esaote彩超怎么用久站久坐族,请警惕下肢深静脉血栓

新闻资讯2026-04-20 23:26:38

南海点击上方蓝字「关注」佛山市南海区第九人民医院

❤️关爱生命,您身边的健康管家❤️

esaote彩超怎么用久站久坐族,请警惕下肢深静脉血栓_https://www.jmylbn.com_新闻资讯_第1张





上班坐着,刷微信坐着,看电视坐着

……

这一天下来

似乎感觉身体很放松


esaote彩超怎么用久站久坐族,请警惕下肢深静脉血栓_https://www.jmylbn.com_新闻资讯_第2张

随之而来因为久坐带来的“风险”也越来越多

作为一个“隐形杀手”

下肢深静脉血栓会在无形中引起肺栓塞

严重的会引发猝死

下肢深静脉血栓如何产生?

发现深静脉血栓怎么办?


esaote彩超怎么用久站久坐族,请警惕下肢深静脉血栓_https://www.jmylbn.com_新闻资讯_第3张






前段时间,李女士因右侧股骨颈骨折术后来到南海九院功能科进行右下肢血管彩超检查,彩超检查发现患者右侧股总静脉及股浅静脉存在血栓。检查期间李女士突然说:“医生,我呼吸很辛苦,后背也痛”


结合患者的病史和超声图像改变,考虑存在肺栓塞的可能性,检查医生立即启动超声科应急预案,护士予以床旁吸氧并电话通知主管医生。后经肺部CTA诊断:两肺下叶肺动脉栓塞。因发现及时,经溶栓等治疗,呼吸道症状明显好转,心率恢复正常,右下肢的肿胀情况也得到缓解。


                  

esaote彩超怎么用久站久坐族,请警惕下肢深静脉血栓_https://www.jmylbn.com_新闻资讯_第4张

(超声检查:右侧股总静脉、股静脉血栓)


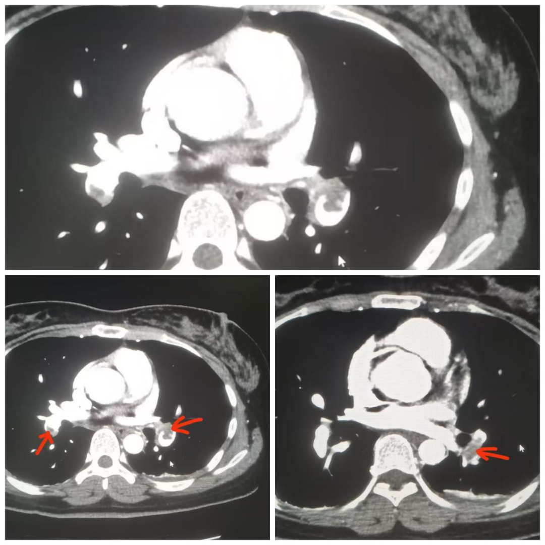
esaote彩超怎么用久站久坐族,请警惕下肢深静脉血栓_https://www.jmylbn.com_新闻资讯_第5张

(肺部CTA:红色箭头所指为肺动脉栓塞位置)



什么是深静脉血栓?
esaote彩超怎么用久站久坐族,请警惕下肢深静脉血栓_https://www.jmylbn.com_新闻资讯_第6张

深静脉血栓(DVT)是指血液在深静脉腔内凝结而阻塞静脉管腔,导致静脉回流障碍的血管性疾病,多发生于下肢。下肢深静脉血栓在急性期易脱落,从而造成肺动脉栓塞。所以,诊断是否有下肢深静脉血栓,并及时给出治疗方案尤为重要。

esaote彩超怎么用久站久坐族,请警惕下肢深静脉血栓_https://www.jmylbn.com_新闻资讯_第7张

超声评估下肢深静脉血栓的优势超声检查目前为临床诊断下肢静脉血栓的首选方法,比其他影像学检查(CT血管造影,磁共振血管造影)具备经济实用、可重复操作性强,并且可以无创地对下肢深静脉血栓栓塞位置、栓塞范围进行评估,还可以通过对血栓的回声及血栓内血流情况来判断血栓的分期。此外还可对急、慢性期下肢深静脉血栓诊疗后恢复效果进行评估。





什么情况容易出现下肢深静脉血栓
esaote彩超怎么用久站久坐族,请警惕下肢深静脉血栓_https://www.jmylbn.com_新闻资讯_第8张

下肢深静脉血栓形成的原因主要包括静脉血流缓慢、静脉壁损伤和血液高凝状态。具体如下:久病卧床、外伤、骨折、大型手术、妊娠、分娩及长途旅行久坐不动等等。




超声检查的流程
esaote彩超怎么用久站久坐族,请警惕下肢深静脉血栓_https://www.jmylbn.com_新闻资讯_第9张



下肢深静脉超声检查一般不需要特殊准备,通常包括以下几个步骤:

1. 体位调整:患者首先取仰卧位,患肢髋关节略外旋,大腿轻度外展且膝关节略曲,使下肢呈松弛状态。随后根据检查需要,可能变换为俯卧位或站立位。

2. 涂抹耦合剂:在检查部位涂抹一层凝胶状耦合剂,以排除空气干扰,提高超声波穿透力。

3.医生用探头在下肢皮肤上移动,获取静脉图像,观察分析。

esaote彩超怎么用久站久坐族,请警惕下肢深静脉血栓_https://www.jmylbn.com_新闻资讯_第10张




发现下肢深静脉血栓怎么办
esaote彩超怎么用久站久坐族,请警惕下肢深静脉血栓_https://www.jmylbn.com_新闻资讯_第11张



一旦发现下肢深静脉血栓,应减少患肢活动,降低静脉血栓脱落发生肺栓塞的风险。尽早治疗,治疗方法包括抗凝治疗、溶栓治疗、手术治疗等。医生会根据患者具体情况制定个体化治疗方案,旨在清除血栓、防止血栓蔓延、降低并发症发生率。下肢深静脉血栓的超声检查是一种重要的诊断手段,通过超声检查,医生能够准确判断静脉有无血栓及其部位、范围,为临床治疗提供重要依据。




!

南海九院温馨提醒:如出现下肢肿胀、疼痛、皮温升高等不适,请尽快就医!





功能科介绍



佛山市南海区第九人民医院功能科是以超声诊断和心电图诊断为主要服务范围的综合性科室。目前科室拥有一支基础知识扎实、临床经验丰富的的医师队伍:科室现有员工10人,包括:副主任医师4名,主治医师4名、护理员2名等。全科医师均有省内外多家三甲医院进修学习经历。科室现拥有国际先进超声诊断仪,包括:PHILIPS EPIQ7、GE Voluson E8、GE Logiq C9;Esaote MyLabClassc等高档彩色超声诊断仪,以及拥有多台进口日本光电公司生产12导联和6导联全自动分析多导联心图机等高级医疗诊断设备。同时配备先进的各类型探头,具有彩色多普勒超声、实时三维超声等功能可开展常规心脏、腹部、妇产、血管、浅表器官、肌骨及其他脏器组织超声检查,并开展三维超声、腔内超声、介入超声等。全科人员以“科学严谨、求真务实”的服务理念贯穿到实际工作中,为全区人民提供专业、精湛的诊疗服务。


esaote彩超怎么用久站久坐族,请警惕下肢深静脉血栓_https://www.jmylbn.com_新闻资讯_第12张





供稿:功能科 

编辑、初审:霍颖怡

二审二校: 郭嘉汶 

三审三校:李杰华



esaote彩超怎么用久站久坐族,请警惕下肢深静脉血栓_https://www.jmylbn.com_新闻资讯_第13张

扫码加关注!

佛山市南海区第九人民医院视频号

esaote彩超怎么用久站久坐族,请警惕下肢深静脉血栓_https://www.jmylbn.com_新闻资讯_第14张

esaote彩超怎么用久站久坐族,请警惕下肢深静脉血栓_https://www.jmylbn.com_新闻资讯_第15张

esaote彩超怎么用久站久坐族,请警惕下肢深静脉血栓_https://www.jmylbn.com_新闻资讯_第16张

esaote彩超怎么用久站久坐族,请警惕下肢深静脉血栓_https://www.jmylbn.com_新闻资讯_第17张