为什么20ml针筒的针在边上【静疗圈】超声引导下穿刺看不到针尖怎么办?

新闻资讯2026-04-17 12:43:17

为什么20ml针筒的针在边上【静疗圈】超声引导下穿刺看不到针尖怎么办?_https://www.jmylbn.com_新闻资讯_第1张

在PICC临床置管中,部分患者存在外周静脉弹性差、看不到、摸不着、穿刺针无法穿入等问题,这一定程度上推动了超声引导结合改良塞丁格技术行PICC置管在国际上得到更广泛的应用。但是,很多老师在初学超声引导穿刺的时候都会很迷茫,为什么在超声下看不到针尖或者针尖的显示不好?此前静疗圈就主要介绍了以下两个原因:



1、针的倾斜角度


由于针面是光滑的,会对入射超声波产生镜面反射,针角度越倾斜,能够回到探头内的声波越少,针越不容易显影(如下图)


为什么20ml针筒的针在边上【静疗圈】超声引导下穿刺看不到针尖怎么办?_https://www.jmylbn.com_新闻资讯_第2张



2、针和超声的切面不重合


超声成像得到的是一个切面,大家可以看一下自己的探头,探头上压电材料的宽度就是会超声切面的宽度(下图红色区域)


为什么20ml针筒的针在边上【静疗圈】超声引导下穿刺看不到针尖怎么办?_https://www.jmylbn.com_新闻资讯_第3张


在实际穿刺过程中,只要轻微移动探头或者倾斜探头针可能就会偏出成像切面。那在超声上就会显示没有针尖或针尖显示不佳。如果没有导针支架辅助穿刺,针尖的亮点就更加无法显示了。



值得注意的是,传统的超声引导下穿刺一般需要依赖操作者的经验来控制进针角度。由于无设定的进针轨道,角度过大或过小,穿刺针针尖均不能在超声屏幕上成像,加之穿刺针可任意在组织中改变方向,所以使穿刺具有一定盲目性,也增加了局部组织损伤的可能性。

为了使穿刺更精确,并提高穿刺成功率,建议老师们使用带导针支架的血管穿刺专用超声引导穿刺,穿刺的时候保持探头垂直皮肤表面(如下图)



为什么20ml针筒的针在边上【静疗圈】超声引导下穿刺看不到针尖怎么办?_https://www.jmylbn.com_新闻资讯_第4张




带导针支架辅助穿刺方式

为什么20ml针筒的针在边上【静疗圈】超声引导下穿刺看不到针尖怎么办?_https://www.jmylbn.com_新闻资讯_第5张

(点击跳转)可参考往期推文《【图说操作】一图带你了解PICC超声塞丁格置入流程》中的“穿刺”部分。


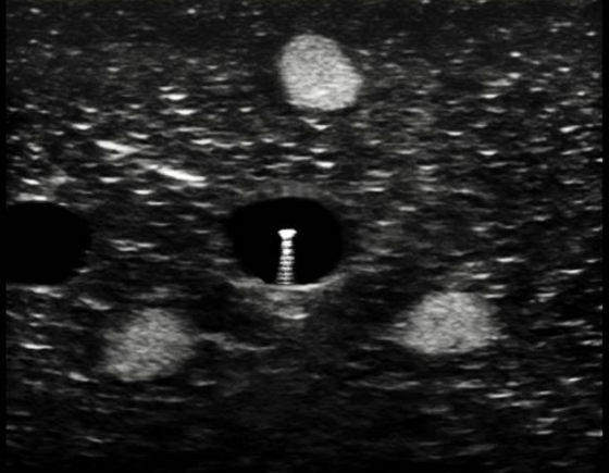
超声引导下穿刺一般分为平面外穿刺与平面内穿刺。


平面外穿刺的优势在于便于寻找目标血管,分辨毗邻组织关系,尤其是对于有多条动静脉伴行(上下结构关系)血管的穿刺。对于初学者可能更容易上手。


为什么20ml针筒的针在边上【静疗圈】超声引导下穿刺看不到针尖怎么办?_https://www.jmylbn.com_新闻资讯_第6张

平面外穿刺的超声图像,图中亮点为针尖。



平面内穿刺的优势在于整个针体(包括针尖)可视化,但是对操作者手法技巧(始终保持探头长轴与血管长轴平行)要求较高,易受解剖结构限制。


为什么20ml针筒的针在边上【静疗圈】超声引导下穿刺看不到针尖怎么办?_https://www.jmylbn.com_新闻资讯_第7张

平面内穿刺的超声图像。



导针支架是初学者很好的助手,根据血管情况可以选择不同斜率的支架,通过定轨道,定深度,定进针点,从而帮助操作者提高一针穿刺成功率。




导针支架使用注意

为什么20ml针筒的针在边上【静疗圈】超声引导下穿刺看不到针尖怎么办?_https://www.jmylbn.com_新闻资讯_第8张

穿刺前评估靶血管的深度,并根据屏幕所显示血管的深度选择合适的导针器。


导针器有18G、20G、21G大小不同规格,各规格又有不同长度。以舒贝康品牌的导针器为例,其有4种型号,分别为0.5cm、1.0cm、1.5cm、2.0cm,区别在于进针轨道与皮肤角度和穿刺点与超声探头距离不同。


0.5cm规格适用于深度0.5cm及0.5~1.0cm的静脉;1.0cm规格适用于深度1cm及1.0~1.5cm的静脉;1.5cm规格适用于深度1.5cm及1.5~2.0cm的静脉;2.0cm规格适用于深度2.0cm及2.5cm的静脉。总体而言,导针器角度越大,血管越浅;导针器角度越小,血管越深。


参考文献:茹晚霞,袁威威,傅建英.导针器结合改良塞丁格技术提高经外周置入中心静脉导管穿刺成功率的研究[J].护理与健康,2013,7,12(7):683-684.


为什么20ml针筒的针在边上【静疗圈】超声引导下穿刺看不到针尖怎么办?_https://www.jmylbn.com_新闻资讯_第9张





RECOMMEND

推荐阅读

关注血管通道学园视频号

看视频 学习更轻松

为什么20ml针筒的针在边上【静疗圈】超声引导下穿刺看不到针尖怎么办?_https://www.jmylbn.com_新闻资讯_第10张
声明:本公众号为一线医护人员的公益学习平台,账号包含的所有原创内容,均由血管通道学园所有;账号内容可供个人学习交流目的转载分享,转载时请注明出处;未经账号后台授权同意,任何单位和组织不得以任何方式修改、复印、上传、转载和传播,更不得用于其他商业行为;本公众号力求发表内容在审核前准确可靠,但不对已发表内容的适时性、准确性和完整性作出任何承诺和保证,请相关各方在采用或者以此作为决策依据时另行核查;文章仅作为行业交流和分享,文中引用他人的文献、资料,均已在内文加以说明,如遗漏或违规,请及时联系后台编辑,我们将第一时间作出删除和纠正。