AED怎么自检手腕摔伤后自检方法及诊疗释疑

新闻资讯2026-04-20 22:39:50

AED怎么自检手腕摔伤后自检方法及诊疗释疑_https://www.jmylbn.com_新闻资讯_第1张



     
哈尔滨市骨伤科医院经常收治摔伤手腕的患者,如果不慎摔伤手腕,接下来该怎么能判断自己的伤情,又有什么值得注意的呢?以下几点建议可供参考:
AED怎么自检手腕摔伤后自检方法及诊疗释疑_https://www.jmylbn.com_新闻资讯_第2张
     
AED怎么自检手腕摔伤后自检方法及诊疗释疑_https://www.jmylbn.com_新闻资讯_第3张
     



AED怎么自检手腕摔伤后自检方法及诊疗释疑_https://www.jmylbn.com_新闻资讯_第4张

伤后自检



伤后首先可以尝试自我诊断,初步判断病情的轻重

手腕挫伤后,请不要“揉捏”。如果是单纯的腕关节扭伤也许影响不大,但如果出现骨折的情况下,反复的“揉捏”在造成疼痛的同时,还可能导致骨折移位,加重病情。为了判断病情,可尝试轻微握拳、旋转手腕,可能会出现以下两种情况:

1



如果受伤的部位没有明显的肿胀、活动中没有明显的疼痛,可以自行应用“护腕”、“腕关节支具”保护腕关节,观察12天,期间摔伤的部位需减少活动。伤后24小时低温冷敷,再酌情配合使用我院的“金黄软膏”,会对病情有所帮助。

在观察期间有明显的不适,请不要大意,有些挫伤手腕的患者,甚至出现掌骨的损伤“如手舟骨骨折”、肘关节的损伤(如桡骨头骨折)以及肩关节的损伤(如肱骨外科颈骨折)等较重的病情,应及时前往医院就诊。


2



如果握拳、旋腕的过程中有明显疼痛、肿胀甚至关节畸形,这时应第一时间前往医院找专业医生进行临床和影像学检查。

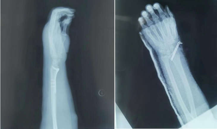
AED怎么自检手腕摔伤后自检方法及诊疗释疑_https://www.jmylbn.com_新闻资讯_第5张

骨折复位前影像

AED怎么自检手腕摔伤后自检方法及诊疗释疑_https://www.jmylbn.com_新闻资讯_第6张

骨折复位后影像



AED怎么自检手腕摔伤后自检方法及诊疗释疑_https://www.jmylbn.com_新闻资讯_第4张

问题释疑 




AED怎么自检手腕摔伤后自检方法及诊疗释疑_https://www.jmylbn.com_新闻资讯_第8张

摔伤了手腕,已经拍摄了X线片(DR片),为什么还要再加拍一个CT呢?

AED怎么自检手腕摔伤后自检方法及诊疗释疑_https://www.jmylbn.com_新闻资讯_第9张

作为最为基础的DR片,性价比较高,对于受伤部位骨头的整体观察是很有帮助的。但有一些情况下,裂纹骨折和复杂部位的成像效果不如CTDR+CT片的组合,可以明显的提高对于伤肢的诊断准确率,避免延误病情。




AED怎么自检手腕摔伤后自检方法及诊疗释疑_https://www.jmylbn.com_新闻资讯_第8张

摔伤的部位是手腕,为什么医生要给我做手部(肘部、肩部等)的检查呢?

AED怎么自检手腕摔伤后自检方法及诊疗释疑_https://www.jmylbn.com_新闻资讯_第11张

手腕远端连接着腕骨、近端连接着肘关节和肩关节。身体摔倒时,靠手腕撑地维持身体的平衡。这一瞬间,手掌、肘关节、肩关节和手腕同时受到了传导力,因此需要同步检查判断除腕关节的其他部位是否出现损伤。




AED怎么自检手腕摔伤后自检方法及诊疗释疑_https://www.jmylbn.com_新闻资讯_第8张

医生说我腕部骨折(桡骨远端骨折) 了,我是不是要做手术了?

AED怎么自检手腕摔伤后自检方法及诊疗释疑_https://www.jmylbn.com_新闻资讯_第11张

多数的桡骨远端骨折,有很大概率通过保守治疗的方案得到良好的医治。如果是简单的骨折情况,麻醉下手法整复石膏外固定,是比较合适的治疗方式。少数情况骨折复位不佳,或骨折为复杂的情况,就要住院进行系统的手术治疗了。




AED怎么自检手腕摔伤后自检方法及诊疗释疑_https://www.jmylbn.com_新闻资讯_第8张

上周做了石膏固定,石膏明明很结实,为什么今天复诊时,医生建议我换一个新的石膏呢?

AED怎么自检手腕摔伤后自检方法及诊疗释疑_https://www.jmylbn.com_新闻资讯_第11张

石膏固定时,受伤的肢体是在肿胀的状态下的。随着时间的推移和病情的好转,肢体会出现消肿的情况(就像之前穿着棉袜子时刚好的鞋子,换了双薄袜子,鞋子不合脚了一样)。石膏会因为消肿而出现松动,固定的能力减弱,失去原有的作用。这时就要更换新的石膏做更好的固定。当然,定期查看皮肤状态、观察恢复情况等也是换石膏的原因之一。

AED怎么自检手腕摔伤后自检方法及诊疗释疑_https://www.jmylbn.com_新闻资讯_第16张

石膏固定外观




AED怎么自检手腕摔伤后自检方法及诊疗释疑_https://www.jmylbn.com_新闻资讯_第8张

桡骨远端的骨折需要手术么?

AED怎么自检手腕摔伤后自检方法及诊疗释疑_https://www.jmylbn.com_新闻资讯_第11张

桡骨远端骨折的治疗方式是多种的。比较常见的是常规的切开复位桡骨远端接骨板内固定术,以及微创的闭式复位克氏针固定术。相较于常规方式,微创的治疗方式更容易被患者接受,它有着创伤小、治疗结束后几乎没有明显疤痕、可以进行早期康复锻炼、取出固定物时二次损伤轻微等优势。

AED怎么自检手腕摔伤后自检方法及诊疗释疑_https://www.jmylbn.com_新闻资讯_第19张

常规/微创手术前

AED怎么自检手腕摔伤后自检方法及诊疗释疑_https://www.jmylbn.com_新闻资讯_第20张

常规/微创手术后


供稿:骨三病区 李文赫

审核:骨三病区     




AED怎么自检手腕摔伤后自检方法及诊疗释疑_https://www.jmylbn.com_新闻资讯_第21张

   



   

AED怎么自检手腕摔伤后自检方法及诊疗释疑_https://www.jmylbn.com_新闻资讯_第22张