
近日,73岁古先生来到惠州市第三人民医院骨科医学中心门诊就诊,自诉约48年前不慎摔伤,当时感左大腿远端疼痛,不能站立及行走,膝关节功能活动受限。古先生在当地某医院手术治疗后出现左膝关节内翻畸形,左下肢较右下肢明显短缩,跛行,负重行走时左膝部疼痛。近5年行走时左膝关节疼痛加重,步行距离约500米,且大腿畸形及跛行,严重影响患者形象及生活。患者保守治疗仍无法缓解病痛,经多家医院就诊咨询及深思考虑后,专程来我院骨科医学中心门诊咨询骨科专家武明鑫教授。
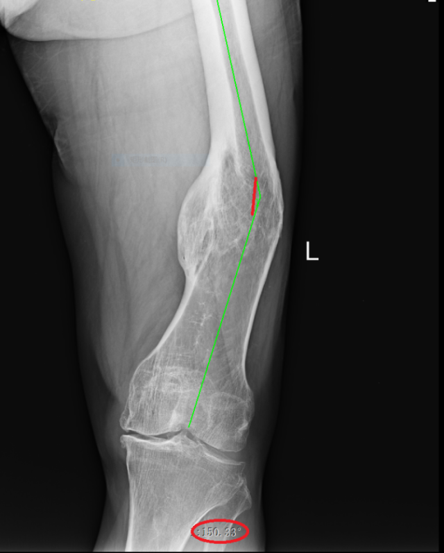
武明鑫教授为其仔细体格检查,发现患者左大腿中下段外侧可见一处12cm陈旧性切口疤痕,膝关节内翻畸形,大腿中下段向外成角,膝关节内外侧局部压痛,内侧尤为明显,未触及骨擦感及反常活动,肌力Ⅳ级,肌张力降低,左下肢较右下肢缩短约5.0厘米。拍X射线片检查示:1.左股骨中下段骨质膨隆并股骨弯曲,考虑是左股骨中下段骨折畸形愈合。2.左侧膝关节退行性变。

患者左小腿短缩约5厘米

患者呈跛行步态

术前X线片(内翻成角30°)

术前X线片(向后成角17°)
根据病史、查体及辅助检查,患者被诊断为“左侧股骨干骨折术后畸形愈合伴左侧膝关节继发性骨关节炎”。该病情已经严重影响患者的生活质量,武明鑫教授建议他住院行手术治疗,以缓解疼痛、矫正畸形,为日后行膝关节置换术奠定基础,提高生活质量。
患者入院后,主管医生完善相关检查,经术前讨论后武明鑫教授决定应用3D打印技术解决此类复杂疑难病例。
应用3D打印技术辅助下手术与传统手术有什么区别呢?
通过X线片、MRI得到的图像再具体也只是2D,当面对一些较为复杂的手术时,由于个体差异,可能导致手术过程没有预想那么准确。传统徒手截骨无法实现精准多平面矫正畸形,且创面大,手术时间长,可能增加手术并发症的发生。如果不慎损伤血管神经等重要组织,可能导致患者肢体功能受损,甚至危及生命。而应用3D打印技术的术前预演可以解决这一顾虑。
应用3D打印软件能够根据患者扫描出来的CT数据,重建出患者的骨骼模型,提前制作好一个患者1:1假体模型,医疗团队能够更为直观、严谨地进行术前讨论,同时可以在这个模型上预演手术,不仅能够更直观、精细地制定手术方案,还能通过不断练习发现问题并寻找出解决问题的方法,降低手术风险,保障手术质量。
根据患者的CT数据,重建的骨骼模型用于术前模拟,在软件端事先规划好截骨的位置以矫正肢体成角畸形、旋转与短缩,设计出截骨导板,经消毒灭菌后在手术中贴附相应骨骼部位,即可直接进行截骨。摆锯可以直接在截骨槽内截骨,并留出少量骨皮质,使得股骨在冠状位可以移动角度,然后用3D打印撑开器将截骨两端撑开。由于撑开器的两个平面是术前规划好的截骨角度面,术中可以根据截骨导板所提供的截骨角度进行完美贴合。撑开器撑开后股骨干达到对侧下肢对位对线,双下肢恢复到基本等长后,再进行接下来的股骨钢板螺钉内固定术。
经过了反复的术前模拟,医生团队对这台手术的技术难点有了充分的了解。在完善各项术前准备后,创伤骨科联合麻醉科、手术护理团队等医护团队为患者进行了这台手术。手术由武明鑫教授主刀,创伤骨科陈敏主治医师、创伤骨科黄昌辉主治医师担任助手。
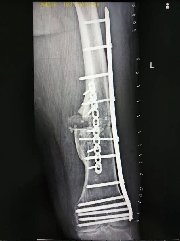
术中,医疗团队按照预定手术思路,首先沿左大腿中下段外侧纵形作皮肤切口,安装股骨前方截骨导板,用摆锯沿截骨导板截断股骨畸形最大处,预留股骨干外侧部分皮质。然后用撑开器沿截骨端将其撑开并放置内侧楔形导板,在C臂机透视下见经截骨矫形后现股骨干向内、向后成角畸形基本恢复,力线基本纠正。最后进行左侧股骨钢板内固定术+左侧髂骨切除术用作移植物+左侧股骨植骨术+左侧股骨人工骨植骨术。整个手术过程非常顺利。
经过术后康复治疗,患者已逐步柱拐负重行走,顺利出院。待截骨端愈合后实现患者正常步态、自信满满“潇洒走一回”愿望。

术中截骨后影像

术后复查X线片影像(正位)
武明鑫教授介绍,3D打印技术在医疗临床的应用主要体现在个体化治疗上,3D打印技术以精确的三维物理模型,将复杂的骨质评估及分型变得简单容易,术前诊断更加明确,对患者的治疗也更加有的放矢。“通过此次手术,开创了惠州市第一例应用3D打印技术截骨导板多平面截骨矫治股骨干骨折畸形愈合手术,切实解决患者之所需,满足患者对美好生活向往。对于骨科手术来说,借助3D打印技术可以提高手术的精准度,缩短手术时间,从而减少出血和创伤。”武明鑫教授说。
近年来,惠州市第三人民医院骨科医学中心坚持“引进来、走出去”人才技术建设理念,与上海九院合作建立上海交通大学医学3D打印创新研究中心惠州市第三人民医院分中心,不定期进行学术交流与技术指导,应用3D打印技术不断为惠州及周围地区人民群众提供优质的诊疗服务,持续探索骨科领域高、精、尖技术,勇于担当,不辱使命,向国内外最新、一流诊疗技术水平看齐,为广大群众提供高标准、高水平、高质量的诊疗服务,为实现中国健康梦不懈努力!
咨询方式:
惠州市第三人民医院东院区骨科医学中心
(惠州市惠城区惠州大道东平段176号)
黄昌辉医生:13928303550
惠州三院骨科医学中心简介
骨科医学中心是惠州市级临床重点专科,位于惠州市第三人民医院东院区,是惠州市第三人民医院重点打造的针对骨科疾患阶梯式、一体化诊疗中心。中心设有脊柱外科、关节外科、创伤骨科、手足外科、骨内科、疼痛科、骨科无创治疗中心、急诊骨科等8个亚专科11个专业组。

目前开放床位200余张,提供门诊、急诊、住院、康复服务。中心由知名骨科教授武明鑫教授创建于2016年1月,现拥有50余名技术骨干,其中:20余名副高及以上专业技术人员;教授2名,在读教授3名,硕士研究生30余名。
骨科医学中心配置了MRI、CT、DR、移动DR、HANA全碳纤骨科手术床、电动骨科导航影像手术床、Jackson 脊柱手术床及骨科手术机器人等大型设备,拥有脊柱专业显微镜、高清关节镜、小关节镜、美敦力微创通道、超声骨刀、针刀镜、椎间孔镜、红外热成像仪、3D打印设备、双能X线骨密度仪、低温等离子治疗仪、射频热凝器、臭氧治疗仪、肌骨超声诊断仪、冲击波治疗仪、悬吊治疗床、手足外显微系统等一批国内先进仪器设备,为骨科患者的诊断、治疗和康复提供坚实的后盾。
骨科医学中心精心打造自身品牌,以独特的竞争实力,始终贯彻“以 病人为中心、以质量为核心,全心全意为病人服务”的理念。严格执行 “一体化、阶梯化、差异化”的治疗方案,形成了专业齐全、技术力量雄厚、特色突出的专业医疗团队,以最小的损伤、最少的花费为患者实现最大的疗效。通过专家亲诊、专科分治、分步差异化诊疗让患者得到一站式的医疗服务,力求成为骨科领域的领跑者,造福惠州乃至粤东骨病患友。
专家简介

武明鑫,主任医师,教授,骨科学博士研究生。现任惠州市第三人民医院骨科医学中心主任兼脊柱外科、关节外科、骨科无创治疗中心主任,惠州市惠城区医学会会长,惠城区科协兼职副主席。“惠州市名医”、“惠州好人”、“惠州市最美志愿者”、“第二届白裘恩式好医生提名奖”、“惠城区拔尖人才”,中山大学中山医学院、广州医科大学、武汉科技大学硕士研究生导师。
现任广东省医师协会骨关节外科医师分会委员会副主任委员,广东省医疗行业协会脊柱外科管理分会副主任委员,中国医师协会脊柱疼痛微创工作组委员,中国研究型医院学会骨科创新与转化专业委员会委员,国际矫形与创伤外科学会(SICOT)中国部数字骨科学会广东省工作委员会委员,白求恩公益基金会创伤骨科专业委员会委员,广东省医学会粤港澳大湾区创伤学联盟成员,广东医科大学学报特邀编委等职。
主要研究方向为骨关节炎相关机制的分子生物学研究及脊柱微创手术技术的生物力学及临床研究。擅长诊治复杂的颈肩痛、腰腿痛,脊柱创伤和关节疾病,在颈椎病、腰椎间盘突出症、腰椎滑脱、脊柱结核、脊柱骨折、四肢骨折、股骨头坏死、膝骨关节炎的诊断和手术治疗方面积累了丰富的经验。在惠州地区率先开展机器人辅助下手术,脊柱疾病的微创治疗等多项技术,合理制定诊断、治疗路径,严格把握各类骨科疾患的手术适应症,尤其在机器人辅助下微创手术治疗、四肢骨折及脊柱方面的微创手术治疗和3D打印技术的骨科应用方面填补了惠州地区多项专业空白。
于2016年创建惠州市第三人民医院骨科医学中心,开设脊柱外科、关节外科、创伤骨科、手足外科、骨内科、疼痛科、骨科无创治疗中心、急诊骨科等8个亚专业科室,在广东省率先施行骨科疾病“一体化、阶梯化、差异化”的诊疗构想,多学科协作诊疗,多学科无缝连接,趋于完整的骨科生态系统链取得了良好效果。近三年主持及参加市级科研课题6项,发表学术科研论文20余篇,其中2篇被SCI论文收录。