chest怎么量如何通过超声心动图测定每搏量?(CHEST 译文)

新闻资讯2026-04-20 22:54:21

我是怎么做的:通过超声心动图测定每搏量


简介


chest怎么量如何通过超声心动图测定每搏量?(CHEST 译文)_https://www.jmylbn.com_新闻资讯_第1张

图文详解超声心动图如何评估瓣膜反流程度?(精彩PPT)
重症监护超声心动图:一种未分化休克的驱动方法
超声心动图标准切面扫查示范 视频
超声心动图基本切面和正常值(精彩PPT)
超声心动图在休克诊疗中的应用(JECCM综述)
图文详解超声心动图的测量方法
从超声心动图9大征象洞察肺动脉栓塞
超声心动图正常值(超全汇总)
如何利用超声心动图判断肺动脉栓塞?
中国成人心脏瓣膜病超声心动图规范化检查专家共识2021

血培养和超声心动图均为阴性的感染性心内膜炎(病例)

如何在休克患者中使用超声心动图?

超声心动图标准观察切面、测量参数、观测时相、测量方法

超声心动图释疑与技巧(中文翻译版)

心超一点通:超声心动图实战训练营手册

床旁超声心动图病例实践:可移动设备超声图谱

超声心动图诊断的解剖学基础与临床

畅销全球50年,《Feigenbaum超声心动图学(原书第8版)》

chest怎么量如何通过超声心动图测定每搏量?(CHEST 译文)_https://www.jmylbn.com_新闻资讯_第2张

书籍广告


介绍


床旁超声 (POCUS) 已成为急诊医学和重症监护以及越来越多的其他急症治疗专业学员的核心能力。随着北美重症监护超声心动图 (CCE) 独特认证途径的发展及其在超声心动图学会指南中的强调,其重要性得到了进一步强调。然而,随着 CCE 应用的增加,确保临床医生正确地将病理心脏发现与其临床意义相匹配的重要性也在增加。对于这项任务,我们经常使用和倡导超声心动图测定每搏输出量 (SV),并将其作为我们当地培训计划的核心技能。


除了超声心动图以外,还有其他工具可用于估计 SV,包括肺动脉导管插入术、动脉脉搏轮廓分析和生物电抗装置等。这些设备中的每一个都有其自身的优点和局限性,但许多都是侵入性的,并且都需要专有设备或监控系统,这些设备或监控系统通常不切实际或不易获得。因此,我们建议为此目的使用超声,作为一种非侵入性且几乎普遍可用的工具。


虽然有几种可用的超声技术来测量 SV,但最被接受的方法是利用频谱多普勒来获得左心室流出道 (LVOT) 速度时间积分 (VTI) 测量。这种技术在适当的培训下是可行的,也是美国超声心动图学会推荐的,并且与有创的每搏输出量和心输出量测量有很好的相关性。LVOT VTI 测量的可行性和准确性有助于临床医生确定异常 2D 发现是否有助于当前的临床表现,并可应用于各种急症护理环境中的患者,例如急诊室、住院病房、重症监护室和手术室。务实有效地确定 2D 发现对患者每搏输出量的影响(或缺乏影响)的能力使医生能够改进他们的诊断并避免认知错误。为此,我们建议将 LVOT VTI 纳入所有 CCE 考试。
chest怎么量如何通过超声心动图测定每搏量?(CHEST 译文)_https://www.jmylbn.com_新闻资讯_第3张
书籍广告


病例


一名 71 岁男性因缺氧、发烧和低血压到医院就诊。他因肺炎和感染性休克被送入 ICU,需要插管和血管加压药支持。CCE 检查确定严重的 LV 功能障碍和中度心包积液;医师团队不确定这些心脏检查结果是否导致他目前的休克状态和血流动力学不稳定。具体来说,他们想知道添加正性肌力剂是有益还是有害。


概念基础


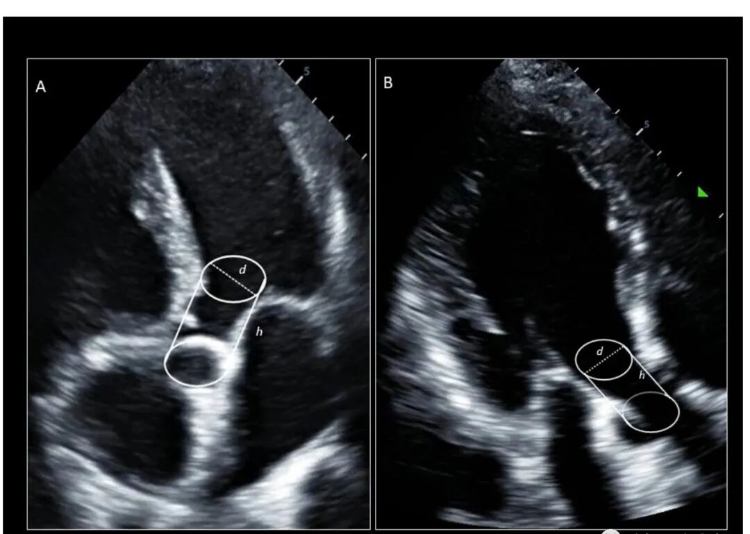
在收缩期从左心室射出的血量通过形状像圆柱体的左心室流出道 (LVOT)。因此,求解该圆柱体的体积会产生 SV(图 1):

chest怎么量如何通过超声心动图测定每搏量?(CHEST 译文)_https://www.jmylbn.com_新闻资讯_第4张

图 1. 在心尖 5 腔 (A) 和心尖 3 腔 (B) 视图中将 LVOT 可视化为圆柱体。


圆柱体体积 = 高度 × 横截面积


圆柱体的高度是 LVOT VTI,通过在心尖 5 腔或 3 腔视图中放置在主动脉瓣 (AV) 近端的脉冲波 (PW) 多普勒获得。横截面积 (CSA) 源自 LVOT 直径,使用:

           

chest怎么量如何通过超声心动图测定每搏量?(CHEST 译文)_https://www.jmylbn.com_新闻资讯_第5张

因此,SV 公式变为:

  

chest怎么量如何通过超声心动图测定每搏量?(CHEST 译文)_https://www.jmylbn.com_新闻资讯_第6张


因为 CSA 是一个固定值,所以在很多情况下,公式可以进一步简化:

chest怎么量如何通过超声心动图测定每搏量?(CHEST 译文)_https://www.jmylbn.com_新闻资讯_第7张

如果需要估计心输出量 (CO),可以使用以下方法获得:


CO = SV × 心率


因此,基于 LVOT 直径是静态测量值,大多数成人的 LVOT 直径约为 2 厘米,LVOT VTI 可用作大多数患者每搏输出量的替代指标。因此,在重症患者中,在大多数情况下,可以假设 LVOT VTI 的变化与每搏输出量的变化直接相关,从而简化了信息的获取。重要的是要确保如果为 SV 评估进行 LVOT 直径测量,它们是准确完成的,因为如上所示,误差在方程中是平方的(请参阅限制和陷阱)。
chest怎么量如何通过超声心动图测定每搏量?(CHEST 译文)_https://www.jmylbn.com_新闻资讯_第8张


获得


以下序列将允许大多数现代超声机器执行计算以确定每搏输出量和心输出量,而无需任何额外步骤:
1. 相控阵(“心脏”)探头用于获取图像。
2. 获得心尖 5 腔 (A5c) 或心尖 3 腔 (A3c) 切面。
3. 彩色多普勒用于验证 LVOT 内的血流——也有助于排除流出道阻塞或明显的主动脉瓣关闭不全(见限制和陷阱)。
4. 脉冲波 (PW) 多普勒用于利用小样本量获得接近 AV 的 VTI,并优化 VTI 包络以进行跟踪(图 2A)。
5. 手动输入心率 (HR) 或利用超声上的 VTI 到 VTI 测量值来计算。
6. 获得胸骨旁长轴 (PLAX) 视图。

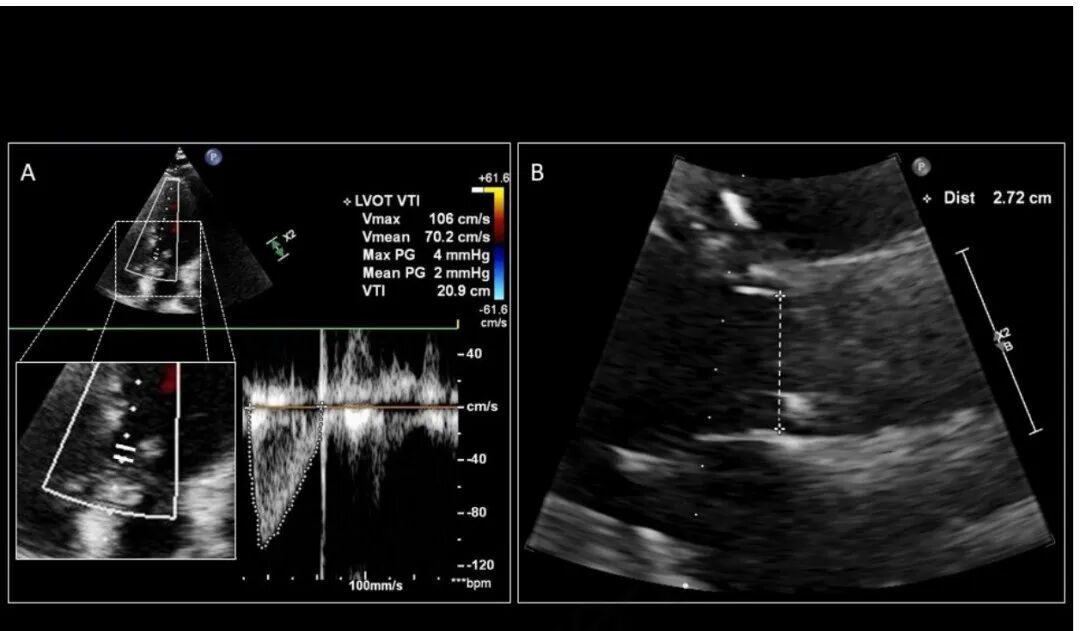
7. 放大并测量 LVOT 直径,从收缩早期到中期的内缘到内缘,就在 AV 近端(图 2B)。

- 测量 LVOT 直径的替代方法将在限制和陷阱中进行审查。

chest怎么量如何通过超声心动图测定每搏量?(CHEST 译文)_https://www.jmylbn.com_新闻资讯_第9张

图 2. 使用 (A) A5c 视图中从 LVOT 近端到主动脉瓣的 PW 多普勒样本的 VTI 跟踪,和 (B) 测量 LVOT 直径的 PLAX 来评估每搏量

chest怎么量如何通过超声心动图测定每搏量?(CHEST 译文)_https://www.jmylbn.com_新闻资讯_第10张


实用方法


为了提高测量和解释 SV 和 CO 的效率,我们提出了一个易于在床边应用的简单工作流程(图 3)。虽然这并不能取代执行准确的初始 2D 评估的需要,但它可用于快速确定 2D 发现在危重病人中的重要性。


chest怎么量如何通过超声心动图测定每搏量?(CHEST 译文)_https://www.jmylbn.com_新闻资讯_第11张

图 3.流程图展示了利用 LVOT VTI 进行血流动力学评估的过程。

chest怎么量如何通过超声心动图测定每搏量?(CHEST 译文)_https://www.jmylbn.com_新闻资讯_第12张

chest怎么量如何通过超声心动图测定每搏量?(CHEST 译文)_https://www.jmylbn.com_新闻资讯_第13张

  1. 进行基本筛查 CCE 检查,注意任何异常发现。
  2.  获取 心尖 5 腔 视图(或失败,心尖 53腔 视图)以可视化 LVOT。
  3. 在 LVOT 水平应用彩色多普勒以排除动态 LVOT 梗阻或明显的主动脉瓣关闭不全——在这些情况下不能使用 LVOT VTI 衍生的 SV(见限制和陷阱)。
  4. 使用 PW 多普勒测量 LVOT VTI。
  5. 如果 LVOT VTI 大于 22 cm,则患者的每搏输出量很可能正常或升高,因此: 
  •   如果基础二维检查异常,任何异常(左室功能障碍、右室功能障碍、心包积液等)都不太可能是导致患者血流动力学受损的主要因素;它们更有可能是慢性和良好补偿的现象。

  •  如果基本 2D 检查正常,VTI 大于 22 cm(因此每搏输出量正常或升高)表明血流动力学异常可能是由于血管舒张和高心输出量状态。

6.如果 LVOT VTI 小于 14 cm,则患者每搏输出量很可能减少,因此:

  • 如果基本 2D 检查异常,则任何异常都可能导致或导致患者的血流动力学受损。

  • 如果基本 2D 检查正常,VTI 小于 14 cm(因此每搏输出量低)表明患者可能存在血管内低血容量,需要进一步进行液体反应性测试。

7.如果 LVOT VTI 在 14 到 22 cm 之间,则存在不确定性,应测量 LVOT 直径以获得更准确的 SV 评估,因为单独的 LVOT VTI 可能会产生误导。

  • 在临床实践中,这是一种常见的情况,因为血管扩张性休克很常见,而且根据我们的经验,许多血流动力学不稳定的患者的 LVOT VTI 值确实在此范围内。

  • 一旦测量了 LVOT 直径,就无需在后续评估中重复测量——该值不会改变。


上述“正常”和“异常”LVOT VTI 的截止值是通过理解在这些计算中只有两个变量影响 SV 得出的:LVOT VTI 和 LVOT 直径。使用 2.3cm 的平均 LVOT 直径上限(比平均值高一个标准偏差),任何 14cm 或更小的 LVOT VTI 产生的 SV 小于 60cc。同样,如果我们将相同的原理应用于 LVOT 直径的下限(1.9cm),任何 22cm 或更大的 LVOT VTI 都会导致 SV 超过 60cc。这种方法可以进行快速和可概括的评估,但如前所述,如果发现与患者的临床背景不符,则应始终进行更严格和全面的评估。

chest怎么量如何通过超声心动图测定每搏量?(CHEST 译文)_https://www.jmylbn.com_新闻资讯_第14张


常见的临床应用


三种常见的临床情况,其中 SV 估计可能特别有用,需要特别考虑。如果评估仅基于 2D 图像,左心室射血分数 (LVEF) 严重降低的休克患者很容易被误诊和管理不善。在这种情况下,正常的 SV 表明慢性、补偿良好的心脏病和不同的休克原因(在大多数情况下可能是败血症)。相比之下,低 SV 证实了心脏病变至少是导致休克状态的原因,如果不是主要来源的话。


随着在危重患者中发现右心室 (RV) 扩张和功能失调,了解 RV 衰竭是血流动力学崩溃的原因还是仅仅是无关过程的无辜旁观者,这一点非常重要。低 SV 表示前一种情况,高或正常 SV 表示后者。对这种范式的判断错误会导致治疗延误或治疗不当。


LVOT VTI 衍生的血流动力学测量值可能最有价值的情况之一是在高动力 LV 收缩功能的情况下。LV 收缩功能亢进的低血压患者的一个常见逻辑谬误是他们“充盈不足”,将受益于 IV 液体推注。危重患者左室收缩功能亢进的原因有很多,其中许多患者已经容量充足。准确识别那些具有高动力循环状态的患者的能力可以防止对不太可能从中受益的患者过度输液的医源性后果。


最后,LVOT VTI 在患者管理发生变化或临床情况发生变化后用于对患者进行连续评估时最有价值。这种重新评估可以是对容量反应性的更广泛评估的一部分,评估对血管活性或正性肌力治疗的开始或滴定的反应,或者只是监测危重病人的病程轨迹。由于 LVOT 直径不会改变,因此可以在重复 CCE 或血流动力学评估时单独进行 LVOT VTI 评估,以监测对治疗的反应并帮助指导管理。
chest怎么量如何通过超声心动图测定每搏量?(CHEST 译文)_https://www.jmylbn.com_新闻资讯_第15张

限制和陷阱


为了安全地利用 LVOT VTI 衍生的血流动力学参数,了解该技术的局限性和缺陷非常重要。同样重要的是要了解 LVOT VTI 的测量不会导致休克的诊断,而休克的诊断是在临床上做出的。因此,SV 和 CO 评估最适合用于确定 2D 异常是否具有临床意义,并监测对治疗的反应。


采集错误

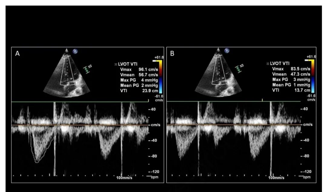
准确获取 LVOT VTI 跟踪非常重要。这要求 PW 多普勒采样线与 LVOT 内的血流平行。如果声波角度在 20° 以内,实际多普勒频移误差 ≤ 6%,导出的 SV 将是可靠的(图 4)。PW 采样点也需要放置在主动脉瓣近端,而不是 LV 腔本身内(图 5)。获得良好的 LVOT VTI 由内部“暗”和明亮“轮廓”的光谱包络表示。追踪 LVOT VTI 时,尽可能精确并尽可能接近外边缘非常重要(图 6)

chest怎么量如何通过超声心动图测定每搏量?(CHEST 译文)_https://www.jmylbn.com_新闻资讯_第16张

图 4. 比较多普勒采样线 (A) 与血流平行与 (B) 离轴大于 20˚ 时产生的 LVOT VTI 差异。

chest怎么量如何通过超声心动图测定每搏量?(CHEST 译文)_https://www.jmylbn.com_新闻资讯_第17张


chest怎么量如何通过超声心动图测定每搏量?(CHEST 译文)_https://www.jmylbn.com_新闻资讯_第18张


图 5. 从 (A) LVOT 中适当的样本位置获得的 LVOT VTI 与在收缩末期捕获的主动脉瓣关闭,和 (B) 在 LV 腔中太近的位置之间的差异。


chest怎么量如何通过超声心动图测定每搏量?(CHEST 译文)_https://www.jmylbn.com_新闻资讯_第19张

图 6. 显示从相同 LVOT VTI 的过度跟踪 (A; 23.9cm) 和跟踪不足 (B; 13.7cm) 获得的值的显著差异。

chest怎么量如何通过超声心动图测定每搏量?(CHEST 译文)_https://www.jmylbn.com_新闻资讯_第20张


动态 LVOT梗阻


动态 LVOT 梗阻,最常见的原因是二尖瓣的收缩期前向运动 (SAM),会干扰准确的 LVOT VTI 测量。在动态 LVOT 阻塞的情况下,血流速度通常超过奈奎斯特极限,导致称为混叠的现象。当超声机器无法确定穿过采样区域的血流的真实方向和速度时,就会出现混叠,并且由从基线的顶部到底部融合的光谱包络表示(图 7A)并且不能 可靠地追踪。在这种情况下,无法从 LVOT VTI 进行 SV 评估。大多数初学者可能只注意到动态 LVOT 梗阻时 LVOT VTI 存在混叠,但在 2D 成像中,重要的是评估二尖瓣叶置在收缩期间的前向运动(图 7B)。


chest怎么量如何通过超声心动图测定每搏量?(CHEST 译文)_https://www.jmylbn.com_新闻资讯_第21张

图 7. 动态 LVOT 梗阻 (A) LVOT VTI 描述,以及 (B) 二尖瓣收缩期前运动 (SAM) 的 2D 可视化。(C) 中重度主动脉瓣反流中预期的彩色多普勒结果。

chest怎么量如何通过超声心动图测定每搏量?(CHEST 译文)_https://www.jmylbn.com_新闻资讯_第22张



中度或重度主动脉瓣关闭不全 

     

中度或重度主动脉瓣关闭不全 (AI) 导致左心房和主动脉的双源舒张期充盈。左心室舒张末期容积的增加导致超常的、高估的 LVOT VTI 值。由于这种高估,不能从 LVOT VTI 进行 SV 评估。即使是 CCE 的新手用户,也可以在彩色多普勒的 PLAX 和 A5c 视图中通过评估在舒张期从主动脉回流到 LV 的逆行血流(图 7C)来发现主动脉瓣关闭不全(图 7C)

其他生理状态


使用 LVOT VTI 估计 SV 和 CO 时,需要考虑其他生理和病理状态。重要的是要认识到,对于每搏输出量可变的患者,通常是由于心律失常,如心房颤动,需要多次 VTI 获得并取平均值以获得准确的血流动力学评估。需要平均以获得准确的血流动力学评估的 LVOT VTI 的数量似乎因来源而异,但是,大多数指南建议 5 次连续心跳作为最低限度。此外,某些生理状态会导致基线时的高心输出量,例如肝硬化、甲状腺毒症和妊娠等。在这些情况下,在没有临床背景的情况下解释 LVOT VTI 值可能具有挑战性,并可能导致不正确的解释。

chest怎么量如何通过超声心动图测定每搏量?(CHEST 译文)_https://www.jmylbn.com_新闻资讯_第23张


LVOT 直径测量


如前所述,LVOT 直径测量值在 SV 公式中是平方的,因此,获取或测量该值的任何错误都可能导致对真实每搏输出量的显着高估或低估。在实践中,有几种方法可以尝试并尽量减少我们提倡的这种错误。首先,由经验丰富的超声医师测量 LVOT 直径,并将该值用于所有未来的 SV 计算。这也适用于回顾之前的超声心动图,如果患者在此期间没有接受过心脏手术,之前报告的 LVOTd 是一个不错的选择。在某些情况下,如果 LVOTd 无法测量且无法从之前的超声心动图报告中获得,则可能会推断出可能的 SV 范围,或者如果需要准确的值(在实践中不常见),则可能需要另一种 SV 评估方法。
chest怎么量如何通过超声心动图测定每搏量?(CHEST 译文)_https://www.jmylbn.com_新闻资讯_第24张

病例解决


患者的 SV 和 CO 计算值分别为 70 mL 和 6.5 l/min,并被解释为与分布性休克一致。左心室功能障碍和心包积液被确定为慢性的,并且与目前的休克状态无关,这被认为与脓毒症引起的持续性血管麻痹有关。继续使用血管加压药,停用正性肌力药物,并且根据该血流动力学信息不再给予液体。患者在接下来的 48 小时内慢慢好转,并于第 3 天转出重症监护室。

chest怎么量如何通过超声心动图测定每搏量?(CHEST 译文)_https://www.jmylbn.com_新闻资讯_第25张


结论


在使用二维超声心动图评估危重病人时,缺乏定量的血流动力学细节来帮助确定异常发现的重要性通常是一个重大挑战。通过估计 SV 和 CO,临床医生可以很容易地证实任何病理超声发现的影响程度。反过来,这些知识有助于对循环衰竭的管理采取更加自信和量身定制的方法,有助于避免偏见并量化对干预措施的反应。尽管经过充分验证,LVOT VTI 作为 CCE 的一部分的常规使用尚未得到广泛认可。然而,我们的经验表明,SV 和 CO 测量丰富了 CCE 的质量和影响,该技术应被视为任何一线临床医生管理重症患者的基本技能。


来源:How I Do It: Stroke Volume Determination by Echocardiography,CHEST (2022), doi: https://doi.org/10.1016/j.chest.2022.01.022.斌哥话重症

通用技术

国家卫计委:需要紧急救治的急危重伤病标准及诊疗规范

重症技术:6个重症操作前谈话

重症技术常用操作图谱(精彩好图)

NEJM教学视频:手卫生(英文版,中文字幕)

视频:七步洗手法操作流程

手卫生有什么新进展吗?(译文)

手卫生的“昨天、今天、明天”(PPT课件)

重症患者准备接受侵入性操作,应该预防性应用抗生素吗?

脑死亡判定标准与操作规范:专家补充意见(2021)

常规心电图检查操作指南(简版)(2019)

临床微生物学血培养操作规范

奈特临床技术操作图解指南

青霉素皮肤试验临床操作专家共识2022

常规皮试假阳性率达94.1%?“青霉素过敏史”主诉患者规范化青霉素过敏检测


血气分析
乳酸上升与静脉血气解读
动脉血气分析的采集与结果解读(精彩PPT课件)
血气分析流程图
一图读懂血气分析
血气分析采血总是失败?看看这些穿刺临床技巧
动脉血气结果判读(译文)
集锦:血气分析,21篇
血气分析三五步
血气分析的临床解读
动脉血气分析
肺心病患者的动脉血气变化和酸碱失衡
秒判血气分析的实用技巧
问:如何辨别动脉血气分析误抽了静脉血?
血气分析攻略
临床技能系列文章15:动脉血气的意义
血气分析:协和医院教学视频
六步法、三步法看血气分析,谁令人窒息?
血气分析:9个病例教你解读
动脉血气监测在大手术中的重要作用
基于动静脉血气分析的心输出量估计:监测方法的建议
中心静脉与动脉血气的比较及其在危重病人中的应用
动脉血气分析标本采集实操视频
给你一份血气分析结果,你能解读吗?
动脉血气分析怎么应用?
血气分析就这4大问题?说清了!
静脉血也能行血气分析?您确实没听错!
血气分析系列:病例2,男性,72岁
血气分析系列:病例1,男性,76岁

氧气疗法
关于吸氧的3个问题(PPT课件)
氧疗(北京协和医院杜老师授课视频)
低氧血症的诊断思路(视频)
脉氧仪是惊艳的,但并不完美
认识第五生命体征:血氧饱和度( SO2 )!SpO2≠SaO2?
重症成人合理的氧疗目标(译文)
重症监测技术:氧供、氧耗和氧的供需平衡
氧:起源、生理学、病理生理学及在重症疾病中的应用
无创通气与氧合策略(PPT课件)
正确认识氧疗的利弊,警惕氧中毒!
成人重症的氧中毒
高流量氧疗在COPD合并高碳酸血症呼吸衰竭患者的应用进展
成人经鼻高流量湿化氧疗临床规范应用专家共识(PPT课件)
急诊氧气治疗专家共识
严重急性低氧性呼吸衰竭急诊治疗专家共识
急诊呼气末二氧化碳监测专家共识

气管插管、气管切开
气管插管,爱你这个基本功不容易!
气管插管详细步骤、评分标准(附视频)
气管插管及气管切开的护理配合(PPT)
气管插管术(医护配合,图文+视频)
纤维支气管镜引导下气管插管(PPT课件)
气管内插管入路选择及其并发症
问:如何预防气管插管相关的心脏骤停?
10条优化重症患者成功气管插管脱机及拔管的技巧
玩转气管插管术
气管插管拔管前评估
视频:心肺复苏术+气管插管术+喉罩技术+电除颤术
气管插管(图文+2视频)
收藏!急救技术-环甲膜穿刺术【图文+视频详解】
NEJM视频:气管插管 + 拔除气管插管 + 环甲膜切开
ICU的经皮气管切开术
NEJM:经皮气管切开术(图文+视频)
扩张钳式(PORTEX Griggs) 经皮气管造口技术(图文+视频)
经皮气管切开术(手术步骤、注意事项、术后护理)(图文+视频)

心肺复苏
特殊病因(可逆病因)的心脏骤停
心脏骤停救治流程及合理用药
成人心脏骤停CRP实操22条意见(2020年AHA指南)
中国急诊专家共识:成人心脏骤停后综合征诊断和治疗
成功救治心脏骤停1例报告
心脏骤停不等同于心源性猝死
心肌梗死和心脏骤停的区别
心脏骤停后的脑损伤
心脏骤停后重症监护期间的个体化血压目标
心脏骤停时肾上腺素的使用:已知、未知和争议
心脏骤停复苏后血流动力学管理的专家共识
记好了:如何正确且高效的拨打120急救电话?
院外心脏骤停心肺复苏终止的时机与指征
全球统一的心肺复苏术标准:多个动图分步解析+高清视频
视频:心肺复苏(欧洲复苏委员会)
精致有趣的动画版心肺复苏教学
我国首部急救科普三维动画视频---心肺复苏,学会可救人一命!
成人院内心肺复苏术质量控制临床实践专家共识
成人心肺复苏最佳胸部按压点研究进展
心肺复苏与机械通气(PPT课件)
重症监护ABC系列10:心肺复苏
心肺复苏热点解读
心肺复苏压断老人12根肋骨遭索赔?法院判了......
2020年美国心脏学会心肺复苏指南(成人与孕妇部分)
主动脉球囊阻断在心肺复苏中的应用
中国淹溺性心脏停搏心肺复苏专家共识
心肺复苏后目标温度管理的最新评价
落坑:低血钙--补钙补出心肺复苏
心肺复苏后昏迷患者早期神经功能预后评估专家共识2019
《中国心肺复苏专家共识》之腹部提压心肺复苏临床操作指南
自动体外除颤器(AED)如何操作?非常简单,3分钟视频学会!
心脏停搏,先除颤还是先心肺复苏?
除颤仪的使用(PPT课件+视频)
除颤仪的使用(视频)
教学视频:双人心肺复苏+电除颤
国家卫健委:心脏除颤器安全管理

静脉置管
穿刺针上的G、mm是啥?尺寸的计算公式是?
颈内静脉穿刺术
视频:颈内静脉置管术(中文字幕)
中心静脉置管术:颈内穿刺(郑州大学第一附属医院)
锁骨下静脉穿刺术(图文详解)
锁骨下静脉置管操作详解(图文结合)
中心静脉置管-锁骨下静脉穿刺术(经验+视频)
视频:桡动脉穿刺技巧
超声引导桡动脉穿刺置管术(平面内)
桡动脉置管的十个最佳实践技巧
重症超声引导的血管置管精准操作
视频:中心静脉穿刺置管术
新手秒变老司机:中心静脉穿刺(视频+图文)
中心静脉穿刺的穿刺经验,避开十大埋伏!
PiCCO穿刺置管、连接和数据获取(带视频)
临床静脉导管维护操作专家共识2019
中心静脉通路实践指南
中心静脉导管
中心静脉血管通路(装置)
实操教学视频:中心静脉压力监测
中心静脉压监测的临床意义再评价
重症患者中心静脉导管管理中国专家共识(2022版)
中心静脉导管冲管及封管专家共识2022
中心静脉压急诊临床应用中国专家共识(2020,附PDF)
中心静脉压与补液的关系
中心静脉与动脉血气的比较及其在危重病人中的应用
中心静脉血管通路装置安全管理专家共识(2019版)
集锦:深静脉置管、管理;中心静脉压(共计27篇)

四大穿刺
解密:腰椎穿刺为什么老是失败?
成年人诊断性腰椎穿刺后卧床时间和体位的最佳证据应用
CT和腰椎穿刺正常的爆裂样头痛患者没有必要进行更深入检查吗?
NEJM教学视频5合集:胸穿、腰穿、腹穿、骨穿、心穿
超声引导下胸腔积液穿刺引流细节(附视频)
超声引导下胸腔穿刺置管术(NEJM视频)
如何引流胸水:引流时间安排、引流管径的大小?
胸腔积液及其引流引发的病理生理学效应
类肺炎性胸腔积液的定义、病因、分类
胸腔积液的定位巧记
胸腔积液的基础与临床(经典教案)
胸腔积液的一些事儿。。。
临床实战病例引导学习恶性胸腔积液
包裹性胸腔积液,如何使用尿激酶?
集锦:胸腔积液,共计38篇
胸水疑案:右侧胸水居然来自脑脊液???
您见过吗:一侧胸水像牛奶,一侧胸水像橙子汁?
肝硬化胸水来源何处?与腹水一定并存吗?如何诊治?
这个病例是胸水还是胸膜肥厚?CT如何鉴别?
肺栓塞为何出现胸腔积液?如何诊治?
病例:72岁男性,快速进展性肺囊肿与胸腔积液
以单侧胸腔积液入院,发现多浆膜腔积液,这种鉴别诊断你还记得吗?
肺部超声评估胸腔积液(译文)
识别气胸的好方法(文图结合)
共识:自发性气胸的处理(2016 年版)
声明:原发性自发性气胸的诊断和治疗(欧洲呼吸学会)
气胸病因知多少,这些疾病不能忽略?
如何鉴别气胸与肺大疱?
图解1例怪胸片。附各种原因导致气胸的治疗?
疑似气胸而不是气胸,形像而神不是?
小小气胸亦致命?
50岁男性,双侧气胸闭式引流术后,突然剧咳,RPE?
看图识病:CT气胸还是肺大疱?还有什么异常?

机械通气
什么是呼吸机?为什么要用呼吸机?
呼吸机的工作原理(英文视频,中文字幕)
呼吸机波形评估诊断肺部病理生理学的流程
机械通气-基础知识
机械通气基础(好文力荐)
机械通气前准备(PPT课件)
机械通气进阶培训(PPT课件)
呼吸机的使用(中山大学附属第七医院手把手培训)
呼吸机的使用操作演示视频
机械通气:俯卧位通气操作(图文+3个视频)
急性呼吸窘迫综合征患者俯卧位通气治疗规范化流程
机械通气基本原理及基本模式(值得收藏的PPT课件)
呼吸机通气模式(常用模式全集)
机械通气基本模式:呼吸机设置概述
呼吸机通气模式(英文版,中文字幕)
机械通气-参数设定
机械通气—常用模式
机械通气的参数设置,这样就懂了!
机械通气:呼吸末正压(PEEP)的设置与滴定
如何通过临床指标指导机械通气?
机械通气雾化应用(PPT课件+3个视频)
机械通气患者雾化治疗指南
机械通气雾化吸入治疗临床路径(专家共识2020)
机械通气—监测与故障处理
机械通气的脱机流程(PPT课件)
机械通气撤离面临窘境:理论和实践怎么去做?
机械通气撤离影响因素和序贯机械通气切换点的选择
误诊:机械通气者CT示双肺毛玻璃影,肺弓形虫病?
TBI患者机械通气:现有证据和临床建议
床旁超声评估机械通气患者撤机风险
气管切开非机械通气患者气道管理
机械通气临床应用指南(PPT课件)
急性呼吸窘迫综合征患者机械通气指南
急性呼吸窘迫综合征ARDS有创机械通气治疗流程
有创和无创机械通气的区别要点(一图读懂)
分享26篇文献:慢阻肺、呼吸衰竭、机械通气、肺康复
无创呼吸机BiPAP V60的使用操作 | 高清视频
无创呼吸机规范化操作流程图
无创呼吸机使用培训
无创呼吸机的临床应用及实践要点
经鼻高流量氧疗切换无创呼吸机时机(文图+视频)
机械通气与自主呼吸活动的评估
如何通过呼吸机观察患者的自主呼吸(短视频)
有创呼吸机的临床应用及及实践要点
程序化机械通气撤机流程,呼吸机应用成败的关键!
中国成人医院获得性肺炎与呼吸机相关性肺炎诊断和治疗指南
医院获得性肺炎/呼吸机相关性肺炎如何合理使用抗菌药物

肝肺穿刺
CT介入引导操作规范(2022)
呼吸危重症患者行肺组织活检操作的专家意见
CT引导下经皮穿刺肺活检(附2个视频)
快速识别与处理胸部肿瘤经皮穿刺相关急重症
胸部肿瘤经皮穿刺活检中国专家共识(2020版)
支气管内超声引导经支气管针吸在肺癌应用相关共识
看图识病:肝脓肿穿刺液为红褐色?
肝穿刺活检:安全性、目的、适应证与禁忌证
硬货分类:重症超声、心脏超声、肺部超声、超声引导

血液净化
血液净化标准操作规程2021版(国家卫健委)
重症血液净化:从技术到科学
重症血液净化:从理念到实践
六大血液净化模式临床应用要点总结(表)
人工肝血液净化技术临床应用专家共识(2022年版)
中国重症血液净化护理专家共识(2021年)
血液净化急诊临床应用专家共识
强化血液净化治疗中毒:过犹不及
操作视频:血液净化-胆红素吸附治疗
血浆置换标准操作规程(国家卫健委2021版)
CRRT上下机操作流程图解(PPT课件)
连续性肾脏替代治疗(CRRT)如何调整抗菌药物?
CRRT时常用抗生素的剂量调整(表)
连续性肾脏替代治疗CRRT的时机之争,仍在继续?
连续性血液净化置换液的配制(重症血液净化学)
血液透析基础知识大全
血液透析时机的选择
血液透析中低血压防治专家共识(2022)
输血透析尿毒症者并发丙型肝炎引发的争议
47岁女患者,长期透析-发热-左下肢疼痛-肺内结节,原因何在?
透析性脑病(血液透析并发症)
一种越来越罕见的综合征:透析失衡综合征(DDS)

重症超声
对肺脏超声评分系统的思考
肺超声与新型冠状病毒肺炎(视频)
如何使用床旁超声对清醒俯卧位通气患者肺复张评估?
重症超声的血管评估
颈部血管超声、经颅脑实质超声和周围神经超声的操作规范
经颅多普勒超声的操作规范
经颅多普勒超声监测的操作规范
新型冠状病毒肺炎重症超声应用专家共识(战时应急稿)
图文详解超声心动图的测量方法
重症超声与血流动力学(王小亭)
重症超声基础讲座系列1+2(6个视频)
重症超声导向的六步法休克评估流程
不明原因休克急诊超声临床实践专家共识
超声心动图标准观察切面、测量参数、观测时相、测量方法
重症技术:心脏超声实操(附视频)
心脏超声中常用英文缩写+中文对照
血培养和超声心动图均为阴性的感染性心内膜炎(病例)
价值50块钱的心脏超声口诀
心脏超声测量标准参考(视频+图文)
超声心动图正常值(超全汇总)
中国成人心脏瓣膜病超声心动图规范化检查专家共识2021
为何肺超声检查总是失败?(译文)
重症肺部超声的15个基本征象(图示)
重症超声临床应用技术规范
肺超声检查如此简单:分步指南
超声引导下胸腔穿刺置管术(NEJM视频)
超声引导下胸腔积液穿刺引流细节(附视频)
肺部超声评估胸腔积液(译文)
重症超声在心肺复苏中的临床应用
床旁超声在心脏骤停中的应用
床旁超声在急危重症临床应用的专家共识
POC:急诊超声的临床应用
床旁超声评估机械通气患者撤机风险
基于循证的成人床旁超声护理专家共识
用事实说话:床旁超声对急性心力衰竭的诊断及治疗
从超声心动图9大征象洞察肺动脉栓塞
如何利用超声心动图判断肺动脉栓塞?
超声引导桡动脉穿刺置管术(平面内)
超声引导下的锁骨下深静脉置管术(视频2个)
临床问题:深静脉导管拔管前,是否需要超声检查?
超声引导穿刺视频:动-静脉体外膜肺氧合ECMO操作示范
重症超声引导的血管置管精准操作
重症超声指导循环衰竭处理临床思维
重症技术:膈肌超声-操作实践经验(3个视频)
头颈部血管超声若干问题的专家共识 (颈动脉部分)
中国重症经食管超声临床应用专家共识(附PDF)
支气管内超声引导经支气管针吸在肺癌应用相关共识
肝病超声诊断指南2021
硬货分类:重症超声、心脏超声、肺部超声、超声引导
好书/新书推荐:支气管内超声
循序渐进用好血管内超声
掌握规范肺部超声实操技巧
重症肺超声
心脏超声技术指南—解剖、检查规范及超声表现
畅销全球50年,《Feigenbaum超声心动图学(原书第8版)》
消化系统疾病超声入门
支气管内超声临床应用病例解析

ECMO
体外二氧化碳清除技术ECCO2R(PPT课件)
体外膜式氧合治疗成人重症呼吸衰竭推荐意见
成人体外心肺复苏专家共识更新 (2023版)
体外心肺复苏——起死回生之术还是奢侈的安慰剂(精彩幻灯)
VA-ECMO,真的可以避免死亡吗?
成人体外膜肺氧合辅助心肺复苏(ECPR)实践路径
体外膜肺氧合ECMO导管维护技术规范
重症技术:ECMO与CRRT的珠联璧合
体外膜氧合ECMO的基础(译文)
ECMO生命支持期间抗真菌药物的药代动力学特征
超声引导穿刺视频:动-静脉体外膜肺氧合ECMO操作示范
体外膜肺氧合ECMO工作原理、上下机及管道预冲(附视频)
体外膜肺氧合(ECMO)的抗凝管理
体外膜肺氧合抗凝管理现状和挑战
体外膜肺氧合抗凝管理进展
重症超声引领体外膜肺氧和从技术迈向精准管理(王小亭等)
凝血相关指标与体外膜肺氧合治疗出血风险的研究进展
体外膜肺氧合过程中的监测
中国体外膜肺氧合应用现状及问题
静脉-静脉体外膜肺氧合上机时机的探讨
静脉-动脉体外膜肺氧合上机时机的探讨
不同情况下成人体外膜肺氧合临床应用专家共识(2020)
ECMO临床应用(附典型病例及操作视频)

其他技术
主动脉球囊反搏术(IABP)的原理和操作规范(图文+视频)
主动脉内球囊反搏(IABP)操作规范(视频)
床边基本操作-颈动脉窦按摩,如何做???
右心漂浮导管检查操作流程专家共识
晚期胰腺癌介入治疗临床操作指南(试行)(第五版)
内科胸腔镜规范化操作(视频)
支气管镜诊疗操作相关大出血的预防和救治专家共识
呼吸内镜诊疗技术临床应用管理规范(国家卫健委办公厅)
ICU患者支气管肺泡灌洗液采集、送检、检测及结果解读规范
抗凝(栓)门诊标准操作规程专家共识
直立倾斜试验标准操作流程中国专家推荐意见
六分钟步行试验临床规范应用中国专家共识
冠状动脉球囊成形术与支架植入术操作规范(2022)
动态心电图报告规范专家共识
成人肺功能诊断规范中国专家共识
静脉硝酸酯类药物:规范化应用(附PDF)
胺碘酮规范应用专家建议(2019)
抗心律失常药胺碘酮,如何使用才正确?
病人用了胺碘酮死了,错在哪里?注意16种死法!
五花八门:肾上腺素救治过敏性休克最佳使用方法是?
心脏骤停时肾上腺素的使用:已知、未知和争议
您到底懂不懂?药品说明书≠诊疗规范
【规范与指南】卡普兰-费希尔规则(Caplan-Fisher Rules)

集锦:流感病毒/流行性感冒,共计35篇

集锦:支原体肺炎,共计30篇

集锦:噬血细胞综合征、传染性单核细胞增多症,共计12篇

集锦:脓毒症、脓毒性休克,共计170篇

集锦:关于【钾】的40篇文章合集

集锦:关于【钠】的27篇文章合集

集锦:胸部CT阅读,共计51篇

集锦:降钙素原,共计18篇

集锦:呼吸衰竭,共计23篇

集锦:临床各种操作技术——视频、流程、规范、技巧等(收藏版)

集锦:肺炎克雷伯菌,共计25篇

集锦:喹诺酮类抗菌药物,共计25篇

集锦:金黄色葡萄球菌、万古霉素,共计41篇

集锦:铜绿假单胞菌,12篇

集锦:关于“发热”,共计90篇

集锦:热射病、中暑,7篇

集锦:血培养、尿培养,共31篇

集锦:过敏,28篇

集锦:血气分析,21篇

集锦:横纹肌溶解症(7篇)

集锦:心力衰竭,共76篇

集锦:咳嗽,共计22篇

集锦:血流动力学,共计28篇

集锦:血栓、血栓栓塞

集锦:重症的镇痛+镇静

集锦:休克

集锦:心电图学习

集锦:碳酸氢钠、酸/碱中毒、酸碱失衡

集锦:肺栓塞

集锦:微量泵、血管活性物质等

集锦:抗生素,共40篇

集锦:细菌耐药

集锦:关于“血压”的37文献

集锦:抗结核治疗方案、不良反应及处理,共计35篇

集锦:结缔组织病,肺动脉高压,间质性肺病,自身抗体

集锦:临床营养治疗,共计27篇

集锦:深静脉置管、管理;中心静脉压(共计27篇)

集锦:综合征、综合症、危象,共计70篇

集锦:阑尾,共计7篇

集锦:糖皮质激素、皮质醇功能不全,共计19篇

集锦:高血压,共计22篇

集锦:心肌梗死、ST段,共计20篇

集锦:胸腔积液,共计38篇

集锦:高钾血症

集锦:肝衰竭、肝性脑病、肝肾综合征

集锦:血糖、糖尿病、胰岛素、糖尿病酮症酸中毒等

集锦:临床各种评估、评分、管理策略

避免落坑:常见的危急重症影像实例集锦

肺间质改变为表现的不典型肺结核(CT集锦)

集锦:腹腔结核的CT影像——TB or not TB?

指南集锦:乙肝病毒与母婴(2017-2021年国内7部)

临床各科危急值集锦 | 危急值报告,关我们什么事?


硬货分类:蛛网膜下腔出血,共计8篇

硬货分类:脉搏指示连续心输出量PiCCO,11篇文章合集

硬货分类:老年科指南,共计30篇

硬货分类:肾脏病

硬货分类:重症超声、心脏超声、肺部超声、超声引导

硬货分类:腹泻,共计12篇

硬货分类:心律失常,共计17篇

硬货分类:脑卒中、脑梗死、脑出血、脑血管、脑水肿,共计26篇

硬货分类:咯血,共计12篇

硬货分类:利尿剂,共计8篇

硬货分类:急性呼吸窘迫综合征,机械通气

硬货分类:肺水肿、胸部X线(23篇)

硬货分类:合理用药,共计25篇

硬货分类:肺栓塞、血栓栓塞性疾病、D-二聚体

硬货分类:死亡、心跳骤停

硬货分类:临床各种诊疗思路、思维

儿科指南合集:37篇

无创通气的人机连接装置及上机流程(附合集)

师兄佳作:2021年第1、2、3季度文章合集

医学指南、共识,干货重灾区(合集,持续追加)

《基层常见疾病合理用药指南》合集28部(下载PDF)

《常见疾病基层诊疗指南》合集82部

经典电影合集


师兄和俺建立了资分享群,邀您互相交流,微信gabstudy

点击阅读原文,进入实用书籍专辑,用完记得收藏哦,下次更方便