ems洁牙尖怎么分全功能牙周“机王”,带给您不一样的洗牙体验

新闻资讯2026-04-20 23:25:20
ems洁牙尖怎么分全功能牙周“机王”,带给您不一样的洗牙体验_https://www.jmylbn.com_新闻资讯_第1张



其实洗牙的专业名词叫做“洁治”。是医生使用专用的医疗器械将牙齿表面堆积的牙菌斑、牙结石以及色素清除干净的一种专业治疗手段。洗牙是预防和治疗牙周疾病的重要手段,因为牙齿表面的牙菌斑和牙结石是导致牙周疾病的罪魁祸首。如果不能做到定期洗牙,牙结石越积越多,牙周疾病也会越来越重,慢慢就会出现牙龈肿痛、牙齿松动移位,甚至牙齿脱落。我们通常说的“老掉牙”其实就是牙周病发展到晚期的结果。

ems洁牙尖怎么分全功能牙周“机王”,带给您不一样的洗牙体验_https://www.jmylbn.com_新闻资讯_第2张


有些人认为洗牙对牙齿是有害的,认为洗牙会破坏牙齿表面的釉质,其实这也是一个误区。牙齿釉质的硬度远大于洗牙的工具,这些器械不会在牙齿上形成肉眼可见的划痕,洗牙后牙面感觉不光滑往往是因为还残存薄薄一层牙垢。如果用高倍显微镜来观察的话,洗牙后的牙齿表面的粗糙度会略有增加,所以一般洗牙后都要有一个抛光的环节,经过抛光,即便用显微镜也看不出任何痕迹了,牙面也会变得更加光洁干净。


我院投入使用全功能牙周“机王”

ems洁牙尖怎么分全功能牙周“机王”,带给您不一样的洗牙体验_https://www.jmylbn.com_新闻资讯_第3张

随着国人口腔保健意识不断提升,应广大患者的需求,我院口腔科在卧龙湖院区正式投入使用瑞士Ems牙周全能治疗仪Air-Flow Master Piezon。这是瑞士EMS公司最新的GBT-龈上龈下喷砂+超声系统,号称全功能牙周“机王”,以清除菌斑为导向,先后运用喷砂与超声两项技术全面清除牙菌斑,实现理想的口腔洁治效果。


瑞式洁治以其独有的两大技术,真正实现清除菌斑的同时用心呵护敏感的口腔软组织,带来舒适、安全、有效的洗牙体验。

患者更舒适

超声波洗牙是通过超声波的高频震荡作用去除牙结石、菌斑和色泽,如果牙结石较多和牙敏感的人,超声波洁牙中、洁牙后会有敏感症状,而瑞式洁治特有的AIR-FLOW龈上下喷砂技术并结合瑞士EMS专利配方14微米赤藓糖醇喷砂粉,以更高的效率、更精细化的覆盖、更柔和的触达,全面瓦解口腔菌斑,大幅度的提升患者洁牙过程中的舒适度。

ems洁牙尖怎么分全功能牙周“机王”,带给您不一样的洗牙体验_https://www.jmylbn.com_新闻资讯_第4张


PIEZON智能负反馈超声技术确保了工作尖的工作效率,同时在洗牙过程中减少不必要的步骤,提供最佳洁治运动路径,令患者不必忍受不必要的痛苦,并且能充分满足口腔洁治、牙周治疗、正畸维护、儿牙预防、超声根管、修复、种植修复等多种植维护领域需求。


洁治疗效更好

创新行业标准GBT方案,更专业有效的口腔洁治。

ems洁牙尖怎么分全功能牙周“机王”,带给您不一样的洗牙体验_https://www.jmylbn.com_新闻资讯_第5张

GBT 8步曲从探诊评估与感染控制开始,为患者提供全面、个性化的检查,同时根据风险评估为患者安排复查间隔时间,并询问患者治疗感受,不断提升洗牙体验,为患者创造更舒适、微创、安心的洗牙感受。

ems洁牙尖怎么分全功能牙周“机王”,带给您不一样的洗牙体验_https://www.jmylbn.com_新闻资讯_第6张

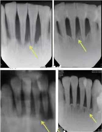
▲慢性牙周病引起牙松动的喷砂治疗前后对比图


ems洁牙尖怎么分全功能牙周“机王”,带给您不一样的洗牙体验_https://www.jmylbn.com_新闻资讯_第7张
ems洁牙尖怎么分全功能牙周“机王”,带给您不一样的洗牙体验_https://www.jmylbn.com_新闻资讯_第8张
ems洁牙尖怎么分全功能牙周“机王”,带给您不一样的洗牙体验_https://www.jmylbn.com_新闻资讯_第9张

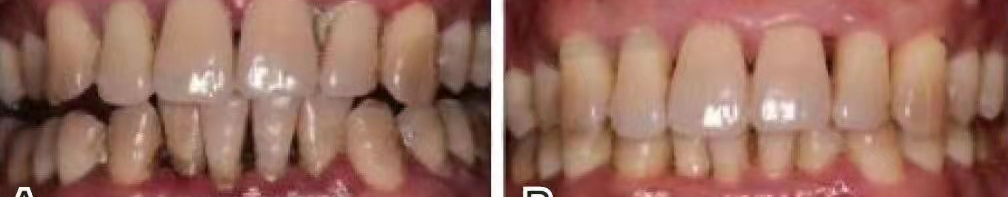
使用喷砂洁牙后的口内效果对比图


瑞士Ems牙周全能治疗仪Air-Flow Master Piezon带来洁牙新体验,全面清除牙菌斑,实现理想的口腔洁治效果,清除烟渍色素还原牙齿本色,缓解牙龈牙周炎症。



口腔科

ems洁牙尖怎么分全功能牙周“机王”,带给您不一样的洗牙体验_https://www.jmylbn.com_新闻资讯_第10张

科室是一个集医疗、教学、预防为一体、全面发展的科室,全国儿童口腔疾病综合干预项目点。由口腔内科、口腔修复、口腔正畸、口腔种植、儿童口腔、口腔预防保健和口腔外科等专业组成。现有医务人员共11人,科室在卧龙湖医院、马冲口医院、汇东医院均设有门诊部。位于卧龙湖医院的口腔门诊,拥有两个vip诊室,两个大诊间,一间种植手术诊疗间。环境优雅,设备精良,拥有9台国内外高端牙科治疗床,投入使用6台超声波龈上洁治仪。配备有美国Kodal数字化口腔CBCT Cs9300CC Select,瑞士Ems牙周全能治疗仪Air-Flow Master Piezon,Ems超声波洁牙治疗仪 Fs-272及超声骨刀 Piezon Master Surgery,德国卡瓦ESPERTsurg LUX与韩国EZ种植系统,根管长度定位仪Propex 11,德国登仕博根管治疗系统X Smar tPlus及卡瓦全能热充填治疗仪Elemengs等先进的口腔治疗机。

卧龙湖医院口腔咨询热线:8510054

马冲口医院口腔咨询热线:5111879

汇东院区口腔咨询热线:8204336


往期 · 推荐

点赞医者|何爱国入选“中国好医生、中国好护士”2021年10月月度人物

注意!市中医院马冲口院区这些科室调整啦!

免费中药“大锅汤”,防疫又暖心

天气渐冷,补药可以安排起走啰哦!!



编辑:黄永刚

审核:唐杰

供稿:口腔科

部分图片来源于网络,如有侵权请联系删除

ems洁牙尖怎么分全功能牙周“机王”,带给您不一样的洗牙体验_https://www.jmylbn.com_新闻资讯_第11张
ems洁牙尖怎么分全功能牙周“机王”,带给您不一样的洗牙体验_https://www.jmylbn.com_新闻资讯_第12张
ems洁牙尖怎么分全功能牙周“机王”,带给您不一样的洗牙体验_https://www.jmylbn.com_新闻资讯_第13张