“铃铃… …”
一名重症子痫前期产妇剖腹产后大出血,请介入科急会诊!
“时间就是生命!”吴鉴洲主任火速到达产科了解病情:这是一名重症子痫前期产妇,产前血压仍偏高为165/105mmHg,虽然年不过三十但是已经有多次孕产史,生产风险非常大!产妇产后不到2小时出血量已经接近2000ml,持续输血下血压虽然能稳定在120/75mmHg左右,但仍存在持续出血,病情非常危急,失血性休克风险非常大。
本着“生命至上”的原则,吴主任立即启动介入导管室为产妇施行“造影术”检查,造影发现产妇子宫动脉远端均有活动性出血,尤以左侧子宫动脉出血明显,血液不断外渗,病情紧急,止血治疗迫在眉睫!要知道产后大出血是非常凶险的疾病,不能有效止血可能需要切除子宫保命的!但患者才不到三十岁呀,正值青春年华,切除子宫对患者以后可是有非常大的影响。此时,能及时止血救命,又能保住子宫的微创介入止血法的优势就出来了!在患者及其家属的期盼和高度信任下,吴主任顺利为患者施行微创介入止血手术,术后患者子宫动脉出血停止,阴道出血减少,术后无需继续输血血压、血红蛋白均能维持稳定。术后经常规产后康复护理治疗后,患者病情稳定,没有异常阴道出血,现已康复出院。
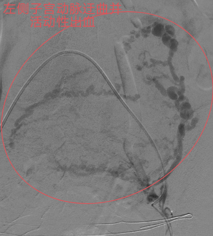
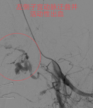
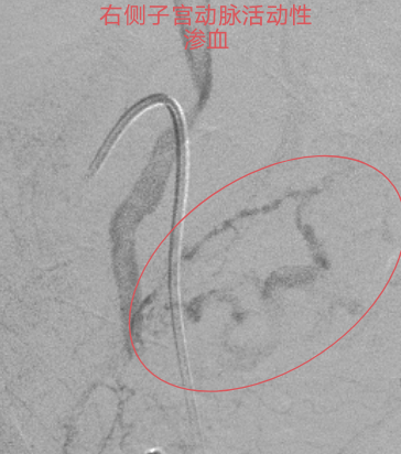
血管造影见
双侧子宫动脉出血



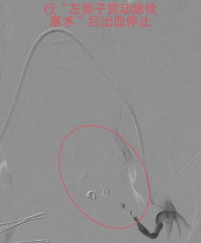
行微创介入止血手术后出血停止


精医重德、服务社群是广东医附三院龙江医院的服务理念。为确保龙江及周边区域群众能够在介入治疗的“黄金时段”内就近就快获得高水平的介入治疗,医院经过精心筹备,从省内大型三甲医院引进以介入诊疗专家吴鉴洲副主任医师为学科带头人的专业介入医疗团队,配置大型医疗设备等,组建综合介入科。
综合介入科建科一年半共计完成各类介入手术600余台,其中涉及急性脑梗死、蛛网膜下腔出血、主动脉夹层、产后大出血、消化道大出血等危急重症的介入治疗,完成高难度神经介入手术颅内外血管支架植入术70余台,脑血管取栓术60余台,脑动脉瘤栓塞术20余台。急群众患病之所急,为广大群众生命健康保驾护航!
综合介入科简介
01科室概况
综合介入科是基于医院发展需求组建的科室,是以微创诊疗为主的新兴学科,目前分为神经介入、肿瘤介入、外周血管介入、生殖介入四个亚专业组,设门诊及住院部。
02设备技术
拥有先进的飞利浦DSA机及功能齐全的导管手术室。
03团队建设
从省内大型三甲医院引进吴鉴洲副主任医师团队,其中高级职称医师1人,中级职称医师4人。
04诊治范围
◆ 神经介入诊疗:包括缺血性脑血管病及出血性脑血管病诊疗,如:急性脑梗死、慢性脑动脉供血不足(脑动脉、颈动脉、椎动脉狭窄/闭塞)、脑动脉瘤、脑动静脉畸形、脑静脉窦血栓形成、蛛网膜下腔出血等疾病的诊治。
◆ 肿瘤介入诊疗:肝癌、肺癌、食管癌、胆管细胞癌、胰头癌、宫颈癌、肾肿瘤等疾病的诊治。
◆ 外周血管介入诊疗:主动脉夹层/动脉瘤、下肢动脉狭窄/闭塞、下肢深静脉血栓形成、下肢浅表静脉曲张、肺动脉栓塞、肾动脉狭窄、肠系膜动脉狭窄、鼻咽出血、咯血、消化道出血、肝出血、肾出血、肝血管瘤、肝硬化、脾功能亢进等疾病的诊疗。
◆ 生殖介入诊疗:产后大出血、子宫肌瘤、输卵管阻塞、精索静脉曲张、前列腺增生等疾病的诊疗。
◆ 其他:肝囊肿、肝脓肿、肾囊肿、椎体压缩性骨折的诊疗。
05医疗特色
1.急性脑梗死的脑血管再通术、蛛网膜下腔出血的脑动脉瘤栓塞术。
2.原发性肝癌的TACE术和射频消融术。
3.主动脉夹层/动脉瘤的覆膜支架植入血管腔内修补术、下肢动脉闭塞的开通术、下肢深静脉血栓形成的下腔静脉滤器植入术+下肢深静脉再通术,肝硬化的TIPS手术。
4.产后大出血和子宫肌瘤的子宫动脉栓塞术、前列腺增生的前列腺动脉栓塞术。
专家简介

吴 鉴 洲
副主任医师
综合介入科主任
2010年从医至今,在三甲医院从事介入诊疗工作10年,曾到中国卒中学会国际卒中介入培训学院、北京天坛医院、上海长海医院、广州南方医院等地方研修学习。完成各类介入手术约7000例,2020年神经介入个人月手术量多次进入全国前10名。
参与国内多个神经介入专业大型临床多中心试验研究项目。发表多篇介入专业论文。2018年度全国缺血性脑卒中急救关键技术推广“最具行动力奖”获得者。2021年荣获广东省医疗行业协会神经外科管理分会第三届神经外科病例竞赛总分第三名。2022年荣获中国首届神经介入医师手术大赛(2022年)《人气医师》荣誉称号。
学术任职:
广东省医疗行业协会神经外科管理分会常务委员、广东省基层医药学会微创介入分会委员、广东省精准医学应用学会周围血管疾病分会委员、广东省中西医结合学会肿瘤介入治疗专业委员会第二届委员会委员。

黄 海 清
主治医师
2014年从医至今。曾在大型三甲综合医院从事临床工作多年。
擅长:
脑血管疾病的诊治,如急性脑梗死、脑动脉狭窄、脑动静脉畸形、蛛网膜下腔出血等疾病。

黄 天 带
主治医师
2014年从医至今,曾在大型三甲综合医院从事临床内科工作多年,熟悉内科各系统常见病、多发病的诊治以及危重症的抢救。
擅长:
缺血性脑血管疾病、出血性脑血管疾病、消化道出血、肝硬化、脾功能亢进、肝恶性肿瘤、食管恶性肿瘤、大肠恶性肿瘤、胆管细胞癌等疾病的基础诊治以及介入诊治。

凌德健
主治医师
2015年从医至今,曾在南方医科大学附属云浮医院完成全国住院医师规范化培训,获得优秀称号。熟悉各种内科常见病诊疗与抢救技术,院内进修介入诊疗技术。2021年如期通过中级职称考试。
擅长:
脑血管疾病、高血压、糖尿病、癫痫等疾病的诊治,尤其是神经介入微创手术、神经危重症管理。