dmg口腔材料怎么使用德国DMG Icon 渗透树脂,应该这样用……

新闻资讯2026-04-20 23:12:53
·
·

dmg口腔材料怎么使用德国DMG  Icon 渗透树脂,应该这样用……_https://www.jmylbn.com_新闻资讯_第1张



好课推荐





dmg口腔材料怎么使用德国DMG  Icon 渗透树脂,应该这样用……_https://www.jmylbn.com_新闻资讯_第2张
dmg口腔材料怎么使用德国DMG  Icon 渗透树脂,应该这样用……_https://www.jmylbn.com_新闻资讯_第3张
dmg口腔材料怎么使用德国DMG  Icon 渗透树脂,应该这样用……_https://www.jmylbn.com_新闻资讯_第4张
dmg口腔材料怎么使用德国DMG  Icon 渗透树脂,应该这样用……_https://www.jmylbn.com_新闻资讯_第5张
dmg口腔材料怎么使用德国DMG  Icon 渗透树脂,应该这样用……_https://www.jmylbn.com_新闻资讯_第6张
dmg口腔材料怎么使用德国DMG  Icon 渗透树脂,应该这样用……_https://www.jmylbn.com_新闻资讯_第7张
dmg口腔材料怎么使用德国DMG  Icon 渗透树脂,应该这样用……_https://www.jmylbn.com_新闻资讯_第8张
dmg口腔材料怎么使用德国DMG  Icon 渗透树脂,应该这样用……_https://www.jmylbn.com_新闻资讯_第9张

左右滑动查看更多

dmg口腔材料怎么使用德国DMG  Icon 渗透树脂,应该这样用……_https://www.jmylbn.com_新闻资讯_第10张

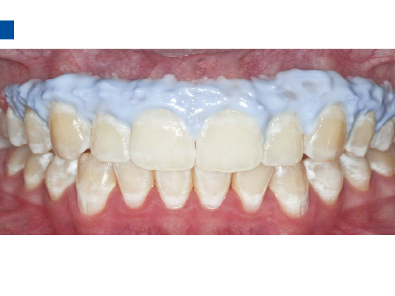
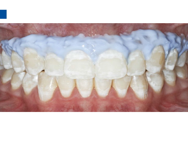
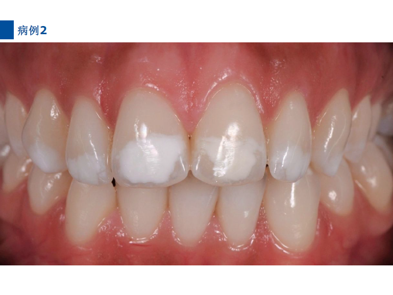
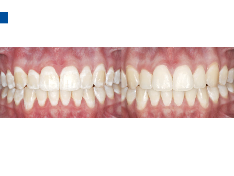
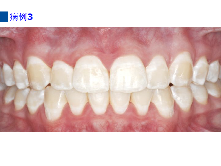
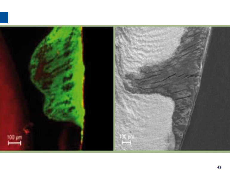
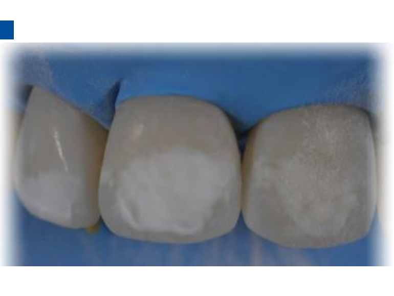
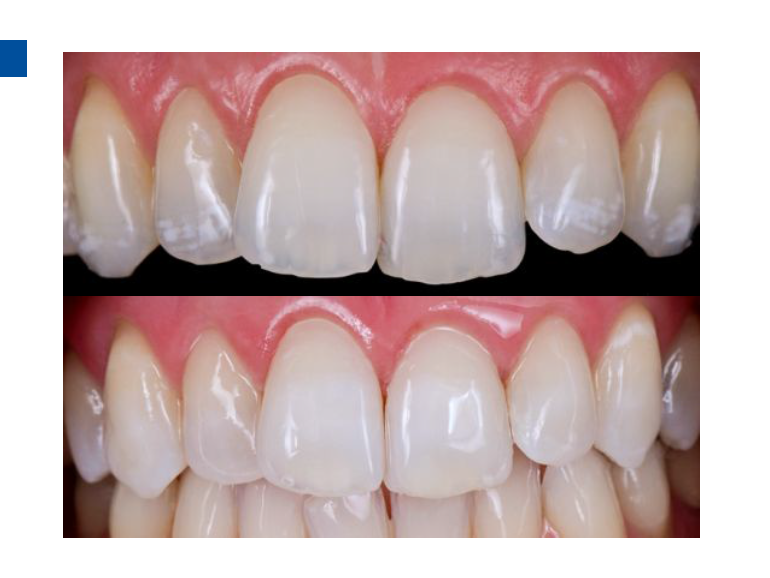
微创牙科治疗是一种全新的龋病治疗理念,着眼于疾病的早发现、早诊断、早治疗。树脂渗透治疗是介于再矿化治疗和充填治疗之间的一种创新的治疗手段,通过微量的去除牙体组织,达到加固脱矿釉质、阻止进一步脱矿的目的。

lcon渗透基于封闭釉质龋空隙的一种特殊树脂的渗透,封闭釉质龋小孔,从而阻断致龋酸传播途径,阻止龋病进一步发展。这种材料操作方法简单,对牙体组织损伤轻微,不用通过麻醉和磨切牙体来达到加固脱矿釉质,同时可以改变釉质龋表面的白色或棕色改变,达到美观修复效果,是对龋病微创治疗的突破。


了解更多

产品

点击观看详细操作视频:


(温馨提示:请在wifi状态下观看)

dmg口腔材料怎么使用德国DMG  Icon 渗透树脂,应该这样用……_https://www.jmylbn.com_新闻资讯_第11张
dmg口腔材料怎么使用德国DMG  Icon 渗透树脂,应该这样用……_https://www.jmylbn.com_新闻资讯_第12张
dmg口腔材料怎么使用德国DMG  Icon 渗透树脂,应该这样用……_https://www.jmylbn.com_新闻资讯_第13张
dmg口腔材料怎么使用德国DMG  Icon 渗透树脂,应该这样用……_https://www.jmylbn.com_新闻资讯_第14张
dmg口腔材料怎么使用德国DMG  Icon 渗透树脂,应该这样用……_https://www.jmylbn.com_新闻资讯_第15张
dmg口腔材料怎么使用德国DMG  Icon 渗透树脂,应该这样用……_https://www.jmylbn.com_新闻资讯_第16张
dmg口腔材料怎么使用德国DMG  Icon 渗透树脂,应该这样用……_https://www.jmylbn.com_新闻资讯_第17张
dmg口腔材料怎么使用德国DMG  Icon 渗透树脂,应该这样用……_https://www.jmylbn.com_新闻资讯_第18张
dmg口腔材料怎么使用德国DMG  Icon 渗透树脂,应该这样用……_https://www.jmylbn.com_新闻资讯_第19张
dmg口腔材料怎么使用德国DMG  Icon 渗透树脂,应该这样用……_https://www.jmylbn.com_新闻资讯_第20张
dmg口腔材料怎么使用德国DMG  Icon 渗透树脂,应该这样用……_https://www.jmylbn.com_新闻资讯_第21张
dmg口腔材料怎么使用德国DMG  Icon 渗透树脂,应该这样用……_https://www.jmylbn.com_新闻资讯_第22张
dmg口腔材料怎么使用德国DMG  Icon 渗透树脂,应该这样用……_https://www.jmylbn.com_新闻资讯_第23张
dmg口腔材料怎么使用德国DMG  Icon 渗透树脂,应该这样用……_https://www.jmylbn.com_新闻资讯_第24张
dmg口腔材料怎么使用德国DMG  Icon 渗透树脂,应该这样用……_https://www.jmylbn.com_新闻资讯_第25张
dmg口腔材料怎么使用德国DMG  Icon 渗透树脂,应该这样用……_https://www.jmylbn.com_新闻资讯_第26张
dmg口腔材料怎么使用德国DMG  Icon 渗透树脂,应该这样用……_https://www.jmylbn.com_新闻资讯_第27张
dmg口腔材料怎么使用德国DMG  Icon 渗透树脂,应该这样用……_https://www.jmylbn.com_新闻资讯_第28张
dmg口腔材料怎么使用德国DMG  Icon 渗透树脂,应该这样用……_https://www.jmylbn.com_新闻资讯_第29张
dmg口腔材料怎么使用德国DMG  Icon 渗透树脂,应该这样用……_https://www.jmylbn.com_新闻资讯_第30张
dmg口腔材料怎么使用德国DMG  Icon 渗透树脂,应该这样用……_https://www.jmylbn.com_新闻资讯_第31张
dmg口腔材料怎么使用德国DMG  Icon 渗透树脂,应该这样用……_https://www.jmylbn.com_新闻资讯_第32张
dmg口腔材料怎么使用德国DMG  Icon 渗透树脂,应该这样用……_https://www.jmylbn.com_新闻资讯_第33张
dmg口腔材料怎么使用德国DMG  Icon 渗透树脂,应该这样用……_https://www.jmylbn.com_新闻资讯_第34张
dmg口腔材料怎么使用德国DMG  Icon 渗透树脂,应该这样用……_https://www.jmylbn.com_新闻资讯_第35张
dmg口腔材料怎么使用德国DMG  Icon 渗透树脂,应该这样用……_https://www.jmylbn.com_新闻资讯_第36张
dmg口腔材料怎么使用德国DMG  Icon 渗透树脂,应该这样用……_https://www.jmylbn.com_新闻资讯_第37张
dmg口腔材料怎么使用德国DMG  Icon 渗透树脂,应该这样用……_https://www.jmylbn.com_新闻资讯_第38张
dmg口腔材料怎么使用德国DMG  Icon 渗透树脂,应该这样用……_https://www.jmylbn.com_新闻资讯_第39张
dmg口腔材料怎么使用德国DMG  Icon 渗透树脂,应该这样用……_https://www.jmylbn.com_新闻资讯_第40张
dmg口腔材料怎么使用德国DMG  Icon 渗透树脂,应该这样用……_https://www.jmylbn.com_新闻资讯_第41张
dmg口腔材料怎么使用德国DMG  Icon 渗透树脂,应该这样用……_https://www.jmylbn.com_新闻资讯_第42张
dmg口腔材料怎么使用德国DMG  Icon 渗透树脂,应该这样用……_https://www.jmylbn.com_新闻资讯_第43张
dmg口腔材料怎么使用德国DMG  Icon 渗透树脂,应该这样用……_https://www.jmylbn.com_新闻资讯_第44张
dmg口腔材料怎么使用德国DMG  Icon 渗透树脂,应该这样用……_https://www.jmylbn.com_新闻资讯_第45张
dmg口腔材料怎么使用德国DMG  Icon 渗透树脂,应该这样用……_https://www.jmylbn.com_新闻资讯_第46张
dmg口腔材料怎么使用德国DMG  Icon 渗透树脂,应该这样用……_https://www.jmylbn.com_新闻资讯_第47张
dmg口腔材料怎么使用德国DMG  Icon 渗透树脂,应该这样用……_https://www.jmylbn.com_新闻资讯_第48张
dmg口腔材料怎么使用德国DMG  Icon 渗透树脂,应该这样用……_https://www.jmylbn.com_新闻资讯_第49张
dmg口腔材料怎么使用德国DMG  Icon 渗透树脂,应该这样用……_https://www.jmylbn.com_新闻资讯_第50张
dmg口腔材料怎么使用德国DMG  Icon 渗透树脂,应该这样用……_https://www.jmylbn.com_新闻资讯_第51张
dmg口腔材料怎么使用德国DMG  Icon 渗透树脂,应该这样用……_https://www.jmylbn.com_新闻资讯_第52张
dmg口腔材料怎么使用德国DMG  Icon 渗透树脂,应该这样用……_https://www.jmylbn.com_新闻资讯_第53张
dmg口腔材料怎么使用德国DMG  Icon 渗透树脂,应该这样用……_https://www.jmylbn.com_新闻资讯_第54张
dmg口腔材料怎么使用德国DMG  Icon 渗透树脂,应该这样用……_https://www.jmylbn.com_新闻资讯_第55张
dmg口腔材料怎么使用德国DMG  Icon 渗透树脂,应该这样用……_https://www.jmylbn.com_新闻资讯_第56张
dmg口腔材料怎么使用德国DMG  Icon 渗透树脂,应该这样用……_https://www.jmylbn.com_新闻资讯_第57张
dmg口腔材料怎么使用德国DMG  Icon 渗透树脂,应该这样用……_https://www.jmylbn.com_新闻资讯_第58张
dmg口腔材料怎么使用德国DMG  Icon 渗透树脂,应该这样用……_https://www.jmylbn.com_新闻资讯_第59张
dmg口腔材料怎么使用德国DMG  Icon 渗透树脂,应该这样用……_https://www.jmylbn.com_新闻资讯_第60张
dmg口腔材料怎么使用德国DMG  Icon 渗透树脂,应该这样用……_https://www.jmylbn.com_新闻资讯_第61张
dmg口腔材料怎么使用德国DMG  Icon 渗透树脂,应该这样用……_https://www.jmylbn.com_新闻资讯_第62张
dmg口腔材料怎么使用德国DMG  Icon 渗透树脂,应该这样用……_https://www.jmylbn.com_新闻资讯_第63张
dmg口腔材料怎么使用德国DMG  Icon 渗透树脂,应该这样用……_https://www.jmylbn.com_新闻资讯_第64张
dmg口腔材料怎么使用德国DMG  Icon 渗透树脂,应该这样用……_https://www.jmylbn.com_新闻资讯_第65张
dmg口腔材料怎么使用德国DMG  Icon 渗透树脂,应该这样用……_https://www.jmylbn.com_新闻资讯_第66张
dmg口腔材料怎么使用德国DMG  Icon 渗透树脂,应该这样用……_https://www.jmylbn.com_新闻资讯_第67张
dmg口腔材料怎么使用德国DMG  Icon 渗透树脂,应该这样用……_https://www.jmylbn.com_新闻资讯_第68张
dmg口腔材料怎么使用德国DMG  Icon 渗透树脂,应该这样用……_https://www.jmylbn.com_新闻资讯_第69张
dmg口腔材料怎么使用德国DMG  Icon 渗透树脂,应该这样用……_https://www.jmylbn.com_新闻资讯_第70张
dmg口腔材料怎么使用德国DMG  Icon 渗透树脂,应该这样用……_https://www.jmylbn.com_新闻资讯_第71张
dmg口腔材料怎么使用德国DMG  Icon 渗透树脂,应该这样用……_https://www.jmylbn.com_新闻资讯_第72张
dmg口腔材料怎么使用德国DMG  Icon 渗透树脂,应该这样用……_https://www.jmylbn.com_新闻资讯_第73张
dmg口腔材料怎么使用德国DMG  Icon 渗透树脂,应该这样用……_https://www.jmylbn.com_新闻资讯_第74张
dmg口腔材料怎么使用德国DMG  Icon 渗透树脂,应该这样用……_https://www.jmylbn.com_新闻资讯_第75张
dmg口腔材料怎么使用德国DMG  Icon 渗透树脂,应该这样用……_https://www.jmylbn.com_新闻资讯_第76张
dmg口腔材料怎么使用德国DMG  Icon 渗透树脂,应该这样用……_https://www.jmylbn.com_新闻资讯_第77张
dmg口腔材料怎么使用德国DMG  Icon 渗透树脂,应该这样用……_https://www.jmylbn.com_新闻资讯_第78张
dmg口腔材料怎么使用德国DMG  Icon 渗透树脂,应该这样用……_https://www.jmylbn.com_新闻资讯_第79张
dmg口腔材料怎么使用德国DMG  Icon 渗透树脂,应该这样用……_https://www.jmylbn.com_新闻资讯_第80张

详细操作步骤:


一、爱康渗透树脂邻面装Icon Caries Infiltrant – approximal治疗早期邻面龋

治疗套装中的注射器含有足够治疗两处病变部位的材料,使用后即丢弃。亦可在一次治疗中连续处理多个邻面龋。

1、治疗之前清洁患牙及邻牙,冲洗干净,上橡皮障。避免使用如Flexi Dam之类的热塑性橡胶材质的橡皮障。放置合适的楔子进入牙间隙,将楔子柄部弯曲或折断可以让楔子更好的进入邻面。楔子必须进到牙间隙足够的深度才能保证分开患牙与邻牙,在整个治疗过程之中都要保证楔子的存在,两牙之间分开约50μm就可以顺利完成治疗。

2、将配套邻面治疗的注射头旋紧在爱康酸蚀剂Icon-Etch的注射器头部,然后将注射头薄膜置于牙间隙,注意要把注射头薄膜的绿色面与需要治疗的牙面紧贴,因为材料只会从绿色面溢出。

3、旋转注射器柄部1-2圈,使在龋损牙面上有足量的爱康酸蚀剂Icon-Etch,静置两分钟并除去多余材料

单手即可旋转注射器

4、移除牙间隙中的薄膜注射头,立即用水冲洗爱康酸蚀剂Icon-Etch至少30秒并用无水无油的气枪吹干

5、 将配套注射头装在含有爱康干燥剂Icon-Dry的注射器上,并将注射器内一半的材料注入龋损部位,等待30秒,吹干。

6、将配套牙邻面的注射头装在含有爱康渗透树脂Icon-Infiltrant的注射器上,并将注射头薄膜置于牙间隙,注意将绿色面朝向被治疗牙面。材料只会从绿色面渗出。

7、旋转手柄一至两圈使足够的渗透树脂Icon-Infiltrant覆盖在龋损部位,静置3分钟。

8、移除牙间隙处的薄膜注射头,用牙线去除多余的材料。

9、从各个角度光照爱康渗透树脂Icon-Infiltrant至少40秒。

10、换一个新的邻面注射头置于爱康渗透树脂Icon-Infiltrant注射器上,重复步骤7-9,静置一分钟,然后光照40秒。

11、重复步骤1-10来治疗其他病损部位。

12、除去橡皮障及楔子,打磨、抛光。


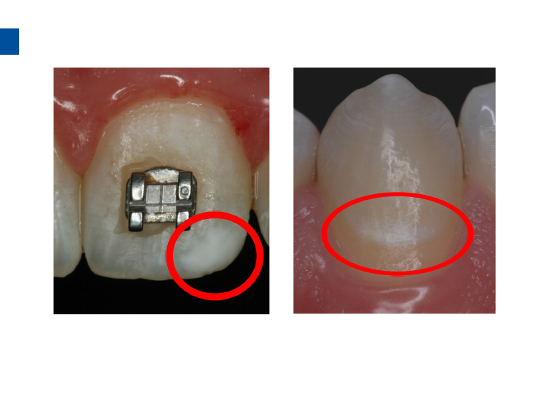
二、爱康渗透树脂唇颊面装Icon Caries Infiltrant – vestibular,治疗唇颊面釉质早期龋。(整个套装包含一次治疗两至三个早期龋损所需的材料。一次性使用,如果邻牙有类似病变可一并治疗)。

1、治疗之前清洁患牙及邻牙,冲洗干净,上橡皮障。避免使用如Flexi Dam之类的热塑性橡胶材质的橡皮障。放置合适的楔子进入牙间隙,将柄部弯曲或折断可以让楔子更好的进入邻面。

2、将配套唇颊面龋损治疗的注射头装在含有爱康酸蚀剂Icon-Etch的注射器之上。

3、小心旋转注射器柄部,将足量材料涂布于龋损区域之上,等待2分钟,并用棉球去除多余材料,酸蚀范围应至龋损外2mm处,如果正畸患者托槽取下后发现牙面大范围早期龋损则需酸蚀整个牙面。(单手可完成注射器操作)。

4、冲洗爱康酸蚀剂Icon-Etch30秒,吹干

5、将配套注射头装在含爱康干燥剂Icon-Dry的注射器之上,将一半的材料涂布于龋损区,等待30s,吹干

6、将配套唇颊面龋损治疗的注射头装在含爱康渗透树脂Icon-Infiltrant注射器上。

7、旋转注射器柄部将足量材料涂布于已被酸蚀的龋损表面之上,等待3分钟,并用棉球去除多余材料。不要在牙椅照明灯直射下在前牙唇面涂布树脂。)

8、光照40秒

9、将一新的注射头装在含爱康渗透树脂Icon-Infiltrant的注射器上,重复步骤7-8.等待1分钟,光照40秒。

10、去除橡皮障,打磨,抛光,完成。



注意事项

1.需采用450nm的光源,功率至少为800mw/cm2,使用时尽量将光源靠近被治疗的牙面。

2.酸蚀后的牙釉质表面呈白垩色,如未呈现此颜色则需重复酸蚀。

3.酸蚀后的牙面禁止触摸或被唾液污染,如不慎发生上述状况,请追加大约10钟秒酸蚀。


【欢迎加入】口腔临床病例讨论群


dmg口腔材料怎么使用德国DMG  Icon 渗透树脂,应该这样用……_https://www.jmylbn.com_新闻资讯_第81张

1.临床经验分享,群里参与讨论

2.个人临床疑惑,群里解答

3.公众号不播的视频,群里分享


←加微信,备注拉群


dmg口腔材料怎么使用德国DMG  Icon 渗透树脂,应该这样用……_https://www.jmylbn.com_新闻资讯_第82张

E N D

编辑 口腔视频公众号   内容 网络

免责声明 ▌本文遵循知识共享署名-非商业性使用-相同方式共享 4.0 许可协议。部分非原创内容来源于网络或文献书籍整理,感谢原作者的分享,如有问题请联系我们!

dmg口腔材料怎么使用德国DMG  Icon 渗透树脂,应该这样用……_https://www.jmylbn.com_新闻资讯_第83张
dmg口腔材料怎么使用德国DMG  Icon 渗透树脂,应该这样用……_https://www.jmylbn.com_新闻资讯_第84张
dmg口腔材料怎么使用德国DMG  Icon 渗透树脂,应该这样用……_https://www.jmylbn.com_新闻资讯_第85张
dmg口腔材料怎么使用德国DMG  Icon 渗透树脂,应该这样用……_https://www.jmylbn.com_新闻资讯_第86张
查看更多>>>

  • 牙医要警惕!拔除松动牙,为什么一定要拍一个全景

  • 牙医的手有多贵?香港女牙医拔牙致骨折,卫生署赔2080万

  • 河南一老人口腔医院拔牙后猝死,医患各执一词,卫健委发声

  • 3M树脂这么多,到底选哪个最合适?

  • 啥家庭啊当牙医!家里有矿啊!

  • 等到12岁再做牙齿矫正就太迟啦!北大口腔周彦恒在CCTV这样说

  • 斯康杜尼、必兰和利多卡因在口腔麻醉中有什么不同?

  • 成型片在Ⅱ、Ⅲ、Ⅳ、Ⅴ类洞和牙间隙闭合上的应用

  • 女孩智齿位置奇特引科室围观,牙医:这不是送上门的 SCI 吗!






dmg口腔材料怎么使用德国DMG  Icon 渗透树脂,应该这样用……_https://www.jmylbn.com_新闻资讯_第87张

口腔视频

口腔视频发布平台,每天更新根管治疗、正畸、修复、美学、种植等各类视频


dmg口腔材料怎么使用德国DMG  Icon 渗透树脂,应该这样用……_https://www.jmylbn.com_新闻资讯_第88张

茄子口腔医学

致力于传播前沿口腔医学知识,服务更多牙医和牙患

<日常如何进入牙e课堂 >

dmg口腔材料怎么使用德国DMG  Icon 渗透树脂,应该这样用……_https://www.jmylbn.com_新闻资讯_第89张
dmg口腔材料怎么使用德国DMG  Icon 渗透树脂,应该这样用……_https://www.jmylbn.com_新闻资讯_第90张
dmg口腔材料怎么使用德国DMG  Icon 渗透树脂,应该这样用……_https://www.jmylbn.com_新闻资讯_第91张
dmg口腔材料怎么使用德国DMG  Icon 渗透树脂,应该这样用……_https://www.jmylbn.com_新闻资讯_第92张
点分享
dmg口腔材料怎么使用德国DMG  Icon 渗透树脂,应该这样用……_https://www.jmylbn.com_新闻资讯_第93张
点收藏
dmg口腔材料怎么使用德国DMG  Icon 渗透树脂,应该这样用……_https://www.jmylbn.com_新闻资讯_第94张
点点赞
dmg口腔材料怎么使用德国DMG  Icon 渗透树脂,应该这样用……_https://www.jmylbn.com_新闻资讯_第95张
点在看