术中确定骨盆环复位和固定结果的金标准是基于透视图像。骨盆的前后位图(PAP)是X射线检查的金标准。除了这一视图外,由于没有真正的放射学垂直平面,真正的侧位视图(TLV)在骨折情况下很难分析,因为两侧髋臼会重叠。通过额外的斜位视图可以对骨盆环进行分析,从而更好地了解骨盆的环状结构,并对骨盆环损伤的移位进行更好的分析。因此,额外的“骨盆视图”包括Pennal等人引入的骨盆入口(PIV)和骨盆出口(POV)视图。在骨盆正位片上,闭孔段和髂翼呈垂直方向。因此,在进行两平面分析时,需拍摄斜位片,即将骨盆向右或向左旋转45°。这些视图由Judet根据Waller的观点进行了优化和描述。
这些“髋臼外”视图可在观察整个骨盆时与对侧进行**比较。斜位视图包括闭孔斜位视图(OOV)和髂骨斜位视图(IOV)。在骨盆环和髋臼骨折情况下,“骨盆环”和“髋臼”影像的结合通常是骨通道分析的基础。这些视图(骨盆正位片PAP;骨盆出口位和骨盆入口位即所谓的Judet视图,骨盆内斜位和骨盆外斜位Pennal视图)是评估骨盆环和髋臼损伤的基础,因为不同的骨性通道可以分析骨折位置、移位、内固定物以及术中和术后结果。骨盆和髋臼斜位视图可以结合起来,以便在术中直观观察特殊的骨通道。
定义
当同时进行骨盆入口位(Pennal)和髂骨斜位(Judet)观察时,首个字符为“C”,代表“组合”(combined)。其后跟随的是髂骨斜位(Judet)的部分(总是两个字符,例如OO)和骨盆入口位(Pennal)的类型(一个字符,例如O出口位):COOO=组合闭孔斜位出口视图。
理解特殊螺钉和植入物通道中植入物的术中成像,取决于对放射学投影和半骨盆基本骨解剖结构的理解。
可以将半骨盆解释为由以下部分组成的三环结构(图1):
• 髂环
• 髋臼环
• 闭孔

图1 半骨盆由3个环组成,这对于植入物的适当定位非常重要:髂环、髋臼环和闭孔环。
在每个环中,中心部位没有骨骼或仅有少量骨骼。虽然闭孔环已经是一个真正的环,但髋臼和髂窝环结构仍然有一些小的中心骨骼,其**厚度为2—3毫米(图2)。在中国人中,髋臼环有时已经显示出真正的环状结构。

图2 中央髂骨(左侧两图)出现极端中央变薄情况的解剖结构。髋臼的中央、内侧部分(右侧两图)显示四边形板变薄。
因此,这些环状结构的外围适合在骨盆环和髋臼骨折手术中充分定位植入物(图1)。
半骨盆由三个重叠的环组成
髂环
髂骨翼段的特征是一个环形结构,中央有一块非常薄的骨板,周围是致密的骨质。在这个环形结构的前部,有一个骨质致密的结构,即臀中柱。在臀中柱和臀后线之间,有一个很薄的中央节段(图 2)。
此环形区段的基础由四个致密的标志构成:
• 上方为髂嵴,自髂前上棘(ASIS)延伸至髂后上棘(PSIS)。
• 前部为从髂前上棘(ASIS)至骨盆边缘的结实的骨段,位于前下髂嵴(AIIS)下方
• 下部为髋臼上方,起始于前下髂嵴(AIIS),终止于后下髂嵴(PIIS)或骶上嵴(PSIS)
• 后部为位于后下髂嵴(PIIS)和骶上嵴(PSIS)之间的强硬骨
髂窝最薄的面积据报道为0.7—0.8mm
髋臼环
髋臼环由髋臼窝周围的骨骼构成,可分为前壁、较厚的后壁和上穹顶。髋臼窝通常是3–4mm的薄骨段,老年人的髋臼窝更薄。最近的分析报告显示,髋臼窝的中心厚度最薄为1mm。
髋臼环相对于髂环结构内旋。
闭孔环
闭孔环相对于髋臼环略有前旋和内旋。上方部分就是Letournel和Culemann所描述所谓的髋臼下走廊,连接前柱和后柱;前方为耻骨上支和耻骨下支的部分,后方由坐骨结节延伸至真正的后柱。确实存在一个真正意义的孔。
对于骨盆环的稳定,考虑到这些环,可以在髂环周边(髂嵴区域和髂骨后部)以及髋臼上骨通道放置植入物。此外,耻骨上支是可以逆行植入通道螺钉或从髋臼前柱植入通道螺钉。
在稳定骨盆环损伤/骨折的术中,经常使用以下视图:
• 骨盆前后位视图(PAP)
• 骨盆入口视图(PIV)
• 骨盆出口视图(POV)
• 骨盆高入口视图(PhIV)
- 闭孔出口视图 (COOO)
- 闭孔入口视图 (COOI)
- 髂骨出口视图 (CIOO)
- 髂骨入口视图 (CIOI)
- 真正的侧视图 (TLV)
骨盆前后视图 (PAP)
在**骨盆正位片上,双髋应从髋关节处内旋15–25°(在两侧大转子的侧面可视化中,以及小转子部分重叠的情况下)。骶骨的中线应穿过耻骨联合的中心(图3)。获得**影像的放射学标准包括:骨盆整体在图像内,闭孔、髋臼泪滴和髂翼的对称显示。骶尾关节的理想投影应位于上支上缘上方1–3厘米处。必须考虑骨折情况。
图 3 显示透视机定位的骨盆三维图。
骨盆入口视图 (PIV)
最初,Pennal等人描述该视图为从前后位(PAP)向头侧方向旋转40°。近期分析显示,在S1水平**角度为21–27°,在S2水平为28°,且不受性别和年龄的影响。应实现S1和S2前骨边界的重叠。因此,影像增强器向头侧旋转约25°(图4)。

图 4 将透视机置于头侧 20-30° 位置时获得的骨盆入口视图
骨盆出口视图 (POV)
Pennal等人描述该视图为从骨盆正位(PAP)向尾侧方向旋转40°所得(图5)。最近的分析揭示,在S1水平面上的**角度为43–63°,在S2水平面上的角度为52–57°,且这一结果不受性别和年龄的影响。骶骨发育不良导致出口角增加5°。两侧耻骨上支的连线应与S2神经孔水平相当。因此,影像增强器必须向尾侧旋转大约50°(图5)。

图 5 将透视机向尾部倾斜 50°后获得的骨盆出口视图。
骨盆高入口视图 (PhIV)
PhIV(骨盆高入口位)主要用于逆行上支螺钉,通过使上支和下支重叠来识别耻骨结节处的起始点。此外,还可以识别上支的内侧和外侧边界。透视机向头侧旋转约30–35°(图6)。
闭孔出口视图(COOO)
COOO通过创建一个泪滴图像(图7,红点区域),可以看到从AIIS到PSIS的髋臼上通道的轴向方向。此外,可以观察到上支的全长,以便应用前柱螺钉或逆行上支螺钉。在临床上,骨性通道的三维形状以二维形式可视化。影像增强器通常向患侧旋转45°(OOV),向尾侧旋转40–50°(POV)(图7)。

图7 闭孔出口视图(COOO)。透视机向尾侧旋转50°,并向患侧旋转45°。
闭孔入口视图 (COOI)
COOI视图能够可视化髂骨的外侧和内侧边界,代表着骶髂关节外侧的PSIS-AIIS通道,这是其**形态。从PAP视图开始,将透视机向头侧倾斜大约20–25°以获得PIV视图,直到S1和S2的前皮质线重叠。随后,将影像增强器接收器向外旋转40°至前环的OOV,直到外侧髂骨皮质显示出一条致密的线。COOI视图证实了髋臼周围的内外侧骨通道可用于前路髋臼周围截骨术(ACS)。它还可以用于评估骶髂关节复位情况。影像增强器通常向患侧旋转45°(OOV)并向头侧旋转20-25°(PIV)(图8)。

图8 闭孔入口视图(COOI)。透视机向头侧旋转20-30°,并向患侧旋转45°。
髂骨出口视图(CIOO)
CIOO主要用于髋臼下螺钉和后柱螺钉的放置。透视机通常从患侧旋转45°(IOV),并向尾侧倾斜40-50°(POV)(图9)。

图9髂骨出口视图(CIOO)。透视机向尾部旋转40-50°,向患侧内侧旋转45°。
髂骨入口视图(CIOI)
CIOI还证实了后柱螺钉位置的骨内过程。透视机通常从患侧旋转45°(IOV),并向头侧倾斜25°(PIV)(图10)。

图10 髂骨入口位(CIOI)。透视机向头侧旋转20-30°,并向患侧旋转45°。
真正的侧视图(TLV)
TLV显示两侧半骨盆重叠。与X线照射器一侧的半骨盆相比,更接近X线接收器的半骨盆投影更小。两侧坐骨大切迹线和髂骨皮质重叠是获得**视野的先决条件。此外,两个髋臼圆应相互重叠(图11)。

图 11 坐骨大切迹线与髂骨皮质重叠的真实侧视图 (TLV)
以下影像学将与骨盆环通道螺钉固定术相关,因此将对其进行详细描述:
• 上支通道(SRC):逆行上支稳定术
• 前柱通道(ACC):顺行上支稳定术
• 髋臼上通道(SAC)
• 腰骶固定采用逆行(由后至前)方式
• 侧方加压2型螺钉采用顺行(由前至后)方式
• S2-髂翼-髂骨通道(S2AI)
• 改良SAC
• 臀中支柱通道
• 髂嵴通道(ICC)
耻骨上支/前柱骨通道并非一个线性圆柱体,而更类似于双高尔夫球拍的结构(图12)。1913年,Lambotte就已经描述了在此通道中逆行置入螺钉的应用。骨性通道起始于耻骨联合附近,包含整个耻骨上支直至髋臼前界、前壁,并终止于骶髂关节附近的骨盆边缘区域。

图12闭孔出口视图(COOO)耻骨上支通道解剖结构。
相关的周围解剖结构包括死亡之冠、闭孔神经血管束所在的闭孔管以及髂外血管。由于存在几个骨性标志,其上缘变化极大。自耻骨结节向外几厘米处,髂外血管沟形成了**个狭窄区域,紧接着是与髋臼前角相对的髂耻隆起。在髂耻隆起的侧面和后面,髂腰肌沟(髂腰肌凹槽)是第二个狭窄区域,终止于AIIS水平。在髂腰肌沟和闭孔神经血管之间观察到最狭窄的区域。临床上最相关的狭窄部位是关节与上通道边界之间的上段距离。所报告的测量结果因所选的测量位置不同而有所不同。SRC的横断面解剖结构正在发生变化。在上耻骨支处,其形状由三角形变为圆形。在关节区域周围,圆形方向变为水平椭圆形,在髋臼前中部变为基于上方的小三角形,在通道后部变为基于髋臼的三角形结构,直到髋臼后部的菱形斜向结构。
逆行螺钉进针点
SRC 螺钉适用于耻骨上支中段骨折或位于闭孔上外侧的骨折。耻骨联合中心与进针点的平均距离为27–28mm,而逆行螺钉进针点与耻骨联合中点的距离为18.4±4.8mm。穿刺点与耻骨结节之间的距离为14~17毫米,与耻骨上支上缘的距离为17.8±2.6毫米。Depuis等人未能确定一个普遍可复现的解剖入口。研究报道称存在一个具有性别差异的新月形区域(女性该区域更靠外侧)(见图13)。
适当的骨质起始点位于耻骨结节下方

图 13 逆行螺钉进针点位置。男性(蓝色),女性(红色)。
导针/螺钉角度
对日本人进行的 CT 分析显示,相对于矢状面,男性和女性在侧向的螺钉角分别为 54.1°和 55.9°,相对于水平面,在垂直方向的螺钉角分别为 66°和 67°。
透视图像
在放射影像上,若能够识别髂后皮质骨(骨盆边缘)、髋臼上软骨下骨(髋臼顶)、耻骨中部下骨皮质以及增厚的弯曲的皮质表面,则视为**观察视角。Eastman等人推荐了骨盆入口位(Pelvic Inlet View, PIV)和联合闭孔出口位(Combined Obturator Oblique Outlet View, COOO)。由于个体差异和性别解剖学的不同,没有报告关于影像增强器定位的标准值。此外,不推荐完全重叠的上下耻骨支(通过骨盆超入口位,Pelvic Hyper-Inlet View, PhIV)的影像。使用PIV时,可以看到后上方的耻骨支表面位于后下方耻骨支表面的后方(表现为一个小的闭孔阴影)。这种视角下,耻骨支的中部区域显示不充分。COOO视角是**的,如果它显示了中支区域的**宽度,这需要对图像增强器进行一些微调。Rommens等人还推荐了PAP视角。PIV视角是从“上方”观察,而COOO视角是从侧方观察。推荐的X光摄片顺序包括(图14):

图14 逆行上支螺钉或顺行前柱螺钉的放射影像序列:COOO、高入口位、COOO、COOI和骨盆入口视图,各视图均对应**导针分布区域(彩色显示)。
-COOO:用于确定靠近耻骨结节的进钉点。
-使用PIV视图监视:直至钻头尖端接近(经典的)骨折线。
-COOO:用于确认钻头在关节周围的导向(额外的COOI视角有助于提供第二个平面)。
-PIV:用于显示整个上支内的完整路径。
在最近的一篇综述中,COOO和PIV被推荐用于前柱螺钉和逆行耻骨支螺钉的应用。COOI视图还可以用于确认髋臼周围内侧和外侧骨通道。可以排除内侧、盆腔内螺钉穿透。从生物力学角度来看,置入两枚螺钉与置入一枚7.3毫米螺钉之间没有发现差异。在法医CT分析中,证实了上耻骨支骨通道存在性别差异,男性的通道比女性的更大(平均8.9毫米对比7.1毫米)。该通道的平均长度分别为123毫米和125毫米。
前柱通道(ACC)在螺钉的应用指征方面有所不同。它常用于髋臼骨折的固定,尤其是在有横向骨折成分的骨折中,通过Kocher-Langenbeck入路来处理和固定对侧不可见的柱。对于骨盆环的固定,该入路可用于顺行固定上耻骨支骨折。
进针点
**进钉点在临床上较难找到。推荐在骨盆前后位(AP)片上,皮肤切口位于两条线的交点处:一条是通过大粗隆的股骨外侧边缘延长线,另一条是从耻骨联合到髂前下棘的连线。(下图)

顺行前柱螺钉在外髂骨的**进钉点曾被多位作者描述过。根据Letournel的说法,起始区域位于髂骨外侧,大约在髋臼最高点上方3—4厘米处,略偏臀中肌线后方的一个2厘米范围内。Ebraheim等人将进钉点描述为位于髋臼上缘上方46±6毫米处,以及连接大坐骨切迹顶端和ASIS与AIIS之间中点的线的中点上方16毫米处;矢状面角度为90.6°,横向角度为29°。Yi等人将入口点描述为“位于臀中肌柱髋臼稍上方,这是一块从髋臼延伸到髂嵴的增厚骨骼。”顺行前柱螺钉的插入点标志位于两条垂直线的交点处,一条线从髂前下棘的尖端引出,另一条线从髋臼上缘引出。根据骨性通道的大小,顺行插入在具有8.0 mm管径的患者中,**入口点的可能区域为2.5 cm²,在具有14.0 mm管径的患者中为5.7 cm²。顺行前柱螺钉的进针点与大坐骨切迹的顶点之间的距离为37–42 mm。
所有这些描述都是理论上的,因为在进行经皮手术过程中无法充分地进行术中可视化。
Eastman 描述,进入点 通常位于髋臼穹隆上部靠近臀中肌柱基部的几厘米处。Bozzio等人使用常规的前后位X光片,将ACS的起点定义为股骨干轴外侧边界与耻骨结节到AIIS下缘的交点。使用闭孔斜位和入口位,通过克氏针确认螺钉路径。
ACC长度
几位作者报告了基于CT测量用于顺行螺钉置入的髋臼顶盖(ACC)长度。根据他们对这一通道的定义,报告的结果有所不同。平均长度约为120毫米。
导针/螺钉角度
螺钉的方向与临床息息相关。因此,除了透视外,术中引导也有助于螺钉的插入,钻头的角度也有助于确定**的螺钉走向:
在骨盆前后位(PAP)上,从外上到内下的角度为33.6°-39°
在髂骨斜位(TLV)上,从后上到前下的角度为15°-22.3°
在水平/横断面(入口位)上,从后内到前外的髋臼上缘角度为55°-59.1°
放射学视图
有趣的是,与逆行螺钉相比,所有可能的标准视图及其组合都得到了推荐,包括标准的 PAP、OOV、IOV、COOO、PIV、COOI、CIOI 和 CIOO。除了经典的 PIV 和 POV 外,COOO 似乎也很重要。最近还报道了更多视图,这些不同视图的组合可能是最有用的术中工具。实际上,顺序视图是沿 ACC 进行骨内导针确认的**方法。使用 COOO 确定进针点后,使用 IOIV 或 PIV 观察导丝的外侧和中央轨迹。COOO 用于排除髋关节穿透。IOIV 和 PIV 可以排除内侧耻骨支穿透。
关于使用髂骨内侧斜位(PIV)时,上耻骨支和下耻骨支是否重叠形成一列是有争议的,这种重叠视图是否有益或应该避免还存在分歧。这种重叠视图被Yi描述为髂骨外侧内斜位(CIOI)。引导针应从后方(顺行方向)瞄准上耻骨支的中线。COOO视图要求避免髋关节穿透和上部骨外路径。该视图的出口应扩展至关节和髂耻骨突之间骨通道的**宽度。由于耻骨上缘有斜坡(血管沟),导针应瞄准上后方(最近端)的骨皮质。COOI视图显示髋臼周围的内侧和外侧骨走廊。可以排除内侧骨盆内穿透。
COOO 和 PIV 是最常用的术中图像
在一项关于使用五种不同轨迹植入髋臼顶盖螺钉(ACS)的实验分析中,进行了标准的X光视图检查,并将这些视图展示给32位骨盆和髋臼外科医生。在排除髋关节穿透方面,COOO视图被评为**,而PIV和CIOO视图在确认骨内螺钉过程方面是**的。相比之下,Wang等人更多地推荐了髂骨斜位(OOV)和髂骨后斜位(PhIV)。他们比较了髂骨外侧外斜位(COOO)和入口位视图与髂骨斜位(OOV)和耻骨支入口位视图的价值。使用OOV和PhIV的螺钉质量(螺钉完全位于骨内)显著更优(85.5% vs. 58.2%)。甚至,观察到上支小穿透(〈前柱的50%)的发生率分别为7.3%和18.2%。此外,使用OO和PhIV时,螺钉与髋臼腔之间的距离更大(2.78 mm vs. 0.92 mm)。在技术操作上,在确认髋臼顶螺钉(ACS)的进针点并插入引导针2—3毫米后,将其拔出并反向重新插入以便进一步进行钝性锤击。最近报告了几种新的影像学方法。
轴向前柱螺钉视图
最近,有人描述了一种新的术中图像视图,用于分析前柱螺钉位置,即 AACS(图 15)。

图 15 轴向前柱螺钉视图。图像增强器向尾部旋转 >55°(超外展),向患侧内侧旋转约 35°。
透视机放置在健侧。从 IOV 开始(C 型臂朝向对侧髋关节倾斜约 35°),然后将 C 型臂朝向脚部旋转,形成扩展的出口图像,直到逐渐出现椭圆形轨迹图像(髋臼前柱视图)。导针的进针点应放置在该通道的中央。重叠通道的形状为四边形(图15),但观察到高度的变化。推荐使用锤击技术插入导针。这个骨性通道由四壁组成。通道的上壁由髂耻隆起的前沟和后沟构成,而下边界是直接的髋臼上缘平面和上耻骨支的底部。内侧壁和外侧壁是上耻骨支的两侧。对于男性而言,理想的导丝或钻头相对于横平面的成角为70–85°,相对于冠状平面的成角为30–40°;而对于女性,相对于横平面的理想成角为75–90°,相对于冠状平面的成角为35–45°。放置导丝或钻头后,还需通过入口和出口视图确认位置。
改良后的 CIOO
Cunningham 描述了改良的髂骨斜出口位视图(mCIOO),该视图与COOO同平面(非常接近垂直),可直接观察耻骨上支和耻骨结节,从而更容易确定前柱顺行螺钉的进针点。患者处于侧卧位时,从C型臂的30°出口位置开始,首先将C型臂向垂直平面旋转约50°以获得COOO视图。在C型臂平面上再旋转80°,即可得到mCIOO视图(图16)。作为一种选择,可以通过将造影剂应用于螺钉通道来确认**的骨内路径。

图16 改良的髂骨外侧出口视图(mCIOO)。透视机的位置从患者侧卧位的30°出口位置开始,然后向垂直平面旋转约50°以获得髂骨外侧外斜位(COOO)视图。在C臂平面内进一步旋转80度,即可得到改良的联合髂骨外侧出口视图(mCIOO)。
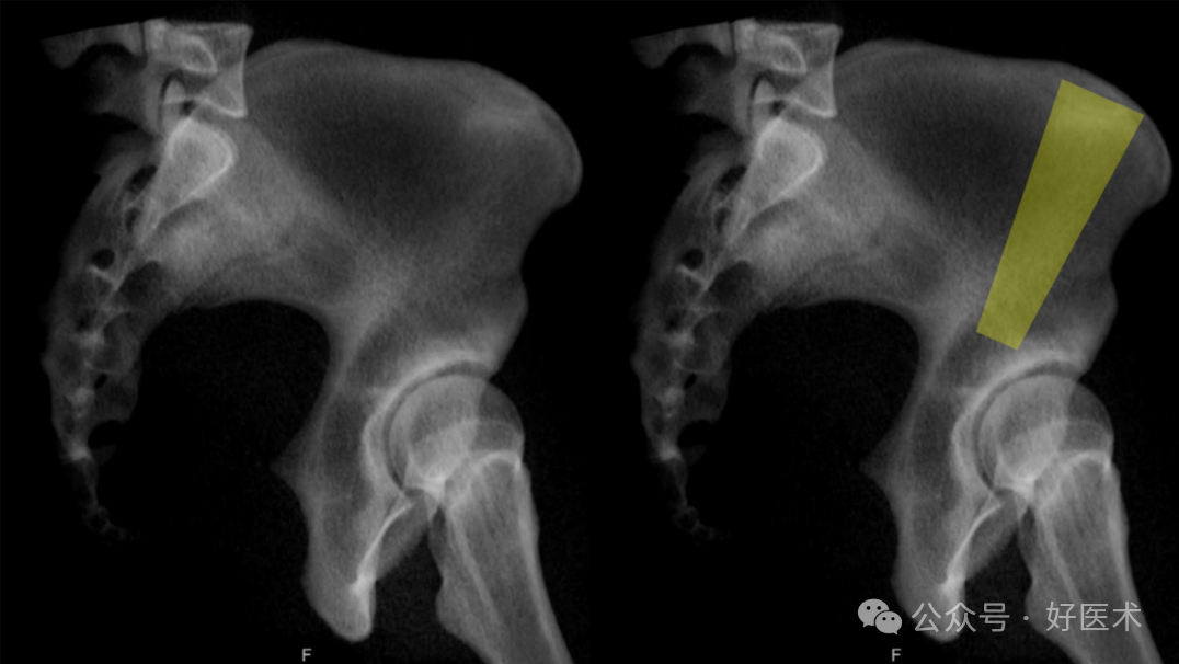
髋臼上螺钉通道是骨盆环固定中常用的通道。典型的螺钉应用指征包括髋臼上外固定中的顺行针置入、腰骶固定中的逆行螺钉置入、S2髂嵴(S2AI)螺钉应用,这是经典后路固定技术的改良,从骶骨后部S1和S2神经孔之间开始,穿过骶髂关节,沿着髋臼上缘骨通道,特别适用于骨质疏松性骨和骨盆环新月形骨折的固定,可显著提高固定强度。最近,根据Young-Burgess骨折分类,插入该通道的螺钉被描述为LC-II螺钉,该分类包括一个LC-II亚型,用于稳定完全性后髂骨骨折和新月形骨折。另一种适应症是根据Rommens分类的IIIA型脆弱性骨折,或者具有高位前柱骨折的髋臼骨折,也可以使用这种技术进行固定。该骨通道从髂前下棘(AIIS)开始,沿着骨盆边缘平行且略向外侧延伸,在到达骶骨后上棘(PSIS)或髂前上棘(PIIS)之前,位于大坐骨切迹上方(图17)。

图 17 使用真侧位视图、COOO、骨盆入口和 CIOO 视图(从左到右)对髋臼上通道 (SAC) 进行放射成像观察。
因此,该通道的边界为:外侧为髂骨外表面,内侧为髂骨内表面,上方为两层皮质之间的变薄区域,下方为髋臼前上部、大坐骨切迹以及骶髂(SI)关节的髂骨部分。在男性中,存在两个狭窄区域(臀柱的前侧和后侧),而在女性中观察到三个狭窄点(臀柱的前侧、后侧以及骶髂关节水平)。
SAC 长度
Schildhauer定义了髋臼上缘通道(SAC)的整体路径和两个狭窄区域。在男性患者中,从骶骨后上棘(PSIS)到髂前下棘(AIIS)的平均长度为141.1毫米,而在女性患者中为128.7毫米。Pichler等人报告了类似的长度,为148毫米,而De Bondt等人发现性别之间没有显著差异(男性140毫米对比女性145毫米)。男性患者的 PIIS-AIIS 长度平均为 86.3 毫米,女性患者的 PIIS-AIIS 长度平均为 99.7 毫米。该通道内存在两个狭窄区域(图18)。

图18 髋臼上通道(SAC)在轴位CT扫描中的狭窄区域。
从后部开始到**个狭窄区域的距离,男性约为 3 厘米,女性约为 2.7 厘米。在上方通路(PSIS-AIIS),男性到第二个狭窄区域的距离为86.3mm,女性为84.1mm;在下方通路(PIIS-AIIS),男性为60.3mm,女性为52.8mm。因此,在这个通道中使用长螺钉进行三点稳定是可能的。髋臼上缘通道(SAC)的平均直径在男性中为8.3毫米,在女性中为6.2毫米。这种差异是由于女性的髂骨更呈S形。一种更大的替代髋臼上缘通道在男性中测量为11.3毫米,在女性中为9.9毫米。这种替代髋臼上缘通道的起始点更靠下(位于髂前下棘AIIS的下方),出口点位于骶骨后上棘(PSIS)的前方,导致其角度更偏向头侧(图19)。这种替代髋臼上缘通道(SAC)存在进入关节内的风险,因为髋关节囊附着点可延伸至髋臼缘上方1.6厘米处。

图19 替代髋臼上缘通道(SAC)与标准通道相比,起始点更靠下(位于髂前下棘AIIS的下方),且角度更偏向头侧(黄色为替代通道,红色为标准通道)。
导针/螺钉角度
矢状面与冠状面和潜在螺钉之间的角度分别为外侧倾斜15°-22°和尾侧倾斜30°-35.3°。为了实际应用,髋臼上缘针固定的顺行应用采用2-2-2-20-20概念。
通道宽度
在男性中可以使用8毫米直径的螺钉,而在女性中可以使用6—7毫米直径的螺钉。根据该通道的泪滴形状,上部宽度在男性中为3.63毫米,在女性中为5.97毫米;中部宽度在男性中为7.7毫米,在女性中为9.93毫米;在泪滴的下部,宽度在男性中为11.93毫米,在女性中为12.45毫米。总体而言,与女性相比,男性的髋臼上缘通道(SAC)较小(平均15.8毫米对比16.2毫米)。
放射学视图
对于SAC,建议所有可能的标准视图及其组合,包括标准PAP、OOV、IOV、COOO、PIV、TLV、COOI和CIOO。最相关的视图是髂骨外侧外斜位(COOO),在这个视图中,通道呈现出泪滴形状。泪滴形状的下部应**位置于直接与髋臼顶(sourcil)相切的位置,且泪滴形状应尽可能小,以便**地确定螺钉的入口点。在插入螺钉时,应考虑关节囊附着点可延伸至髋臼顶(sourcil)上方16毫米处。经典的髂骨外侧斜位(IOV)确认螺钉放置在大坐骨切迹上方的**位置。为了术中分析螺钉路径,建议采用多种视图(图17):
TLV(髂骨斜位):确认螺钉位于大坐骨切迹上方。
COOO(髂骨外侧外斜位):分析从骶骨后上棘(PSIS)到髂前下棘(AIIS)的骨通道内螺钉的轴向方向(起始点);可以排除螺钉的内侧或外侧穿透。
PIV(髂骨内侧斜位):确认螺钉路径位于骶髂关节的外侧。
IOV(髂骨外侧斜位):确认螺钉路径位于大坐骨切迹上方,并分析螺钉长度。
COOI(髂骨外侧内斜位):分析髂骨的外侧和内侧边界。
建议采用的视图有 COOO、COOI 和 IOV 以及将植入物插入 SAC 的 TLV。
在一项生物力学研究中,使用Tile C1.1损伤模型(伴有同侧前环骨折)对这种螺钉通道的效率进行了验证,结果显示,两枚髋臼上缘螺钉的稳定性与放置在髂嵴和骨盆边缘的两块重建钢板相当,用于LC-2螺钉固定。此外,在一项ACPHT骨折模型的研究中,两枚髋臼上缘LC-2螺钉的固定效果与联合髂耻区和四方体支撑钢板的固定效果相当。Scherer等人描述了一种使用经椎弓根工作套管的技术。未来,机器人辅助可能会减少患者和手术人员的总体电离辐射暴露。
逆行通道可用于S2髂嵴髂骨螺钉(S2AI)。S2髂嵴髂骨螺钉(S2AI)是一种在退行性和创伤情况下越来越常用于脊柱骨盆固定的手术方法。其主要优势在于其突出度较小,与经典的逆行髋臼上缘通道相比,组织剥离较少。标志点包括骶骨后上棘(PSIS)和骶骨椎板斜率(与骶骨椎板斜率垂直的线决定了螺钉的矢状面轨迹)。它穿过三层皮质,在髂骨和骶骨中都能获得牢固的把持力。通常,起始点位于S1和S2神经孔之间的空间。插入点的描述范围从S1/S2孔之间的中点到S1孔下方1毫米、外侧1毫米的位置,以及S1孔外侧嵴内侧2毫米的位置。Lin等人根据CT数据定义了平均矢状面螺钉角度为44.0°(从头侧到尾侧),横向角度为37.3°。后方入口点平均位于S1孔尾侧边界下方5.9毫米处。由此得出的平均螺钉长度为10厘米。在腰骶过渡解剖结构中,起始点高出3.4毫米。其他作者根据个体的骶骨解剖结构报告了尾侧角度为20°至29°,外侧角度为30°至37°。
改良的 SAC
此外,在某些骨折情况下,更靠前外侧甚至外侧的螺钉插入有助于处理斜行骨折或支撑上缘的压力。为了确认这些髋臼上缘螺钉的放置,对于后壁骨折,Tosounidis等人推荐使用髂骨外侧内斜位(COOI),平均螺钉方向为向矢状面内侧22°和向水平面上方35°。这种所谓的“神奇螺钉”从髂骨外表面开始,指向坐骨棘,用于支撑四边体钢板复位。
从髂嵴开始,位于髂前上棘(ASIS)外侧约4—5厘米处,延伸至髋臼的上方/上后穹窿的厚骨结构,且两层髂骨皮质之间有足够的空间,是潜在螺钉置入的另一个通道(图20)。

图20 臀中肌柱通道,从髂嵴开始,位于髂前上棘(ASIS)外侧约4—5厘米处,延伸至髋臼的上方/上后穹窿。
在初步分析中,该通道从髂嵴开始,位于髂前上棘(ASIS)后方5—6厘米处,前后跨度为6—8厘米。这条通道更多地用于 Schanz 螺钉插入,以便操作前柱骨折块,而不是用于固定骨折(Bishop)。它常用于放置前上骨盆外固定器。据报道,该通道的峡部在男性中为5.3毫米,在女性中为4.3毫米。它位于男性髂嵴下方27.6毫米,女性髂嵴下方36.3毫米,朝向坐骨结节方向。未观察到与骶骨发育异常的差异。
在骨盆环损伤中,术中充分的可视化是植入物应用的必要条件。只要详细理解特定的术中放射解剖学,就可以安全地将螺钉植入主要半骨盆骨通道,例如逆行和顺行的耻骨上支/前柱通道、髋臼上通道和臀中肌柱通道。成功的治疗依赖于完整的术前计划以及基于骨盆解剖学、放射学和这些骨通道的临床应用的透视成像的理解,这些都依据半骨盆的三环概念。
-END-
声明:本文为原创内容,作者杨海平,版权归原作者所有,本文内容及图片均为转载内容,如涉及版权问题请相关权利人及时与我们联系,我们会立即处理配合采取保护措施,以保障双方利益。