d-spect怎么检查【科普周刊245期】“歪脖子病”怎么办,核医学99mTc-MIBI SPECT/CT检查来助力

新闻资讯2026-04-20 23:08:38

文章转载自   中国核医学医师 2022-07-30 19:41 发表于北京

d-spect怎么检查【科普周刊245期】“歪脖子病”怎么办,核医学99mTc-MIBI SPECT/CT检查来助力_https://www.jmylbn.com_新闻资讯_第1张



d-spect怎么检查【科普周刊245期】“歪脖子病”怎么办,核医学99mTc-MIBI SPECT/CT检查来助力_https://www.jmylbn.com_新闻资讯_第2张

问:医生,我脖子已经歪了2年了,之前也注射过肉毒素,但是还是没有好转,有人说让我先到你们核医学科做个检查,做的是什么检查啊?

答:您需要做的检查就是99mTc-MIBI SPECT/CT局部肌张力显像,它是一种检测颈部肌张力障碍肌肉的检查方法,可覆盖颈部全层肌肉,具有无创性、检测率高、定位精准等特点。

 

什么是“歪脖子病”?

俗称的“歪脖子病”其实是由肌张力障碍引起。肌张力障碍是一种不自主、持续性肌肉收缩引起的扭曲、重复运动或姿势异常的慢性运动障碍综合征。颈部肌张力障碍是最常见的局灶性肌张力障碍类型,严重影响患者的日常生活。

 

如何治疗“歪脖子病”?

对于大多数肌张力障碍,临床上会根据患者的具体情况,选择支持和康复治疗、口服药物、肉毒毒素注射和手术治疗等综合措施,目前最推荐的治疗颈部肌张力障碍的方法是局部肌内注射A型肉毒毒素(BTX-A)。但是,由于受累肌肉部位难以确定,肉毒素治疗的疗效个体差异较大,症状缓解程度在20%-90%之间。因此,肉毒素注射治疗颈部肌张力障碍成功的关键在于准确识别并定位主要的肌张力障碍肌肉(即责任肌肉)。

 

怎样检查“歪脖子病”——99mTc-MIBI SPECT/CT局部肌张力显像

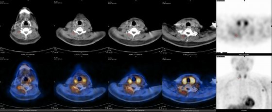
99mTc-MIBI可反映骨骼肌的血流灌注量。痉挛性斜颈患者肌张力障碍肌肉常常过度收缩,与正常肌肉相比,其血流灌注增多,代谢水平增加,因此,99mTc-MIBI SPECT/CT可显示相应的受累肌肉。

  d-spect怎么检查【科普周刊245期】“歪脖子病”怎么办,核医学99mTc-MIBI SPECT/CT检查来助力_https://www.jmylbn.com_新闻资讯_第3张

d-spect怎么检查【科普周刊245期】“歪脖子病”怎么办,核医学99mTc-MIBI SPECT/CT检查来助力_https://www.jmylbn.com_新闻资讯_第4张您的检查结果出来了, 99mTc-MIBI SPECT/CT局部肌张力显像检查提示:右侧肩胛提肌、头半棘肌、颈棘肌与多裂肌放射性分布轻度增高。您可以拿着这份报告去找临床医生在检查出来的相应部位注射肉毒素了。 

99mTc-MIBI SPECT/CT局部肌张力显像的优势 

相比于针极肌电图检查及常规影像学检查仅能探查肌肉的兴奋程度及肌肉形态异常,99mTc-MIBI SPECT/CT局部肌张力显像为无创性检查,且为功能显像,可同时观察颈部所有肌肉解剖结构的变化及功能的异常,精准定位,避免多次重复检查。

d-spect怎么检查【科普周刊245期】“歪脖子病”怎么办,核医学99mTc-MIBI SPECT/CT检查来助力_https://www.jmylbn.com_新闻资讯_第5张

哪些患者适合做99mTc-MIBI SPECT/CT局部肌张力显像?

患有肌张力障碍的患者均可行99mTc-MIBI SPECT/CT局部肌张力显像,以精准定位受累肌肉,指导临床治疗。





作  者:赵格格
单  位:浙江大学医学院附属邵逸夫医院
2022年第23期  总第二百四十
责任编辑:  
编  审:余  飞


部分图片、视频来源于网络如有侵权请私信删除

d-spect怎么检查【科普周刊245期】“歪脖子病”怎么办,核医学99mTc-MIBI SPECT/CT检查来助力_https://www.jmylbn.com_新闻资讯_第6张






声明:本文著作权属原创者所有,不代表本微信公众号立场。如涉著作权事宜,请联系删除。


关注中国核医学医师

依法行医、依法维权

欢迎转发、欢迎转载

欢迎关注

《中国医师协会核医学医师分会官方网》

http://www.caonmp.com/

d-spect怎么检查【科普周刊245期】“歪脖子病”怎么办,核医学99mTc-MIBI SPECT/CT检查来助力_https://www.jmylbn.com_新闻资讯_第7张



《中国核医学医师》微信公众号
第2331期


>>本文转载自中国核医学医师微信公众号;文章来源核众微信公众号;转载声明:版权申明【本微信所有转载文章系出于传递更多信息之目的,且明确注明来源和作者,不希望被转载的媒体或个人可与我们联系,我们将立即进行删除处理】


d-spect怎么检查【科普周刊245期】“歪脖子病”怎么办,核医学99mTc-MIBI SPECT/CT检查来助力_https://www.jmylbn.com_新闻资讯_第8张

d-spect怎么检查【科普周刊245期】“歪脖子病”怎么办,核医学99mTc-MIBI SPECT/CT检查来助力_https://www.jmylbn.com_新闻资讯_第9张