vsd引流器怎么连接创面负压封闭引流技术(VSD),让患者创面更快痊愈!

新闻资讯2026-04-21 00:51:37

负压封闭引流技术(VSD)是指用内含有引流管的聚乙烯酒精水化海藻盐泡沫敷料,来覆盖或填充皮肤、软组织缺损的创面,再用生物半透膜对之进行封闭,使其成为一个密闭空间,最后把引流管接通负压源,通过可控制的负压来促进创面愈合的一种全新的治疗方法。

vsd引流器怎么连接创面负压封闭引流技术(VSD),让患者创面更快痊愈!_https://www.jmylbn.com_新闻资讯_第1张

一、VSD的作用机制

多侧孔的引流管外包裹一层海绵多孔材料贴敷于创面,将创面用特殊的半透膜材料封闭,其外加持续的负压吸引力。这就形成了一个封闭的持续负压引流系统。其对于创面微环境的作用是:在额定负压作用下可减轻组织间水肿,改善组织微循环,促进毛细血管再生,减少细菌积聚,从而促进肉芽组织、上皮组织的生长。

vsd引流器怎么连接创面负压封闭引流技术(VSD),让患者创面更快痊愈!_https://www.jmylbn.com_新闻资讯_第2张

二、VSD的适应症

◆ 重度软组织挫裂伤及软组织缺损;

◆ 大的血肿或积液;

◆ 骨筋膜室综合征;

◆ 开放性骨折可能/或合并感染者;

◆ 关节腔感染需切开引流者;

◆ 急慢性骨髓炎需开窗引流者;

◆ 体表脓肿和化脓性感染;

◆ 手术后切口感染;

◆ 植皮术后的植皮区;

◆ 溃疡、褥疮。

三、VSD技术的优点

 1、应用VSD技术治疗脓肿,亦可避免每日换药及更换引流纱条给孩子带来的痛苦,局部炎症消退时间明显缩短,家长护理难度大大降低。

2、去除细菌培养基和毒性分解产物,减少抗生素的应用。

3、刺激肉芽组织的生长、促进血液循环。

4、高效、全方位、零积聚、无毒性、组织刺激性、免疫活性、皮肤致敏性。

5、阻止外界细菌的进入。

vsd引流器怎么连接创面负压封闭引流技术(VSD),让患者创面更快痊愈!_https://www.jmylbn.com_新闻资讯_第3张



南阳市中心医院儿童外科简介


门诊:7号楼1楼儿童外科门诊诊断室

急诊:7号楼1楼儿童外科急诊诊断室

病区:7号楼11楼儿童外科东、西区


东区 护士站:65036112  医生办公室:65036110


西区 护士站:65036116  医生办公室:65036115



南阳市中心医院儿童外诊疗范围


胃肠、肝胆专业组

疝、鞘膜积液;儿童便秘;巨结肠;胆总管囊肿等


泌尿整形专业组

包茎;隐睾;尿道下裂;肾积水;多指、并指;体表包块等


急症创伤专业组

肠梗阻;嵌顿疝;阑尾炎;肠套叠;头外伤;四肢、骨盆骨折;胸、腹脏器损伤等


新生儿,血管瘤专业组

新生儿腹胀、呕吐;幽门梗阻;肛门、直肠、消化道畸形,血管瘤、淋巴管瘤等


肿瘤、普胸专业组

胸、腹、盆腔肿瘤;脓、血、气胸;肺畸形等




特色医疗


一、微创理念和单孔腔镜技术

优势:“更微创”、“视觉无痕“、”心理无痕”。



vsd引流器怎么连接创面负压封闭引流技术(VSD),让患者创面更快痊愈!_https://www.jmylbn.com_新闻资讯_第4张
vsd引流器怎么连接创面负压封闭引流技术(VSD),让患者创面更快痊愈!_https://www.jmylbn.com_新闻资讯_第5张

肾积水术前术后



vsd引流器怎么连接创面负压封闭引流技术(VSD),让患者创面更快痊愈!_https://www.jmylbn.com_新闻资讯_第6张
vsd引流器怎么连接创面负压封闭引流技术(VSD),让患者创面更快痊愈!_https://www.jmylbn.com_新闻资讯_第7张

儿童“疝”术前、术后



vsd引流器怎么连接创面负压封闭引流技术(VSD),让患者创面更快痊愈!_https://www.jmylbn.com_新闻资讯_第8张
vsd引流器怎么连接创面负压封闭引流技术(VSD),让患者创面更快痊愈!_https://www.jmylbn.com_新闻资讯_第9张
腹腔肿瘤术前、术后



vsd引流器怎么连接创面负压封闭引流技术(VSD),让患者创面更快痊愈!_https://www.jmylbn.com_新闻资讯_第10张
vsd引流器怎么连接创面负压封闭引流技术(VSD),让患者创面更快痊愈!_https://www.jmylbn.com_新闻资讯_第11张


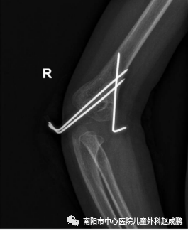
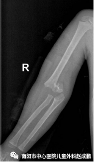
骨折闭合复位经皮穿针固定(不切开)术前、术后



二、无痛治疗技术

   包茎,血管瘤,小阴唇粘连,外伤清创缝合;体表肿块。



vsd引流器怎么连接创面负压封闭引流技术(VSD),让患者创面更快痊愈!_https://www.jmylbn.com_新闻资讯_第12张
vsd引流器怎么连接创面负压封闭引流技术(VSD),让患者创面更快痊愈!_https://www.jmylbn.com_新闻资讯_第13张


包茎术前、术后



三、加速康复技术

加速康复技术治疗复杂创伤和急、危、重症







- End -

【特别声明】
文素材来源于网络
版权归原作者所有
如有侵权,请及时联系我们予以删除
vsd引流器怎么连接创面负压封闭引流技术(VSD),让患者创面更快痊愈!_https://www.jmylbn.com_新闻资讯_第14张
vsd引流器怎么连接创面负压封闭引流技术(VSD),让患者创面更快痊愈!_https://www.jmylbn.com_新闻资讯_第15张
扫码关注
带您了解更多健康知识