消失)、部分缓解(病灶减少≥50%)、疾病稳定(病灶减少<50%或增大<25%)和疾病进展(病灶增大≥25%)。

结果



一、临床疗效(表1)

表1 18例危重症原发性中枢神经系统淋巴瘤患者的临床资料

人喝活检怎么急救陈双成|急诊危重症原发性中枢神经系统淋巴瘤患者天坛医院急救方案的疗效分析_https://www.jmylbn.com_新闻资讯_第3张

18例患者均按急救方案救治,入院至活检中位时间1 d(范围:0~5 d),活检至常规病理学诊断中位时间1 d(范围:1~4 d),常规病理学诊断至化疗的中位时间1 d(范围:0~4 d)。患者病理学检查结果均证实为弥漫大B细胞淋巴瘤,其中1例为双打击淋巴瘤。化疗后临床好转17例,死亡1例(死因为心功能不全),抢救成功率为17/18;出院时,中位KPS评分60分(范围:30~80分)。患者随访4~36个月,死亡5例。

依据化疗常见不良反应事件评价标准4.0版,患者不良反应均为1~2级,主要为胃肠道反应(4例)、血常规异常(7例)和肝功能异常(10例),均给予对症处理。恶心呕吐患者给予止吐药物,腹泻患者给予调节肠道菌群药物,骨髓抑制给予升高白细胞、升高血小板治疗,肝功能异常者给予保肝治疗。

二、影像学疗效评估结果

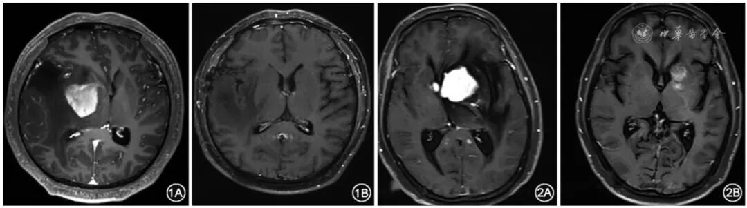
18例患者肿瘤完全缓解1例,部分缓解16例,疾病稳定1例。典型病例的影像学图像见图1、2。

人喝活检怎么急救陈双成|急诊危重症原发性中枢神经系统淋巴瘤患者天坛医院急救方案的疗效分析_https://www.jmylbn.com_新闻资讯_第4张

图1 危重症原发性中枢神经系统淋巴瘤患者(例5)化疗前后MRI图像:患者入院时卡氏功能状态(KPS)评分60分,化疗前脑中线偏移严重(1A);1个疗程化疗后肿瘤部分缓解,中线复位(1B)
图2 危重症原发性中枢神经系统淋巴瘤患者(例7)化疗前后MRI图像:入院时浅昏迷,KPS评分20分,化疗前脑中线移位,组织水肿明显(2A);1个疗程化疗后肿瘤部分缓解,中线复位(2B)

讨论



因肿瘤进展迅速,瘤周水肿明显,约1/3的PCNSL患者以严重颅高压(头痛、恶心呕吐和视乳头水肿)甚至出现脑疝和昏迷,首诊于神经外科急诊,属于神经外科急危重症,处理相对棘手。不同于其他颅内肿瘤,此类患者诊疗具有特殊性,通常无需开颅手术和去骨瓣减压[4],手术切除肿瘤只在以下情况下进行:(1)患者疾病晚期,肿瘤巨大占位效应明显,已经出现脑疝前期表现,不能等待化疗和放疗来快速获得减压效果缓解病情;(2)影像学表现不完全符合PCNSL特点,临床诊断为胶质瘤或转移瘤,行手术治疗,术后病理学诊断证实为淋巴瘤;(3)PCNSL已引起严重的脑积水,可行脑室穿刺外引流或Ommaya囊置入,临时缓解症状。恰当、合理规范的急救可为患者带来良好的预后。目前尚无针对PCNSL危重症患者的急救规范,因此,探索其特殊急救方案具有重要意义。把握抢救时机和恰当的抢救化疗方案是挽救此类患者的关键。我院为此类患者制定了规范化的急救方案,包括快速活检、快速病理学诊断和快速抢救性化疗三个方面,此方案的实施需要急诊科、神经外科、病理科和肿瘤科的密切合作。

一、快速活检

掌握典型的PCNSL影像学特征是急诊科医师正确处理该病的前提,对影像学疑似PCNSL的危重症患者,快速完成急诊入院和活检前准备(包括全身PET-CT或PET-MRI),为局部麻醉立体定向或机器人活检争取时间。活检由神经外科功能专业组完成。使用激素后,约16%的肿瘤或瘤周水肿缩小甚至消失,因此,活检前禁用激素。特别需要注意的是,如果CT和MRI检查提示PCNSL的可能,在没有确诊或取得病理学证据以前,不要盲目地应用激素来缓解瘤周水肿,以免延误诊断,甚至造成不良后果。

二、快速病理学诊断

活检标本送达病理科完成快速冰冻病理学诊断,同时快速上机完成淋巴瘤相关免疫组化染色,24 h后完成常规病理学诊断并出具报告。快速冰冻病理学诊断通常不适合也不足以对PCNSL做出明确诊断[6, 7],因此,常规病理学检查十分重要。对于疑似PCNSL的病例,应建议临床提供足量标本组织以确保常规检查需求[8, 9]。我院病理科首选5个免疫组化指标用于快速病理学诊断(Ki-67、CD20、PAX5、GFAP和Olig-2),PCNSL由大的中心母细胞或免疫母细胞组成,核大,圆形、卵圆形、不规则或多形,核仁明显,分裂象活跃。其组化特征是成熟B细胞标志物CD20与PAX5阳性,Ki-67增殖指数常>70%甚至>90%,而GFAP和Oligo-2阴性。

三、快速抢救性化疗

对于常规病理学诊断为PCNSL的危重症患者,立即给予替莫唑胺联合激素方案化疗,该方案安全有效,不良反应小,适用于危重症患者,为后续的大剂量氨甲蝶呤化疗创造条件和赢得时间[10]。替莫唑胺化疗可有效控制肿瘤生长,减轻瘤周水肿,改善患者意识障碍和KPS评分,不良反应小。激素的应用可显著改善患者KPS评分,适用于严重颅高压有脑疝征象的患者。

PCNSL患者化疗首选氨甲蝶呤,但大剂量氨甲蝶呤化疗需要满意以下条件:患者意识清醒、KPS评分≥40、可亚叶酸钙漱口和进食饮水。对于意识障碍、KPS评分<40的患者可考虑放疗、其他方案的化疗或姑息治疗,也可选择作用温和、副作用小的替莫唑胺化疗方案,待意识改善和KPS评分提高后,再应用大剂量氨甲蝶呤化疗。相比于氨甲蝶呤,替莫唑胺的胃肠道及血液系统不良反应发生率低,可快速控制肿瘤生长,缓解颅高压,为后续治疗赢得时间,在危重症PCNSL的治疗中有重要价值。如果患者意识清醒,可选择口服替莫唑胺化疗;对于意识障碍和吞咽困难患者,注射用替莫唑胺是首选,生物利用度高。本组病例18例,17例患者肿瘤在短期内迅速得到控制,该化疗方案行之有效,值得推广。

综上所述,急救方案治疗PCNSL的危重症患者快速有效,成功率高,值得推广,本研究例数较少,有待扩大样本量,对该方案进行进一步改良。



参考文献

(在框内滑动手指即可浏览)


[1]林松.神经系统恶性肿瘤规范化、标准化诊治丛书.原发性中枢神经系统淋巴瘤分册[M].北京:人民卫生出版社,2012.

[2]VillanoJL,KoshyM,ShaikhH,et al.Age,gender,and racial differences in incidence and survival in primary CNS lymphoma[J].Br J Cancer,2011,105(9):1414-1418.DOI:10.1038/bjc.2011.357.

[3]BatailleB,DelwailV,MenetE,et al.Primary intracerebral malignant lymphoma:report of 248 cases[J].J Neurosurg,2000,92(2):261-266.DOI:10.3171/jns.2000.92.2.0261.

[4]MarcusR,HodsonD,CouplandS,等.成人原发性中枢神经系统淋巴瘤和原发性眼内淋巴瘤诊断及治疗指南[J].国际输血及血液学杂志,2008,31(6):570-575.DOI:10.3760/cma.j.issn.1673-419X.2008.06.025.

[5]AbreyLE,BatchelorTT,FerreriAJ,et al.Report of an international workshop to standardize baseline evaluation and response criteria for primary CNS lymphoma[J].J Clin Oncol,2005,23(22):5034-5043.DOI:10.1200/JCO.2005.13.524.

[6]《淋巴瘤病理学诊断规范》项目组.淋巴组织肿瘤病理学诊断规范[J].中华病理学杂志,2019,48(5):346-349.DOI:10.3760/cma.j.issn.0529-5807.2019.05.002.

[7]《肿瘤病理学诊断规范》项目组.肿瘤病理学诊断规范(总则)[J].中华病理学杂志,2016,45(8):522-524.DOI:10.3760/cma.j.issn.0529-5807.2016.08.005.

[8]李小秋.恶性淋巴瘤的组织形态分析[J].中华病理学杂志,2011,40(4):217-219.DOI:10.3760/cma.j.issn.0529-5807.2011.04.001.

[9]李敏,高子芬.淋巴瘤的病理学诊断[J].临床内科杂志, 2015,(3):152-154.DOI:10.3969/j.issn.1001-9057.2015.03.03.

[10]FoxCP,PhillipsEH,SmithJ,et al.Guidelines for the diagnosis and management of primary central nervous system diffuse large B-cell lymphoma[J].Br J Haematol,2019,184(3): 348-363. DOI:10.1111/bjh.15661.


点击“阅读原文”,加入读者俱乐部下载全文



题图  via  萧淑芳《丁香花》


人喝活检怎么急救陈双成|急诊危重症原发性中枢神经系统淋巴瘤患者天坛医院急救方案的疗效分析_https://www.jmylbn.com_新闻资讯_第5张




感谢你在学海无涯的征途上选择了我

———————————————

网刊阅读登陆中华外科杂志官方网站或在各大应用商店下载“中华医学期刊”APP,购买“中华医学会杂志社读者会员俱乐部”会员年卡、期刊年卡,或单篇付费下载,可阅读您感兴趣的文章的全文。

杂志订阅:识别上方二维码,即可进入《中华外科杂志》的微店,订阅全年各期或选择性订阅某期《中华外科杂志》。