aed电极贴怎么贴AED的电极片,你贴的对吗?

新闻资讯2026-04-20 22:40:32

aed电极贴怎么贴AED的电极片,你贴的对吗?_https://www.jmylbn.com_新闻资讯_第1张

被称作“救命神器”的AED(心脏体外除颤器),其作用大众已有所了解和熟知,主要用作心脏骤停的伤患,通过分析心率、电击除颤等科学的救护方法进实施救助。


大家知道,连接在AED上的电极片是AED非常重要的组成部分,而电极片设计的形状多种多样,有长方形的,有椭圆形的,还有近似正方形的。


aed电极贴怎么贴AED的电极片,你贴的对吗?_https://www.jmylbn.com_新闻资讯_第2张aed电极贴怎么贴AED的电极片,你贴的对吗?_https://www.jmylbn.com_新闻资讯_第3张

aed电极贴怎么贴AED的电极片,你贴的对吗?_https://www.jmylbn.com_新闻资讯_第4张


那么,在给伤患贴电极片时,是要竖着贴,还是横着贴好呢?貌似我们参加一些相关培训课程时,导师演示大部分是横着贴在伤患的上胸处和下胸处。


说明:大家注意,在真实施救过程中,情况紧急,横着和竖着贴一般都会有效果,不要为此纠结而延误救命时机。不过两片电极片贴的位置要求必须准确。


但作为好奇的小编,还是想去一探究竟。


内容来源是微信公众号“急救科普人”,作者陈恒生老师专门对此有文章原文链接:吹毛求疵???AED的电极片必须竖着贴?不能横着贴?)

在2003年在《复苏》期刊发表的研究有相关内容的解释(如下图所示)


aed电极贴怎么贴AED的电极片,你贴的对吗?_https://www.jmylbn.com_新闻资讯_第5张


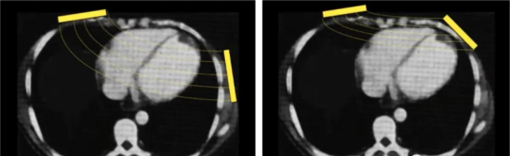
内容提到一个重要专业名称——经胸阻抗(Transthoracic impedance, TTITTI是决定体外除颤过程中跨越心肌电流幅度的重要因素,最小化TTI增加了除颤的成功机会。


大多数AED电极片的形状为矩形,因此可以横向或纵向放置,尤其是心尖位的电极片。


从理论层面上,横向放置的电极片边缘接触较差,可能会导致TTI高于纵向放置。


研究得出结论为: 矩形除颤板的纵置方向产生的TTI比水平方向较低 。

后来,欧洲复苏委员会接纳此研究,并于2005复苏指南推荐 “ 不对称形状的心尖位电极纵向摆放会降低阻抗而并非横向摆放, 心尖位电极板的长轴应以上下方定向。


英国复苏委员会也于2005复苏指南推荐 “将一AED电极片置于锁骨下方、胸骨的右侧,另一电极片是置于腋中线,大约与V6ECG电极或女性乳房齐平这个位置应该没有任何乳腺组织。 

重要的是,该电极片充分放置在侧面。为了提高效率,把腋中电极片的长轴垂直放置。


aed电极贴怎么贴AED的电极片,你贴的对吗?_https://www.jmylbn.com_新闻资讯_第6张


公布的ERC 2020新指南推荐,将电极片置于常规的前–外侧位置(胸骨- 心尖),右(胸骨)电极片位于锁骨下方、胸骨的右侧,心尖部位电极片是置于左腋中线,大约与V6ECG电极齐平。

这个位置应该没有任何乳腺组织。重要的是,该电极片要充分放置在侧面(上图),而较实际说法,心尖部位电极片应刚好放置在腋窝下方。


aed电极贴怎么贴AED的电极片,你贴的对吗?_https://www.jmylbn.com_新闻资讯_第7张


所以, 左下这个电极片要竖着贴是有依据的,是有指南推荐的,是有证据支持的!

aed电极贴怎么贴AED的电极片,你贴的对吗?_https://www.jmylbn.com_新闻资讯_第8张

大庆市蓝天救援队24小时值守公益救援电话:13504899958

在此,我们向支持户外安全公益事业的所有单位和个人致敬!


大庆市蓝天救援队

aed电极贴怎么贴AED的电极片,你贴的对吗?_https://www.jmylbn.com_新闻资讯_第9张

aed电极贴怎么贴AED的电极片,你贴的对吗?_https://www.jmylbn.com_新闻资讯_第10张