logiq e怎么读【精准医疗 影像先行】五代超高端全身应用彩色多普勒超声诊断仪GE LOGIQ E11在我院投入使用

新闻资讯2026-04-21 00:02:38

logiq e怎么读【精准医疗 影像先行】五代超高端全身应用彩色多普勒超声诊断仪GE LOGIQ E11在我院投入使用_https://www.jmylbn.com_新闻资讯_第1张

点击上方蓝字关注我们吧

logiq e怎么读【精准医疗 影像先行】五代超高端全身应用彩色多普勒超声诊断仪GE LOGIQ E11在我院投入使用_https://www.jmylbn.com_新闻资讯_第2张


logiq e怎么读【精准医疗 影像先行】五代超高端全身应用彩色多普勒超声诊断仪GE LOGIQ E11在我院投入使用_https://www.jmylbn.com_新闻资讯_第3张

近日,我院引进了五代超高端全身应用彩色多普勒超声诊断仪GE LOGIQ E11,现已安装调试完毕并投入使用,大幅提升了我院超声服务能力,使广大患者在家门口就能够享受到优质医疗服务。


该设备采用的是最新第五代超声平台,首次将动态空间像素聚焦技术以及智能像素优化技术等先进的像素级处理应用到超声成像系统之中,此平台采用专利的cSound™3.0全芯片化硬件设计,机器的运算能力及速度几何数级增加,具有更高信息量、更高的分辨力、更高的帧频,血流敏感性,更多针对特定病种的高级功能的成像质量和精准度也相应提升。拥有清晰卓越的图像、领先的病灶定量评估技术,诊疗范围涵盖心脏、血管、腹部、妇产、甲状腺、乳腺、眼部、小儿、浅表组织、肌骨、介入等众多领域,将我院超声实力提升到区内先进水平行列。

logiq e怎么读【精准医疗 影像先行】五代超高端全身应用彩色多普勒超声诊断仪GE LOGIQ E11在我院投入使用_https://www.jmylbn.com_新闻资讯_第4张

logiq e怎么读【精准医疗 影像先行】五代超高端全身应用彩色多普勒超声诊断仪GE LOGIQ E11在我院投入使用_https://www.jmylbn.com_新闻资讯_第5张


 成像更清晰


凭借全新的cSound+全“芯”空间像素平台、冰晶探头技术、先进的TCI动态空间像素聚焦技术及ACE智能像素优化技术等众多领先科技,LOGIQ  E11在临床超声检查中可实现“去伪存真”,使图像更清晰、诊断更精准、操作更便捷,同时可满足于科研需要。  

logiq e怎么读【精准医疗 影像先行】五代超高端全身应用彩色多普勒超声诊断仪GE LOGIQ E11在我院投入使用_https://www.jmylbn.com_新闻资讯_第6张


  穿透力更强,分辨更精准


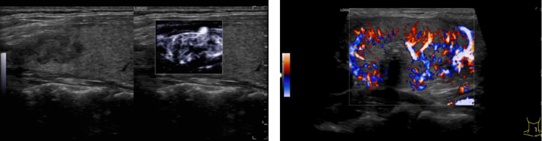
冰晶探头技术可在获得更高分辨力的同时兼顾高穿透力,帮助医师及时观察到脏器的病变。设备搭配的B-Flow™ 类造影血流和MVI 超微细血流成像,对血流显示能力大幅提升, 可捕捉到组织及病灶的细小血管,可观察到血管中较小斑块,提高临床诊疗能力。同时配备应力式弹性成像,对一些器官的结节,可做弹性成像检查,进一步明确肿物性质。

logiq e怎么读【精准医疗 影像先行】五代超高端全身应用彩色多普勒超声诊断仪GE LOGIQ E11在我院投入使用_https://www.jmylbn.com_新闻资讯_第7张

▲新的血流成像技术可清晰包络出甲状腺结节隐藏边界&甲状腺结节内丰富的血流


logiq e怎么读【精准医疗 影像先行】五代超高端全身应用彩色多普勒超声诊断仪GE LOGIQ E11在我院投入使用_https://www.jmylbn.com_新闻资讯_第8张

▲弹性成像显示乳腺浸润性导癌硬度分布


  应用范围更广泛


LOGIQ E11配备5大探头,其诊疗范围涵盖心血管、腹部、乳腺、甲状腺、妇科、产科、关节等众多领域,配备的专业甲状腺乳腺探头细微分辨率好,专业心脏超声探头可实现120°超大视野成像。

logiq e怎么读【精准医疗 影像先行】五代超高端全身应用彩色多普勒超声诊断仪GE LOGIQ E11在我院投入使用_https://www.jmylbn.com_新闻资讯_第9张

logiq e怎么读【精准医疗 影像先行】五代超高端全身应用彩色多普勒超声诊断仪GE LOGIQ E11在我院投入使用_https://www.jmylbn.com_新闻资讯_第10张

logiq e怎么读【精准医疗 影像先行】五代超高端全身应用彩色多普勒超声诊断仪GE LOGIQ E11在我院投入使用_https://www.jmylbn.com_新闻资讯_第11张

GE LOGIQ E11是世界最顶级的高端彩超,图像高清,性能优越。超声科主任吕宗昌表示,机器一经使用,就受到了广大患者的交口称赞。高端彩超的引进,将助力花都二院超声诊断水平迈上新台阶。
logiq e怎么读【精准医疗 影像先行】五代超高端全身应用彩色多普勒超声诊断仪GE LOGIQ E11在我院投入使用_https://www.jmylbn.com_新闻资讯_第12张
logiq e怎么读【精准医疗 影像先行】五代超高端全身应用彩色多普勒超声诊断仪GE LOGIQ E11在我院投入使用_https://www.jmylbn.com_新闻资讯_第13张

END


logiq e怎么读【精准医疗 影像先行】五代超高端全身应用彩色多普勒超声诊断仪GE LOGIQ E11在我院投入使用_https://www.jmylbn.com_新闻资讯_第13张
logiq e怎么读【精准医疗 影像先行】五代超高端全身应用彩色多普勒超声诊断仪GE LOGIQ E11在我院投入使用_https://www.jmylbn.com_新闻资讯_第15张

logiq e怎么读【精准医疗 影像先行】五代超高端全身应用彩色多普勒超声诊断仪GE LOGIQ E11在我院投入使用_https://www.jmylbn.com_新闻资讯_第16张

来源:医学影像科

编辑:彭博

审核:张哲