双极电凝镊为什么不粘Frontiers in Surgery:骨蜡涂层可有效提高双极电凝的止血性能!
止血是外科的三大基石之一,它对于手术的顺利进行具有举足轻重的意义。一般可将止血方法分机械、化学和热止血法三类。神经外科手术中最常用的双极电凝属于热止血法,具有使用方便,止血确切等优点。然而,在临床使用过程中,我们发现双极电凝对于结构缺陷血管(动静脉畸形),血流量高的组织(胶质母细胞瘤),以及功能区、生命中枢的止血往往较困难(止血有效性),此外,组织粘连性、热损伤性仍是双极电凝使用过程中不可忽视的缺点。
为解决上述问题,武汉大学中南医院神经外科陈劲草教授团队在手术中发现双极电凝镊尖端涂抹少量骨蜡可显著提高其止血效能。为了更客观地比较这种电凝方法与传统双极电凝的优劣,陈劲草教授团队通过一系列实验评估了骨蜡涂层双极电凝镊的特性及使用的安全性,该研究成果现已发表于Frontiers in Surgery杂志。

为便于骨蜡涂层双极电凝的应用,研究团队设计了如下的骨蜡取用装置,利用此装置可在电凝镊尖端覆盖一薄层骨蜡。
图1. 骨蜡取用装置:60℃恒温加热器(熔化骨蜡)、钢杯(装载骨蜡)、弹力网(去除多余骨蜡)
此外,通过分析骨蜡涂层双极电凝镊的接触角和电凝粘附蛋白量,该团队发现骨蜡涂层可显著增加电凝镊尖端的表面湿润张力,减少电凝粘附蛋白的量,从而降低电凝的粘附性。接着,通过红外热成像分析及H&E免疫组化研究,结果表明骨蜡涂层双极电凝镊在同等条件下产生的热损伤范围显著小于传统双极电凝。
图2. (A, B) 红外热成像技术分析两种电凝方法电凝时产生的温度;(C, D) 两种电凝方法电凝大鼠脑组织时产生的损伤
鉴于骨蜡涂层双极电凝产生的温度较无传统双极电凝低,因此研究人员进一步探究骨蜡涂层双极电凝的电凝效果。通过对破损的颈总动脉进行止血发现:在相同条件下,骨蜡涂层双极电凝镊达到完全止血次数是显著低于无骨蜡涂层电凝,且对血管的损伤范围更小,该结果表明骨蜡涂层双极电凝的止血有效性优于传统双极电凝。
图3. (A) 完整的大鼠颈总动脉;(B) 破损的颈总动脉;(C) 传统电凝至完全止血的颈总动脉;(D) 骨蜡电凝至完全止血的颈总动脉;(E) 对两种电凝方法在同等条件下电凝破损颈总动脉至完全止血的电凝次数
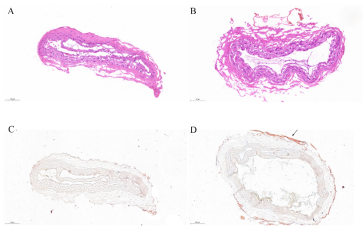
进一步,为了探究骨蜡电凝止血的具体机制,研究者通过电凝血管的冰冻切片研究发现:相较于传统电凝的热效应止血,骨蜡电凝在血管周围还覆盖有一层骨蜡,通过热效应和机械覆盖双重止血机制进行止血,达到更好止血效果的同时,对血管结构造成的破坏也更小。
图4. (A, C) 传统双极电凝的H&E及油红O染色;(B, D) 骨蜡涂层双极电凝的H&E及油红O染色;
研究的最后,由于骨蜡是一种不可吸收、不可代谢的异物,临床使用可能会引起异物反应、炎症、感染等不良反应,因此,不同方法电凝大鼠的运动皮层后,通过比较术后第7天两种电凝方式引起的运动功能障碍及炎症来探究骨蜡电凝的安全性。研究结果表明:相比于传统电凝,骨蜡涂层双极电凝未引起大鼠体重的明显改变,未造成明显的运动功能障碍,甚至减少了传统电凝引起的星形胶质细胞及小胶质细胞反应性。
图5. (A)电凝术后7天内大鼠体重的变化;(B)电凝大鼠运动皮层术中照片;(C)术后第七天大鼠旷场实验的运动轨迹图;(D-F) 术后第七天大鼠旷场实验、梯子实验和拉力实验的结果分析
该研究为临床手术提供了一种更有效、安全的双极电凝止血方法——骨蜡涂层双极电凝,对控制传统双极电凝较难止血的出血具有十分重要的意义。目前骨蜡涂层双极电凝临床的广泛应用,仍需进行更长时间的动物安全性研究及大规模的临床实验来评估骨蜡涂层双极电凝的安全性。
图6. 骨蜡涂层双极电凝示意图说明止血机制(热和机械双重止血)
武汉大学中南医院神经外科施继春博士和魏嵬副教授为该论文的共同第一作者,陈劲草教授和李翔教授为该论文的共同通讯作者。