gore医疗怎么样TAMBE重塑复杂主动脉瘤治疗格局的技术解析

新闻资讯2026-04-20 23:42:32
gore医疗怎么样TAMBE重塑复杂主动脉瘤治疗格局的技术解析_https://www.jmylbn.com_新闻资讯_第1张

米国怀旧金曲:马萨诸塞
gore医疗怎么样TAMBE重塑复杂主动脉瘤治疗格局的技术解析_https://www.jmylbn.com_新闻资讯_第2张
华夏第一城池——襄阳
gore医疗怎么样TAMBE重塑复杂主动脉瘤治疗格局的技术解析_https://www.jmylbn.com_新闻资讯_第3张
gore医疗怎么样TAMBE重塑复杂主动脉瘤治疗格局的技术解析_https://www.jmylbn.com_新闻资讯_第4张

2024年1月,当米国食品药品监督管理局正式批准GORE EXCLUDER Thoracoabdominal Branch Endoprosthesis [胸腹分支腔内移植物(TAMBE) 时,全球血管外科领域都意识到一个新时代的来临。这并非仅仅是又一个新器械的上市,而是标志着针对累及内脏分支的胸腹主动脉瘤及肾周腹主动脉瘤的治疗范式发生了根本性转变。

在此之前的十数年里,对于这些复杂病变,临床医生只能在创伤巨大的开放手术、高度依赖术者技巧且缺乏标准化的“医师改装移植物”技术,以及等待周期漫长的完全定制化开窗/分支移植物之间进行艰难抉择。每一种选择都伴随着显著的局限:开放手术的死亡率与并发症率居高不下;PMEG技术难以规模化且学习曲线陡峭;完全定制化移植物则可能让动脉瘤快速进展的患者在等待中失去治疗机会。

gore医疗怎么样TAMBE重塑复杂主动脉瘤治疗格局的技术解析_https://www.jmylbn.com_新闻资讯_第5张

胸腹分支腔内移植物 (TAMBE)

TAMBE的核心突破在于其“现成可用”的四分支内脏重建理念。它成功地将治疗从“为患者定制器械”的思维,部分转向了“用标准化器械适配合格解剖”的模式。这种转变的临床意义在2025年10月日本的首例植入中得到了延伸体现。由东京慈惠会大学医学院血管外科主任大木 隆生 (Takao Ohki) 教授与Jason T. Lee教授合作完成的这例手术,不仅是一次技术展示,更揭示了TAMBE作为一项成熟技术在全球不同医疗体系中的可复制性。它意味着,一个经过严格临床试验验证的标准化解决方案,开始为更广泛的患者群体提供一种可预测的、高质量的微创治疗选项。

gore医疗怎么样TAMBE重塑复杂主动脉瘤治疗格局的技术解析_https://www.jmylbn.com_新闻资讯_第6张

TAMBE的成功并非凭空而来,其深层逻辑植根于W.L. Gore数十年在ePTFE覆膜支架领域的积累,并体现了一种高明的“平台化”产品思维。与其说TAMBE是一个全新发明,不如说它是一次精妙的系统集成创新。

主动脉主体组件:创新的焦点
这是整个系统的技术枢纽,其设计直接回应了此前分支技术的核心痛点。四个内脏分支口的设计并非简单地在管状支架上开孔,而是经过了复杂的流体力学计算和疲劳测试,以确保在长期搏动性血流冲击下的结构完整性。其采用的预置导管系统是一项关键性便利设计。每一条预置的0.014英寸导丝都通过独立的、可移除的导丝管被精准定位,这实质上将术中最耗时且具有不确定性的步骤——从主动脉腔内反向寻找并超选分支开口——转变为直接的、正向的导丝捕获操作。根据早期可行性研究的操作记录,这一设计平均能为每个内脏分支节省15-30分钟的操作时间。

更值得称道的是其多阶段可控释放机制。与传统胸主动脉支架的“全或无”式释放不同,TAMBE的释放被分解为多个阶段,允许在主体部分张开后,其近端锚定部和内脏段仍保持部分约束状态。这种“半释放”状态为术者提供了宝贵的调整窗口:一方面,可以重新评估分支口与目标血管的对位情况,进行微调;另一方面,保持了主动脉腔内的工作空间,使得导管、鞘管在分支口内的操作更为从容,避免了在完全释放的支架内“盲目探索”的窘境。

gore医疗怎么样TAMBE重塑复杂主动脉瘤治疗格局的技术解析_https://www.jmylbn.com_新闻资讯_第7张

手术步骤示意图:包括放置预置贯穿导丝(A);将装置定位于腹腔干和肠系膜上动脉上方设置顺行分支口、肾动脉下方设置逆行分支口的位置(B);部分释放装置(C);以及使用圈套器将导丝重新引向左股动脉入路点(D)。


gore医疗怎么样TAMBE重塑复杂主动脉瘤治疗格局的技术解析_https://www.jmylbn.com_新闻资讯_第8张

将7-F COOK® FLEXOR® ANSEL 导引导鞘置入肾动脉分支口(A),随后分别对腹腔干(B)、肠系膜上动脉(C)及肾动脉(D)进行选择性插管。


gore医疗怎么样TAMBE重塑复杂主动脉瘤治疗格局的技术解析_https://www.jmylbn.com_新闻资讯_第9张

装置释放后扩张近端锚定区(A);随后置入肾动脉支架移植物(B),以及分叉型远端主体装置和髂支,以恢复下肢灌注(C)。手术通过置入肠系膜上动脉及腹腔干支架移植物完成(D, E)。


gore医疗怎么样TAMBE重塑复杂主动脉瘤治疗格局的技术解析_https://www.jmylbn.com_新闻资讯_第10张

巴西弗洛里亚诺波利斯首例全球手术(由圣卡塔琳娜联邦大学的Pierre Galvagni医生及其团队完成)。术前(A)与术后(B)CTA显示支架移植物通畅良好,术后1年无内漏。


gore医疗怎么样TAMBE重塑复杂主动脉瘤治疗格局的技术解析_https://www.jmylbn.com_新闻资讯_第11张

巴西弗洛里亚诺波利斯第二例全球手术(由圣卡塔琳娜联邦大学的Pierre Galvagni医生及其团队完成)。术前(A)与术后(B)CTA显示支架移植物通畅良好,术后1年无内漏。


gore医疗怎么样TAMBE重塑复杂主动脉瘤治疗格局的技术解析_https://www.jmylbn.com_新闻资讯_第12张

米国明尼苏达州罗切斯特市梅奥诊所完成的第三例全球手术,亦为米国首例(由Gustavo Oderich医生及其团队完成)。示意图展示了动脉瘤形态(A)以及术前(B)、术后(C)CTA图像。经治疗动脉瘤的示意图(D)及GORE® EXCLUDER® 胸腹分支腔内移植物示意图(E)。

桥接支架的选择:Viabahn VBX的战略意义
选择Gore Viabahn VBX球囊扩张式覆膜支架作为标准桥接组件,是一次深思熟虑的决策。在TAMBE问世前,复杂分支腔内修复中桥接支架的选择长期处于“百家争鸣”的状态,从球扩式覆膜支架到自膨式覆膜支架,再到“支架套支架”的复合策略,缺乏金标准。

gore医疗怎么样TAMBE重塑复杂主动脉瘤治疗格局的技术解析_https://www.jmylbn.com_新闻资讯_第13张

VBX支架的设计试图融合两类支架的优点:它保留了球扩支架的精准定位能力强大的即时径向支撑力,这对于确保分支口与靶血管之间的无缝对接、防止早期扭折或压缩至关重要;同时,其独特的ePTFE覆膜与螺旋环绕的镍钛合金骨架结构,又赋予了它超越传统球扩支架的纵向柔顺性,以适应呼吸、内脏运动带来的持续形变。FDA SSED文件中详述的耐久性测试表明,该组件在模拟10年生理运动的疲劳测试中表现良好。

TAMBE装置基于GORE EXCLUDER AAA Endoprosthesis (W. L. GORE & Associates) 平台,使用镍钛合金支架、适合扩张的聚四氟乙烯技术,和4个顺行接口,用于将GORE VIABAHN球囊可膨胀腔内假体 (覆膜支架) 置入靶血管(VBX;  W. L. Gore & Associates)。


gore医疗怎么样TAMBE重塑复杂主动脉瘤治疗格局的技术解析_https://www.jmylbn.com_新闻资讯_第14张

主动脉主体组件 - 腔内移植物

GORE® EXCLUDER® 胸腹分支腔内移植物的主动脉主体组件被植入主动脉的内脏段,其设有四个分支口,用于容纳分支组件。该组件旨在主动脉内实现近端(膈上)的密封与锚定。肠系膜上动脉、腹腔干动脉以及肾动脉的血流通过主动脉主体组件上的四个顺行分支口进行灌注。所有分支组件均在血管腔内修复过程中经肱动脉/腋动脉入路输送。



gore医疗怎么样TAMBE重塑复杂主动脉瘤治疗格局的技术解析_https://www.jmylbn.com_新闻资讯_第15张
gore医疗怎么样TAMBE重塑复杂主动脉瘤治疗格局的技术解析_https://www.jmylbn.com_新闻资讯_第16张

主动脉主体组件 - 垂直观

gore医疗怎么样TAMBE重塑复杂主动脉瘤治疗格局的技术解析_https://www.jmylbn.com_新闻资讯_第17张

主动脉主体组件 - 管腔观

主动脉主体组件由膨体聚四氟乙烯 / 氟化乙烯丙烯共聚物覆膜镍钛合金支架构成。该装置通过ePTFE / FEP材料的缝合套袖被约束在输送导管上。


gore医疗怎么样TAMBE重塑复杂主动脉瘤治疗格局的技术解析_https://www.jmylbn.com_新闻资讯_第18张


主动脉主体组件输送系统。



gore医疗怎么样TAMBE重塑复杂主动脉瘤治疗格局的技术解析_https://www.jmylbn.com_新闻资讯_第19张

主动脉主体组件在输送系统上的约束状态与已释放状态。


gore医疗怎么样TAMBE重塑复杂主动脉瘤治疗格局的技术解析_https://www.jmylbn.com_新闻资讯_第20张


GORE EXCLUDER Thoracoabdominal Branch Endoprosthesis (TAMBE)


3D动画视频:胸腹主动脉瘤的四分支即用型装置解决方案:


首个获米国FDA批准的、用于治疗累及内脏主动脉的复杂动脉瘤疾病的现成腔内修复解决方案


gore医疗怎么样TAMBE重塑复杂主动脉瘤治疗格局的技术解析_https://www.jmylbn.com_新闻资讯_第21张


植入TAMBE的过程包括将不同的部分通过腿部的股动脉和上臂的肱动脉或腋动脉输送到主动脉。

使用透视或实时X射线图像植入部件,并按照以下步骤在监视器上查看(上图说明了这些步骤):

1. 主动脉部分通过股动脉插入并位于动脉瘤上方。然后对其进行部分展开。

2. 分支部分通过主动脉部分设计的开口插入和展开,并进入相应的内脏动脉。

3. 在主动脉部分完全展开后,插入并展开其他部分,如远端分叉部分和对侧腿部分,以完成主动脉支架贴附。

4. 一旦所有部分都展开,可以使用血管内球囊来帮助完全扩张和密封装置贴到血管壁。

表:TAMBE主动脉主体组件的工程学规格与解剖适配

参数
规格A (31mm)
规格B (37mm)
近端直径
31 mm
37 mm
适用近端主动脉直径
22-29 mm
27-34 mm
内脏段设计
远端直径20mm,长度160mm
同左
分支口设计
近端口8mm,远端口6mm
同左
输送外鞘
22 Fr
22 Fr
参数
临床解剖学意义
近端直径
决定了近端锚定区(膈肌上方的胸主动脉)的适用直径范围,必须确保10-20%的oversizing以获得稳定锚定与密封。
适用近端主动脉直径
界定了患者的入选标准。要求近端至少有2cm的健康锚定区。
内脏段设计
160mm的长度旨在覆盖从腹腔干上缘至肾动脉下缘的典型距离。内脏段直径(≥20mm)必须足够,为四个分支支架的展开提供空间,防止“ crowding”效应。
分支口设计
锥形设计可能有助于引导导管进入,并与VBX支架的锥形形态相匹配。
输送外鞘
要求患者具有足够尺寸的股动脉/髂动脉入路。推动了全股动脉入路等替代技术的探索。

TAMBE的IFU所规定的解剖标准是其疗效与安全性的护城河,也是理解其适用边界的关键。这些标准源于早期可行性研究和关键性试验中积累的经验与教训。

近端锚定区:耐久性的基石
要求近端颈部长度≥20mm且成角≤60°,这与现代复杂EVAR对近端密封的共识一致。一个常被忽略的细节是“动脉瘤近端距最近端内脏动脉≤6.5cm”这一限制。这实质上定义了TAMBE所能治疗的胸腹主动脉瘤的近端边界。对于需要更近端锚定(如Crawford II型TAAA)的患者,则需要在TAMBE近端衔接一个胸主动脉支架。这引出了另一个重要话题:与Gore TAG Conformable胸主动脉支架的联合使用。在关键试验中,有4名患者因术中发现Ia型内漏或医源性夹层而联合使用了胸主动脉支架,这证明了该平台内组件协同工作的灵活性。

内脏动脉的“黄金标准”
肾动脉直径4-10mm、肠系膜动脉直径5-12mm的要求,覆盖了绝大多数患者的解剖。但长度≥15mm的要求则更具挑战性。它要求靶血管在起始部有一段相对平直、无重要分支的“着陆区”,以容纳桥接支架并确保其稳定性。对于存在早期分叉(如早发肾动脉分叉)或严重钙化、斑块的靶血管,这一要求往往难以满足。这也是目前所有分支技术共同面临的解剖限制。

主动脉内脏段的“通道”概念
要求内脏段主动脉(最近端内脏动脉近端3cm至远端9.5cm)直径≥20mm,这是TAMBE设计独有的、至关重要的考量。这个区域是四个分支支架从主体发出后、进入各自靶血管前并行通过的“通道”。如果主动脉本身在此处因动脉瘤退化而严重扩张,空间自然充裕;但如果是一个相对正常或仅轻度扩张的主动脉,20mm的直径限制就是为了确保四个支架在有限空间内能顺利展开而不相互挤压。SSED文件中的“警告”部分特别指出,不推荐在狭窄的内脏主动脉段内交叉放置分支支架,这正源于对支架间相互干扰可能导致远期疲劳断裂的担忧。

TAMBE关键性试验的设计与结果是理解其价值与局限性的核心文本。该试验采用了与历史对照进行比较的绩效目标法,两个主要复合终点的设定本身就反映了监管机构与临床专家对这类创新器械的谨慎期待。

“技术成功”定义的演变与启示
试验报告81.4%的“无并发症技术成功”率,这一定义非常严苛,将任何非计划内使用非TAMBE组件的情况均视为失败。在102例患者中,有19例因此未能达标,其中最主要的原因是术中使用了额外的支架(如裸支架处理内脏动脉夹层、主动脉延长支架处理对接区等)。然而,若采用2021年血管外科学会更新的、更符合临床实践的报告标准(允许使用必要的辅助器材处理并发症),技术成功率跃升至99%。这一巨大反差极具启发性:

它揭示了现代复杂腔内手术的常态:成功并非意味着完全按原计划机械执行,而是指有能力在术中灵活应对各种挑战(如夹层、痉挛、成角),并利用一切可用工具达成治疗目标。TAMBE试验中高达99%的SVS标准技术成功率,恰恰证明了该器械系统在经验丰富的医生手中具备处理复杂情况的能力与韧性

它反映了监管审评的考量:FDA采用更严格的定义,旨在更敏锐地捕捉与器械设计或使用相关的潜在问题。例如,8名患者因在主动脉主体与分叉组件连接处使用了延长支架,促使Gore后来将该延长支架正式列为可选组件并纳入IFU。这是一个典型的“临床试验驱动器械优化”的案例。

安全性终点:与开放手术的历史性分野
TAMBE在30天安全性方面交出了一份堪称卓越的成绩单:零死亡率、低位数的卒中与脊髓损伤率。尤其值得关注的是永久性截瘫(2%)和需透析的肾衰竭(2%)的发生率。与Coselli等报道的大型开放手术系列(择期手术死亡率3-8%,永久性截瘫1-5%,肾衰竭2-10%)相比,TAMBE显示出明显的微创优势。即使考虑到患者选择偏倚(临床试验倾向于纳入手术风险可接受的患者),这一差距仍然是实质性的。它强有力地论证了,对于符合解剖条件的患者,TAMBE提供了一条显著降低早期重大并发症风险的路径。

中期疗效:耐久性的初考与再干预的本质
12个月时,免于临床显著性再干预率为70.6%。这个数字需要辩证看待。一方面,它确实高于传统EVAR或开放手术的早期再干预率,提示分支修复的长期维护需求更高。但另一方面,分析这些再干预的性质至关重要。

分支相关再干预占主导:多数再干预针对的是分支支架的狭窄、闭塞或压缩。这与分支技术的本质有关——在主动脉与内脏动脉之间建立了一个新的、相对脆弱的血流通道。然而,与关键试验同期发表的Han等人的真实世界研究显示,在更复杂的病例中,30天分支不稳定性发生率(7-8%)保持稳定,且许多分支闭塞可通过二次介入成功再通。

动脉瘤相关不良事件极低:核心实验室确认的I型或III型内漏发生率为0%,这是对主动脉主体组件密封性和模块连接可靠性的有力背书。动脉瘤破裂发生率为0%,增大率仅为6%(且均伴有持续II型内漏)。这说明,只要主体支架系统保持完整,动脉瘤囊被有效隔绝,疾病进展的主要风险就得到了控制。

再干预的微创性:几乎所有的再干预都是通过腔内方式完成,这与开放手术术后可能需要开腹或开胸的再干预相比,在创伤性上不可同日而语。

2025年Han等人的研究为我们打开了一扇窗,让我们看到TAMBE离开严格控制的试验环境后,在真实临床实践中如何被使用。其最突出的发现是超适应证使用的广泛性

gore医疗怎么样TAMBE重塑复杂主动脉瘤治疗格局的技术解析_https://www.jmylbn.com_新闻资讯_第22张

适应症的拓展:医生们开始将TAMBE用于治疗慢性主动脉夹层、作为既往腔内修复失败后的挽救性方案、与胸部分支或髂分支装置联合构建全腔内主动脉弓-内脏区-髂动脉重建方案,甚至用于包含性破裂的急诊救治。这并非鲁莽,而是基于对该器械系统物理特性和操作逻辑的深刻理解后进行的合理拓展。

安全边际的保持:尽管病例更复杂,但30天死亡率保持为0%,这是最令人印象深刻的发现。它表明,在经验丰富的中心,即使面对超出IFU的挑战,TAMBE技术本身仍能提供一个相对安全的操作平台。当然,代价是脊髓缺血等并发症的发生率有所上升(从8%到20%),这清晰地警示:技术的拓展必须以更加强化的围术期管理(尤其是脊髓保护)为代价。

学习曲线的体现:该研究也间接反映了学习曲线。术者经验的积累可能使他们在更短时间内完成操作(研究显示手术时间略有缩短),并更有信心处理复杂解剖。

Gupta等人报道的“全股动脉入路”技术,是TAMBE应用史上一次重要的局部创新。它直击了标准技术的一个关键痛点:上肢入路相关的并发症,特别是卒中风险。

gore医疗怎么样TAMBE重塑复杂主动脉瘤治疗格局的技术解析_https://www.jmylbn.com_新闻资讯_第23张

卒中风险的流行病学依据:文中引用的VQI数据指出,上肢入路使复杂EVAR术后卒中风险增加8.4倍。这一风险主要源于导管、导丝在主动脉弓,特别是在存在动脉粥样硬化斑块的血管中反复操作,导致斑块脱落栓塞。对于主动脉弓解剖复杂(如III型弓)或已有严重粥样硬化的患者,这一风险尤为突出。

技术核心——“外循环”建立:该技术的精髓在于,通过从对侧股动脉引入可调弯鞘,与TAMBE主体并行,建立一个稳定的“外部工作通道”。通过这个通道,术者可以像操作标准上肢入路一样,捕捉预置导丝、送入鞘管、完成超选。这巧妙地将所有可能扰动主动脉弓的操作,转移到了降主动脉以远进行。

临床意义超越技术本身:这项技术不仅扩展了适用人群(上肢动脉病变、既往手术史、病态肥胖患者),更重要的是,它代表了一种思维转变——将复杂手术的入路策略从“规定动作”转变为“可优化变量”。它鼓励术者根据患者的具体解剖薄弱点,个性化设计最安全的入路方案。可以预见,未来可能会有更多针对特定患者群体的改良入路技术出现。


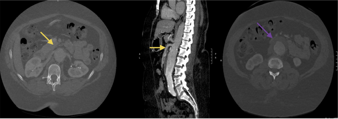
gore医疗怎么样TAMBE重塑复杂主动脉瘤治疗格局的技术解析_https://www.jmylbn.com_新闻资讯_第24张

术前横断面影像学检查显示一例5.5厘米IV型胸腹主动脉瘤;黄色箭头在轴位和矢状位图像上指向瘤体延伸至内脏血管水平,紫色箭头在轴位图像上指向瘤囊内存在血栓的动脉瘤。


gore医疗怎么样TAMBE重塑复杂主动脉瘤治疗格局的技术解析_https://www.jmylbn.com_新闻资讯_第25张

释放前准备:将V-18导丝通过可移除导丝管反向穿入后,将其穿过一个可撕裂鞘管圈套器,并插入左股动脉内的22 Fr鞘管中。


gore医疗怎么样TAMBE重塑复杂主动脉瘤治疗格局的技术解析_https://www.jmylbn.com_新闻资讯_第26张

装置放置与建立贯穿导丝:胸腹分支腔内移植物(TAMBE)通过其分支口装载了四根V-18导丝,经由左股动脉入路沿一根硬导丝被推送至主动脉内(A)。将8 Fr鞘管置入16 Fr可调弯鞘管内,通过右股动脉入路将其放置在TAMBE装置旁,然后进行TAMBE的第一阶段释放(B)。通过8 Fr鞘管内的圈套器,捕获预先穿过腹腔干分支口的V-18导丝(C)。将V-18导丝拉出8 Fr鞘管,从而建立一根贯穿导丝(D)。


gore医疗怎么样TAMBE重塑复杂主动脉瘤治疗格局的技术解析_https://www.jmylbn.com_新闻资讯_第27张

血管插管与支架输送:偏转可调弯鞘管,8 Fr鞘管沿着V-18导丝通过腹腔干分支口前进(A)。确认血管插管成功后,沿一根Rosen导丝将桥接支架定位在腹腔干动脉内(B)。完成TAMBE的第二阶段释放,扩张分支口;移除腹腔干内的贯穿导丝,然后释放腹腔干支架(C)。


gore医疗怎么样TAMBE重塑复杂主动脉瘤治疗格局的技术解析_https://www.jmylbn.com_新闻资讯_第28张

完成性主动脉造影:显示动脉瘤已被隔绝,内脏支架放置满意,无内漏证据。

TAMBE的卓越数据背后,是顶尖医疗中心一整套成熟体系的支撑。简单地购置器械远不足以复制这些成果。

精细的术前影像学规划:这不再是简单的直径测量,而是包括中心线分析、分支角度评估、钙化与血栓分布研判、以及利用模拟软件进行“虚拟植入”的复杂过程。目的是预见一切可能的技术难点,并制定应对预案。

系统性的围术期管理协议:尤其是对脊髓缺血的防护,已从“可选”变为“必需”。包括术前识别高风险患者、术中脑脊液引流与压力监测、运动/体感诱发电位监测、严格的血压管控、以及对于广泛病变的阶段性治疗策略。

多学科团队的深度融合:手术的成功依赖于血管外科医生、麻醉医生、神经生理监测技师、介入放射科医生和重症监护团队的紧密协作。每一方都对维持患者内环境稳定、早期识别并发症至关重要。

在热情拥抱这项新技术的同时,必须清醒认识其挑战:

解剖排除率:严格的IFU意味着仍有相当比例的患者因解剖不适配而被排除。对这些患者,PMEG、完全定制化分支支架或开放手术仍是必要选择。

长期耐久性未知:5年、10年的数据尚在积累中。分支支架在长期血流动力学和生理运动下的表现、主体支架的长期结构完整性,都需要持续随访。FDA要求的上市后研究正是为了解答这些问题。

医疗经济学考量:高昂的器械成本是全球医疗系统都需要面对的问题。其价值需要通过减少重症监护时间、缩短住院日、降低主要并发症发生率所带来的长期卫生经济学效益来证明。

TAMBE是起点,而非终点。其成功与局限共同指明了未来的研发方向:

器械迭代:更小的输送外鞘、更多样的主体尺寸(尤其是更短的内脏段以适应肾动脉-肠系膜上动脉间距较短的患者)、针对双肾动脉或三分支的简化版设计。

智能化与精准化:与术前3D打印模型、术中增强现实/融合成像、甚至机器人辅助导航系统更深度地结合,以降低操作难度、提高精准度、减少辐射。

治疗策略的优化:明确TAMBE与其它技术(如开窗支架、去分支杂交手术)在特定解剖和临床情境下的优劣序位,形成基于高级别证据的临床路径。

GORE EXCLUDER TAMBE的出现,绝非在血管外科武器库中简单地添加了一件新工具。它代表了一种治疗复杂主动脉疾病的系统性解决方案的成熟。它将“现成可用”的便利性、模块化设计的灵活性、以及经严格验证的有效性与安全性,整合到了一个精密的系统中。

其临床证据清晰地展示了一条路径:在经验丰富的中心,对于解剖合适的患者,TAMBE能够以显著低于开放手术的早期风险,实现动脉瘤的有效隔绝和内脏血流的可靠重建。尽管中长期内可能需要更高的二次干预率来维持疗效,但这些干预大多是微创的,且动脉瘤相关的灾难性风险得到了极好的控制。

真实世界中的超适应证应用和全股动脉入路等技术创新,则展现了该技术平台旺盛的生命力和临床医生的创造性。这提示我们,TAMBE不仅是一个产品,更是一个可演进的技术生态的基础。

对于临床医生而言,掌握TAMBE意味着需要建立一整套与之匹配的评估、规划、手术和围术期管理能力。对于研发者而言,TAMBE的成功与挑战则是下一代技术创新的宝贵路标。最终,受益的将是那些患有复杂主动脉疾病的患者,他们因此而拥有了一个更安全、更可及的现代治疗选择。TAMBE的故事,是关于如何通过工程学智慧与临床科学深度融合,持续推动医学边界的故事,而这个故事,仍在精彩的续写之中。



游雲、德富、国富、玉成、聖石、丽强、禹杰、


雲飛、传奇、Lyu (武汉协和).



gore医疗怎么样TAMBE重塑复杂主动脉瘤治疗格局的技术解析_https://www.jmylbn.com_新闻资讯_第29张
gore医疗怎么样TAMBE重塑复杂主动脉瘤治疗格局的技术解析_https://www.jmylbn.com_新闻资讯_第30张


gore医疗怎么样TAMBE重塑复杂主动脉瘤治疗格局的技术解析_https://www.jmylbn.com_新闻资讯_第31张
gore医疗怎么样TAMBE重塑复杂主动脉瘤治疗格局的技术解析_https://www.jmylbn.com_新闻资讯_第32张


gore医疗怎么样TAMBE重塑复杂主动脉瘤治疗格局的技术解析_https://www.jmylbn.com_新闻资讯_第33张

Wuhan Union Hospital