随着人民生活水平的提高,我国胆石症的发病率逐渐增加,主要包括胆囊结石和胆管结石。胆石按成分分为三类:1.胆固醇结石:以胆固醇成为为主,呈白黄、灰黄或黄色,质硬,表面多光滑,80%的胆囊结石属于此类。2.胆色素类结石:胆固醇含量低于40%,主要发生于肝外胆管,结石形态不一,呈粒状,长条状或铸管形。3.其他结石:包括碳酸钙、磷酸钙或棕榈酸钙等结石。
肝外胆管结石分为原发性和继发性结石,原发性结石的诱因有:胆道感染、胆道梗阻、胆道寄生虫等;继发性结石主要是胆囊或肝内胆管的结石排入胆管所致。胆管结石会导致:1. 急慢性胆管炎:胆管壁充血水肿、梗阻、黄疸,反复发作会造成胆管炎性狭窄;2. 全身感染:胆管梗阻引压力升高起毒血症甚至脓毒症;3. 肝损害:引起肝细胞损伤、坏死甚至肝脓肿;4. 胆源性胰腺炎:结石嵌顿在胆总管出口处堵塞胰腺开口所致。

胆管结石发作的主要症状是腹痛、发热和黄疸。腹痛一般在右上腹或中上腹,绞痛,剧烈,常伴恶心和呕吐;继发感染可导致发热,高达39到40度;胆道梗阻可出现眼睛、皮肤黄染、尿黄,完全梗阻甚至可出现陶土样大便和皮肤瘙痒。
经典病例:患者李阿姨,56岁,反复右上腹痛、发热1年余,CT 提示胆总管内多发结石。在当地医院药物保守治疗,症状仍反复发作,来就诊前一个月发作了3次,苦不堪言,于是来我院消化内科就诊。郑丰平主任和林显艺主任一起接诊了李阿姨,问阿姨:为什么您不做手术把石头取出来彻底解决问题,而让病痛反复折磨呢?李阿姨这才将心中的顾虑和盘托出,原来阿姨主要担心外科手术创伤大,恢复慢,一直不敢手术治疗。
内镜逆行胰胆管造影术(ERCP)是消化内科近20年开展的微创治疗技术,为此类患者带来了福音。在内镜下通过乳头括约肌切开、取石已是十分成熟的治疗技术,创伤小,恢复迅速。通过应用取石网篮、取石球囊和机械碎石器等内镜器械,临床80%以上的肝外胆管结石均可通过ERCP予以清除。
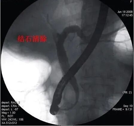
内镜ERCP 取石的过程是:
1.患者在介入手术室取左侧俯卧位,麻醉医师给予全身麻醉后,内镜医师通过十二指肠镜由口腔插至十二指肠乳头(胆总管开口),经乳头插入切开刀,注入造影剂,胆管显影,胆管内可见多发结石影。
2.对乳头进行小切开,扩张,利用取石网篮或取石球囊将结石逐个取出,冲洗胆道后再次造影,胆管内结石已清理干净,再根据病人情况决定是否需要留置鼻胆管或内支架引流。

术中取石网篮拖出的结石和胆泥
术后常规禁食禁水一天,抗生素抗感染,术后4小时和第二天会验血,观察有无术后感染,胰腺炎,出血等并发症,如无并发症,患者可在术后48-72小时出院。

内镜ERCP取石疗效显著,微创,手术时间短,并发症少,住院时间短,是广大胆管结石患者的福音。
中山大学附属三院消化内科副主任,兼任中山大学附属第三医院岭南医院消化内科主任;广东省消化内镜工程技术研究中心副主任;广东省医学会消化内镜分会副主委;广东省医学会消化病分会“胃食管静脉曲张学组”组长。
擅长:胃肠道及胆胰疾病的内镜诊治,在消化内科疑难病和危重症的诊治方面有着丰富的经验,尤其是肝硬化食管胃底静脉曲张、胆道结石或狭窄的内镜治疗方面有较深的造诣。
中山大学优秀临床带教老师,广东省医师协会消化内镜学医师分会委员,广东省医师协会消化内镜学医师分会青年医师专业组委员,广东省肝脏病协会脂肪肝专业委员会委员。
擅长:肝硬化食管胃静脉曲张破裂出血的内科和内镜治疗;胆总管结石、急性胰腺炎、肝移植术后胆道并发症的ERCP治疗;酒精性肝病、非酒精性脂肪肝的内科治疗。消化道肿瘤和癌前病变的早期诊断和治疗。消化性溃疡、胃食管反流病的内科治疗。
中山大学附属第三医院∣消化内科
