癌症,这个让无数患者和家属闻之色变的字眼,如今正随着医学科技的飞速发展而逐渐被攻克。免疫细胞疗法作为一种新兴的癌症治疗手段,正在逐渐改变传统的治疗模式。
而这一疗法的研发与优化,离不开显微成像技术的精准赋能——它不仅是观察微观世界的窗口,更是解码癌症机制、推动治疗进步的核心工具。
显微成像技术:从基础研究到临床转化的全链路支持
明美显微成像解决方案深度融入癌症研究全流程,覆盖病理诊断、分子分型、基因检测、动态监测及药物研发等关键环节,为科研与临床提供全方位支持。
1. 病理切片观察:癌症诊断的“金标准”
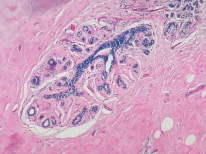
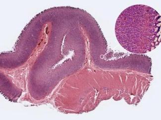
明美生物显微镜搭载高分辨率MSX2相机,可清晰呈现HE染色病理切片的细胞细节(如乳腺癌样本中蓝色的细胞核与红色的胞质),帮助快速识别癌细胞形态特征,为精准诊断提供可靠依据。
明美生物显微镜搭配msx2拍摄HE染色的乳腺癌病理切片,红色为胞质,蓝色为染色体
2. 免疫组化(IHC):解码肿瘤分子特征
通过明美ML51-N生物显微镜与MSX2相机的组合,可捕获高质量的免疫组化图像(如HER2蛋白表达检测),直观展示肿瘤分子分型与血管生成情况,为治疗方案制定和预后评估提供关键信息。
3. 原位荧光杂交(FISH):基因异常的“追踪器”
MF43-N荧光显微镜搭配MC50-S相机,可精准捕捉荧光标记的DNA探针信号,高效检测乳腺癌、宫颈癌等疾病中的基因扩增或缺失,助力个性化诊疗。
MF43-N+MC50-S搭配四波段光源拍摄的FISH图像
4. 循环肿瘤细胞(CTC)检测:癌症转移的“预警哨兵”
MF43-N荧光显微镜支持实时监测血液中循环肿瘤细胞,动态追踪肿瘤进展与治疗响应,为早期干预和疗效评估提供灵敏工具。
MF43-N拍摄的CTC检测图
5. 肿瘤细胞培养研究:药物研发的“实验室”
明美活细胞成像仪可长时间无干扰观测肿瘤细胞增殖、迁移等行为,结合无线操控功能,为抗癌药物筛选与机制研究提供高效平台。
明美实拍乳腺癌细胞
明美显微成像解决方案
明美光电提供了多种显微成像解决方案,满足不同癌症研究需求:
01
全能型解决方案
明美数字切片扫描系统MDS4+MSX2/MS60
兼顾切片扫描与常规明场、荧光观察
适用于病理切片扫描观测、CTC、FISH、IHC检测等

02
癌细胞培养研究观测
活细胞成像仪+平板/手机,无线连接,避免污染,集约化配备多种成像功能。

03
FISH、CTC、IHC检测
MF43-N/MF53-N+MC50-S/MS23+FISH软件
配备荧光模块和高灵敏度相机
智能优化荧光图像

免疫细胞疗法的兴起和显微成像技术的进步,为癌症治疗和研究带来了新的希望。明美光电的显微成像解决方案在癌症研究中发挥了重要作用,为科研人员提供了高效、稳定的产品与服务。
显微成像系统解决方案提供商
— 明美光电 —
明美光电是国家级“专精特新”小巨人企业、国家级高新技术企业、显微镜医疗器械生产企业,创立于2003年,专注显微镜及显微成像产品的研发、生产和销售,致力于显微领域的数字化、自动化、智能化,迄今已为全球10万+的用户提供过产品及服务。
服务热线:020-38262481
客服电话:18026273340(微信)
电子邮箱:mshot@mshot.com
官网网站:www.mshot.com
免责声明
本微信公众号无法鉴别所上传图片、字体或文字内容的版权,如无意中侵犯了哪个权利人的知识产权,请来信或来电告之,本微信公众号将立即予以删除,谢谢。
扫码关注我们
网址:www.cscb.org.cn
微信:CSCB-Wechat
*祝贺《Cell Research》入选中国科技期刊卓越行动计划二期项目
《Cell Regeneration》2024年获得创刊以来的第一个影响因子4.0
点分享
点收藏
点在看
点点赞
继续滑动看下一个轻触阅读原文
细胞世界向上滑动看下一个
原标题:《【企业资讯】明美显微成像解决方案:免疫细胞疗法与癌症研究的得力助手》
阅读原文