abp 统计怎么做变应性支气管肺曲霉病临床特点及基础疾病分析

新闻资讯2026-04-20 22:33:36

点击上方蓝字关注我们,了解更多资讯

*仅供医学专业人士阅读参考


引用本文:公丕平, 张茉沁, 陈希, 张平安, 马艳良. 变应性支气管肺曲霉病临床特点及基础疾病分析. 中国呼吸与危重监护杂志, 2021, 20(12): 846-852. doi: 10.7507/1671-6205.202109029



目的 探讨基础疾病对变应性支气管肺曲霉病(ABPA)临床特征的影响。方法 回顾性分析北京大学人民医院2010年1月至2019年9月确诊的ABPA住院患者的临床资料,比较基础疾病不同的患者临床特征有无差异。结果 共纳入40例患者,无明确支气管哮喘(简称哮喘)病史者共8例(20.0%),以慢性阻塞性肺疾病(简称慢阻肺)、支气管扩张为主,无明确哮喘病史者病程较短[78(6~300)个月比192(39~480)个月,P=0.02],外周血中性粒细胞百分比(79.9%±12.5%比68.1%±18.1%,P=0.01)及肺气肿范围评分[2(0~2)比0(0~1),P=0.02]高于合并哮喘的ABPA患者。结论 无明确哮喘病史的ABPA患者临床及影像特征与合并哮喘的ABPA患者无显著差异,慢阻肺、支气管扩张等肺部疾病患者出现喘憋加重,血嗜酸性粒细胞增多、黏液栓塞等特征时也应考虑ABPA的诊断。



变应性支气管肺曲霉病(ABPA)是烟曲霉引起的变应性肺部疾病[1-2],多见于烟曲霉过敏的支气管哮喘(简称哮喘)患者。既往认为合并哮喘是ABPA诊断的必要条件,随着对ABPA认识的不断深入,陆续报道慢性阻塞性肺疾病(简称慢阻肺)、支气管扩张(简称支扩)患者也可合并ABPA。Muthu等[3]首次提出“Allergic bronchopulmonary aspergillosis sans asthma”(无哮喘ABPA)的概念,定义为首次就诊时无喘息、哮鸣音症状体征,无过敏相关疾病的患者,无明确哮喘病史的ABPA患者支扩发生更为常见,急性加重发生率更低,更易被误诊。近年国内也有相关病例报道[4-8]。2017年中国《变应性支气管肺曲霉病诊治专家共识》[9]中将支扩、慢阻肺等作为ABPA的基础疾病,但尚缺少对此类患者临床特征的对比分析。本研究总结北京大学人民医院确诊ABPA患者的临床资料,初步探讨不同基础疾病对ABPA患者临床特征的影响。



1

资料与方法

1.1   临床资料

以“变态反应性支气管肺曲霉病”、“变应性支气管肺曲霉病”、“过敏性支气管肺曲霉病”、“ABPA”为检索词,在北京大学人民医院病案信息系统中检索2010年1月至2019年9月在呼吸内科住院的患者。该研究为回顾性临床资料分析,研究方案获得北京大学人民医院伦理委员会批准,不需签署知情同意书,不涉及任何利益冲突。


ABPA患者纳入标准:符合《变应性支气管肺曲霉病诊治专家共识》(2017年版)[9] 诊断标准,1例患者无哮喘及其他呼吸道疾病,符合简易标准[3]。


哮喘的诊断符合支气管哮喘防治指南(2016年版)诊断标准[10],符合以下标准者定义为“无明确哮喘病史的ABPA患者”:(1)就诊以前无典型哮喘症状;(2)无其他过敏性疾病[过敏性鼻炎,结膜炎和(或)特应性皮炎];(3)查体无哮鸣音;(4)支气管舒张试验和(或)激发试验阴性。


慢阻肺诊断符合慢阻肺诊治指南(2013年修订版)诊断标准[11];支扩诊断符合成人支扩诊治专家共识(2012版)诊断标准[12]。发病前有明确病史的慢阻肺或非中心性支扩分别定义基础慢阻肺或基础支扩。


1.2   方法

收集患者的病历资料,包括一般资料、临床表现、实验室检查、胸部高分辨率CT(HRCT)、肺功能、诊断经过、治疗方法、治疗效果等。CT评分采用BHALLA评分[13](表1)。


表1 BHALLA评分[13]

abp 统计怎么做变应性支气管肺曲霉病临床特点及基础疾病分析_https://www.jmylbn.com_新闻资讯_第1张

总评分是各小项分的合计,满分共计 25 分。


1.3   统计学方法

采用SPSS 26.0 统计软件。描述性统计结果符合正态分布的计量资料用范围、均数±标准差(abp 统计怎么做变应性支气管肺曲霉病临床特点及基础疾病分析_https://www.jmylbn.com_新闻资讯_第2张)表示,不符合正态分布的计量资料用中位数(四分位数)[M(Q1,Q3)]表示,计数资料用频数和百分比表示。正态分布的计量资料比较采用t检验;若计量资料不符合正态分布及方差齐性条件,则采用非参数秩和检验;计数资料比较用χ2检验。P<0.05表示有统计学意义。



结果

2.1   ABPA患者基本资料

共检索出52例住院患者,排除12例诊断依据不足的患者,共纳入40例患者,男21例,年龄14~89岁。吸烟患者12例,均为男性,患者临床资料见表2。


表2 患者主要临床特征[(abp 统计怎么做变应性支气管肺曲霉病临床特点及基础疾病分析_https://www.jmylbn.com_新闻资讯_第3张)/例(%)/M(Q1,Q3)]

abp 统计怎么做变应性支气管肺曲霉病临床特点及基础疾病分析_https://www.jmylbn.com_新闻资讯_第4张
abp 统计怎么做变应性支气管肺曲霉病临床特点及基础疾病分析_https://www.jmylbn.com_新闻资讯_第5张

FEV1:第 1 秒用力呼气容积;FEV1%pred:FEV1 占预计值百分比;FEV1/FVC:FEV1 与用力肺活量(FVC)的比值;BALF:支气管肺泡灌洗液;a 其中 6 例患者 TIgE>2 500 IU/mL;b 15 例患者行 BALF 检查,其中有明确哮喘 ABPA 患者 12 例,无明确哮喘的 ABPA 患者3 例;c 36 例患者行肺功能检查,其中有明确哮喘的 ABPA 患者 29 例,无明确哮喘的 ABPA 患者 7 例;P 值为有明确哮喘的 ABPA 和无明确哮喘的 ABPA 患者两组间的比较;–:无数据。


2.1.1   临床表现及合并基础疾病

主要症状为咳嗽及喘息,45.0%的患者肺部可闻及哮鸣音。合并哮喘者32例(80.0%),其中9例患者同时合并基础支扩,5例患者同时合并慢阻肺。无明确哮喘病史者8例(20.0%),其支气管舒张试验和(或)激发试验(FEV1/pred>80%者行激发试验)均为阴性,既往资料显示首次就诊时均无哮鸣音,此次入院有4例患者可闻及哮鸣音,5例患者合并慢阻肺,2例患者合并支扩,2例患者无明确肺部疾病。


2.1.2   实验室检查

外周血嗜酸性粒细胞百分比增高患者21例(52.5%),15例患者进行了支气管镜肺泡灌洗液(BALF)分类计数,嗜酸性粒细胞占比增高患者12例(80.0%),9例患者痰或支气管肺泡灌洗液培养真菌阳性,其中4例检出烟曲霉,5例检出念珠菌,1例患者培养出烟曲霉及白色念珠菌,1例检出青霉菌。


2.1.3   影像学检查

胸部CT示斑片状或磨玻璃影33例(82.5%),黏液栓28例(70.0%),中心性支扩14例(35.0%),肺门或纵隔淋巴结肿大15例(37.5%)。有明确哮喘的ABPA患者中27例(84.3%)CT示斑片状或磨玻璃影,23例(71.9%)可见黏液栓,无明确哮喘病史的ABPA患者中6例(75.0%)CT示斑片状或磨玻璃影,5例(62.5%)可见黏液栓。有明确哮喘的ABPA患者中CT表现为中心性支扩者有12例(37.5%),无明确哮喘病史患者有2例(25.0%)。


2.1.4   肺功能检查

36例患者进行了肺功能检查,主要表现为阻塞性通气功能障碍(33/36,91.7%)及弥散功能障碍(27/36,75.0%)。


2.1.5   治疗

36例(90.0%)患者给予糖皮质激素治疗,24例(60.0%)患者糖皮质激素联合抗真菌药物治疗,有明确哮喘的ABPA患者中30例(93.8%)给予糖皮质激素治疗,20例(62.5%)给予抗真菌治疗,糖皮质激素联合抗真菌药物治疗患者19例(59.4%),无明确哮喘病史ABPA患者中给予糖皮质激素和抗真菌药物治疗各6例(75.0%),糖皮质激素联合抗真菌药物治疗患者5例(62.5%)。


2.2   基础疾病对患者临床特征的影响

两组患者主要临床特征比较,差异无统计学意义,但无明确哮喘病史的ABPA患者病程短于有明确哮喘的ABPA患者[78(6~300)个月比192(39~480)个月,P=0.02],外周血中性粒细胞百分比(79.9%±12.5%比68.1%±18.1%,P=0.01)及肺气肿范围评分[2(0~2)比0(0~1),P=0.02]高于有明确哮喘的ABPA患者(表2)。


2.3   患者简要病史

患者1,男,82岁,吸烟30包年,反复咳嗽、咳灰白黏痰10余年,诊断“慢阻肺、Ⅱ型呼吸衰竭”8年,规律使用吸入型糖皮质激素(ICS)+长效β受体激动剂(LABA)+长效抗胆碱能药物(LAMA),无创呼吸机辅助通气,仍有反复急性加重。5年前曾查血清IgE 291.5 IU/mL,3年前复查血清IgE 1532 IU/mL,烟曲霉特异性IgE 0.7 kUA/L,烟曲霉特异性IgG(+),痰培养示青霉菌,胸部HRCT示双肺少许斑片影,双肺肺气肿,诊断为ABPA,予泼尼松及伏立康唑口服1个月后复查血清IgE 118.4 IU/mL。因出现视觉异常停用伏立康唑,泼尼松逐渐减量至2.5 mg。治疗期间患者仍有反复急性加重。


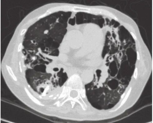
患者2,男,89岁,吸烟20包年,咳嗽、咳白色黏痰、活动后喘憋10年,诊断“慢阻肺”,规律使用ICS+LABA。7年前查出外周血嗜酸性粒细胞百分比升高(13.6%),5年前胸部HRCT示双肺散在磨玻璃影,2年前因发热入院,查外周血嗜酸性粒细胞百分比14.1%,血清IgE 7016 IU/mL,烟曲霉特异性IgE 14.8 kUA/L,烟曲霉特异性IgG(+),胸部HRCT示双肺多发斑片影,双肺肺气肿,双侧胸腔积液(图1),诊断ABPA,给予伊曲康唑200 mg、2次/d治疗,2个月后血清IgE降至2163 IU/mL,1年后复查胸部HRCT示双肺斑片影及胸腔积液吸收,患者持续用药,无急性加重。


abp 统计怎么做变应性支气管肺曲霉病临床特点及基础疾病分析_https://www.jmylbn.com_新闻资讯_第6张

图1 患者2的HRCT检查像

a. 2019年4月13日,显示双肺多发斑片影,双肺肺气肿,双侧胸腔积液;b. 2019年11月19日,治疗后肺部斑片影及双侧胸腔积液吸收。


患者3,男,82岁,吸烟30包年,咳嗽、咳痰、喘憋30余年,诊断“慢阻肺”,长期使用ICS+LABA+LAMA。14年前曾查血清IgE 2407 IU/mL,5年前外周血嗜酸性粒细胞百分比升高(10.6%)。19个月前症状加重,胸部HRCT示双肺新增多发斑片影(图2),诊断为ABPA,予泼尼松联合伊曲康唑治疗,半年后血清IgE 降至550.5 IU/mL,复查胸部HRCT示双肺斑片影吸收,仍有反复喘憋加重,1年前因“急性心肌梗塞”死亡。


abp 统计怎么做变应性支气管肺曲霉病临床特点及基础疾病分析_https://www.jmylbn.com_新闻资讯_第7张

图2 患者3的HRCT检查像

a. 2019年7月5日,示双肺新发斑片影,其内可见支扩;b. 2019年7月30日,示双肺斑片影吸收,气道壁增厚。


患者4,男,83岁,吸烟35包年,陈旧性肺结核史65年余,咳嗽、咳白黏痰、喘憋4年,诊断“慢阻肺,支扩”,规律使用ICS+LABA+LAMA,仍反复发作。30个月前因使用未清洗空调后咳嗽、喘憋加重入院,血清IgE 1062 IU/mL,烟曲霉特异性IgE 1.07 kUA/L,烟曲霉特异性IgG(+),胸部HRCT示右下肺斑片影,部分支气管腔内新发黏液栓,双侧胸腔积液,诊断ABPA,给予泼尼松联合伊曲康唑治疗,未规律用药,仍有反复急性加重,1年前复查血清IgE 2133 IU/mL,烟曲霉特异性IgE 1.74 kUA/L。


患者5,男,58岁,无吸烟史,婴儿时期曾患“麻疹性肺炎”,30余年前出现阵发性咳嗽、咳痰,诊断为“支扩”,5年前诊断“Ⅱ型呼吸衰竭”,使用ICS+LABA+LAMA及无创呼吸机辅助通气,仍有频繁急性加重。11年前查血清IgE 2456 IU/mL,10年前痰培养多次见烟曲霉。4年前再次因急性加重入院,血清IgE 568.6 IU/mL,烟曲霉特异性IgE 16 kUA/L,烟曲霉特异性IgG(+),胸部HRCT示双肺多发囊性支扩,管壁增厚,肺气肿,肺大疱(图3),诊断为ABPA,给予泼尼松联合伊曲康唑治疗,症状好转,急性加重次数减少,现维持泼尼松10 mg、1次/d,1个月前复查血清IgE 45.49 IU/mL。


abp 统计怎么做变应性支气管肺曲霉病临床特点及基础疾病分析_https://www.jmylbn.com_新闻资讯_第8张

图3 患者5的HRCT检查像

2019年7月5日,双肺多发支扩,其内可见黏液栓,双肺多发肺气肿、肺大疱,双侧胸膜增厚伴钙化。


患者6,男,29岁,无吸烟史,11年前反复气胸行肺大疱切除术,术后左上肺可见支扩,7年前出现咳嗽,外周血嗜酸性粒细胞百分比增高,4年前咳嗽加重,咳黄色痰栓,血清IgE 3610 IU/mL,烟曲霉特异性IgE 6.74 kUA/L,外周血嗜酸性粒细胞百分比22.1%,胸部HRCT示左上肺大疱并实变,左舌叶及左下叶可见黏液栓(图4),诊断ABPA,予泼尼松联合伊曲康唑治疗。治疗3个月后IgE降至221 IU/mL,影像表现较前期好转,遂自行停药。后症状反复,再次加用伊曲康唑(200 mg,2次/d)联合泼尼松(30 mg,1次/d)治疗,伊曲康唑口服8个月,泼尼松逐渐减量,2年前(泼尼松治疗12个月后)减至10 mg、1次/d时发现双侧股骨头缺血性坏死,泼尼松逐渐减停。1年前复查外周血嗜酸性粒细胞百分比1.5%,血清IgE 109.6 IU/mL,烟曲霉特异性IgE 0.66 kUA/L。


abp 统计怎么做变应性支气管肺曲霉病临床特点及基础疾病分析_https://www.jmylbn.com_新闻资讯_第9张

图4 患者6的HRCT检查像

2018年4月5日,左上肺可见斑片影。


患者7,女,44岁,无吸烟史,11年前诊断为肾病综合征,IgA肾病(局灶增生性),定期静脉输入环磷酰胺联合糖皮质激素治疗。10年前服用 “血尿胺胶囊、虫草黄芪胶囊、复肾康胶囊、肾炎康胶囊”(粉末倒出后口服)后出现发作性咳嗽、喘憋伴间断发热,8年前因发热、喘憋入院,血清IgE>2500 IU/mL,烟曲霉特异性IgE 0.38 kUA/L,烟曲霉特异性IgG(+),外周血嗜酸性粒细胞0.53×109/L,胸部CT示双肺多发磨玻璃影,诊断为ABPA,予泼尼松联合伊曲康唑治疗。现病情稳定,泼尼松维持在10~15 mg,血清IgE>2500 IU/mL。


患者8,女,21岁,无吸烟史,8年前因咳嗽、咳痰、喘憋2个月入院,血清IgE 1289 IU/mL,烟曲霉特异性抗体IgE 25.9 kUA/L,外周血嗜酸性粒细胞百分比10.8%,胸部HRCT示左肺上叶不张,诊断ABPA,予口服伊曲康唑联合泼尼松治疗后症状缓解,遂自行停药。2年前再次发作,查血清IgE 1011 IU/mL,烟曲霉特异性抗体IgE 7.47 kUA/L,外周血嗜酸性粒细胞百分比8.7%,胸部HRCT示左肺上叶、右肺下叶多发支扩,支气管分泌物培养可见黄曲霉菌,患者拒绝使用糖皮质激素,加用伏立康唑口服,1年前复查血清IgE 793.6 IU/mL。



3

讨论

ABPA的发病与宿主对曲霉抗原的异常免疫反应、气道上皮屏障功能受损及Th2细胞介导的免疫反应有关[14],ABPA的诊断主要依据临床表现、血清学检查及胸部影像学表现等,在疾病早期容易误诊为哮喘、支扩、肺结核、慢性阻塞性肺疾病等[8, 15-16]。2011年我院门诊哮喘患者中ABPA检出率为2.5%[17],Denning等[18]荟萃分析全球成人哮喘患者中合并ABPA的比例为2.5%(0.72%~3.5%),由此可见在哮喘患者中ABPA并非少见病。


ABPA也可发生于非哮喘患者,Muthu等[3]发现7%(37/530)的ABPA患者无明确哮喘病史,国内2020年1月前报道的87 例ABPA患者中,无明确哮喘病史者占16.1%(14例)[4-8]。慢阻肺患者中ABPA的患病率为1%~2.9%[19-22],成年非囊性纤维化支扩患者中ABPA的患病率为4%[23]。其他肺部疾病患者,例如活动性肺结核[24]、结节病[25]等也可合并ABPA。本研究也发现20%的ABPA患者无明确哮喘病史。随着越来越多相关报道[26-27],近年来ABPA的诊断标准也不断更新[28],1977年最早的Rosenberg标准及其后的Greenberger-Patterson标准中均将哮喘作为ABPA诊断的必备条件,2013年国际人类及动物真菌学会(ISHAM)标准中将囊性纤维化纳入ABPA的基础疾病。近期一项研究表明,符合病理诊断的ABPA患者中仅有58%的患者合并哮喘,只有25.3%符合Rosenberg标准,77.2%符合ISAHM标准[29]。2017我国ABPA诊断标准[9]中增加了支扩、慢阻肺等疾病,进一步提高了ABPA诊断的敏感性。本研究中2例患者无呼吸系统基础疾病,因此ABPA诊断标准中基础疾病的范围仍有待进一步确定。临床实践中无明确哮喘病史的ABPA患者易被延误诊断,本研究5例合并慢阻肺患者均有反复急性加重,胸部CT可见反复出现的斑片影,部分可见黏液栓塞,但因与原发病的症状及影像学表现不易区分未考虑到ABPA的诊断,自出现外周血嗜酸性粒细胞或血清总IgE升高后2~12年才明确诊断。因此对于原发病控制不佳的慢阻肺、支扩等患者应定期监测血常规、IgE,及时诊断ABPA。


本研究中无明确哮喘病史的ABPA患者病程明显短于合并哮喘的患者,虽然肺气肿范围评分显著高于合并哮喘的患者,但影像学支扩严重程度、范围、支扩分级及CT总评分均与合并的哮喘ABPA患者无显著差异。Asano等[29]研究中无明确哮喘病史的ABPA患者年龄较大,出现中心性支扩患者较少,黏液栓更为多见,提示此类患者肺部损害有别于合并哮喘患者。而Muthu等[3]研究中无明确哮喘病史的ABPA患者支扩更为多见,但较少出现急性加重。但这两个研究中均未详细报道无明确哮喘病史的ABPA患者基础疾病的信息,Muthu等[3]研究中患者平均年龄为34.9岁,且均无吸烟史,与本研究中患者的特征存在显著差异。因此不同研究结果的差异可能与无明确哮喘病史的ABPA患者基础疾病的异质性有关。无明确哮喘病史的ABPA患者与经典的合并哮喘的ABPA患者发病机制是否存在区别尚不确定。本研究5例老年患者有慢性阻塞性肺疾病及慢性支扩病史,长期反复住院,频繁使用抗菌药物及激素治疗,真菌感染机会增加,在诊断慢阻肺、支扩多年后才出现血清总IgE或外周血嗜酸性粒细胞升高;1例肾病综合征患者长期使用大量糖皮质激素治疗和免疫抑制剂治疗。提示这些患者对曲霉菌异常的免疫反应多晚于其原发疾病或继发于霉菌定植后,ABPA可能是此类患者气道清除功能下降或免疫功能缺陷导致曲霉菌在气道内定植后的继发改变。尚需进一步扩大样本量探讨其发病机制有无不同。


本研究中无明确哮喘病史的ABPA患者使用糖皮质激素的比例低于合并哮喘的患者,4例慢阻肺患者诊断时年龄均在80岁以上,加用糖皮质激素及抗真菌药物治疗后2例患者症状无显著改善,1例未规律用药,1例单独应用伊曲康唑者病情稳定。近期研究表明单用三唑类药物疗效与口服糖皮质激素相当[30-31]。气道内曲霉菌定植是慢性肺部疾病患者诱发烟曲霉特异性过敏反应,从而导致ABPA的前提条件,对此类患者尤其是高龄不耐受糖皮质激素的患者是否可以单独应用三唑类药物有待于进一步验证。


综上所述,临床上应高度重视无典型哮喘的患者也可发生ABPA。对慢性气道疾病患者或长期应用糖皮质激素、免疫抑制等免疫力低下和(或)过敏体质的患者,如果出现反复咳嗽、咳痰、喘憋的症状或放射学异常和外周血嗜酸性粒细胞增多症患者,应重视合并ABPA的可能性,不应拘泥于有无哮喘作为诊断ABPA的前提,以避免延误诊断。无明确哮喘病史的ABPA患者临床特征有别于有明确哮喘的患者,进一步增进对患者临床特征的认识有助于优化ABPA治疗方案。


利益冲突:本研究不涉及任何利益冲突。


参考文献略。



abp 统计怎么做变应性支气管肺曲霉病临床特点及基础疾病分析_https://www.jmylbn.com_新闻资讯_第10张

长按或扫描二维码关注我们!