岛津有哪些影像设备岛津 C200拥有性能完善的影像链系统

新闻资讯2026-04-26 03:35:42

岛津有哪些影像设备岛津 C200拥有性能完善的影像链系统_https://www.jmylbn.com_新闻资讯_第1张


南阳市骨科医院(独山院区)

岛津有哪些影像设备岛津 C200拥有性能完善的影像链系统_https://www.jmylbn.com_新闻资讯_第2张


南阳市骨科医院新华路院区

岛津有哪些影像设备岛津 C200拥有性能完善的影像链系统_https://www.jmylbn.com_新闻资讯_第3张


近期我院引进日本岛津 C200多功能影像中心系统,该设备拥有性能完善的影像链系统,保证了其以很低的剂量得到优质的图像。配置的高性能动态平板探测器系统,使其图像质量更加优越。模块化设计理念使其功能更加丰富,覆盖了骨科、消化科、儿科、妇科、泌尿、等多科室应用。床体多中心运动设计,使其能更好的完成泌尿造影、ERCP、输卵管造影等应用需求。突破性的功能设计延伸到骨密度检查、金属关节置换周边图像采集、DSA等图像采集需要。


功能介绍








01、动态平板造影功能


1、全身数字透视、摄影
2、连续摄影
3、腹部、外周血管造影
4、血管/非血管介入
5、内窥镜检查(PTCD、HSG、泌尿)

02、消化系统检查功能


1、ERCP检查(全新床体多中心倾斜设计,专用限束模式)
2、消化道特殊造影影

03、动态多功能DR


1、全胸片摄影(SID可拉伸到150CM)
2、妇科,儿科透视摄影,(滤线栅可取出)
3、骨科、整形外科摄影
4、特殊位置摄影:担架上临床功能(球管可旋转)
5、断层摄影

04、放射学全新技术:断层融合


通过断层融合功能,在一次扫描下获得连续多层面的高清晰断层图像。

1、应用于骨科,解决普通平片检查所难以显示的复杂结构,明确诊断。
2、为ERCP检查提供一种低剂量、高清晰的检查手段。
3、可广泛应用于各系统,提供高清晰度的临床图像。

05、视金识功能


视金识功能是在原有断层融合功能的基础上,使用了新的逐次递归的重建算法。有效的减少金属伪影的产生,提高图像的清晰度,尤其是金属假体与骨骼之间的图像情况。

06、狭缝拼接摄影功能


岛津公司首创的狭缝拼接摄影功能,是目前全长摄影中精度高、摄影速度快,可进行立位拍摄和卧位拍摄。采集长度达到142cm,可在12s内完成采集。在全景摄影中起到标准作用,深得广大用户的好评。在脊柱侧弯检查,关节置换测量中起到非常重要的作用。


主要特点






 全新的的图像采集处理系统

SONIALVISION 系列RF采用全新设计的一体化集成控制触摸面板,高压发生器、床体控制台、采集处理系统直接相连,操作十分便捷,大大提高了操作者的工作效率。



SONIALVISION 系列RF全新的影像检查系统独有的双系统并行运行,可在检查的同时实现图像的对比、后处理等工作。


岛津有哪些影像设备岛津 C200拥有性能完善的影像链系统_https://www.jmylbn.com_新闻资讯_第4张


SONIALVISION 系列RF应用了岛津全新的图像处理软件SUREenging Advance摄影处理器及 SCORE PRO Advance透视处理器, 该软件优化了透视及摄影图像,可有效降低噪音、不留下残影,同时可做到实时处理。

岛津有哪些影像设备岛津 C200拥有性能完善的影像链系统_https://www.jmylbn.com_新闻资讯_第5张

未用SUREenging Advance处理的图像

岛津有哪些影像设备岛津 C200拥有性能完善的影像链系统_https://www.jmylbn.com_新闻资讯_第6张



应用SUREenging Advance处理的图像


高级临床应用断层融合功能


岛津SONIALVISION 系列RF可完成业内断层融合Tomosynthesis功能,在一次扫描下获得连续多层面的高清晰断层图像。Tomosynthesis功能不受体位限制,金属伪影极小,具有剂量低、空间分辨高等特点,在临床可以作为普放检查的扩展,成为CT和MRI检查的有力补充。国内外关于此技术极为关注,称为“冠扫CT”。 

断层融合应用于胸部结节筛查:

岛津有哪些影像设备岛津 C200拥有性能完善的影像链系统_https://www.jmylbn.com_新闻资讯_第7张

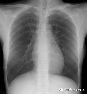
胸部平片漏诊病例

岛津有哪些影像设备岛津 C200拥有性能完善的影像链系统_https://www.jmylbn.com_新闻资讯_第8张

断层融合清晰看到左肺叶结节

断层融合功能应用在隐蔽性骨折的确诊:

岛津有哪些影像设备岛津 C200拥有性能完善的影像链系统_https://www.jmylbn.com_新闻资讯_第9张

髋关节摔伤骨折确诊

岛津有哪些影像设备岛津 C200拥有性能完善的影像链系统_https://www.jmylbn.com_新闻资讯_第10张

豆状骨骨折


视金识功能去金属伪影功能


基于断层融合图像,智能提取金属假体,把金属假体与骨骼图像有效的区分及组合。使金属假体与骨科图像均可以清晰显示。在视金识图像上即可以清晰的观察金属假体又可以细致的分析假体与骨骼之间的关系。对关节置换术后恢复的观察,翻修术的术前分析起到了有效的影像支持。 

岛津有哪些影像设备岛津 C200拥有性能完善的影像链系统_https://www.jmylbn.com_新闻资讯_第11张

岛津有哪些影像设备岛津 C200拥有性能完善的影像链系统_https://www.jmylbn.com_新闻资讯_第12张

岛津SONIALVISION 系列RF首创的狭缝拼接摄影功能。


SONIALVISION 系列RF的狭缝扫描拼接摄影功能,使用锥形X射线精确度最高的中心X射线,进行快速的扫描成像。

同时可完成立位及卧位不同需求的狭缝拼接扫描工作。

岛津有哪些影像设备岛津 C200拥有性能完善的影像链系统_https://www.jmylbn.com_新闻资讯_第13张




 南阳市中医院独山院区(南阳市骨科医院)位于独山大道信臣路交叉路口向北700米路西,建筑面积约为9.2万平方米,设置床位1000张,将严格按照卫生健康事业政策布局的指示和要求,有序推进国家中医(骨伤)区域医疗中心建设,为人民群众提供更为优质全面的健康服务。

       

          投稿:放射科

          整理编辑:李莹 孙俊雅(实习)

          审核:苏伟




岛津有哪些影像设备岛津 C200拥有性能完善的影像链系统_https://www.jmylbn.com_新闻资讯_第14张